Tan CC, Shangguan XL, Lei XM, Deng FF, Wu YP, Zhang GM.
World J Gastrointest Endosc. 2025 Sep 16;17(9):110850.
INTRODUCTION
자가면역성 위염(autoimmune gastritis, AIG)은 위산분비점막(oxyntic mucosa)의 위축과 항벽세포항체(anti-parietal cell antibodies, PCA) 및/또는 항내인자항체(anti-intrinsic factor antibodies, IFA)의 생성으로 특징지어진다. 이는 위 벽세포를 표적으로 하는 CD4⁺ T 세포 매개 면역반응에 기인한다[1-4]. 역학 연구에 따르면, AIG의 유병률은 지역에 따라 차이를 보이며 0.3%에서 2.7%까지 보고되었다[5]. 초기 연구에서는 아시아 인구에서 유병률이 낮게 보고되었으나[6-8], 최근 자료는 이러한 결과가 과소평가된 것이며, 이는 해당 지역에서 헬리코박터 파일로리(Helicobacter pylori, H. pylori) 위염의 높은 유병률 때문인 것으로 보인다[9,10]. H. pylori 감염은 특히 내시경 소견에서 AIG의 임상적 발현을 혼란스럽게 만든다[11]. 두 질환이 공존할 경우, H. pylori에 의한 전정부 위축이 AIG의 특징적인 역위(reverse) 위축 소견을 종종 가리게 된다. 또한 H. pylori 감염이 박멸되거나 자연적으로 소실된 환자에서도, 지속적인 전정부 변화가 내시경적 평가를 방해할 수 있다. 일본에서 시행된 대규모 코호트 연구(n = 10,822)에서는 제균치료 후 환자에서 내시경적으로 진단된 AIG의 비율이 H. pylori 음성 대조군에 비해 유의하게 낮았다[12,13]. 따라서 역위 위축(reverse atrophy) 이외의 추가적인 내시경 지표를 확인하는 것이 필수적이다. 본 연구에서는 과거 H. pylori 감염력이 있는 AIG의 두 증례를 보고하며, AIG 인식에 도움을 줄 수 있는 새로운 내시경적 특징으로서 ‘이랑 모양(gyrus-like)’ 변화를 소개하고자 한다.
CASE PRESENTATION
주호소 (Chief complaints)
현병력 (History of present illness)
증례 1: 환자는 내원 2주 전부터 뚜렷한 유발 요인 없이 식후 팽만감을 호소하였다. 복통, 오심, 구토, 트림과 같은 연관 증상은 없었다. 지역 병원에서 시행한 요소호기검사(urea breath test, UBT) 결과는 H. pylori 음성이었으며, 특별한 치료는 받지 않았다. 상부위장관 내시경 추가 평가를 위해 본원에 내원하였다.
증례 2: 환자는 무증상이었으며, 정기 건강검진의 일환으로 내시경을 시행하였다. 검사 당시 위장관 증상은 보고되지 않았다.
과거력 (History of past illness)
증례 1: 환자는 건강하였으며, H. pylori 제균치료 또는 양성자펌프억제제 복용력은 없었다. 자가면역질환, 위장관 질환, 만성질환, 수술 및 외상 병력도 없었다.
증례 2: 내원 1년 전에 시행한 UBT는 음성이었으며, H. pylori 제균치료 병력은 없었다. 환자는 양성자펌프억제제 또는 H2 수용체 차단제 등 위산 억제제 사용 병력이 없었다. 또한 자가면역질환이나 위장관 질환의 병력도 없었으며, 기타 특이할 만한 의학적, 수술적, 약물 복용력도 없었다.
개인력 및 가족력 (Personal and family history)
신체검사 (Physical examination)
검사실 소견 (Laboratory examinations)
증례 1: 혈청학적 검사에서 PCA 양성(역가 210.90 U/mL)이었으며, IFA는 음성이었다. 혈액검사, 혈청 펩시노겐 I 및 II, 철분, 비타민 B12 수치는 모두 정상 범위였다.
증례 2: 혈청학적 검사에서 PCA 양성이었으며, IFA는 음성이었다. 혈액검사, 혈청 펩시노겐, 철분, 비타민 B12 수치 모두 정상 범위였다.
영상학적 검사 (Imaging examinations)
증례 1: 내시경 검사에서 전정부(antrum) 위축과 황색종(xanthomas), 원형의 주름 모양(circular wrinkle-like patterns)이 관찰되었다(Figure 1A). 위축은 위체부 소만부로 위로 연장되었으며, 희미한 위축 경계가 관찰되었다. 위체부 전벽에서는 이랑 모양(gyrus-like)의 점막 융기와 깊은 열구(fissures)가 보였다(Figure 1B). 위저부에서는 흰색 점액이 부착되어 있었다(Figure 1C). 위체부 상부 대만부에서는 심한 점막 위축과 함께 점막하 혈관이 노출되었고, 후벽에서는 산재성 위축의 격자무늬(grid pattern)가 확인되었다(Figure 1D). 위체부 하부 대만부 전반에서 광범위한 이랑 모양 변화가 뚜렷하였다(Figure 1E). 인디고카민 염색 시 위체부 소만부의 위축 경계가 명확히 확인되었다(Figure 1F).
