Lenti MV, Joudaki S, Miceli E, et al.
J Pediatr Gastroenterol Nutr. 2025 Nov;81(5):1142-1150. doi: 10.1002/jpn3.70187.


INTRODUCTION
자가면역성 위염(Autoimmune gastritis, AIG)은 위의 벽세포(parietal cell)에 존재하는 H+/K+‐ATPase에 대한 면역 반응으로 인해 위 체부 점막(oxyntic mucosa)이 손상되는 만성 염증성 질환으로, 점막 위축과 비타민 B12, 철분 및 기타 미량 영양소 결핍을 초래한다.[1–4] AIG는 모든 연령과 성별에서 보고되었으나, 중년 및 노년 여성에서 더 흔하다.[1,5] 또한 AIG는 다른 자가면역질환과의 연관성이 강하며,[6] AIG 환자의 상당수에서 직계 가족 내 발병 사례가 보고되어,[7] 질환 발생에 있어 유전적 요인의 중요성이 강조되고 있다. 환경적 요인도 일부 보고되었는데, 특히 헬리코박터 파일로리(Helicobacter pylori, H. pylori) 감염이 관련 요인으로 지목되었으나,[8] 성인 AIG에서는 연구 결과가 일관되지 않다.
반면, 소아에서의 AIG는 매우 드문 것으로 알려져 있거나 진단이 덜 이루어지고 있을 가능성이 있다. 실제로 소아에서의 AIG는 소규모 증례군 연구만 보고된 바 있다(Table S1).[9–14]
Supplementary Table 1. Summary of the main studies or case series reporting on pediatric autoimmune gastritis (AIG).

소아 AIG의 진단은 드물다는 점과 다른 위장관 질환과 증상이 겹친다는 점 때문에 어려움이 따른다. 환자는 무증상이거나 소화불량 증상 또는 철분결핍성 빈혈을 보일 수 있는데, 이는 셀리악병(celiac disease)과 같은 다른 소아 질환에서도 흔히 나타난다.[15,16] 따라서 AIG는 진단 과정에서 간과될 수 있으며, 이로 인해 진단이 지연되고, 성인 환자에서 보이는 것처럼 불량한 예후를 초래할 수 있다. 장기적으로 AIG는 위 신경내분비종양[17,18] 및 위선암[1] 발생과도 연관될 수 있다.
따라서 소아에서 AIG를 조기에 진단하는 것이 매우 중요하다. 그러나 현재까지 소아 발병 AIG의 장기적 자연경과는 알려져 있지 않으며, 임상적·병리학적 특징도 충분히 기술되지 않았다. 본 다기관 연구에서는 소아 AIG의 발현 양상과 임상적 특징을 규명하여, 조기 인지 및 가능한 조기 진단에 기여하고자 하였다.
METHODS
Ethics statement
모든 환자 및/또는 보호자(부모 또는 간병인)로부터 자료의 익명 공개에 대해 서면 동의서를 받았다. 모든 자료는 완전히 익명화되고 통합 처리되었다. 본 연구는 기관윤리위원회의 승인을 받았다(Fondazione IRCCS Policlinico San Matteo, 승인번호 0003262/25). 각 참여 기관은 자체 기관에서 임상 자료 수집에 대한 승인을 책임졌다. 본 연구에서 생성된 모든 자료는 본 논문에 보고되었다. 추가적인 원자료(raw data)는 교신저자에게 합리적인 요청 시 제공될 수 있다. 본 연구의 설계, 수행, 보고 및 결과 확산 과정에는 환자나 일반인이 참여하지 않았다.
Study population and inclusion criteria
본 다기관 후향적 연구에는 진단 당시 18세 미만이었던 환자가 포함되었으며, 2019년부터 2024년 사이에 잠재성(potential) AIG[19], 명백한(overt) AIG, 또는 혈청음성(seronegative) AIG[20]를 포함한 모든 유형과 단계의 AIG로 진단받은 환자가 대상이 되었다. 잠재성 AIG는 위산분비부(oxyntic) 점막 위축의 조직학적 증거가 없는 환자에서 벽세포항체(anti-parietal cell antibody, PCA)가 존재하는 경우로 정의하였다. 이러한 환자는 시간이 지남에 따라 명백한 AIG로 진행할 수 있으므로 성인 집단에서 보고된 바와 같이[19] 면밀한 추적 관찰이 필요하다. 명백한 AIG는 위산분비부 점막에서 경도에서 중증에 이르는 어느 정도의 위축이 확인되는 경우를 의미한다[1]. 혈청음성 AIG는 순환하는 PCA가 검출되지 않는 상태에서 위산분비부 점막의 위축이 조직학적으로 확인된 경우로 정의된다[20].
소아 환자는 총 14개 센터에서 모집되었으며, 이 중 13개는 이탈리아, 1개는 이스라엘 기관으로, 모두 소아·청소년 소화기 질환 진단에 전문성을 보유하고 있었다. 모집된 환자는 PCA 검사를 받은 경우(선별 목적, 가족력, 소화불량 증상, 빈혈 또는 AIG가 의심되는 기타 증상으로 인한 검사 포함) 또는 상부위장관 내시경 및 생검을 통해 직접 AIG 진단을 받은 경우(예: 혈청음성 AIG 환자 포함)였다. AIG의 진단은 국제적으로 인정된 기준[21. Rugge M, Genta RM, Malfertheiner P, et al. RE GA IN. RE.GA.IN.: the real‐world gastritis initiative‐updating the up dates. Gut. 2024;73:407‐441.]에 따라 위산분비부 위점막의 어느 정도 위축이 있고 전정부(antrum)가 보존된 경우, 반드시 조직학적 근거에 의해 이루어졌다. 모든 사례에서 생검은 Sydney–Houston protocol[22]에 따라 시행되었으며, 전정부에서 2개, 절각부(incisura angularis)에서 1개, 체부(corpus)에서 2개의 생검을 채취하였다. 전체 관찰 기간은 진단 시점부터 최종 추적 관찰 시점까지의 평균 기간으로 산출되었다.
