Yang M, Geng Y, Chen Z, Zhou Z, Huang W, Chen W, Zhang X.
Front Nutr. 2025 Aug 21;12:1590837. doi: 10.3389/fnut.2025.1590837. eCollection 2025.
Introduction
무도병(chorea)은 불수의적이고, 통제되지 않으며, 일정한 양식이 없는 운동으로 특징지어지는 과운동성 운동 장애(hyperkinetic movement disorder)이다. 이러한 움직임은 속도, 시기, 방향이 다양하며 갑작스럽고 간헐적으로 나타나는 무도양(choreiform) 운동으로 발현되며, 신체의 어느 부위에도 영향을 줄 수 있지만 주로 원위부 사지에 나타나고 얼굴과 몸통에도 발생하며 여러 신체 부위로 전이될 수 있다. 이 질환은 자가면역질환, 대사 불균형, 특정 약물 및 호르몬, 유전성 신경퇴행성 질환, 또는 다양한 원인으로 인한 뇌심부 구조물의 손상으로 인해 발생할 수 있다. 급성 무도병의 경우, 약물학적 또는 독성 원인을 고려하기 전에 대사 변수, 저산소증, 혈관 질환, 감염, 전신 염증 등을 평가해야 한다. 전해질 이상과 저혈당증이 가장 중요한 원인 중 일부로 꼽히지만, 비타민 B12 결핍은 비교적 드문 원인이다. 자율신경 기능 이상, 불수의적 운동, 시각 장애, 간질, 인지·정서적 이상 등 다양한 드문 증상 외에도, 비타민 B12 결핍은 주로 말초신경병증과 척수 병변을 중심으로 복합적인 신경학적 증상을 유발할 수 있다. 임상적으로, 이러한 질환을 신속히 인지하고 치료하지 못하거나 그 기저 원인을 정확히 규명하지 못하면 돌이킬 수 없는 손상이 발생할 수 있다. 본 연구는 자가면역성 위염(autoimmune gastritis)의 진단 및 감별진단 능력을 향상시키기 위해, 비타민 B12 결핍에 의해 발생한 무도병의 증례 보고를 검토하였다.
Cases report
환자는 66세 기혼 남성으로, 농촌 지역 출신이며 직업은 농부였다. 본원 신경과 외래에 좌측 반신의 불수의적 움직임을 주소로 내원하였으며, 증상은 2일간 지속되었다. 초기 평가 후 외래 담당 의사는 추가적인 진단 검사를 위해 입원을 권유하였고, 환자와 가족은 이에 동의하였다.
환자는 특별한 원인 없이 이틀 전 갑자기 좌측 하지에 이상한 무도양(choreiform) 경련이 발생하였다. 질환은 좌측 사지의 불수의적 신전과 진자운동, 좌측 수지의 무의도적이고 리듬 없는 굴신 운동으로 특징지어졌으며, 증상은 좌측 하지보다 좌측 상지에서 더 심하게 나타났다. 동시에 발생한 불수의적 안면 표정으로는 입술을 내미는 동작(pouting)과 찡그림(frowning)이 있었다. 증상은 지속적으로 나타났으며, 정서적 흥분 시 쉽게 유발되었으나 조용할 때와 수면 후에는 호전되었다.
입원 당시의 신경학적 검사에서 감각은 정상이었고, 의식은 명료하며 지남력과 기억력도 정상이었으나 계산 능력은 저하되어 있었다. 뇌신경은 정상이었으며, 불수의적 안면 운동, 좌측 사지 근력 4등급, 근긴장도 저하, 좌측 비협조성 운동실조(ataxia), 우측 정상, 원뿔다발 징후(cone-bundle sign)는 음성이었다(Figure 1).

환자는 항고혈압제를 복용 중이었고, 고혈압의 과거력이 있으나 혈압은 잘 조절되고 있었다. 당뇨병, 허혈성 심질환, 정신질환이나 다른 전신질환의 병력은 없었다. 약물이나 알코올 사용도 없었으며 채식주의자였고, 가족력상 유전질환도 없었다.