Figure 1 Endoscopic images from the patient in Case 1. A: Atrophy of the antrum with visible xanthomas and circular wrinkle-like patterns; B: Atrophy along the lesser curvature of the corpus, with a clearly visible atrophic border (green line). Gyrus-like changes on the anterior wall of the corpus in the form of mucosal swelling (blue arrow) and deep fissures (black arrow); C: Adherent white mucus in the fundus; D: Severe atrophy in the upper greater curvature of the corpus, with visible submucosal vessels (purple arrow) after adequate insufflation. Scattered grid-like atrophy (purple box) can be seen on the posterior wall; E: Gyrus-like changes in the mid-to-lower greater curvature of the corpus; F: Indigo carmine staining clearly highlighted the atrophic border.

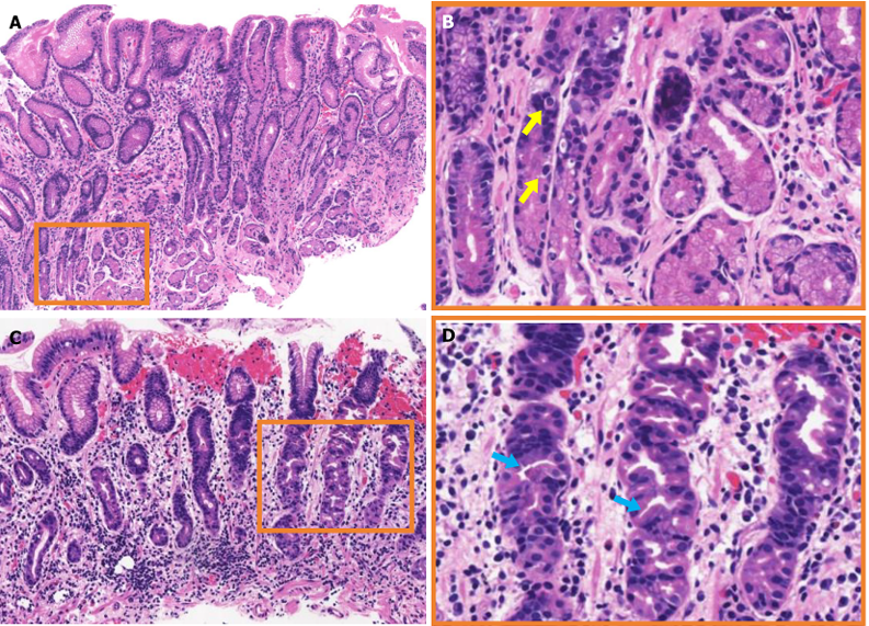
조직검사 결과, 전정부에서는 뚜렷한 염증이나 위축은 없었으나, G 세포 과형성(G-cell hyperplasia)이 관찰되었다(Figure 2A, B). 위체부 조직에서는 림프구 침윤, 벽세포 감소, 벽세포 내강으로의 증식 및 돌출이 확인되었다(Figure 2C, D). 가스트린 염색에서 G 세포 과형성이 관찰되었고(Figure 2E), 크로모그라닌 A 염색에서는 점상 및 선상 형태의 장내크롬친화세포(enterochromaffin-like cells)가 확인되었다(Figure 2F). H. pylori 염색에서는 전정부(Figure 2G)와 위체부(Figure 2H) 모두에서 H. pylori는 검출되지 않았다.
Figure 2 Histopathological images from different regions of the patient’s stomach in Case 1. A: Hematoxylin and eosin staining of an antral biopsy specimen; B: Magnified view of the boxed area in A (yellow arrows indicate G-cell hyperplasia); C: Hematoxylin and eosin staining of a corporal biopsy specimen; D: Magnified view of the boxed area in C (blue arrows indicate pseudohypertrophy and luminal protrusion of the parietal cells); E: Gastrin staining of an antral biopsy specimen; F: Chromogranin A staining of a corporal biopsy specimen; G: Helicobacter pylori (H. pylori) staining of an antral biopsy specimen; H: H. pylori staining of a corporal biopsy specimen. 

증례 2: 내시경 검사에서 전정부 및 위체부 소만부에 위축과 위축 경계가 관찰되었다(Figure 3A, B). 위체부 전벽에서는 융기와 깊은 열구가 나타나 이랑 모양 변화를 보였다(Figure 3C). 공기 주입을 충분히 하였을 때, 위체부 대만부에서는 잔존 산분비점막(oxyntic mucosa)과 위축 점막이 교대로 분포하였으며, 잔존 산분비점막은 이랑 모양을 보였다(Figure 3D, E). 인디고카민 염색에서는 위체부 대만부에서 이랑 모양 변화가 뚜렷하게 확인되었다(Figure 3F).