Timepoints and variables collected
사회인구학적 변수(연령, 성별), 임상적 변수(발현 시 증상), 검사실 변수(비타민 B12, 엽산, 페리틴, 가스트린-17, 크로모그라닌 A), 내시경 소견(진단 시점 및 가능할 경우 최종 추적관찰 시점)을 수집하였다. 헬리코박터 파일로리(H. pylori) 감염 상태와 과거 제균 치료 여부를 고려하였으며, 그 외 변수로는 자가면역 및 비자가면역 질환을 포함한 동반질환, 자가면역질환·AIG·악성종양에 대한 가족력, 면역결핍, 과거 양성자펌프억제제(PPI) 사용 여부 및 기타 약물치료 이력이 포함되었다.
Study end points
본 연구의 1차 목적은 소아 AIG 환자의 특성을 보고하는 것이었다. 또한 전체 관찰 기간 동안 위 신경내분비종양, 이형성(dysplasia) 및 선암(adenocarcinoma)의 발생을 보고하였다. 2차 목적은 환자의 특성을 연령군(≥12세 vs <12세) 및 혈청학적 상태(PCA 양성 여부)에 따라 평가하는 것이었다.
Statistical analysis
모든 통계 분석은 MedCalc 소프트웨어(온라인, 무료 버전)를 사용하여 수행하였다. 양측 검정에서 p<0.05를 통계적으로 유의한 것으로 간주하였다. 연속형 자료는 중앙값과 사분위범위(interquartile range, IQR; 25–75백분위수) 또는 평균과 표준편차(standard deviation, SD)로 기술하였으며, 범주형 자료는 빈도와 백분율로 제시하였다. 비교 분석을 위해 Fisher의 정확 검정을 시행하였으며, 예를 들어 혈청항체 양성군과 음성군 간 비교 또는 연령군 간 비교에 사용하였다. 누적 관찰 기간을 산출하였다. 연구의 질 보증을 위해 역학 관찰 연구 보고 지침(STROBE, STrengthening the Reporting of OBservational studies in Epidemiology)을 준수하였다.
RESULTS
총 51명의 소아 AIG 환자가 연구에 포함되었으며(진단 시 연령의 중앙값: 13세, 사분위 범위[IQR]: 11–16; 여:남 비율 = 1.7:1) (Table 1), 중앙 추적관찰 기간은 24개월(IQR: 12–57)이었다. AIG는 여성 환자와 12세 이상 환자에서 더 흔히 관찰되었다. 흡연자는 없었으며, 대부분의 환자는 백인이었다.

대부분의 환자는 명백한 AIG(overt AIG)로 진단되었으며(47명, 92.2%), 4명(7.8%)은 여전히 잠재성 AIG 상태였다(Table 2). 진단 시 혈액학적 이상 중 가장 흔한 것은 소구증(microcytosis)이었으며(33명, 64.7%), 대구증(macrocytosis)은 3명(5.9%), 범혈구감소증(pancytopenia)은 2명(3.9%)에서 관찰되었다. 명백한 빈혈은 대부분의 환자에서 나타났으며(38명, 74.5%), 그중 경도 빈혈이 가장 흔했다(22명, 43.1%). 면역글로불린 A 결핍은 2명(3.9%)에서, 공통변수면역결핍(common variable immunodeficiency)은 1명(2.0%)에서 관찰되었으며, 다선증후군(polyglandular syndrome)은 4명(7.8%)에서 동반되었다. 아토피피부염, 비염, 천식은 각각 5명(9.8%), 4명(7.8%), 3명(5.9%)에서 보고되었다. H. pylori 감염은 매우 드물었으며(1명, 2.0%), 또 다른 1명(2.0%)은 과거 제균 치료를 받은 병력이 있었다. PCA 양성은 38명(74.5%)에서 확인되었다.


가족력에서는 4명(7.8%)이 AIG의 가족력이 있었고, 17명(33.3%)이 자가면역질환의 가족력이 있었다(Table S2). 그러나 35명(68.6%)은 동반 자가면역질환을 가지고 있었으며, 가장 흔한 질환은 하시모토 갑상선염(19/51; 37.2%)이었고, 그 뒤를 셀리악병(5/51; 9.8%), 제1형 당뇨병과 백반증(각각 3/51; 5.9%)이 이었다. 이외에도 2명(3.9%)은 과거 또는 동반성 호산구성 식도염(eosinophilic esophagitis), 5명(9.8%)은 호산구성 위염(eosinophilic gastritis)을 가지고 있었다.
Supplementary Table 2. Prevalence of autoimmune and immune mediated diseases in the 51 pediatric patients with autoimmune gastritis (AIG).

환자의 기저 및 최종 추적 시점의 검사실 자료는 Table S3에 제시하였다.
Supplementary Table 3. Baseline and last available laboratory data of patients with autoimmune gastritis.

연령군(<12세 vs ≥12세) 비교(Table S4)에서, ≥12세 그룹 환자는 <12세 그룹보다 신경내분비종양의 진단을 더 이른 시기에 받는 경향을 보였다(중앙값: 진단 후 12개월 vs 84개월; p=0.003). 그 외 유의한 차이는 관찰되지 않았다.
Supplementary Table 4. Prevalence of clinical characteristics in pediatric patients with autoimmune gastritis, based on the age group.



연령군에 따른 검사실 자료는 Table S5에 보고하였다.