혈액검사에서는 중증의 비타민 B12 결핍, 엽산 수치 상승, 호모시스테인 증가가 확인되었다. 또한 적혈구 지표에서 평균적혈구용적(MCV)과 평균적혈구혈색소량(MCH)이 상승했으나 평균적혈구혈색소농도(MCHC)와 혈색소 수치는 정상이었다. 갑상선 기능검사, 셀룰로플라스민(ceruloplasmin), 포도당 대사는 정상이었다(Table 1).

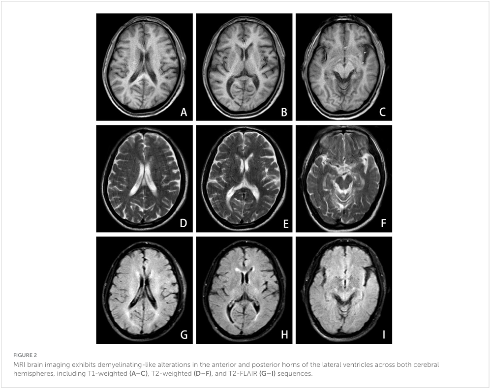
뇌 MRI에서는 위축 소견과 전두두정엽에 산재한 경미한 허혈 병변이 관찰되었으나, 뇌 CT는 정상이었다(Figure 2).

이후 시행한 18F-FDG PET/CT에서는 좌측보다 우측 기저핵에서 더 높은 대사활동이 확인되었다(Figure 3).
비타민 B12 결핍의 원인을 규명하기 위해 추가 검사가 시행되었고, 그 결과 가스트린-17(G-17) 수치 상승, 펩시노겐 I(PGI) 수치 감소, 벽세포에 대한 IgG 항체(APCA) 양성, 내인성인자에 대한 IgG 항체(IFA) 음성, 위저부에서 만성 위축성 위염의 병리학적 소견이 관찰되었다(Figure 4). 환자는 이후 내시경 생검은 거부하였다.

MMSE 점수는 25점, MoCA 점수는 23점이었다.
간호 중재는 낙상 예방과 불수의적 움직임으로 인한 자·타 손상 방지, 비타민 B12 섭취를 늘리기 위한 식이 조정에 초점을 맞추었다. 매일 1,000 µg 근육주사 비타민 B12 치료를 시작한 지 2일 만에 환자의 증상은 완전히 소실되었다. 이러한 빠른 반응 이후, 퇴원 시에는 동일 용량의 치료를 1개월간 지속하고 식이요법을 병행하며, 이후 신경과 외래 추적 관찰을 하도록 지시하였다. 1개월 추적 시 혈청 비타민 B12 수치는 정상화되었고 불수의적 움직임도 완전히 소실되었다. 이러한 호전 반응에 따라 유지 요법은 경구 메코발라민(mecobalamin) 보충제로 전환되어 추가 3개월간 시행되었다.
Discussion
비타민 B12 결핍에 의한 무도병(chorea)은 흔하지 않다. 그 근본적인 기전은 여전히 불분명하며, 병태생리는 복잡하고 충분히 이해되지 못하고 있다. 그러나 일반적으로 기저핵과 전두 운동 피질 간의 비정상적인 신호 전달로 인해 발생하는 것으로 여겨진다.
비타민 B12(코발라민)는 금속 이온을 포함하는 유일한 비타민으로, 조혈, 신경학적 기능, 핵산 합성 등 인체 대사에서 필수적인 역할을 한다 (1, 2). 인간은 내인적으로 이 비타민을 합성할 수 없으므로, 식이 섭취(주로 동물성 식품)와 효율적인 위장관 흡수가 적절한 혈중 농도 유지에 중요하다. 특히 인체의 충분한 B12 저장량과 낮은 일일 요구량으로 인해, 완전한 흡수 장애가 있더라도 결핍 증상이 3–5년간 지연될 수 있다 (3). 결핍은 불충분한 섭취, 흡수장애(예: 위축성 위염이나 자가면역 질환), 세포 내 수송 장애, 또는 대사 수요 증가로 발생한다 (4). 본 증례는 이러한 경로를 잘 보여준다. 장기간의 채식주의 식이는 섭취 부족에 기여했을 가능성이 있으며, 자가면역성 위축성 위염(벽세포 항체 양성과 위내시경 소견으로 확인됨)이 내인성인자 매개 흡수를 저해하여 심한 B12 고갈로 이어졌다.