Figure 3 Endoscopic images from the patient in Case 2. A: Atrophic changes in the antrum; B: Atrophy extending toward the lesser curvature of the corpus; C: A gyrus-like pattern of mild mucosal swelling (blue arrow) and deep fissures (black arrow) can be observed on the anterior wall of the corpus. There were visible collecting venules on the surface of the elevated mucosa; D: Alternating distribution of remnant oxyntic mucosa and atrophic mucosa on the greater curvature of the corpus; E: A close-up view showing remnant oxyntic mucosa with gyrus-like morphology (purple lines) on the greater curvature of the corpus; F: Indigo carmine staining highlighted the widespread gyrus-like changes (purple lines) in the greater curvature of the corpus.

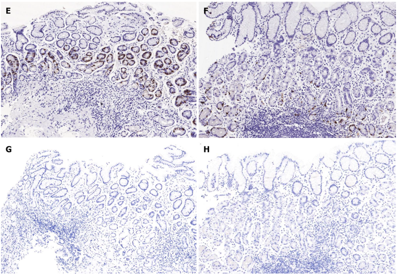
조직검사 결과, 전정부에서는 뚜렷한 위축은 없었으나 림프여포, 변형된 위와(gastric pits), 과형성 G 세포가 관찰되었다(Figure 4A, B). 위체부 조직에서는 림프구 침윤, 벽세포 내강으로의 증식 및 돌출이 확인되었다(Figure 4C, D). 가스트린 염색에서 국소적 G 세포 과형성이 확인되었으며(Figure 4E), 크로모그라닌 A 염색에서는 장내크롬친화세포의 선상 과형성이 관찰되었다(Figure 4F). H. pylori 염색에서 전정부(Figure 4G) 및 위체부(Figure 4H) 모두 음성이었다.
Figure 4 Histopathological images from different regions of the patient’s stomach in Case 2. A: Hematoxylin and eosin staining of an antral biopsy specimen; B: Magnified view of the boxed area in A (the yellow arrows indicate G-cell hyperplasia); C: Hematoxylin and eosin staining of a corporal biopsy specimen; D: Magnified view of the boxed area in C (blue arrows indicate pseudohypertrophy and luminal protrusion of the parietal cells); E: Gastrin staining of an antral biopsy specimen; F: Chromogranin A staining of a corporal biopsy specimen; G: Helicobacter pylori (H. pylori) staining of an antral biopsy specimen; H: H. pylori staining of a corporal biopsy specimen.


FINAL DIAGNOSIS
내시경 소견, 조직병리학적 평가, 혈청학적 검사 결과 및 임상 병력을 종합하여, 두 환자 모두 과거 H. pylori 감염력이 있는 자가면역성 위염(AIG)으로 진단되었다.
TREATMENT
증례 1
환자는 증상 완화를 위해 복합 소화효소 캡슐 치료를 받았다.
증례 2
치료는 시행되지 않았다.
OUTCOME AND FOLLOW-UP
증례 1
3개월 추적관찰에서 환자의 증상은 호전되었다. 3년 이내에 내시경 추적검사를 시행할 것을 권고하였다.
증례 2
3–5년 이내에 내시경 추적검사를 권고하였다.
DISCUSSION
2023년 일본 연구자들은 AIG의 진단에 있어 PCA 또는 IFA 양성과 AIG와 일치하는 내시경적 또는 조직학적 소견을 모두 필요로 한다고 제안하였다[14]. AGA Clinical Practice Update on the Diagnosis and Management of Atrophic Gastritis: Expert Review (2021)에서는 AIG의 초기 병리학적 단계가 벽세포(parietal cell)를 표적으로 하는 림프구 침윤, 체부(corpus) 우세 양상의 염증 및 위축, 그리고 보조적 진단 표지자로서의 PCA 및 IFA 양성으로 강하게 시사된다고 기술하였다[15].
일본의 진단 기준은 세포 형태학적 변화와 세포 수 변화에 중점을 두는 반면, AGA 가이드라인은 AIG에서 체부 우세 위축 양상에 초점을 맞추고 있다.
그러나 이러한 양상은 특히 H. pylori 유병률이 높은 동아시아 인구에서 과거 H. pylori 감염에 의해 혼재될 경우 가려질 수 있다. 이러한 차이를 고려할 때, 일본의 진단 기준이 본 증례에 더 적합하다고 판단하였다. 두 환자 모두 림프구 침윤, 벽세포 변성, 장내크롬친화세포(enterochromaffin-like cells)의 선상 과형성(linear hyperplasia) 등 AIG의 초기 병리학적 특징을 보였고, PCA 양성이었다. 두 환자 모두 과거 제균치료력이 없음을 고려하여, 우리는 과거 H. pylori 감염성 위축성 위염에 대한 일본 진단 기준을 적용하였다[16]. 두 증례 모두 (1) H. pylori 제균치료 병력 없음, (2) Kimura–Takemoto 분류 C2를 초과하는 내시경적 위축, (3) 단독 AIG와 일치하지 않는 전정부 위축, (4) UBT 음성 결과의 조건을 충족하였다. 이에 따라 두 증례 모두 과거 H. pylori 감염이 동반된 AIG로 진단되었다.
다른 질환을 배제하기 위해 감별진단을 시행하였다.
