Diagnosis of early gastric neoplasia and precancerous conditions

8. ESGE/EHMSG/ESP는 위 전암성 병변과 병소의 검진, 진단, 감시를 위해 가상색소내시경(VCE)을 포함한 고품질 내시경을 권고한다.
9. ESGE/EHMSG/ESP는 신생물이 의심되는 병소의 경우, VCE를 활용하여 조직검사를 시행할 것을 권고한다.
10. ESGE/EHMSG/ESP는 위 전암성 병변의 진단 및 병기 결정을 위해 VCE를 이용한 표적 조직검사를 권고하며, 내시경적으로 전암성 병변이 의심되지 않는 경우에는 무작위 조직검사를 권고한다.
11. ESGE/EHMSG/ESP는 위 전암성 병변과 병소의 내시경적 진단에 대한 교육을 권고한다.
위 신생물의 상당한 누락률(6%–10%)로 인해 상부위장관내시경(EGD)의 다양한 질 지표가 확인되었다[65–67]. 여러 연구에서 기준치는 달랐으나, 내시경 소요 시간이 길수록 발견율이 높아진다는 결과가 보고되었다[68–78]. 최근 발표된 세 편의 메타분석에서는 시메티콘(단독 혹은 N-아세틸시스테인과 병용)의 시술 전 사용이 가시성을 개선시키고[79–81], 전암성 병변 및 신생물을 포함한 상부위장관 병리의 발견율을 높이는 것과 관련이 있음이 확인되었다[81–83]. 한 연구에서는 시메트로퓸 브로마이드(cimetropium bromide) 전처치가 위 신생물 병변의 발견을 증가시켰다[13]. 점막 가시성을 분류하기 위한 여러 척도도 제안된 바 있다[84–88]. 또한 위 신생물 발견에 대한 전문 교육 역시 발견율을 개선하는 것으로 나타났다[71,89–92].
MAPS 가이드라인의 지난 개정 이후, 조기 병변 및 전암성 병변의 발견을 위해 VCE(특히 협대역영상 [NBI], 청색 레이저 영상 [BLI], linked-color 영상 [LCI]) 사용을 지지하는 새로운 근거가 보고되었다. 한 메타분석에서 NBI와 BLI는 조기 위암 진단에서 백색광 내시경(WLI)보다 우월하였으며, NBI와 BLI 간에는 유의한 차이가 없었다[93]. 몇몇 연구(무작위 대조시험 2편 포함)에서는 LCI가 위 신생물 병변 발견에서 WLI보다 우월함을 보여주었다[94–97]. 단일군 메타분석 두 편에서는 NBI가 GIM 진단에서 민감도 79%–80%, 특이도 91%–93%를 보였다[98,99]. 6편의 연구를 포함한 메타분석에서는 LCI가 GIM 진단에서 민감도 87%, 특이도 86%로 높은 정확도를 보였다[100]. 비교 연구들의 메타분석 또한 GIM 발견에서 NBI가 WLI보다 우월함을 확인하였다[101]. 근거는 제한적이지만, 일부 연구에서는 GIM 진단에서 BLI, i-scan optical enhancement[102], LCI[103]가 WLI보다 우월함을 보고하였다.
이전 연구들에서는 무작위 매핑 조직검사와 병행한 표적 조직검사가 위 전암성 병변의 진단과 병기 결정에 유용함을 보여주었다[104,105]. 그러나 일부 연구에서는 염색내시경 기반 표적 조직검사와 매핑 조직검사를 병행하는 전략이 단독 표적 조직검사보다 우월하다는 결과가 있어, 매핑 조직검사는 여전히 역할을 가진다[104,106,107]. 따라서 VCE는 의심 부위의 조직검사를 안내해야 하지만, 특히 경험이 적은 시술자의 경우 추가적인 무작위 조직검사가 GIM 환자 식별을 높일 수 있다.
반면, VCE에 충분한 경험이 있다면 표적 조직검사 단독 전략(조직 표본과 용기의 수를 줄이는 결과)이 대안으로 고려될 수 있다. ESGE의 광학 진단 교육과정(curriculum)[108]에 따르면, 내시경 의사들은 확대 내시경에서 VCE를 위한 vessel plus surface classification system(VSCS)[109,110]이나 고해상도 NBI 내시경을 위한 단순화된 NBI 분류[111]와 같은 검증된 분류 체계를 활용하는 교육 과정에 참여할 것이 권장된다. 이는 온라인 모델을 이용한 교육이 광학적 진단의 정확성을 높인다는 근거가 있기 때문이다[89,112–117].