임상적으로, 비타민 B12 결핍은 여러 기관에 걸쳐 다양한 증상을 나타낸다. 혈액학적으로 DNA 합성 장애가 조혈을 방해하여 거대적아구성 빈혈을 유발하며, 피로, 어지럼증, 혈색소 감소로 나타난다 (5). 신경학적으로는 메티오닌 합성효소 기능 장애로 인한 탈수초가 아급성 복합 변성증(subacute combined degeneration)을 일으켜 감각실조, 경직성 마비, 말초신경병증으로 발현된다 (6). 기억력 장애, 혼돈과 같은 인지 장애는 고호모시스테인혈증에 따른 신경독성과 신경전달물질 합성 장애에서 기인한다 (7). 우울증, 불면증 등 정신 증상 역시 B12 의존적 대사 이상으로 인한 뇌의 취약성을 반영한다 (8). 특히 무도병, 파킨슨증, 근긴장이상증(dystonia) 등 추체외로 운동 장애가 B12 결핍과 연관된 바 있으나 그 병태생리는 아직 완전히 규명되지 않았다.
새로운 근거에 따르면 B12 결핍 관련 신경독성에는 두 가지 주요 기전이 제시된다. 첫째, B12가 메틸전달효소 보조인자로 작용하지 못해 재메틸화가 억제되면서 호모시스테인 수치가 상승하고, 이는 산화 스트레스, 내피 기능 장애, NMDA 수용체 흥분독성을 유발하여 특히 기저핵 회로에 영향을 미친다 (9–14). 이는 시상-선조체 경로 장애 후 무도양 운동이 나타나는 관찰 결과와 일치한다 (15). 둘째, 엽산 대사 산물인 5-메틸테트라하이드로폴산(5-methyl-THF)이 축적되어 도파민 작용제 역할을 하며, 동물실험에서는 이를 주입했을 때 헌팅턴병 유사 무도양 운동이 유발되었다 (16, 17). 추가적으로, 메틸말론산(MMA) 축적은 미토콘드리아 에너지 대사를 방해하여 기저핵 손상을 일으킬 수 있으며, 이는 추체외로 증상을 보이는 메틸말론산혈증 환자에서 관찰된다 (18). 주목할 점은, 혈청 호모시스테인과 MMA 수치는 임상 증상 발현 이전에 상승할 수 있어, B12 수치가 경계치 또는 정상 범위 내에 있더라도 보상 기전으로 인해 결핍을 조기 감지할 수 있는 민감한 바이오마커 역할을 한다는 것이다(Figure 5).

18F-FDG PET/CT에서 확인되는 창백핵(pallidum)의 과대사 소견 또한 병변 국소화에 도움이 된다 (19). 본 환자는 전형적인 혈액학적·신경학적 결손이 아니라, 5-메틸테트라하이드로폴산 축적에 따른 도파민성 조절 장애로 인한 드문 추체외로 증상인 급성 반신 무도병으로 발현하였다. 특히, 비타민 B12 근육주사 치료 후 무도양 운동이 신속히 소실된 것은, 비가역적 탈수초가 진행되기 전에 개입할 경우 신경정신학적 후유증이 가역적일 수 있음을 보여준다.
본 증례에는 몇 가지 한계가 있다. 첫째, 환자는 추적관찰 과정에서 내시경 조직검사를 거부하였다. 비록 조직검사가 중요한 진단 정보를 제공했을 것이지만, 환자의 결정을 존중하였다. 둘째, 추적관찰에서는 관련 혈액 지표만 모니터링하였고, 18F-FDG PET/CT 재검은 시행되지 않았다.