첫째, 양성자펌프억제제 장기 복용은 내시경적으로 열구(fissure)-유사 변화를 유발할 수 있다. 그러나 두 환자 모두 양성자펌프억제제 복용력이 없었고, 병리학적 소견은 자가면역 기전에 합당하였다.
둘째, 교원성 위염(collagenous gastritis)은 미만성 결절성 병변으로 나타날 수 있으나, 그 병리학적 특징인 상피하 교원띠(subepithelial collagen bands)는 본 증례에서는 관찰되지 않았다. 따라서 두 증례 모두 과거 H. pylori 감염을 동반한 AIG로 진단하였다.
과거 H. pylori 감염을 확인하는 것은 이러한 유형의 AIG를 인식하는 데 필수적이다. 과거 감염이 간과되면, 전정부 위축에 의해 AIG의 전형적 역위(reverse) 위축 소견이 가려져 정확한 진단이 어려울 수 있다. 과거 감염 여부를 평가하기 위해서는 환자의 병력이 중요하며, 제균치료 여부, 시기, 치료 결과에 대한 상세한 확인이 필요하다. 그러나 성인 H. pylori 감염의 약 10%는 제균치료를 받지 않는다. 이는 치료 없이 의도치 않게 박멸되거나, 보고되지 않은 성공적 제균, 혹은 자연 소실(spontaneous clearance)에 기인할 수 있다[16]. 따라서 과거 H. pylori 감염에 대한 평가는 환자 병력, 내시경 소견, UBT 결과, 혈청학적 검사 결과를 종합하여 이루어져야 한다. 본 증례에서는 제균치료 병력은 없었으나, UBT 음성과 전정부 내시경 소견이 과거 H. pylori 감염을 뒷받침하였다.
역위 위축 소견이 없을 경우, 체부 점막 위축의 세밀한 평가가 중요하다. 체부 위축은 과거 H. pylori 감염 또는 AIG에 의해 발생할 수 있으며, 이 둘은 감별이 어렵다. 일반적으로 H. pylori 관련 위축은 소만부에서 위저부와 대만부로 진행하며, Kimura–Takemoto 분류 체계를 따르며 위축 경계(atrophic border)를 형성한다[17]. 반면, AIG에 의한 위축은 자가면역 반응이 체부 전반의 벽세포를 광범위하게 공격하기 때문에 뚜렷한 분포 양상이 결여되어 있다. 따라서 위축 경계 외부에서의 점막 위축은 AIG를 시사한다. 본 증례에서는 위축 경계 외부의 체부 점막에서 현저한 깊은 열구가 관찰되었다. Miyamoto 등[18]은 양성자펌프억제제 장기 복용 환자에서 위저선의 경미한 확장에 의한 것으로 추정되는 위 점막 열구를 보고하였으나, 이는 본 증례에서 관찰된 깊은 열구와는 달랐으며, 후자는 위 점막 위축에 의해 형성된 고랑에 가까웠다. 우리는 위축 점막 부위가 확대됨에 따라 산재성 위축 부위가 점차 나타나는 것으로 추정한다.
비위축성 점막(non-atrophic mucosa)의 평가 또한 비정형 AIG의 인식에 중요하다. 초기 AIG에서는 내시경 검사에서 비위축성 점막에 다양한 특징적 변화가 관찰되는데, 이는 부종성 위와(swollen gastric pits), 모자이크 양상, 가성용종 유사 발적 결절, 연어알 모양 결절(salmon-roe-like nodules) 등이 있다[19]. 진행된 AIG에서는 위축이 덜한 비위축성 점막(잔존 위저점막, remnant oxyntic mucosa)이 위축 부위 인접 영역에 남아 있다[20]. 과거 H. pylori 감염으로 인한 재생성 위저선은 잔존 위저점막과 유사해 보일 수 있으나, 그 경계가 불분명한 경우가 많다. 일본 다기관 연구에서는 잔존 위저점막의 형태를 국소성 평탄형(flat localized), 가성용종형(pseudopolypoid), 섬 모양(island), 광범위형(widespread), 과립형(granular) 등 다섯 가지로 분류하였다[21]. 그러나 이는 확립된 위축을 동반한 AIG를 대상으로 제안된 것이며, 초기 AIG 단계에 대한 기술은 제한적이다. 본 증례에서는 위축 경계 외부에서 열구 유사 위축만이 관찰되었으며, 비위축성 점막에서는 경도의 부종이 확인되었다.
내시경적 위축 점막과 비위축 점막의 소견을 통합하여, 우리는 체부 점막에서 ‘이랑 모양(gyrus-like)’ 변화라는 AIG의 새로운 형태학적 특징을 확인하였다. 이는 초기에서 진행 단계로의 이행을 나타내는 중간 형태(transitional morphology)일 수 있다. 이 양상은 대뇌의 이랑과 고랑을 닮은 깊은 열구 사이의 약간 융기된 점막으로 특징지어진다. 인디고카민 염색에서는 색소가 열구에 축적되면서 이러한 특징이 더욱 뚜렷하게 관찰된다. 이랑 모양 부위 점막 표면에는 일부 집합 정맥(collecting venules)이 남아 있어 위저선의 기본 구조 보존을 시사한다. 조직학적으로도 이 부위에서 림프구 침윤, 벽세포의 가성비대(pseudohypertrophy) 등 AIG의 초기 병리학적 변화가 확인되어, 해당 부위가 잔존 위저점막일 가능성을 뒷받침하였다.