12. ESGE/EHMSG/ESP는 실시간 인공지능(AI) 보조를 통한 위 신생물 병변의 발견 및 위치 확인 또는 전암성 병변의 병기 설정을, 가능할 경우 활용할 것을 제안합니다.
매년 EGD(상부위내시경) 시행 건수가 증가하고 있음에도 불구하고, 위암(GC) 누락률은 일정하게 유지되고 있다 [65,66]. 최근에는 위에서 조기 신생물을 탐지하기 위한 소화기 내시경 분야에서 인공지능(AI)이 개발되었다 [118–141]. 대부분의 연구는 후향적으로 수행되었으며 정지 영상 평가에 의존한다. Arribas 등[140]의 메타분석에 따르면, AI 시스템은 위선암 탐지에서 민감도 88%, 특이도 89%를 보였다. 또 다른 최근 메타분석(17편 연구 포함)에서는 통합 AUC가 0.94였으며, 민감도와 특이도는 각각 87%와 88%였다 [134]. 실시간 Endoangel 시스템 사용 시 민감도와 특이도는 각각 91.8%, 92.4%였으며 [124], 단일 RCT에서는 맹점(blind spot)을 유의하게 감소시키고 [126], 신생물 누락률을 낮추는 효과(RR 0.224, 95% CI 0.068–0.744; P=0.015)를 보였다 [141]. 또한 만성위축성위염(CAG)과 위장관상피화생(GIM) 진단을 위한 여러 시스템이 개발되어 유망한 결과를 보이고 있다 [142–152]. 최근 메타분석에서는 AI를 활용한 영상 평가에서 민감도 94%, 특이도 96%, AUC 0.98이 보고되었다 [150]. ESGE는 암과 전암성 병변 모두에서 탐지 민감도 90% 이상을 달성할 것을 권고하며 [153], 따라서 가능하다면 AI 보조 시스템을 사용하는 것이 바람직하다.

13. ESGE/EHMSG/ESP는 신생물 병변이 의심될 경우, 해당 병변에 대해 다음과 같이 할 것을 권고한다:
▪ 크기, 파리 분류(특히 궤양 여부)에 따른 형태, 위치, 혈관 및 점막 양상을 포함하여 적절히 기술할 것
▪ 사진으로 기록할 것
▪ 표적 생검을 2개 채취할 것
위 신생물의 내시경적 절제(ER)가 성공적으로 이루어지기 위해서는 적절한 병변 특성 평가와 ER 적응증에 대한 판단이 필요하다(▶Fig.3).

여기에는 병변의 크기(가로 범위를 VCE로 평가), 형태(파리 분류), 침윤 깊이 및 분화도의 예측이 포함된다 [10,16]. 일부 동양권 연구에서는 VCE가 분화도를 예측할 수 있다고 보고하였으나, 유럽 환경에서는 분화도 평가와 신생물 여부 확인을 위해 ER 이전에 반드시 생검이 필요하다 [10]. 다기관 전향적 연구에서 95%의 정확도가 보고되었음에도 [154], 생검은 절제 표본의 최종 병리와 비교해 병변을 과소평가할 수 있으며, 약 10%의 불일치율이 보고되었다 [155,156].
ESGE 조직검사 가이드라인에서는 병변에 대해 1–2회의 표적 생검만을 권고한다 [157]. 그러나 대규모 후향적 연구에서는 2회 생검 시 진단 정확도가 유의하게 더 높았으며(92.5% vs. 83.9%, P<0.001), [158], ER 이전의 1–2회 생검이 이후의 절제술에 영향을 준다는 근거는 없다. 따라서 우리는 조기 병변에서는 ER 전 2회의 생검을, 진행된 병변에서는 6회의 생검을 시행할 것을 권고한다 [157,159].
병변이 발견되면 내시경의사는 병변의 크기, 형태, 분화도 외에도 심부 점막하 침윤이나 비치유성 절제 위험 인자가 있는지를 평가해야 한다. 메타분석에서 확인된 비치유성 절제 위험 인자로는 저분화 [160–165], 큰 종양 크기(≥20mm, OR 3.66–3.94; ≥30mm, OR 5.01) [160,166], 궤양(OR 2.69–3.92) [160,166], 함몰형 형태(OR 1.49), 위 상부 1/3 위치(OR 1.49) [160] 등이 있다. 또한 관찰 연구에서는 조기 위암의 비치유성 절제 위험 인자로, 위 주름의 수렴·비후·급격한 절단, 점막 결절성의 소실, 자발적 출혈·취약성 등이 제시되었다 [167–169].
점막하 침윤 위험 인자로는 병변 크기 >30mm [170], 위 상부 1/3 위치, 뚜렷한 변연 융기 [170], 불규칙한 표면/결절성 [170], 현저한 발적 [170], 수렴 주름의 융합 [162,171], 불규칙·결절성 함몰과 수렴 주름 융합 [171], 비대된 위 주름 [172], nonextension sign [173,174] 등이 있다.
▶Appendix A에 제안된 내시경 보고서(proforma endoscopy report) 양식을 참고할 수 있다.


14. ESGE/EHMSG/ESP는 심부 점막하 침윤이 의심되는 소견이 있거나 병변이 내시경 절제에 적합하지 않다고 판단되는 경우를 제외하고, 내시경 절제 전 일상적으로 내시경 초음파(EUS), 전산화단층촬영(CT), 자기공명영상(MRI), 또는 양전자방출단층촬영(PET-CT)을 시행할 것을 권고하지 않는다.
ER 대상 조기 위 병변에서 림프절 전이 위험(사전 위험도)은 낮다. ESD 후 완치 절제율이 약 80% 수준임을 고려할 때, 병변 선택을 개선하고 보다 정확한 병기 결정을 하려는 관심이 커지고 있다. CT나 PET-CT의 역할을 조기 위암에서 침윤 깊이·림프절 전이·ER의 근치 가능성 예측에 적용한 연구는 소수에 불과하다. 조기 위암 병기(조기 0-IA vs. 진행 IB–IIIC)에서 CT의 정확도는 60%였고, 진행성 위암에 대한 민감도는 61.1%, N+에 대한 특이도는 75%(양성예측도 62.5%)였으며, 과대평가율은 16.6%, 과소평가율은 36.8%였다 [175]. 이후 위 윈도우(gastric window)를 이용한 CT는 T1/T2 구분 정확도를 개선하고 T1 단계의 과대평가율을 7–8%로 낮추었으나, T1a와 T1b 구분 정확도는 67–69%로 제한적이었다 [176]. PET-CT에 대해서는 Chung 등[177]의 2019년 연구에서, 내시경적 근치 가능성 예측 정확도가 85%로 보고되었고, 민감도 79%, 특이도 91%, 양성예측도 81%, 음성예측도 89%로, 비근치 절제 예측에 유용하였다.