Supplementary Table 5. Laboratory data based on age groups.

혈청학적 상태(PCA 양성 vs 음성, 즉 혈청음성 AIG) 비교(Table S6)에서는, 범혈구감소증이 PCA 음성군에서 유의하게 더 흔했다(2/8; 25% vs 0; 0%; p=0.0018). 또한, 소구증은 PCA 음성군에서 더 흔했으며(25/38; 65.8%), PCA 양성군에서는 1/8명(12.5%)에서만 관찰되었다(p=0.0063). 위장관 증상 중 소화불량은 PCA 양성군에서 가장 흔했으며(12/38; 31.6%), PCA 음성군에서는 보고되지 않았다. 기능성 소화불량 및 과민성 장증후군으로 오진된 경우는 PCA 음성군에서 더 흔했다(p=0.0255 및 0.0293). PCA 음성 환자는 PCA 양성 환자보다 신경내분비종양 진단을 더 빨리 받는 경향을 보였다(중앙값: 12개월 vs 84개월; p=0.002). 그 외 유의한 차이는 관찰되지 않았다.
Supplementary Table 6. Clinical data based on anti-parietal cell antibody (PCA) status.


PCA 상태에 따른 검사실 자료는 Table S7에 보고하였다.
Supplementary Table 7. Baseline and last available laboratory values based on anti parietal cell antibody (PCA) status.

조직학적 검사에서는 대부분의 환자에서 H. pylori 감염이 음성이었으며, 단 1명(2.0%)에서만 활동성 감염이 확인되었고 이후 제균되었다(Table 3). AIG의 진단과 일치하게, 잠재성 AIG 환자 4명을 제외한 대부분의 환자에서 위체부 점막 위축이 관찰되었으며, 장상피화생은 51명 중 11명(21.6%)에서 확인되었다. 특히 4명(7.8%)에서는 호산구증을 동반한 교원질성 위염(collagenous gastritis)이 첫 발현으로 나타났으며, 이들 모두 2년 이내에 명백한 AIG로 진행하였다.


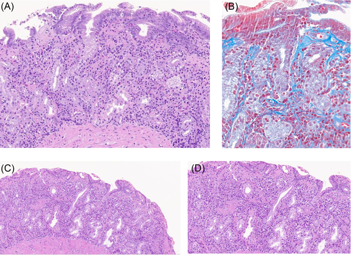
Figure 1은 교원질성 위염(A, B)으로 진단된 후 AIG로 진행한 환자의 대표적인 병리조직학적 소견을 보여준다(C, D). 관찰 기간 동안 신경내분비종양과 상피선 이형성(모두 저등급)은 각각 51명 중 7명(13.7%)에서 발생하였으나, 위선암(위선암종, adenocarcinoma)의 발생은 관찰되지 않았다.
FIGURE 1 Histopathological specimen of the gastric corpus of a patient who was diagnosed with collagenous gastritis (A, B) and subsequently evolved into autoimmune gastritis (C, D) after roughly 2 years. In (A), the hematoxylin and eosin staining shows increased eosinophil infiltration of the mucosa with a thickening of the subepithelial collagen, better noticed with the Masson‐trichrome staining (B); a very mild glandular atrophy can be noticed. In (C and D), after 2 years, typical features of autoimmune gastritis are noticed with hematoxylin and eosin staining, namely mucosal atrophy; the subepithelial collagen band is not clearly evident anymore.

DISCUSSION
이 다기관 연구는 이탈리아와 이스라엘 14개 센터에서 수집된 51명의 소아 AIG 환자를 보고하며, 이 질환에 대한 지식을 넓히는 데 기여한다. 이전 연구들과 달리, 본 연구는 종적(longitudinal) 접근을 통해 소아 및 청소년 AIG의 자연 경과와 임상적 변화를 이해하는 데 중요한 통찰을 제공한다. 잠재 단계부터 명백한 단계(overt), 혈청 양성에서 혈청 음성에 이르기까지 다양한 단계와 아형의 환자들을 포함하였으며, 환자들은 중앙값 24개월(IQR: 12–57) 동안 임상적으로 추적 관찰되었다. 이는 기존 문헌에서 흔히 부족했던 요소이다.
본 연구에서는 소아 AIG의 여러 특성을 규명하였다. 새로운 발견으로는 알레르기 비염, 천식 등 Th2 관련 질환과의 연관 가능성, 소아 AIG 환자에서 H. pylori 감염의 드묾, 질환 초기 단계에서 나타나는 교원성 위염(collagenous gastritis)과의 연관성, 소아에서 혈청 음성 AIG의 흔한 발생, 그리고 이들 환자에서 면역 매개 질환 및 면역결핍증의 높은 빈도 등이 있다.
특히, H. pylori 감염은 연구 대상자에서 드물게 관찰되었다. 이전의 한 연구에서 H. pylori 관련 및 자가면역성 위염을 비교한 결과, 성인에서는 위축성 위염이 위 벽의 산분비 세포에 대한 자가면역 반응이나 진행된 H. pylori 감염의 결과로 나타날 수 있음이 밝혀졌다[7]. 그러나 소아에서는 H. pylori 감염이 매우 드물었고(1/51, 2%), 위축성 위염 발생에서 감염보다는 자가면역이 더 중요한 역할을 하는 것으로 보인다.
AIG 진단에 있어 위벽 벽세포의 H+/K+ ATPase 성분에 대한 자가항체(PCA)는 중요한 표지자로서 선별 검사에 이용된다[23]. 그러나 본 연구에서는 소아 AIG 환자에서 PCA 음성이 상당히 흔히 관찰되었다. 이는 예상 밖의 결과로, 소아 환자에서 혈청 음성 AIG의 높은 발생은 주의 깊은 진단적 접근이 필요함을 시사한다. 지금까지는 PCA 음성이 주로 노인 AIG 환자에서 면역노화(immunosenescence) 기전과 관련된 것으로 알려져 있었다[24].