현재까지 H. pylori 감염이 AIG 발생기전에 미치는 영향에 대해서는 합의가 이루어지지 않았다.
일부 연구에서는 H. pylori가 분자적 모방(molecular mimicry) 또는 교차 반응(cross-reactivity)을 통해 자가면역 반응을 유발할 수 있다고 제시한다[22,23]. H. pylori β-소단위는 벽세포의 H⁺/K⁺-ATPase와 높은 상동성을 지녀 CD4⁺ T 세포가 위 자가항원을 공격하도록 유도하여 AIG 발생에 기여할 수 있다[24]. H. pylori 자연 소실 이후 AIG가 발병한 증례도 보고되어, H. pylori가 자가면역 과정 개시에 기여할 가능성이 제시되었다[25].
그러나 다른 연구에서는 H. pylori 양성군과 음성군 간 PCA 양성률 차이가 없다고 보고하였다[26]. 또한, H. pylori 음성 소아에서도 AIG가 빈번히 보고되어, H. pylori가 AIG 발생의 필수 조건은 아님이 확인된다[27]. 제균치료가 AIG의 임상 경과에 미치는 영향도 논란이 있다. 한 후향적 연구에서는 활성 전위축기(pre-atrophic) AIG 환자에서 제균치료 후 임상적 호전을 보고하였으나[28], 다른 연구에서는 제균 이후 AIG 진행이 가속화되었다고 보고하였다[29]. 동물 연구에서는 H. pylori 감염이 Th2 반응을 촉진하고 TGF-β 발현을 상향 조절하여 Th1 매개 자가면역을 억제함으로써 AIG 진행에 보호적 역할을 할 수 있음이 시사되었다[30]. 즉, H. pylori는 AIG의 다른 단계에서 유발 요인(trigger)이자 조절자(modulator)로 작용할 수 있다.
이상의 근거를 종합하여, 본 증례에서 관찰된 이랑 모양 변화의 기전을 다음과 같이 제안한다. 위체부에 H. pylori 감염이 발생하면 항원 교차 반응을 통해 AIG가 유발될 수 있다. 이 시기에는 H. pylori에 의한 염증이 우세하여 AIG 관련 자가면역을 억제하며, 그 결과 뚜렷한 위축 경계가 형성된다. 이후 H. pylori 자연 소실 후에는 AIG 관련 자가면역이 우세해진다. 과거 H. pylori에 의한 국소 상피 손상은 항원 노출을 증가시켜 국소적 면역 공격을 촉진하고, 이는 심부 열구와 같은 초기 선(gland) 파괴로 나타난다. 동시에 다른 영역에서는 벽세포 가성비대, 장내크롬친화세포 과형성 등 AIG의 초기 소견이 나타나면서 선 구조가 상대적으로 보존되고, 이는 약간 융기된 이랑 모양 변화로 나타난다. 종합하면, 이랑 모양 변화는 H. pylori 관련 염증에서 자가면역 반응으로의 전환을 반영하며, 이는 H. pylori 소실 여부, 항원 노출 정도, 질환 단계 등의 요인에 의해 영향을 받는다.
최신 일본 AIG 진단 기준은 위체부 상부 대만부와 유문부 대만부에서 생검을 채취하도록 권고한다[14]. 우리는 두 증례 모두에서 해당 기준을 따랐으며, 추가로 증례 1에서는 위축 부위와 뚜렷이 구분되는 이랑 모양 융기를 대상으로 생검을 시행하였다. 이는 과거 H. pylori 감염 환자에서 위축 부위만 채취할 경우, H. pylori와 AIG 모두의 영향을 받은 조직으로 인해 실제 병인을 파악하기 어려울 수 있다는 우려 때문이었다. 반대로, 비위축성 부위는 과거 H. pylori 손상의 영향을 상대적으로 적게 받았을 가능성이 높아, AIG의 초기 국소적 특징을 반영할 가능성이 크다. 이랑 모양 부위의 표적 생검을 통해 본 증례에서 AIG의 초기 병리학적 근거가 확인되었으며, 이러한 접근의 임상적 가치를 지지하였다. 우리는 과거 H. pylori 감염을 동반한 AIG 환자에서 비위축성 부위의 표적 생검이 진단적 명확성을 높일 수 있으며, 기존 가이드라인의 보완적 방법으로 활용될 수 있다고 본다.