EUS의 역할과 관련하여, Shi 등[178]의 메타분석에서는 침윤 깊이 예측 정확도를 분석했으며, 민감도는 87%, 특이도는 67%였다. 점막/점막하1(M/SM1)에 대한 과대평가율은 13.3%, 점막하(SM)에서는 32.8%, SM에 대한 과소평가율은 29.7%였다. Lee 등[179]은 조기 위암에서 EUS 과대평가율 26.5%, 과소평가율 6.9%를 보고했으며, Li 등[180]은 각각 33.6%와 10.4%로 보고하였다. 여러 연구에서 EUS 오진의 위험 인자가 보고되었는데 [178,180–182], Kim 등[182]은 병변 크기, 궤양 존재, 비편평 병변이 낮은 정확도의 위험 인자임을 보여주었다(크기 >20–30mm, OR 3.59, P=0.001; 크기 >30mm, OR 5.47, P=0.001; 궤양, OR 6.62, P=0.003; 비편평 병변, OR 2.94, P=0.029). 조기 위암 침윤 깊이에 대한 EUS의 전체 정확도는 55.9%에서 95%까지 보고되었으나 [173,175,179–186], 대부분의 연구는 66%에서 79% 수준에 해당한다 [173,175,179,182,184,186].
주목할 점은, 내시경 단독(색소내시경 없이도)으로 ER의 근치 가능성을 약 80% 정확도로 평가할 수 있으며, 여러 예측 모델이 ESD와 수술 중 선택을 돕기 위해 개발되어 좋은 결과가 보고되었다는 점이다 [163,168,187]. 또한, ESD는 추후 수술을 배제하지 않으므로 가장 확실한 T병기 평가 방법으로 간주될 수 있다.
결론적으로, EUS, CT, PET-CT는 내시경 평가에 비해 유의미하게 추가적인 이점을 제공하지 못하며, 과대·과소평가율이 높아 특히 내시경 절제가 가능하다고 판단되는 병변에서는 일상적으로 권장되지 않는다. 다만, PET-CT의 정확도는 내시경적 예측(~80%)과 유사하며, 점막하 침윤 또는 비근치 절제가 의심되는 병변에서는 비근치 절제에 대한 높은 양성예측도를 바탕으로 내시경 치료와 수술 간 의사결정에 도움이 될 수 있다.

15. ESGE/EHMSG/ESP는 전암성 병변의 내시경적 병기 설정과 위암 위험도 층화를 위해, 위축(atrophy)에 대해서는 Kimura–Takemoto 분류, 위장관 상피화생(GIM)에 대해서는 EGGIM(endoscopic grading of gastric intestinal metaplasia)과 같은 검증된 내시경 분류법의 사용을 제안한다.
EGGIM 점수 체계는 내시경 검사 중 일반 확대 없는 VCE로도 위암 위험을 층화할 수 있으며, 일상적인 생검이 필요하지 않고, 고위험 GIM 표현형(OLGIM III–IV)에 대해 gold standard와 높은 일치도를 보였다 [188]. 비교 연구(진단 연구 4편, 환자-대조군 연구 3편)를 포함한 메타분석에 따르면, EGGIM은 OLGIM III/IV를 정확히 식별하였으며, 통합 민감도와 특이도는 각각 92%(95% CI 86%–96%), 90%(95% CI 88%–93%), AUC는 0.9702였다. 또한 EGGIM 점수가 높은 환자(5–10점)는 조기 위암 발생 위험이 더 높았으며(OR 7.46, 95% CI 3.41–16.31) [189], VCE를 이용해 GIM 중증도를 예측한 또 다른 메타분석에서도 EGGIM은 다양한 디지털 색소내시경 모드에서 높은 예측력을 보였다. 특히 고위험 GIM에 대해서는 이 방법의 통합 예측 민감도가 93%(95% CI 87–96), 특이도 91%(95% CI 88%–93%), AUC 0.9728로 보고되었다 [190].
마찬가지로, Kimura–Takemoto 분류에 따른 백색광 내시경(WLE)을 활용한 위축성 병변의 내시경적 등급화는 위 신생물 발생 위험을 정확히 평가할 수 있다. 14편의 후향적 연구를 포함한 메타분석에서, 중증 내시경적 위축(O2–O3)을 가진 비선택 환자군에서 위 신생물 발생의 통합 위험비(RR)는 3.89(95% CI 2.92–5.17)였고, open-type 위축을 가진 환자군에서는 7.27(95% CI 1.64–32.33)이었다 [191].
요약하면, 광범위한 전암성 병변(EGGIM ≥5 및/또는 Kimura–Takemoto open-type)이 내시경에서 확인된 환자는 GC 위험이 높으며, 이러한 내시경적 병기 평가는 향후 관리에도 도움이 될 수 있다. ▶Appendix A에 제안된 내시경 보고서(proforma endoscopy report)를 참고할 수 있다.