악성빈혈(pernicious anemia, PA)은 위암의 독립적인 위험인자로, 자가면역성 위염(AIG)에 의한 위체부 위축, 저산증, 내인성인자 결핍에서 비롯되어 비타민 B12 흡수장애로 이어진다 (20, 21). 간의 보상적 B12 저장으로 인해 빈혈 발현은 수년간 지연될 수 있으며, 아급성 복합 변성이나 대사 이상(예: 고호모시스테인혈증)이 초기 경고 신호로 나타날 수 있다. 본 증례는 AIG 관련 PA의 진단적 복잡성을 보여준다. 장기간 채식은 이론적으로 B12 결핍에 기여했을 수 있으나, 위내시경에서 관찰된 광범위한 위점막 위축은 흡수장애의 병인을 시사하며, 영양학적 결핍과 자가면역성 결함을 명확히 구분해야 함을 강조한다. 특히, 현저히 낮은 혈청 B12(0 ng/mL)에도 불구하고 동반 빈혈이 없었던 역설적 상황은 전통적 진단 기준에 의존하는 것에 대한 경계심을 일깨워주며, 비전형적 임상 양상에 대한 면밀한 주의가 필요함을 보여준다.
더 나아가, 본 증례는 다학제적 협력의 중요성을 잘 보여준다. 환자는 처음 반신 불수의 운동으로 신경과에서 평가받았으며, 이후 검사에서 심한 비타민 B12 결핍이 원인으로 확인되었다. 추가 원인 규명을 위해 소화기내과와 위장관외과 평가가 진행되었고, 만성 위축성 위염이 확인되었다. 이어 혈액학적 분석에서 PA와 AIG의 연관성이 밝혀졌다. 즉, 이 진단 과정은 신경과, 소화기내과, 혈액내과를 아우르며 진행되었고, 이는 신경학적 증상이 전형적 혈액학적 징후에 앞서 나타날 때 다학제적 접근이 필수적임을 시사한다. 본 증례는 임상의들이 감별진단의 틀을 확장하여 전신적 요인을 포함시킴으로써, 향상된 임상 추론과 포괄적인 환자 진료를 실현해야 함을 일깨운다.
Conclusion
본 증례보고는 중증 비타민 B12 결핍으로 인한 드물지만 가역적인 무도병을 기술하며, 무도병 원인 검색에서 새로운 임상적 방향을 시사한다. 진단 과정은 다학제적 접근의 모범을 보여준다. 이 질환은 여러 장기를 침범하고, 증상이 변화하며, 병인이 불명확한 경우가 많아 전문분야 간 협력적 진단과 관리가 필수적이다. 본 증례는 또한 자가면역성 위염(AIG)이 면역학과 소화기학을 연결하는 교량 역할을 한다는 점을 강조한다. AIG가 중증 비타민 B12 결핍을 유발하면 뇌 병변을 포함한 신경학적 후유증으로 나타날 수 있다. 따라서 진단 패러다임을 확장하고 학제 간 협력을 강화하는 것이 조기 인지와 효과적인 치료에 매우 중요하다.
<Abstract>
Cognitive impairment, ocular neuropathy, sensorimotor polyneuropathy, and subacute combined spinal cord degeneration can all result from a common illness called vitamin B12 insufficiency. With regard to extrapyramidal movement disorders, it is rare, frequently misdiagnosed, and under recognized, which postpones timely treatment. A case study of a 66-year-old man with acute-onset and reversible choreoathetoid symptoms is presented in this publication. A significant vitamin B12 deficiency and an abnormal hypermetabolism in the basal ganglia region were detected by 18F-FDG PET/CT. Remarkably, the patient's dyskinesia disappeared as soon as vitamin B12 replacement therapy was administered. The patient's etiology was identified as a mix of vitamin B12 malabsorption and inadequate intake from autoimmune-related gastritis. In order to achieve the best potential therapeutic results, this case highlights the importance of timely and correct diagnosis, timely treatment of vitamin B12 deficiency based on its underlying etiology, and careful research of multiple etiologies.