혈청 음성 AIG 환자들은 종종 다른 질환으로 오진되었는데, 빈혈의 다른 유형, 과민성 장 증후군, 백혈병, 그리고 특히 다른 유형의 위염으로 잘못 진단되었다. 이는 중요하다. 왜냐하면 PPI가 대부분의 위염 치료의 기본이지만, AIG에서는 금기이며, 오히려 신경내분비종양으로 진행을 촉진할 수 있기 때문이다[25,26]. 소아 환자는 기대수명이 길기 때문에 AIG의 장기 합병증, 즉 위선암이나 위 신경내분비종양에 더 취약할 수 있으며, 잘못된 진단과 치료는 이러한 위험을 더욱 높일 수 있다[13,27].
또한 본 연구는 소아 AIG의 병태생리에 대한 통찰도 제시한다. AIG는 호산구 침윤 및 산분비점막의 상피하 비후와 같은 초기 소견과 관련이 있었는데, 이는 AIG의 전형적인 병리학적 소견이 나타나기 전 교원성 위염의 진단과 일치한다[28,29]. 호산구는 면역 조절에서 중요한 역할을 하며, 자가면역 반응을 유도하여 산분비점막 세포에 대한 항체 생성을 촉진할 수 있다. 실제로 성인 AIG에서도 산분비점막에서 호산구 침윤이 흔히 관찰된다[1,30].
천식, 아토피, 호산구성 식도염 등 Th2 관련 질환과 하시모토 갑상선염, 셀리악병 등 다른 자가면역질환의 높은 동반율은 공통된 면역학적 경로를 시사한다. 실제로 본 연구 집단에서 호산구성 위염 및 식도염이 두드러지게 흔히 관찰되었으며, 이는 호산구가 자가면역 및 점막 위축을 유도하는 면역조절적 역할을 할 수 있음을 보여주며, AIG 병인과정에서 호산구와의 상호작용에 대한 추가 연구가 필요함을 강조한다.
AIG의 잠재 단계에서 명백한 단계로의 진행에 대한 자연 경과는 소아에서 아직 명확히 알려져 있지 않다. 본 연구에서는 초기 교원성 위염으로 진단된 일부 환자가 2년 이내에 명백한 AIG로 진행함을 확인하였으며, 이는 위험군 소아의 지속적 추적관찰의 필요성을 강조한다. 향후 장기간의 추적연구가 질환 진행에 대한 더 깊은 이해를 위해 필요하다.
신경내분비종양 및 상피 이형성이 본 코호트의 13.7%에서 관찰되었으며, 이는 조기 진단의 중요성을 강조한다. 진단 지연으로 인한 오진과 잘못된 관리가 소아 환자에서 위선암을 포함한 불량한 예후를 증가시킬 수 있으며, 이는 특히 긴 기대수명을 가진 소아 환자에서 더욱 중요하다.
물론 본 연구에는 여러 제한점이 있다. 이는 지금까지 발표된 소아 AIG 연구 중 가장 큰 규모 중 하나이지만, 여전히 표본 수가 작아 세부적인 분석은 불가능했다. 후향적 연구 특성상 선택 편향, 잠재적 교란 요인, 자료의 이질성 등 본질적 한계가 있다. 또한 성인 AIG 연구와 비교할 때, 합병증 발생 위험을 규명하기 위해서는 더 긴 추적관찰이 필요하다. 마지막으로, 더 큰 규모의 전향적 연구가 필요하며, 다양한 국가와 인종을 포함하는 연구가 요구된다.
CONCLUSION
결론적으로, 자가면역성 위염(AIG)은 소아에서도 발생할 수 있으며 이 연령대에서도 합병증을 유발할 수 있습니다. 또한 Th2 관련 질환과의 일정한 연관성이 관찰되었으며, 이 발견은 향후 추가적인 연구가 필요함을 시사한다. 이러한 연관성의 기전을 규명하고 소아 환자의 치료 전략을 최적화하기 위해서는 추가적인 연구가 요구된다.
<Abstract>
Objectives: Autoimmune gastritis (AIG) has been poorly described in childhood. We sought to identify the patterns of manifestations of pediatric AIG at onset and to describe its laboratory, clinical, and histopathological features.
Methods: This was a retrospective, longitudinal, multicenter, cohort study enrolling histologically proven AIG patients with an onset in the pediatric age (<18 years old). We retrieved laboratory and clinical data at the time of onset and at last follow-up when available. Differences between Helicobacter pylori-exposed versus H. pylori-naïve, and anti-parietal cell antibody (PCA)-positive versus PCA-negative patients were investigated.
Results: Overall, 51 pediatric AIG patients (median age: 13 years, interquartile range: 11-16; F:M ratio 1.7:1) were included. Most patients were diagnosed with the overt type of AIG (47; 92.1%), while four (7.8%) were still in the potential phase. Atopic dermatitis (9.8%), rhinitis (7.8%), and asthma (5.9%) were common comorbidities, suggesting a link with T helper 2 (Th2) disorders. Two patients (3.9%) were found to have had previous or concurrent eosinophilic esophagitis, and five (9.8%) had eosinophilic gastritis. Notably, four patients (7.8%) presented with collagenous gastritis. On histological examination, the majority of patients were negative for H. pylori infection, except for 1 case out of 51 (2.0%) who had an active infection.
Conclusions: AIG may affect pediatric patients and lead to complications in this population. At presentation, the disease may exhibit histologic patterns attributed to collagenous and/or eosinophilic gastritis. Moreover, a possible association between AIG and Th2 disorders has been observed, warranting further research.