17. ESGE/EHMSG/ESP는 모든 내시경 생검에서 고품질의 병리학적 보고를 권고하며, 다음 항목을 포함해야 한다:
▪ 이형성의 존재 및 정도
▪ 선암의 존재 및 아형(로렌 분류, WHO 분류)
▪ 위축의 존재 및 정도
▪ 장상피화생의 존재 및 정도
▪ 장상피화생의 아형 구분(complete 또는 incomplete)
▪ 헬리코박터 파일로리 감염의 존재 여부
18. ESGE/EHMSG/ESP는 위축의 병리학적 병기 설정을 위한 체계(operative link on gastritis assessment, OLGA) 또는, 가능하면 장상피화생의 병기 설정 체계(operative link on gastric intestinal metaplasia, OLGIM)를 사용할 수 있으며, 이를 내시경 정보와 통합하여 환자 관리에 활용할 것을 제안한다.

19. ESGE/EHMSG/ESP는 장상피화생을 I형에서 III형으로 세분하는 추가 아형 분류는 의료 전문가에게 위험을 초래할 수 있으므로 권고하지 않는다.
20. ESGE/EHMSG/ESP는 이형성이 확인된 생검은 소화기 병리 전문의가 검토할 것을 제안한다.
이형성 또는 그보다 심한 변화를 포함하는 모든 표재성 병변은 병기 설정 후 절제하여 치료해야 한다. ESGE/EHMSG/ESP는 악성 병변을 절제한 환자는 다학제 팀(MDTs)에 의해 치료할 것을 권고하며, 관리 권고는 내시경 및 병리 보고서를 기반으로 해야 한다. 따라서 검체 처리는 엄격한 기준을 따라야 한다(▶Appendix B 참조).

일부 경우, 생검 결과가 “이형성 의심/불확정(indeterminate/indefinite for dysplasia, IND)”으로 보고되기도 한다. 이는 내시경 겸자 생검에서 재생성 병변인지 신생물성 병변인지에 대한 확정적 병리 진단이 어려운 경계성 병변을 의미한다. 제한된 자료에 따르면, IND는 고등급 이형성(5%) 또는 침윤성 암(23%–29%)의 비교적 높은 빈도로 보고되며[202–204], 약 40%는 재검토 시 병리학적으로 상향 조정된다. 반복 생검에서 위 IND가 다시 확인되는 경우는 9%에 불과하다[204]. 따라서 소화기 병리 전문의에 의한 재평가와 내시경 재검사가 합리적일 수 있다.
전암성 병변의 경우, 암 발생 위험은 장상피화생(IM)의 범위(특히 전정부와 체부 모두에 침범하는 경우), 정도, 아형과 관련이 있는 것으로 보인다. MAPS I 및 MAPS II에서는 위축과 IM의 병기 설정을 위해 각각 OLGA와 OLGIM 체계를 제안하였다. 2700명의 환자를 포함한 6건의 환자-대조군 연구와 2건의 코호트 연구를 종합한 메타분석에서 OLGA 및 OLGIM 병기 III/IV는 위암 위험(장형 및 미만형 모두)과 유의한 관련을 보였다(OLGA: OR 2.64, 95%CI 1.84–3.79, I² = 60%; OLGIM: OR 3.99, 95%CI 3.05–5.21, I² = 0%) [205,206]. 총 18건의 관찰 연구가 확인되었으며[207–224], 이 중 장기 추적 관찰이 이루어진 8건의 전향적 연구만을 포함한 메타분석에서 OLGA/OLGIM 병기 III/IV는 위암 발생(OR 44.21, 95%CI 8.32–235.01; I² = 63%)뿐 아니라 저등급 이형성(OR 14.49, 95%CI 1.91–109.26; I² = 92%) 및 고등급 이형성(OR 16.57, 95%CI 5.71–48.07; I² = 21%) 발생과도 관련이 있는 것으로 나타났다[209,210,216,218–222]. 이러한 예측적 특성에 기반하여 OLGA와 OLGIM 체계는 병리학적으로 위암 위험을 평가하는 데 사용할 수 있다. 그러나 위축성 위염의 진단은 선분비샘 손실의 정도를 등급화해야 하는데, 이는 낮은 평가자 간 및 평가자 내 일치도를 보인다. 따라서 점막 변화의 병기 설정을 목적으로 할 때는 OLGIM이 선호될 수 있다. OLGIM은 OLGA에 비해 생검 표본의 방향성에 대한 기술적 요구가 낮다. 한편, 전정부와 체부 모두에 병변이 존재하는지 여부에 기반한 “광범위 전암성 병변” 개념은 임상적으로 적용하기 더 용이하고, 널리 사용 가능하며, 위암 위험과도 상관성이 있다. 실제로 RE.GA.IN.은 OLGIM III/IV를 MAPS I 및 II 권고와 일치하게 전정부와 체부 모두에 변화가 존재하는 것과 동등하게 간주할 것을 제안하였다[2].
점막 변화의 범위는 GIM 아형 구분보다 더 관련성이 높고 적용하기 쉽다. 예외적으로, GIM을 complete 또는 incomplete로 구분하는 분류는 유용할 수 있다. 일부 연구에서는 incomplete GIM의 정도가 GIM의 범위와 양의 상관관계를 보인다고 보고하였으며, 이는 환자 관리 시 고려되어야 한다. 그러나 GIM을 I, II, III형으로 세분하는 접근은 필요한 염색 과정에서 사용되는 시약의 독성으로 인해 중단되었다.
보고의 완전성 예시는 ▶Appendix B에 제시되어 있으며, ▶Fig.4는 일반적인 접근을 보여준다.