본 연구는 증례 보고로 표본 수가 제한적이고, 순수 AIG 증례와의 비교가 없었으며, 추적관찰 기간이 불충분하였다. 따라서 이랑 모양 변화의 일반화 가능성과 특이성에 대해 확정적 결론을 내릴 수는 없다. 그럼에도 불구하고, 이러한 한계에도 불구하고 본 증례에서 확인된 변화는 과거 H. pylori 감염으로 인해 전형적 소견이 가려진 경우 AIG를 인식하는 잠재적 단서가 될 수 있다고 판단한다. 향후 더 큰 규모의 코호트, 순수 AIG 환자군 포함, 장기 추적 데이터를 기반으로 한 연구가 필요하며, 이를 통해 본 소견의 진단적 의의와 임상적 활용 가능성을 검증해야 할 것이다.
CONCLUSION
과거 H. pylori 감염을 동반한 두 증례를 바탕으로, 본 연구는 역위(reverse atrophy)가 진단에 신뢰할 수 없을 때 적용 가능한 내시경 평가 및 생검 전략을 제안한다. 과거 H. pylori 감염 여부를 확인한 후, 특히 위축 경계(atrophic border) 바깥 영역을 포함한 위체부 점막(corporal mucosa)의 면밀한 평가는 필수적이다. 우리는 과거 H. pylori 감염이 동반된 AIG의 잠재적 내시경 소견으로서 ‘이랑 모양(gyrus-like)’ 변화를 소개한다. 이러한 변화는 표적 생검(targeted biopsy) 분석을 통해 조직학적으로 확인할 수 있다. 두 증례에서 얻은 결과는 예비적 통찰을 제공하며, 향후 더 큰 규모의 연구를 통해 검증이 필요하다.

<Abstract>
Background: Autoimmune gastritis (AIG) is recognized endoscopically by the presence of antrum-sparing corpus-dominant atrophy, known as reverse atrophy. However, a past Helicobacter pylori (H. pylori) infection can obscure this classic pattern. We present two cases of AIG with past H. pylori infection and highlight a novel endoscopic sign that may aid AIG recognition when typical features are absent.
Case summary: One patient reported postprandial fullness, while the other was asymptomatic. Neither had a history of H. pylori eradication therapy. Both tested negative on a urea breath test and positive for anti-parietal cell antibodies. In both patients, endoscopy revealed mucosal atrophy involving both the corpus and antrum, which was counter to the characteristic reverse atrophy pattern typically seen in AIG. Beyond the atrophic border, we observed a distinct pattern of gyrus-like changes, manifesting as elevated mucosa between deep fissures. Histologically, targeted biopsies from these gyrus-like areas revealed parietal cell degeneration, lymphocytic infiltration, and hyperplasia of enterochromaffin-like cells, consistent with early histopathologic changes seen in AIG. These results supported diagnoses of AIG with past H. pylori infection.
Conclusion: Gyrus-like changes may serve as a novel endoscopic clue of AIG with past H. pylori infection.
Keywords: Atrophic gastritis; Autoimmune gastritis; Case report; Endoscopic identification; Gastric autoimmunity; Gyrus-like changes; Past Helicobacter pylori infection; Reverse atrophy.
Tan CC, Shangguan XL, Lei XM, Deng FF, Wu YP, Zhang GM.
World J Gastrointest Endosc. 2025 Sep 16;17(9):110850.
INTRODUCTION
자가면역성 위염(autoimmune gastritis, AIG)은 위산분비점막(oxyntic mucosa)의 위축과 항벽세포항체(anti-parietal cell antibodies, PCA) 및/또는 항내인자항체(anti-intrinsic factor antibodies, IFA)의 생성으로 특징지어진다. 이는 위 벽세포를 표적으로 하는 CD4⁺ T 세포 매개 면역반응에 기인한다[1-4]. 역학 연구에 따르면, AIG의 유병률은 지역에 따라 차이를 보이며 0.3%에서 2.7%까지 보고되었다[5]. 초기 연구에서는 아시아 인구에서 유병률이 낮게 보고되었으나[6-8], 최근 자료는 이러한 결과가 과소평가된 것이며, 이는 해당 지역에서 헬리코박터 파일로리(Helicobacter pylori, H. pylori) 위염의 높은 유병률 때문인 것으로 보인다[9,10]. H. pylori 감염은 특히 내시경 소견에서 AIG의 임상적 발현을 혼란스럽게 만든다[11]. 두 질환이 공존할 경우, H. pylori에 의한 전정부 위축이 AIG의 특징적인 역위(reverse) 위축 소견을 종종 가리게 된다. 또한 H. pylori 감염이 박멸되거나 자연적으로 소실된 환자에서도, 지속적인 전정부 변화가 내시경적 평가를 방해할 수 있다. 일본에서 시행된 대규모 코호트 연구(n = 10,822)에서는 제균치료 후 환자에서 내시경적으로 진단된 AIG의 비율이 H. pylori 음성 대조군에 비해 유의하게 낮았다[12,13]. 따라서 역위 위축(reverse atrophy) 이외의 추가적인 내시경 지표를 확인하는 것이 필수적이다. 본 연구에서는 과거 H. pylori 감염력이 있는 AIG의 두 증례를 보고하며, AIG 인식에 도움을 줄 수 있는 새로운 내시경적 특징으로서 ‘이랑 모양(gyrus-like)’ 변화를 소개하고자 한다.