Keywords: 18F-FDG PET/CT; autoimmune gastritis; chorea; movement disorders; vitamin B12 deficiency.
Yang M, Geng Y, Chen Z, Zhou Z, Huang W, Chen W, Zhang X.
Front Nutr. 2025 Aug 21;12:1590837. doi: 10.3389/fnut.2025.1590837. eCollection 2025.
Introduction
무도병(chorea)은 불수의적이고, 통제되지 않으며, 일정한 양식이 없는 운동으로 특징지어지는 과운동성 운동 장애(hyperkinetic movement disorder)이다. 이러한 움직임은 속도, 시기, 방향이 다양하며 갑작스럽고 간헐적으로 나타나는 무도양(choreiform) 운동으로 발현되며, 신체의 어느 부위에도 영향을 줄 수 있지만 주로 원위부 사지에 나타나고 얼굴과 몸통에도 발생하며 여러 신체 부위로 전이될 수 있다. 이 질환은 자가면역질환, 대사 불균형, 특정 약물 및 호르몬, 유전성 신경퇴행성 질환, 또는 다양한 원인으로 인한 뇌심부 구조물의 손상으로 인해 발생할 수 있다. 급성 무도병의 경우, 약물학적 또는 독성 원인을 고려하기 전에 대사 변수, 저산소증, 혈관 질환, 감염, 전신 염증 등을 평가해야 한다. 전해질 이상과 저혈당증이 가장 중요한 원인 중 일부로 꼽히지만, 비타민 B12 결핍은 비교적 드문 원인이다. 자율신경 기능 이상, 불수의적 운동, 시각 장애, 간질, 인지·정서적 이상 등 다양한 드문 증상 외에도, 비타민 B12 결핍은 주로 말초신경병증과 척수 병변을 중심으로 복합적인 신경학적 증상을 유발할 수 있다. 임상적으로, 이러한 질환을 신속히 인지하고 치료하지 못하거나 그 기저 원인을 정확히 규명하지 못하면 돌이킬 수 없는 손상이 발생할 수 있다. 본 연구는 자가면역성 위염(autoimmune gastritis)의 진단 및 감별진단 능력을 향상시키기 위해, 비타민 B12 결핍에 의해 발생한 무도병의 증례 보고를 검토하였다.
Cases report
환자는 66세 기혼 남성으로, 농촌 지역 출신이며 직업은 농부였다. 본원 신경과 외래에 좌측 반신의 불수의적 움직임을 주소로 내원하였으며, 증상은 2일간 지속되었다. 초기 평가 후 외래 담당 의사는 추가적인 진단 검사를 위해 입원을 권유하였고, 환자와 가족은 이에 동의하였다.
환자는 특별한 원인 없이 이틀 전 갑자기 좌측 하지에 이상한 무도양(choreiform) 경련이 발생하였다. 질환은 좌측 사지의 불수의적 신전과 진자운동, 좌측 수지의 무의도적이고 리듬 없는 굴신 운동으로 특징지어졌으며, 증상은 좌측 하지보다 좌측 상지에서 더 심하게 나타났다. 동시에 발생한 불수의적 안면 표정으로는 입술을 내미는 동작(pouting)과 찡그림(frowning)이 있었다. 증상은 지속적으로 나타났으며, 정서적 흥분 시 쉽게 유발되었으나 조용할 때와 수면 후에는 호전되었다.
입원 당시의 신경학적 검사에서 감각은 정상이었고, 의식은 명료하며 지남력과 기억력도 정상이었으나 계산 능력은 저하되어 있었다. 뇌신경은 정상이었으며, 불수의적 안면 운동, 좌측 사지 근력 4등급, 근긴장도 저하, 좌측 비협조성 운동실조(ataxia), 우측 정상, 원뿔다발 징후(cone-bundle sign)는 음성이었다(Figure 1).