Keywords: Helicobacter pylori; anemia; gastric atrophy; neuroendocrine neoplasm; vitamin B12.
Lenti MV, Joudaki S, Miceli E, et al.
J Pediatr Gastroenterol Nutr. 2025 Nov;81(5):1142-1150. doi: 10.1002/jpn3.70187.
INTRODUCTION
자가면역성 위염(Autoimmune gastritis, AIG)은 위의 벽세포(parietal cell)에 존재하는 H+/K+‐ATPase에 대한 면역 반응으로 인해 위 체부 점막(oxyntic mucosa)이 손상되는 만성 염증성 질환으로, 점막 위축과 비타민 B12, 철분 및 기타 미량 영양소 결핍을 초래한다.[1–4] AIG는 모든 연령과 성별에서 보고되었으나, 중년 및 노년 여성에서 더 흔하다.[1,5] 또한 AIG는 다른 자가면역질환과의 연관성이 강하며,[6] AIG 환자의 상당수에서 직계 가족 내 발병 사례가 보고되어,[7] 질환 발생에 있어 유전적 요인의 중요성이 강조되고 있다. 환경적 요인도 일부 보고되었는데, 특히 헬리코박터 파일로리(Helicobacter pylori, H. pylori) 감염이 관련 요인으로 지목되었으나,[8] 성인 AIG에서는 연구 결과가 일관되지 않다.
반면, 소아에서의 AIG는 매우 드문 것으로 알려져 있거나 진단이 덜 이루어지고 있을 가능성이 있다. 실제로 소아에서의 AIG는 소규모 증례군 연구만 보고된 바 있다(Table S1).[9–14]
Supplementary Table 1. Summary of the main studies or case series reporting on pediatric autoimmune gastritis (AIG).
소아 AIG의 진단은 드물다는 점과 다른 위장관 질환과 증상이 겹친다는 점 때문에 어려움이 따른다. 환자는 무증상이거나 소화불량 증상 또는 철분결핍성 빈혈을 보일 수 있는데, 이는 셀리악병(celiac disease)과 같은 다른 소아 질환에서도 흔히 나타난다.[15,16] 따라서 AIG는 진단 과정에서 간과될 수 있으며, 이로 인해 진단이 지연되고, 성인 환자에서 보이는 것처럼 불량한 예후를 초래할 수 있다. 장기적으로 AIG는 위 신경내분비종양[17,18] 및 위선암[1] 발생과도 연관될 수 있다.
따라서 소아에서 AIG를 조기에 진단하는 것이 매우 중요하다. 그러나 현재까지 소아 발병 AIG의 장기적 자연경과는 알려져 있지 않으며, 임상적·병리학적 특징도 충분히 기술되지 않았다. 본 다기관 연구에서는 소아 AIG의 발현 양상과 임상적 특징을 규명하여, 조기 인지 및 가능한 조기 진단에 기여하고자 하였다.
METHODS
Ethics statement
모든 환자 및/또는 보호자(부모 또는 간병인)로부터 자료의 익명 공개에 대해 서면 동의서를 받았다. 모든 자료는 완전히 익명화되고 통합 처리되었다. 본 연구는 기관윤리위원회의 승인을 받았다(Fondazione IRCCS Policlinico San Matteo, 승인번호 0003262/25). 각 참여 기관은 자체 기관에서 임상 자료 수집에 대한 승인을 책임졌다. 본 연구에서 생성된 모든 자료는 본 논문에 보고되었다. 추가적인 원자료(raw data)는 교신저자에게 합리적인 요청 시 제공될 수 있다. 본 연구의 설계, 수행, 보고 및 결과 확산 과정에는 환자나 일반인이 참여하지 않았다.
Study population and inclusion criteria
본 다기관 후향적 연구에는 진단 당시 18세 미만이었던 환자가 포함되었으며, 2019년부터 2024년 사이에 잠재성(potential) AIG[19], 명백한(overt) AIG, 또는 혈청음성(seronegative) AIG[20]를 포함한 모든 유형과 단계의 AIG로 진단받은 환자가 대상이 되었다. 잠재성 AIG는 위산분비부(oxyntic) 점막 위축의 조직학적 증거가 없는 환자에서 벽세포항체(anti-parietal cell antibody, PCA)가 존재하는 경우로 정의하였다. 이러한 환자는 시간이 지남에 따라 명백한 AIG로 진행할 수 있으므로 성인 집단에서 보고된 바와 같이[19] 면밀한 추적 관찰이 필요하다. 명백한 AIG는 위산분비부 점막에서 경도에서 중증에 이르는 어느 정도의 위축이 확인되는 경우를 의미한다[1]. 혈청음성 AIG는 순환하는 PCA가 검출되지 않는 상태에서 위산분비부 점막의 위축이 조직학적으로 확인된 경우로 정의된다[20].
소아 환자는 총 14개 센터에서 모집되었으며, 이 중 13개는 이탈리아, 1개는 이스라엘 기관으로, 모두 소아·청소년 소화기 질환 진단에 전문성을 보유하고 있었다. 모집된 환자는 PCA 검사를 받은 경우(선별 목적, 가족력, 소화불량 증상, 빈혈 또는 AIG가 의심되는 기타 증상으로 인한 검사 포함) 또는 상부위장관 내시경 및 생검을 통해 직접 AIG 진단을 받은 경우(예: 혈청음성 AIG 환자 포함)였다. AIG의 진단은 국제적으로 인정된 기준[21. Rugge M, Genta RM, Malfertheiner P, et al. RE GA IN. RE.GA.IN.: the real‐world gastritis initiative‐updating the up dates. Gut. 2024;73:407‐441.]에 따라 위산분비부 위점막의 어느 정도 위축이 있고 전정부(antrum)가 보존된 경우, 반드시 조직학적 근거에 의해 이루어졌다. 모든 사례에서 생검은 Sydney–Houston protocol[22]에 따라 시행되었으며, 전정부에서 2개, 절각부(incisura angularis)에서 1개, 체부(corpus)에서 2개의 생검을 채취하였다. 전체 관찰 기간은 진단 시점부터 최종 추적 관찰 시점까지의 평균 기간으로 산출되었다.