CASE PRESENTATION
주호소 (Chief complaints)
증례 1: 40세 중국인 남성이 식후 팽만감(postprandial fullness)을 주소로 내시경 검사를 시행하였다.
증례 2: 34세 중국인 여성이 정기 건강검진의 일환으로 내시경 검사를 시행하였다.
현병력 (History of present illness)
증례 1: 환자는 내원 2주 전부터 뚜렷한 유발 요인 없이 식후 팽만감을 호소하였다. 복통, 오심, 구토, 트림과 같은 연관 증상은 없었다. 지역 병원에서 시행한 요소호기검사(urea breath test, UBT) 결과는 H. pylori 음성이었으며, 특별한 치료는 받지 않았다. 상부위장관 내시경 추가 평가를 위해 본원에 내원하였다.
증례 2: 환자는 무증상이었으며, 정기 건강검진의 일환으로 내시경을 시행하였다. 검사 당시 위장관 증상은 보고되지 않았다.
과거력 (History of past illness)
증례 1: 환자는 건강하였으며, H. pylori 제균치료 또는 양성자펌프억제제 복용력은 없었다. 자가면역질환, 위장관 질환, 만성질환, 수술 및 외상 병력도 없었다.
증례 2: 내원 1년 전에 시행한 UBT는 음성이었으며, H. pylori 제균치료 병력은 없었다. 환자는 양성자펌프억제제 또는 H2 수용체 차단제 등 위산 억제제 사용 병력이 없었다. 또한 자가면역질환이나 위장관 질환의 병력도 없었으며, 기타 특이할 만한 의학적, 수술적, 약물 복용력도 없었다.
개인력 및 가족력 (Personal and family history)
증례 1, 2: 개인력 및 가족력에서 특이사항은 없었다.
신체검사 (Physical examination)
증례 1, 2: 신체검사에서 특이 이상 소견은 발견되지 않았다.
검사실 소견 (Laboratory examinations)
증례 1: 혈청학적 검사에서 PCA 양성(역가 210.90 U/mL)이었으며, IFA는 음성이었다. 혈액검사, 혈청 펩시노겐 I 및 II, 철분, 비타민 B12 수치는 모두 정상 범위였다.
증례 2: 혈청학적 검사에서 PCA 양성이었으며, IFA는 음성이었다. 혈액검사, 혈청 펩시노겐, 철분, 비타민 B12 수치 모두 정상 범위였다.
영상학적 검사 (Imaging examinations)
증례 1: 내시경 검사에서 전정부(antrum) 위축과 황색종(xanthomas), 원형의 주름 모양(circular wrinkle-like patterns)이 관찰되었다(Figure 1A). 위축은 위체부 소만부로 위로 연장되었으며, 희미한 위축 경계가 관찰되었다. 위체부 전벽에서는 이랑 모양(gyrus-like)의 점막 융기와 깊은 열구(fissures)가 보였다(Figure 1B). 위저부에서는 흰색 점액이 부착되어 있었다(Figure 1C). 위체부 상부 대만부에서는 심한 점막 위축과 함께 점막하 혈관이 노출되었고, 후벽에서는 산재성 위축의 격자무늬(grid pattern)가 확인되었다(Figure 1D). 위체부 하부 대만부 전반에서 광범위한 이랑 모양 변화가 뚜렷하였다(Figure 1E). 인디고카민 염색 시 위체부 소만부의 위축 경계가 명확히 확인되었다(Figure 1F).
Figure 1 Endoscopic images from the patient in Case 1. A: Atrophy of the antrum with visible xanthomas and circular wrinkle-like patterns; B: Atrophy along the lesser curvature of the corpus, with a clearly visible atrophic border (green line). Gyrus-like changes on the anterior wall of the corpus in the form of mucosal swelling (blue arrow) and deep fissures (black arrow); C: Adherent white mucus in the fundus; D: Severe atrophy in the upper greater curvature of the corpus, with visible submucosal vessels (purple arrow) after adequate insufflation. Scattered grid-like atrophy (purple box) can be seen on the posterior wall; E: Gyrus-like changes in the mid-to-lower greater curvature of the corpus; F: Indigo carmine staining clearly highlighted the atrophic border.
조직검사 결과, 전정부에서는 뚜렷한 염증이나 위축은 없었으나, G 세포 과형성(G-cell hyperplasia)이 관찰되었다(Figure 2A, B). 위체부 조직에서는 림프구 침윤, 벽세포 감소, 벽세포 내강으로의 증식 및 돌출이 확인되었다(Figure 2C, D). 가스트린 염색에서 G 세포 과형성이 관찰되었고(Figure 2E), 크로모그라닌 A 염색에서는 점상 및 선상 형태의 장내크롬친화세포(enterochromaffin-like cells)가 확인되었다(Figure 2F). H. pylori 염색에서는 전정부(Figure 2G)와 위체부(Figure 2H) 모두에서 H. pylori는 검출되지 않았다.