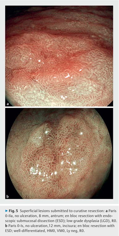
▶Fig.5와 ▶Fig.6은 표재성 병변의 내시경 이미지를,

▶Fig.7은 신생물 병변은 없으나 전암성 병변의 다양한 단계를 보여주는 위 내시경 이미지를 제시한다.

Diagnosis of early gastric neoplasia and precancerous conditions
8. ESGE/EHMSG/ESP는 위 전암성 병변과 병소의 검진, 진단, 감시를 위해 가상색소내시경(VCE)을 포함한 고품질 내시경을 권고한다.
9. ESGE/EHMSG/ESP는 신생물이 의심되는 병소의 경우, VCE를 활용하여 조직검사를 시행할 것을 권고한다.
10. ESGE/EHMSG/ESP는 위 전암성 병변의 진단 및 병기 결정을 위해 VCE를 이용한 표적 조직검사를 권고하며, 내시경적으로 전암성 병변이 의심되지 않는 경우에는 무작위 조직검사를 권고한다.
11. ESGE/EHMSG/ESP는 위 전암성 병변과 병소의 내시경적 진단에 대한 교육을 권고한다.
위 신생물의 상당한 누락률(6%–10%)로 인해 상부위장관내시경(EGD)의 다양한 질 지표가 확인되었다[65–67]. 여러 연구에서 기준치는 달랐으나, 내시경 소요 시간이 길수록 발견율이 높아진다는 결과가 보고되었다[68–78]. 최근 발표된 세 편의 메타분석에서는 시메티콘(단독 혹은 N-아세틸시스테인과 병용)의 시술 전 사용이 가시성을 개선시키고[79–81], 전암성 병변 및 신생물을 포함한 상부위장관 병리의 발견율을 높이는 것과 관련이 있음이 확인되었다[81–83]. 한 연구에서는 시메트로퓸 브로마이드(cimetropium bromide) 전처치가 위 신생물 병변의 발견을 증가시켰다[13]. 점막 가시성을 분류하기 위한 여러 척도도 제안된 바 있다[84–88]. 또한 위 신생물 발견에 대한 전문 교육 역시 발견율을 개선하는 것으로 나타났다[71,89–92].
MAPS 가이드라인의 지난 개정 이후, 조기 병변 및 전암성 병변의 발견을 위해 VCE(특히 협대역영상 [NBI], 청색 레이저 영상 [BLI], linked-color 영상 [LCI]) 사용을 지지하는 새로운 근거가 보고되었다. 한 메타분석에서 NBI와 BLI는 조기 위암 진단에서 백색광 내시경(WLI)보다 우월하였으며, NBI와 BLI 간에는 유의한 차이가 없었다[93]. 몇몇 연구(무작위 대조시험 2편 포함)에서는 LCI가 위 신생물 병변 발견에서 WLI보다 우월함을 보여주었다[94–97]. 단일군 메타분석 두 편에서는 NBI가 GIM 진단에서 민감도 79%–80%, 특이도 91%–93%를 보였다[98,99]. 6편의 연구를 포함한 메타분석에서는 LCI가 GIM 진단에서 민감도 87%, 특이도 86%로 높은 정확도를 보였다[100]. 비교 연구들의 메타분석 또한 GIM 발견에서 NBI가 WLI보다 우월함을 확인하였다[101]. 근거는 제한적이지만, 일부 연구에서는 GIM 진단에서 BLI, i-scan optical enhancement[102], LCI[103]가 WLI보다 우월함을 보고하였다.
이전 연구들에서는 무작위 매핑 조직검사와 병행한 표적 조직검사가 위 전암성 병변의 진단과 병기 결정에 유용함을 보여주었다[104,105]. 그러나 일부 연구에서는 염색내시경 기반 표적 조직검사와 매핑 조직검사를 병행하는 전략이 단독 표적 조직검사보다 우월하다는 결과가 있어, 매핑 조직검사는 여전히 역할을 가진다[104,106,107]. 따라서 VCE는 의심 부위의 조직검사를 안내해야 하지만, 특히 경험이 적은 시술자의 경우 추가적인 무작위 조직검사가 GIM 환자 식별을 높일 수 있다.
반면, VCE에 충분한 경험이 있다면 표적 조직검사 단독 전략(조직 표본과 용기의 수를 줄이는 결과)이 대안으로 고려될 수 있다. ESGE의 광학 진단 교육과정(curriculum)[108]에 따르면, 내시경 의사들은 확대 내시경에서 VCE를 위한 vessel plus surface classification system(VSCS)[109,110]이나 고해상도 NBI 내시경을 위한 단순화된 NBI 분류[111]와 같은 검증된 분류 체계를 활용하는 교육 과정에 참여할 것이 권장된다. 이는 온라인 모델을 이용한 교육이 광학적 진단의 정확성을 높인다는 근거가 있기 때문이다[89,112–117].