Timepoints and variables collected
사회인구학적 변수(연령, 성별), 임상적 변수(발현 시 증상), 검사실 변수(비타민 B12, 엽산, 페리틴, 가스트린-17, 크로모그라닌 A), 내시경 소견(진단 시점 및 가능할 경우 최종 추적관찰 시점)을 수집하였다. 헬리코박터 파일로리(H. pylori) 감염 상태와 과거 제균 치료 여부를 고려하였으며, 그 외 변수로는 자가면역 및 비자가면역 질환을 포함한 동반질환, 자가면역질환·AIG·악성종양에 대한 가족력, 면역결핍, 과거 양성자펌프억제제(PPI) 사용 여부 및 기타 약물치료 이력이 포함되었다.
Study end points
본 연구의 1차 목적은 소아 AIG 환자의 특성을 보고하는 것이었다. 또한 전체 관찰 기간 동안 위 신경내분비종양, 이형성(dysplasia) 및 선암(adenocarcinoma)의 발생을 보고하였다. 2차 목적은 환자의 특성을 연령군(≥12세 vs <12세) 및 혈청학적 상태(PCA 양성 여부)에 따라 평가하는 것이었다.
Statistical analysis
모든 통계 분석은 MedCalc 소프트웨어(온라인, 무료 버전)를 사용하여 수행하였다. 양측 검정에서 p<0.05를 통계적으로 유의한 것으로 간주하였다. 연속형 자료는 중앙값과 사분위범위(interquartile range, IQR; 25–75백분위수) 또는 평균과 표준편차(standard deviation, SD)로 기술하였으며, 범주형 자료는 빈도와 백분율로 제시하였다. 비교 분석을 위해 Fisher의 정확 검정을 시행하였으며, 예를 들어 혈청항체 양성군과 음성군 간 비교 또는 연령군 간 비교에 사용하였다. 누적 관찰 기간을 산출하였다. 연구의 질 보증을 위해 역학 관찰 연구 보고 지침(STROBE, STrengthening the Reporting of OBservational studies in Epidemiology)을 준수하였다.
RESULTS
총 51명의 소아 AIG 환자가 연구에 포함되었으며(진단 시 연령의 중앙값: 13세, 사분위 범위[IQR]: 11–16; 여:남 비율 = 1.7:1) (Table 1), 중앙 추적관찰 기간은 24개월(IQR: 12–57)이었다. AIG는 여성 환자와 12세 이상 환자에서 더 흔히 관찰되었다. 흡연자는 없었으며, 대부분의 환자는 백인이었다.
대부분의 환자는 명백한 AIG(overt AIG)로 진단되었으며(47명, 92.2%), 4명(7.8%)은 여전히 잠재성 AIG 상태였다(Table 2). 진단 시 혈액학적 이상 중 가장 흔한 것은 소구증(microcytosis)이었으며(33명, 64.7%), 대구증(macrocytosis)은 3명(5.9%), 범혈구감소증(pancytopenia)은 2명(3.9%)에서 관찰되었다. 명백한 빈혈은 대부분의 환자에서 나타났으며(38명, 74.5%), 그중 경도 빈혈이 가장 흔했다(22명, 43.1%). 면역글로불린 A 결핍은 2명(3.9%)에서, 공통변수면역결핍(common variable immunodeficiency)은 1명(2.0%)에서 관찰되었으며, 다선증후군(polyglandular syndrome)은 4명(7.8%)에서 동반되었다. 아토피피부염, 비염, 천식은 각각 5명(9.8%), 4명(7.8%), 3명(5.9%)에서 보고되었다. H. pylori 감염은 매우 드물었으며(1명, 2.0%), 또 다른 1명(2.0%)은 과거 제균 치료를 받은 병력이 있었다. PCA 양성은 38명(74.5%)에서 확인되었다.
가족력에서는 4명(7.8%)이 AIG의 가족력이 있었고, 17명(33.3%)이 자가면역질환의 가족력이 있었다(Table S2). 그러나 35명(68.6%)은 동반 자가면역질환을 가지고 있었으며, 가장 흔한 질환은 하시모토 갑상선염(19/51; 37.2%)이었고, 그 뒤를 셀리악병(5/51; 9.8%), 제1형 당뇨병과 백반증(각각 3/51; 5.9%)이 이었다. 이외에도 2명(3.9%)은 과거 또는 동반성 호산구성 식도염(eosinophilic esophagitis), 5명(9.8%)은 호산구성 위염(eosinophilic gastritis)을 가지고 있었다.
Supplementary Table 2. Prevalence of autoimmune and immune mediated diseases in the 51 pediatric patients with autoimmune gastritis (AIG).
환자의 기저 및 최종 추적 시점의 검사실 자료는 Table S3에 제시하였다.
Supplementary Table 3. Baseline and last available laboratory data of patients with autoimmune gastritis.
연령군(<12세 vs ≥12세) 비교(Table S4)에서, ≥12세 그룹 환자는 <12세 그룹보다 신경내분비종양의 진단을 더 이른 시기에 받는 경향을 보였다(중앙값: 진단 후 12개월 vs 84개월; p=0.003). 그 외 유의한 차이는 관찰되지 않았다.