환자는 항고혈압제를 복용 중이었고, 고혈압의 과거력이 있으나 혈압은 잘 조절되고 있었다. 당뇨병, 허혈성 심질환, 정신질환이나 다른 전신질환의 병력은 없었다. 약물이나 알코올 사용도 없었으며 채식주의자였고, 가족력상 유전질환도 없었다.
혈액검사에서는 중증의 비타민 B12 결핍, 엽산 수치 상승, 호모시스테인 증가가 확인되었다. 또한 적혈구 지표에서 평균적혈구용적(MCV)과 평균적혈구혈색소량(MCH)이 상승했으나 평균적혈구혈색소농도(MCHC)와 혈색소 수치는 정상이었다. 갑상선 기능검사, 셀룰로플라스민(ceruloplasmin), 포도당 대사는 정상이었다(Table 1).
뇌 MRI에서는 위축 소견과 전두두정엽에 산재한 경미한 허혈 병변이 관찰되었으나, 뇌 CT는 정상이었다(Figure 2).
이후 시행한 18F-FDG PET/CT에서는 좌측보다 우측 기저핵에서 더 높은 대사활동이 확인되었다(Figure 3).
비타민 B12 결핍의 원인을 규명하기 위해 추가 검사가 시행되었고, 그 결과 가스트린-17(G-17) 수치 상승, 펩시노겐 I(PGI) 수치 감소, 벽세포에 대한 IgG 항체(APCA) 양성, 내인성인자에 대한 IgG 항체(IFA) 음성, 위저부에서 만성 위축성 위염의 병리학적 소견이 관찰되었다(Figure 4). 환자는 이후 내시경 생검은 거부하였다.
MMSE 점수는 25점, MoCA 점수는 23점이었다.
간호 중재는 낙상 예방과 불수의적 움직임으로 인한 자·타 손상 방지, 비타민 B12 섭취를 늘리기 위한 식이 조정에 초점을 맞추었다. 매일 1,000 µg 근육주사 비타민 B12 치료를 시작한 지 2일 만에 환자의 증상은 완전히 소실되었다. 이러한 빠른 반응 이후, 퇴원 시에는 동일 용량의 치료를 1개월간 지속하고 식이요법을 병행하며, 이후 신경과 외래 추적 관찰을 하도록 지시하였다. 1개월 추적 시 혈청 비타민 B12 수치는 정상화되었고 불수의적 움직임도 완전히 소실되었다. 이러한 호전 반응에 따라 유지 요법은 경구 메코발라민(mecobalamin) 보충제로 전환되어 추가 3개월간 시행되었다.
Discussion
비타민 B12 결핍에 의한 무도병(chorea)은 흔하지 않다. 그 근본적인 기전은 여전히 불분명하며, 병태생리는 복잡하고 충분히 이해되지 못하고 있다. 그러나 일반적으로 기저핵과 전두 운동 피질 간의 비정상적인 신호 전달로 인해 발생하는 것으로 여겨진다.
비타민 B12(코발라민)는 금속 이온을 포함하는 유일한 비타민으로, 조혈, 신경학적 기능, 핵산 합성 등 인체 대사에서 필수적인 역할을 한다 (1, 2). 인간은 내인적으로 이 비타민을 합성할 수 없으므로, 식이 섭취(주로 동물성 식품)와 효율적인 위장관 흡수가 적절한 혈중 농도 유지에 중요하다. 특히 인체의 충분한 B12 저장량과 낮은 일일 요구량으로 인해, 완전한 흡수 장애가 있더라도 결핍 증상이 3–5년간 지연될 수 있다 (3). 결핍은 불충분한 섭취, 흡수장애(예: 위축성 위염이나 자가면역 질환), 세포 내 수송 장애, 또는 대사 수요 증가로 발생한다 (4). 본 증례는 이러한 경로를 잘 보여준다. 장기간의 채식주의 식이는 섭취 부족에 기여했을 가능성이 있으며, 자가면역성 위축성 위염(벽세포 항체 양성과 위내시경 소견으로 확인됨)이 내인성인자 매개 흡수를 저해하여 심한 B12 고갈로 이어졌다.