12. ESGE/EHMSG/ESP는 실시간 인공지능(AI) 보조를 통한 위 신생물 병변의 발견 및 위치 확인 또는 전암성 병변의 병기 설정을, 가능할 경우 활용할 것을 제안합니다.
매년 EGD(상부위내시경) 시행 건수가 증가하고 있음에도 불구하고, 위암(GC) 누락률은 일정하게 유지되고 있다 [65,66]. 최근에는 위에서 조기 신생물을 탐지하기 위한 소화기 내시경 분야에서 인공지능(AI)이 개발되었다 [118–141]. 대부분의 연구는 후향적으로 수행되었으며 정지 영상 평가에 의존한다. Arribas 등[140]의 메타분석에 따르면, AI 시스템은 위선암 탐지에서 민감도 88%, 특이도 89%를 보였다. 또 다른 최근 메타분석(17편 연구 포함)에서는 통합 AUC가 0.94였으며, 민감도와 특이도는 각각 87%와 88%였다 [134]. 실시간 Endoangel 시스템 사용 시 민감도와 특이도는 각각 91.8%, 92.4%였으며 [124], 단일 RCT에서는 맹점(blind spot)을 유의하게 감소시키고 [126], 신생물 누락률을 낮추는 효과(RR 0.224, 95% CI 0.068–0.744; P=0.015)를 보였다 [141]. 또한 만성위축성위염(CAG)과 위장관상피화생(GIM) 진단을 위한 여러 시스템이 개발되어 유망한 결과를 보이고 있다 [142–152]. 최근 메타분석에서는 AI를 활용한 영상 평가에서 민감도 94%, 특이도 96%, AUC 0.98이 보고되었다 [150]. ESGE는 암과 전암성 병변 모두에서 탐지 민감도 90% 이상을 달성할 것을 권고하며 [153], 따라서 가능하다면 AI 보조 시스템을 사용하는 것이 바람직하다.
13. ESGE/EHMSG/ESP는 신생물 병변이 의심될 경우, 해당 병변에 대해 다음과 같이 할 것을 권고한다:
▪ 크기, 파리 분류(특히 궤양 여부)에 따른 형태, 위치, 혈관 및 점막 양상을 포함하여 적절히 기술할 것
▪ 사진으로 기록할 것
▪ 표적 생검을 2개 채취할 것
위 신생물의 내시경적 절제(ER)가 성공적으로 이루어지기 위해서는 적절한 병변 특성 평가와 ER 적응증에 대한 판단이 필요하다(▶Fig.3).
여기에는 병변의 크기(가로 범위를 VCE로 평가), 형태(파리 분류), 침윤 깊이 및 분화도의 예측이 포함된다 [10,16]. 일부 동양권 연구에서는 VCE가 분화도를 예측할 수 있다고 보고하였으나, 유럽 환경에서는 분화도 평가와 신생물 여부 확인을 위해 ER 이전에 반드시 생검이 필요하다 [10]. 다기관 전향적 연구에서 95%의 정확도가 보고되었음에도 [154], 생검은 절제 표본의 최종 병리와 비교해 병변을 과소평가할 수 있으며, 약 10%의 불일치율이 보고되었다 [155,156].
ESGE 조직검사 가이드라인에서는 병변에 대해 1–2회의 표적 생검만을 권고한다 [157]. 그러나 대규모 후향적 연구에서는 2회 생검 시 진단 정확도가 유의하게 더 높았으며(92.5% vs. 83.9%, P<0.001), [158], ER 이전의 1–2회 생검이 이후의 절제술에 영향을 준다는 근거는 없다. 따라서 우리는 조기 병변에서는 ER 전 2회의 생검을, 진행된 병변에서는 6회의 생검을 시행할 것을 권고한다 [157,159].
병변이 발견되면 내시경의사는 병변의 크기, 형태, 분화도 외에도 심부 점막하 침윤이나 비치유성 절제 위험 인자가 있는지를 평가해야 한다. 메타분석에서 확인된 비치유성 절제 위험 인자로는 저분화 [160–165], 큰 종양 크기(≥20mm, OR 3.66–3.94; ≥30mm, OR 5.01) [160,166], 궤양(OR 2.69–3.92) [160,166], 함몰형 형태(OR 1.49), 위 상부 1/3 위치(OR 1.49) [160] 등이 있다. 또한 관찰 연구에서는 조기 위암의 비치유성 절제 위험 인자로, 위 주름의 수렴·비후·급격한 절단, 점막 결절성의 소실, 자발적 출혈·취약성 등이 제시되었다 [167–169].
점막하 침윤 위험 인자로는 병변 크기 >30mm [170], 위 상부 1/3 위치, 뚜렷한 변연 융기 [170], 불규칙한 표면/결절성 [170], 현저한 발적 [170], 수렴 주름의 융합 [162,171], 불규칙·결절성 함몰과 수렴 주름 융합 [171], 비대된 위 주름 [172], nonextension sign [173,174] 등이 있다.
▶Appendix A에 제안된 내시경 보고서(proforma endoscopy report) 양식을 참고할 수 있다.
14. ESGE/EHMSG/ESP는 심부 점막하 침윤이 의심되는 소견이 있거나 병변이 내시경 절제에 적합하지 않다고 판단되는 경우를 제외하고, 내시경 절제 전 일상적으로 내시경 초음파(EUS), 전산화단층촬영(CT), 자기공명영상(MRI), 또는 양전자방출단층촬영(PET-CT)을 시행할 것을 권고하지 않는다.
ER 대상 조기 위 병변에서 림프절 전이 위험(사전 위험도)은 낮다. ESD 후 완치 절제율이 약 80% 수준임을 고려할 때, 병변 선택을 개선하고 보다 정확한 병기 결정을 하려는 관심이 커지고 있다. CT나 PET-CT의 역할을 조기 위암에서 침윤 깊이·림프절 전이·ER의 근치 가능성 예측에 적용한 연구는 소수에 불과하다. 조기 위암 병기(조기 0-IA vs. 진행 IB–IIIC)에서 CT의 정확도는 60%였고, 진행성 위암에 대한 민감도는 61.1%, N+에 대한 특이도는 75%(양성예측도 62.5%)였으며, 과대평가율은 16.6%, 과소평가율은 36.8%였다 [175]. 이후 위 윈도우(gastric window)를 이용한 CT는 T1/T2 구분 정확도를 개선하고 T1 단계의 과대평가율을 7–8%로 낮추었으나, T1a와 T1b 구분 정확도는 67–69%로 제한적이었다 [176]. PET-CT에 대해서는 Chung 등[177]의 2019년 연구에서, 내시경적 근치 가능성 예측 정확도가 85%로 보고되었고, 민감도 79%, 특이도 91%, 양성예측도 81%, 음성예측도 89%로, 비근치 절제 예측에 유용하였다.