Supplementary Table 4. Prevalence of clinical characteristics in pediatric patients with autoimmune gastritis, based on the age group.
연령군에 따른 검사실 자료는 Table S5에 보고하였다.
Supplementary Table 5. Laboratory data based on age groups.
혈청학적 상태(PCA 양성 vs 음성, 즉 혈청음성 AIG) 비교(Table S6)에서는, 범혈구감소증이 PCA 음성군에서 유의하게 더 흔했다(2/8; 25% vs 0; 0%; p=0.0018). 또한, 소구증은 PCA 음성군에서 더 흔했으며(25/38; 65.8%), PCA 양성군에서는 1/8명(12.5%)에서만 관찰되었다(p=0.0063). 위장관 증상 중 소화불량은 PCA 양성군에서 가장 흔했으며(12/38; 31.6%), PCA 음성군에서는 보고되지 않았다. 기능성 소화불량 및 과민성 장증후군으로 오진된 경우는 PCA 음성군에서 더 흔했다(p=0.0255 및 0.0293). PCA 음성 환자는 PCA 양성 환자보다 신경내분비종양 진단을 더 빨리 받는 경향을 보였다(중앙값: 12개월 vs 84개월; p=0.002). 그 외 유의한 차이는 관찰되지 않았다.
Supplementary Table 6. Clinical data based on anti-parietal cell antibody (PCA) status.
PCA 상태에 따른 검사실 자료는 Table S7에 보고하였다.
Supplementary Table 7. Baseline and last available laboratory values based on anti parietal cell antibody (PCA) status.
조직학적 검사에서는 대부분의 환자에서 H. pylori 감염이 음성이었으며, 단 1명(2.0%)에서만 활동성 감염이 확인되었고 이후 제균되었다(Table 3). AIG의 진단과 일치하게, 잠재성 AIG 환자 4명을 제외한 대부분의 환자에서 위체부 점막 위축이 관찰되었으며, 장상피화생은 51명 중 11명(21.6%)에서 확인되었다. 특히 4명(7.8%)에서는 호산구증을 동반한 교원질성 위염(collagenous gastritis)이 첫 발현으로 나타났으며, 이들 모두 2년 이내에 명백한 AIG로 진행하였다.
Figure 1은 교원질성 위염(A, B)으로 진단된 후 AIG로 진행한 환자의 대표적인 병리조직학적 소견을 보여준다(C, D). 관찰 기간 동안 신경내분비종양과 상피선 이형성(모두 저등급)은 각각 51명 중 7명(13.7%)에서 발생하였으나, 위선암(위선암종, adenocarcinoma)의 발생은 관찰되지 않았다.
FIGURE 1 Histopathological specimen of the gastric corpus of a patient who was diagnosed with collagenous gastritis (A, B) and subsequently evolved into autoimmune gastritis (C, D) after roughly 2 years. In (A), the hematoxylin and eosin staining shows increased eosinophil infiltration of the mucosa with a thickening of the subepithelial collagen, better noticed with the Masson‐trichrome staining (B); a very mild glandular atrophy can be noticed. In (C and D), after 2 years, typical features of autoimmune gastritis are noticed with hematoxylin and eosin staining, namely mucosal atrophy; the subepithelial collagen band is not clearly evident anymore.
DISCUSSION
이 다기관 연구는 이탈리아와 이스라엘 14개 센터에서 수집된 51명의 소아 AIG 환자를 보고하며, 이 질환에 대한 지식을 넓히는 데 기여한다. 이전 연구들과 달리, 본 연구는 종적(longitudinal) 접근을 통해 소아 및 청소년 AIG의 자연 경과와 임상적 변화를 이해하는 데 중요한 통찰을 제공한다. 잠재 단계부터 명백한 단계(overt), 혈청 양성에서 혈청 음성에 이르기까지 다양한 단계와 아형의 환자들을 포함하였으며, 환자들은 중앙값 24개월(IQR: 12–57) 동안 임상적으로 추적 관찰되었다. 이는 기존 문헌에서 흔히 부족했던 요소이다.
본 연구에서는 소아 AIG의 여러 특성을 규명하였다. 새로운 발견으로는 알레르기 비염, 천식 등 Th2 관련 질환과의 연관 가능성, 소아 AIG 환자에서 H. pylori 감염의 드묾, 질환 초기 단계에서 나타나는 교원성 위염(collagenous gastritis)과의 연관성, 소아에서 혈청 음성 AIG의 흔한 발생, 그리고 이들 환자에서 면역 매개 질환 및 면역결핍증의 높은 빈도 등이 있다.
특히, H. pylori 감염은 연구 대상자에서 드물게 관찰되었다. 이전의 한 연구에서 H. pylori 관련 및 자가면역성 위염을 비교한 결과, 성인에서는 위축성 위염이 위 벽의 산분비 세포에 대한 자가면역 반응이나 진행된 H. pylori 감염의 결과로 나타날 수 있음이 밝혀졌다[7]. 그러나 소아에서는 H. pylori 감염이 매우 드물었고(1/51, 2%), 위축성 위염 발생에서 감염보다는 자가면역이 더 중요한 역할을 하는 것으로 보인다.
AIG 진단에 있어 위벽 벽세포의 H+/K+ ATPase 성분에 대한 자가항체(PCA)는 중요한 표지자로서 선별 검사에 이용된다[23]. 그러나 본 연구에서는 소아 AIG 환자에서 PCA 음성이 상당히 흔히 관찰되었다. 이는 예상 밖의 결과로, 소아 환자에서 혈청 음성 AIG의 높은 발생은 주의 깊은 진단적 접근이 필요함을 시사한다. 지금까지는 PCA 음성이 주로 노인 AIG 환자에서 면역노화(immunosenescence) 기전과 관련된 것으로 알려져 있었다[24].