임상적으로, 비타민 B12 결핍은 여러 기관에 걸쳐 다양한 증상을 나타낸다. 혈액학적으로 DNA 합성 장애가 조혈을 방해하여 거대적아구성 빈혈을 유발하며, 피로, 어지럼증, 혈색소 감소로 나타난다 (5). 신경학적으로는 메티오닌 합성효소 기능 장애로 인한 탈수초가 아급성 복합 변성증(subacute combined degeneration)을 일으켜 감각실조, 경직성 마비, 말초신경병증으로 발현된다 (6). 기억력 장애, 혼돈과 같은 인지 장애는 고호모시스테인혈증에 따른 신경독성과 신경전달물질 합성 장애에서 기인한다 (7). 우울증, 불면증 등 정신 증상 역시 B12 의존적 대사 이상으로 인한 뇌의 취약성을 반영한다 (8). 특히 무도병, 파킨슨증, 근긴장이상증(dystonia) 등 추체외로 운동 장애가 B12 결핍과 연관된 바 있으나 그 병태생리는 아직 완전히 규명되지 않았다.
새로운 근거에 따르면 B12 결핍 관련 신경독성에는 두 가지 주요 기전이 제시된다. 첫째, B12가 메틸전달효소 보조인자로 작용하지 못해 재메틸화가 억제되면서 호모시스테인 수치가 상승하고, 이는 산화 스트레스, 내피 기능 장애, NMDA 수용체 흥분독성을 유발하여 특히 기저핵 회로에 영향을 미친다 (9–14). 이는 시상-선조체 경로 장애 후 무도양 운동이 나타나는 관찰 결과와 일치한다 (15). 둘째, 엽산 대사 산물인 5-메틸테트라하이드로폴산(5-methyl-THF)이 축적되어 도파민 작용제 역할을 하며, 동물실험에서는 이를 주입했을 때 헌팅턴병 유사 무도양 운동이 유발되었다 (16, 17). 추가적으로, 메틸말론산(MMA) 축적은 미토콘드리아 에너지 대사를 방해하여 기저핵 손상을 일으킬 수 있으며, 이는 추체외로 증상을 보이는 메틸말론산혈증 환자에서 관찰된다 (18). 주목할 점은, 혈청 호모시스테인과 MMA 수치는 임상 증상 발현 이전에 상승할 수 있어, B12 수치가 경계치 또는 정상 범위 내에 있더라도 보상 기전으로 인해 결핍을 조기 감지할 수 있는 민감한 바이오마커 역할을 한다는 것이다(Figure 5).
18F-FDG PET/CT에서 확인되는 창백핵(pallidum)의 과대사 소견 또한 병변 국소화에 도움이 된다 (19). 본 환자는 전형적인 혈액학적·신경학적 결손이 아니라, 5-메틸테트라하이드로폴산 축적에 따른 도파민성 조절 장애로 인한 드문 추체외로 증상인 급성 반신 무도병으로 발현하였다. 특히, 비타민 B12 근육주사 치료 후 무도양 운동이 신속히 소실된 것은, 비가역적 탈수초가 진행되기 전에 개입할 경우 신경정신학적 후유증이 가역적일 수 있음을 보여준다.
본 증례에는 몇 가지 한계가 있다. 첫째, 환자는 추적관찰 과정에서 내시경 조직검사를 거부하였다. 비록 조직검사가 중요한 진단 정보를 제공했을 것이지만, 환자의 결정을 존중하였다. 둘째, 추적관찰에서는 관련 혈액 지표만 모니터링하였고, 18F-FDG PET/CT 재검은 시행되지 않았다.