EUS의 역할과 관련하여, Shi 등[178]의 메타분석에서는 침윤 깊이 예측 정확도를 분석했으며, 민감도는 87%, 특이도는 67%였다. 점막/점막하1(M/SM1)에 대한 과대평가율은 13.3%, 점막하(SM)에서는 32.8%, SM에 대한 과소평가율은 29.7%였다. Lee 등[179]은 조기 위암에서 EUS 과대평가율 26.5%, 과소평가율 6.9%를 보고했으며, Li 등[180]은 각각 33.6%와 10.4%로 보고하였다. 여러 연구에서 EUS 오진의 위험 인자가 보고되었는데 [178,180–182], Kim 등[182]은 병변 크기, 궤양 존재, 비편평 병변이 낮은 정확도의 위험 인자임을 보여주었다(크기 >20–30mm, OR 3.59, P=0.001; 크기 >30mm, OR 5.47, P=0.001; 궤양, OR 6.62, P=0.003; 비편평 병변, OR 2.94, P=0.029). 조기 위암 침윤 깊이에 대한 EUS의 전체 정확도는 55.9%에서 95%까지 보고되었으나 [173,175,179–186], 대부분의 연구는 66%에서 79% 수준에 해당한다 [173,175,179,182,184,186].
주목할 점은, 내시경 단독(색소내시경 없이도)으로 ER의 근치 가능성을 약 80% 정확도로 평가할 수 있으며, 여러 예측 모델이 ESD와 수술 중 선택을 돕기 위해 개발되어 좋은 결과가 보고되었다는 점이다 [163,168,187]. 또한, ESD는 추후 수술을 배제하지 않으므로 가장 확실한 T병기 평가 방법으로 간주될 수 있다.
결론적으로, EUS, CT, PET-CT는 내시경 평가에 비해 유의미하게 추가적인 이점을 제공하지 못하며, 과대·과소평가율이 높아 특히 내시경 절제가 가능하다고 판단되는 병변에서는 일상적으로 권장되지 않는다. 다만, PET-CT의 정확도는 내시경적 예측(~80%)과 유사하며, 점막하 침윤 또는 비근치 절제가 의심되는 병변에서는 비근치 절제에 대한 높은 양성예측도를 바탕으로 내시경 치료와 수술 간 의사결정에 도움이 될 수 있다.
15. ESGE/EHMSG/ESP는 전암성 병변의 내시경적 병기 설정과 위암 위험도 층화를 위해, 위축(atrophy)에 대해서는 Kimura–Takemoto 분류, 위장관 상피화생(GIM)에 대해서는 EGGIM(endoscopic grading of gastric intestinal metaplasia)과 같은 검증된 내시경 분류법의 사용을 제안한다.
EGGIM 점수 체계는 내시경 검사 중 일반 확대 없는 VCE로도 위암 위험을 층화할 수 있으며, 일상적인 생검이 필요하지 않고, 고위험 GIM 표현형(OLGIM III–IV)에 대해 gold standard와 높은 일치도를 보였다 [188]. 비교 연구(진단 연구 4편, 환자-대조군 연구 3편)를 포함한 메타분석에 따르면, EGGIM은 OLGIM III/IV를 정확히 식별하였으며, 통합 민감도와 특이도는 각각 92%(95% CI 86%–96%), 90%(95% CI 88%–93%), AUC는 0.9702였다. 또한 EGGIM 점수가 높은 환자(5–10점)는 조기 위암 발생 위험이 더 높았으며(OR 7.46, 95% CI 3.41–16.31) [189], VCE를 이용해 GIM 중증도를 예측한 또 다른 메타분석에서도 EGGIM은 다양한 디지털 색소내시경 모드에서 높은 예측력을 보였다. 특히 고위험 GIM에 대해서는 이 방법의 통합 예측 민감도가 93%(95% CI 87–96), 특이도 91%(95% CI 88%–93%), AUC 0.9728로 보고되었다 [190].
마찬가지로, Kimura–Takemoto 분류에 따른 백색광 내시경(WLE)을 활용한 위축성 병변의 내시경적 등급화는 위 신생물 발생 위험을 정확히 평가할 수 있다. 14편의 후향적 연구를 포함한 메타분석에서, 중증 내시경적 위축(O2–O3)을 가진 비선택 환자군에서 위 신생물 발생의 통합 위험비(RR)는 3.89(95% CI 2.92–5.17)였고, open-type 위축을 가진 환자군에서는 7.27(95% CI 1.64–32.33)이었다 [191].
요약하면, 광범위한 전암성 병변(EGGIM ≥5 및/또는 Kimura–Takemoto open-type)이 내시경에서 확인된 환자는 GC 위험이 높으며, 이러한 내시경적 병기 평가는 향후 관리에도 도움이 될 수 있다. ▶Appendix A에 제안된 내시경 보고서(proforma endoscopy report)를 참고할 수 있다.