혈청 음성 AIG 환자들은 종종 다른 질환으로 오진되었는데, 빈혈의 다른 유형, 과민성 장 증후군, 백혈병, 그리고 특히 다른 유형의 위염으로 잘못 진단되었다. 이는 중요하다. 왜냐하면 PPI가 대부분의 위염 치료의 기본이지만, AIG에서는 금기이며, 오히려 신경내분비종양으로 진행을 촉진할 수 있기 때문이다[25,26]. 소아 환자는 기대수명이 길기 때문에 AIG의 장기 합병증, 즉 위선암이나 위 신경내분비종양에 더 취약할 수 있으며, 잘못된 진단과 치료는 이러한 위험을 더욱 높일 수 있다[13,27].
또한 본 연구는 소아 AIG의 병태생리에 대한 통찰도 제시한다. AIG는 호산구 침윤 및 산분비점막의 상피하 비후와 같은 초기 소견과 관련이 있었는데, 이는 AIG의 전형적인 병리학적 소견이 나타나기 전 교원성 위염의 진단과 일치한다[28,29]. 호산구는 면역 조절에서 중요한 역할을 하며, 자가면역 반응을 유도하여 산분비점막 세포에 대한 항체 생성을 촉진할 수 있다. 실제로 성인 AIG에서도 산분비점막에서 호산구 침윤이 흔히 관찰된다[1,30].
천식, 아토피, 호산구성 식도염 등 Th2 관련 질환과 하시모토 갑상선염, 셀리악병 등 다른 자가면역질환의 높은 동반율은 공통된 면역학적 경로를 시사한다. 실제로 본 연구 집단에서 호산구성 위염 및 식도염이 두드러지게 흔히 관찰되었으며, 이는 호산구가 자가면역 및 점막 위축을 유도하는 면역조절적 역할을 할 수 있음을 보여주며, AIG 병인과정에서 호산구와의 상호작용에 대한 추가 연구가 필요함을 강조한다.
AIG의 잠재 단계에서 명백한 단계로의 진행에 대한 자연 경과는 소아에서 아직 명확히 알려져 있지 않다. 본 연구에서는 초기 교원성 위염으로 진단된 일부 환자가 2년 이내에 명백한 AIG로 진행함을 확인하였으며, 이는 위험군 소아의 지속적 추적관찰의 필요성을 강조한다. 향후 장기간의 추적연구가 질환 진행에 대한 더 깊은 이해를 위해 필요하다.
신경내분비종양 및 상피 이형성이 본 코호트의 13.7%에서 관찰되었으며, 이는 조기 진단의 중요성을 강조한다. 진단 지연으로 인한 오진과 잘못된 관리가 소아 환자에서 위선암을 포함한 불량한 예후를 증가시킬 수 있으며, 이는 특히 긴 기대수명을 가진 소아 환자에서 더욱 중요하다.
물론 본 연구에는 여러 제한점이 있다. 이는 지금까지 발표된 소아 AIG 연구 중 가장 큰 규모 중 하나이지만, 여전히 표본 수가 작아 세부적인 분석은 불가능했다. 후향적 연구 특성상 선택 편향, 잠재적 교란 요인, 자료의 이질성 등 본질적 한계가 있다. 또한 성인 AIG 연구와 비교할 때, 합병증 발생 위험을 규명하기 위해서는 더 긴 추적관찰이 필요하다. 마지막으로, 더 큰 규모의 전향적 연구가 필요하며, 다양한 국가와 인종을 포함하는 연구가 요구된다.
CONCLUSION
결론적으로, 자가면역성 위염(AIG)은 소아에서도 발생할 수 있으며 이 연령대에서도 합병증을 유발할 수 있습니다. 또한 Th2 관련 질환과의 일정한 연관성이 관찰되었으며, 이 발견은 향후 추가적인 연구가 필요함을 시사한다. 이러한 연관성의 기전을 규명하고 소아 환자의 치료 전략을 최적화하기 위해서는 추가적인 연구가 요구된다.
<Abstract>
Objectives: Autoimmune gastritis (AIG) has been poorly described in childhood. We sought to identify the patterns of manifestations of pediatric AIG at onset and to describe its laboratory, clinical, and histopathological features.
Methods: This was a retrospective, longitudinal, multicenter, cohort study enrolling histologically proven AIG patients with an onset in the pediatric age (<18 years old). We retrieved laboratory and clinical data at the time of onset and at last follow-up when available. Differences between Helicobacter pylori-exposed versus H. pylori-naïve, and anti-parietal cell antibody (PCA)-positive versus PCA-negative patients were investigated.
Results: Overall, 51 pediatric AIG patients (median age: 13 years, interquartile range: 11-16; F:M ratio 1.7:1) were included. Most patients were diagnosed with the overt type of AIG (47; 92.1%), while four (7.8%) were still in the potential phase. Atopic dermatitis (9.8%), rhinitis (7.8%), and asthma (5.9%) were common comorbidities, suggesting a link with T helper 2 (Th2) disorders. Two patients (3.9%) were found to have had previous or concurrent eosinophilic esophagitis, and five (9.8%) had eosinophilic gastritis. Notably, four patients (7.8%) presented with collagenous gastritis. On histological examination, the majority of patients were negative for H. pylori infection, except for 1 case out of 51 (2.0%) who had an active infection.
Conclusions: AIG may affect pediatric patients and lead to complications in this population. At presentation, the disease may exhibit histologic patterns attributed to collagenous and/or eosinophilic gastritis. Moreover, a possible association between AIG and Th2 disorders has been observed, warranting further research.
Keywords: Helicobacter pylori; anemia; gastric atrophy; neuroendocrine neoplasm; vitamin B12.