악성빈혈(pernicious anemia, PA)은 위암의 독립적인 위험인자로, 자가면역성 위염(AIG)에 의한 위체부 위축, 저산증, 내인성인자 결핍에서 비롯되어 비타민 B12 흡수장애로 이어진다 (20, 21). 간의 보상적 B12 저장으로 인해 빈혈 발현은 수년간 지연될 수 있으며, 아급성 복합 변성이나 대사 이상(예: 고호모시스테인혈증)이 초기 경고 신호로 나타날 수 있다. 본 증례는 AIG 관련 PA의 진단적 복잡성을 보여준다. 장기간 채식은 이론적으로 B12 결핍에 기여했을 수 있으나, 위내시경에서 관찰된 광범위한 위점막 위축은 흡수장애의 병인을 시사하며, 영양학적 결핍과 자가면역성 결함을 명확히 구분해야 함을 강조한다. 특히, 현저히 낮은 혈청 B12(0 ng/mL)에도 불구하고 동반 빈혈이 없었던 역설적 상황은 전통적 진단 기준에 의존하는 것에 대한 경계심을 일깨워주며, 비전형적 임상 양상에 대한 면밀한 주의가 필요함을 보여준다.
더 나아가, 본 증례는 다학제적 협력의 중요성을 잘 보여준다. 환자는 처음 반신 불수의 운동으로 신경과에서 평가받았으며, 이후 검사에서 심한 비타민 B12 결핍이 원인으로 확인되었다. 추가 원인 규명을 위해 소화기내과와 위장관외과 평가가 진행되었고, 만성 위축성 위염이 확인되었다. 이어 혈액학적 분석에서 PA와 AIG의 연관성이 밝혀졌다. 즉, 이 진단 과정은 신경과, 소화기내과, 혈액내과를 아우르며 진행되었고, 이는 신경학적 증상이 전형적 혈액학적 징후에 앞서 나타날 때 다학제적 접근이 필수적임을 시사한다. 본 증례는 임상의들이 감별진단의 틀을 확장하여 전신적 요인을 포함시킴으로써, 향상된 임상 추론과 포괄적인 환자 진료를 실현해야 함을 일깨운다.
Conclusion
본 증례보고는 중증 비타민 B12 결핍으로 인한 드물지만 가역적인 무도병을 기술하며, 무도병 원인 검색에서 새로운 임상적 방향을 시사한다. 진단 과정은 다학제적 접근의 모범을 보여준다. 이 질환은 여러 장기를 침범하고, 증상이 변화하며, 병인이 불명확한 경우가 많아 전문분야 간 협력적 진단과 관리가 필수적이다. 본 증례는 또한 자가면역성 위염(AIG)이 면역학과 소화기학을 연결하는 교량 역할을 한다는 점을 강조한다. AIG가 중증 비타민 B12 결핍을 유발하면 뇌 병변을 포함한 신경학적 후유증으로 나타날 수 있다. 따라서 진단 패러다임을 확장하고 학제 간 협력을 강화하는 것이 조기 인지와 효과적인 치료에 매우 중요하다.
<Abstract>
Cognitive impairment, ocular neuropathy, sensorimotor polyneuropathy, and subacute combined spinal cord degeneration can all result from a common illness called vitamin B12 insufficiency. With regard to extrapyramidal movement disorders, it is rare, frequently misdiagnosed, and under recognized, which postpones timely treatment. A case study of a 66-year-old man with acute-onset and reversible choreoathetoid symptoms is presented in this publication. A significant vitamin B12 deficiency and an abnormal hypermetabolism in the basal ganglia region were detected by 18F-FDG PET/CT. Remarkably, the patient's dyskinesia disappeared as soon as vitamin B12 replacement therapy was administered. The patient's etiology was identified as a mix of vitamin B12 malabsorption and inadequate intake from autoimmune-related gastritis. In order to achieve the best potential therapeutic results, this case highlights the importance of timely and correct diagnosis, timely treatment of vitamin B12 deficiency based on its underlying etiology, and careful research of multiple etiologies.
Keywords: 18F-FDG PET/CT; autoimmune gastritis; chorea; movement disorders; vitamin B12 deficiency.