17. ESGE/EHMSG/ESP는 모든 내시경 생검에서 고품질의 병리학적 보고를 권고하며, 다음 항목을 포함해야 한다:
▪ 이형성의 존재 및 정도
▪ 선암의 존재 및 아형(로렌 분류, WHO 분류)
▪ 위축의 존재 및 정도
▪ 장상피화생의 존재 및 정도
▪ 장상피화생의 아형 구분(complete 또는 incomplete)
▪ 헬리코박터 파일로리 감염의 존재 여부
18. ESGE/EHMSG/ESP는 위축의 병리학적 병기 설정을 위한 체계(operative link on gastritis assessment, OLGA) 또는, 가능하면 장상피화생의 병기 설정 체계(operative link on gastric intestinal metaplasia, OLGIM)를 사용할 수 있으며, 이를 내시경 정보와 통합하여 환자 관리에 활용할 것을 제안한다.
19. ESGE/EHMSG/ESP는 장상피화생을 I형에서 III형으로 세분하는 추가 아형 분류는 의료 전문가에게 위험을 초래할 수 있으므로 권고하지 않는다.
20. ESGE/EHMSG/ESP는 이형성이 확인된 생검은 소화기 병리 전문의가 검토할 것을 제안한다.
이형성 또는 그보다 심한 변화를 포함하는 모든 표재성 병변은 병기 설정 후 절제하여 치료해야 한다. ESGE/EHMSG/ESP는 악성 병변을 절제한 환자는 다학제 팀(MDTs)에 의해 치료할 것을 권고하며, 관리 권고는 내시경 및 병리 보고서를 기반으로 해야 한다. 따라서 검체 처리는 엄격한 기준을 따라야 한다(▶Appendix B 참조).
일부 경우, 생검 결과가 “이형성 의심/불확정(indeterminate/indefinite for dysplasia, IND)”으로 보고되기도 한다. 이는 내시경 겸자 생검에서 재생성 병변인지 신생물성 병변인지에 대한 확정적 병리 진단이 어려운 경계성 병변을 의미한다. 제한된 자료에 따르면, IND는 고등급 이형성(5%) 또는 침윤성 암(23%–29%)의 비교적 높은 빈도로 보고되며[202–204], 약 40%는 재검토 시 병리학적으로 상향 조정된다. 반복 생검에서 위 IND가 다시 확인되는 경우는 9%에 불과하다[204]. 따라서 소화기 병리 전문의에 의한 재평가와 내시경 재검사가 합리적일 수 있다.
전암성 병변의 경우, 암 발생 위험은 장상피화생(IM)의 범위(특히 전정부와 체부 모두에 침범하는 경우), 정도, 아형과 관련이 있는 것으로 보인다. MAPS I 및 MAPS II에서는 위축과 IM의 병기 설정을 위해 각각 OLGA와 OLGIM 체계를 제안하였다. 2700명의 환자를 포함한 6건의 환자-대조군 연구와 2건의 코호트 연구를 종합한 메타분석에서 OLGA 및 OLGIM 병기 III/IV는 위암 위험(장형 및 미만형 모두)과 유의한 관련을 보였다(OLGA: OR 2.64, 95%CI 1.84–3.79, I² = 60%; OLGIM: OR 3.99, 95%CI 3.05–5.21, I² = 0%) [205,206]. 총 18건의 관찰 연구가 확인되었으며[207–224], 이 중 장기 추적 관찰이 이루어진 8건의 전향적 연구만을 포함한 메타분석에서 OLGA/OLGIM 병기 III/IV는 위암 발생(OR 44.21, 95%CI 8.32–235.01; I² = 63%)뿐 아니라 저등급 이형성(OR 14.49, 95%CI 1.91–109.26; I² = 92%) 및 고등급 이형성(OR 16.57, 95%CI 5.71–48.07; I² = 21%) 발생과도 관련이 있는 것으로 나타났다[209,210,216,218–222]. 이러한 예측적 특성에 기반하여 OLGA와 OLGIM 체계는 병리학적으로 위암 위험을 평가하는 데 사용할 수 있다. 그러나 위축성 위염의 진단은 선분비샘 손실의 정도를 등급화해야 하는데, 이는 낮은 평가자 간 및 평가자 내 일치도를 보인다. 따라서 점막 변화의 병기 설정을 목적으로 할 때는 OLGIM이 선호될 수 있다. OLGIM은 OLGA에 비해 생검 표본의 방향성에 대한 기술적 요구가 낮다. 한편, 전정부와 체부 모두에 병변이 존재하는지 여부에 기반한 “광범위 전암성 병변” 개념은 임상적으로 적용하기 더 용이하고, 널리 사용 가능하며, 위암 위험과도 상관성이 있다. 실제로 RE.GA.IN.은 OLGIM III/IV를 MAPS I 및 II 권고와 일치하게 전정부와 체부 모두에 변화가 존재하는 것과 동등하게 간주할 것을 제안하였다[2].
점막 변화의 범위는 GIM 아형 구분보다 더 관련성이 높고 적용하기 쉽다. 예외적으로, GIM을 complete 또는 incomplete로 구분하는 분류는 유용할 수 있다. 일부 연구에서는 incomplete GIM의 정도가 GIM의 범위와 양의 상관관계를 보인다고 보고하였으며, 이는 환자 관리 시 고려되어야 한다. 그러나 GIM을 I, II, III형으로 세분하는 접근은 필요한 염색 과정에서 사용되는 시약의 독성으로 인해 중단되었다.
보고의 완전성 예시는 ▶Appendix B에 제시되어 있으며, ▶Fig.4는 일반적인 접근을 보여준다.