Figure 2 Histopathological images from different regions of the patient’s stomach in Case 1. A: Hematoxylin and eosin staining of an antral biopsy specimen; B: Magnified view of the boxed area in A (yellow arrows indicate G-cell hyperplasia); C: Hematoxylin and eosin staining of a corporal biopsy specimen; D: Magnified view of the boxed area in C (blue arrows indicate pseudohypertrophy and luminal protrusion of the parietal cells); E: Gastrin staining of an antral biopsy specimen; F: Chromogranin A staining of a corporal biopsy specimen; G: Helicobacter pylori (H. pylori) staining of an antral biopsy specimen; H: H. pylori staining of a corporal biopsy specimen.
증례 2: 내시경 검사에서 전정부 및 위체부 소만부에 위축과 위축 경계가 관찰되었다(Figure 3A, B). 위체부 전벽에서는 융기와 깊은 열구가 나타나 이랑 모양 변화를 보였다(Figure 3C). 공기 주입을 충분히 하였을 때, 위체부 대만부에서는 잔존 산분비점막(oxyntic mucosa)과 위축 점막이 교대로 분포하였으며, 잔존 산분비점막은 이랑 모양을 보였다(Figure 3D, E). 인디고카민 염색에서는 위체부 대만부에서 이랑 모양 변화가 뚜렷하게 확인되었다(Figure 3F).
Figure 3 Endoscopic images from the patient in Case 2. A: Atrophic changes in the antrum; B: Atrophy extending toward the lesser curvature of the corpus; C: A gyrus-like pattern of mild mucosal swelling (blue arrow) and deep fissures (black arrow) can be observed on the anterior wall of the corpus. There were visible collecting venules on the surface of the elevated mucosa; D: Alternating distribution of remnant oxyntic mucosa and atrophic mucosa on the greater curvature of the corpus; E: A close-up view showing remnant oxyntic mucosa with gyrus-like morphology (purple lines) on the greater curvature of the corpus; F: Indigo carmine staining highlighted the widespread gyrus-like changes (purple lines) in the greater curvature of the corpus.
조직검사 결과, 전정부에서는 뚜렷한 위축은 없었으나 림프여포, 변형된 위와(gastric pits), 과형성 G 세포가 관찰되었다(Figure 4A, B). 위체부 조직에서는 림프구 침윤, 벽세포 내강으로의 증식 및 돌출이 확인되었다(Figure 4C, D). 가스트린 염색에서 국소적 G 세포 과형성이 확인되었으며(Figure 4E), 크로모그라닌 A 염색에서는 장내크롬친화세포의 선상 과형성이 관찰되었다(Figure 4F). H. pylori 염색에서 전정부(Figure 4G) 및 위체부(Figure 4H) 모두 음성이었다.
Figure 4 Histopathological images from different regions of the patient’s stomach in Case 2. A: Hematoxylin and eosin staining of an antral biopsy specimen; B: Magnified view of the boxed area in A (the yellow arrows indicate G-cell hyperplasia); C: Hematoxylin and eosin staining of a corporal biopsy specimen; D: Magnified view of the boxed area in C (blue arrows indicate pseudohypertrophy and luminal protrusion of the parietal cells); E: Gastrin staining of an antral biopsy specimen; F: Chromogranin A staining of a corporal biopsy specimen; G: Helicobacter pylori (H. pylori) staining of an antral biopsy specimen; H: H. pylori staining of a corporal biopsy specimen.
FINAL DIAGNOSIS
내시경 소견, 조직병리학적 평가, 혈청학적 검사 결과 및 임상 병력을 종합하여, 두 환자 모두 과거 H. pylori 감염력이 있는 자가면역성 위염(AIG)으로 진단되었다.
TREATMENT
증례 1
환자는 증상 완화를 위해 복합 소화효소 캡슐 치료를 받았다.
증례 2
치료는 시행되지 않았다.
OUTCOME AND FOLLOW-UP
증례 1
3개월 추적관찰에서 환자의 증상은 호전되었다. 3년 이내에 내시경 추적검사를 시행할 것을 권고하였다.
증례 2
3–5년 이내에 내시경 추적검사를 권고하였다.
DISCUSSION
2023년 일본 연구자들은 AIG의 진단에 있어 PCA 또는 IFA 양성과 AIG와 일치하는 내시경적 또는 조직학적 소견을 모두 필요로 한다고 제안하였다[14]. AGA Clinical Practice Update on the Diagnosis and Management of Atrophic Gastritis: Expert Review (2021)에서는 AIG의 초기 병리학적 단계가 벽세포(parietal cell)를 표적으로 하는 림프구 침윤, 체부(corpus) 우세 양상의 염증 및 위축, 그리고 보조적 진단 표지자로서의 PCA 및 IFA 양성으로 강하게 시사된다고 기술하였다[15].
일본의 진단 기준은 세포 형태학적 변화와 세포 수 변화에 중점을 두는 반면, AGA 가이드라인은 AIG에서 체부 우세 위축 양상에 초점을 맞추고 있다.
그러나 이러한 양상은 특히 H. pylori 유병률이 높은 동아시아 인구에서 과거 H. pylori 감염에 의해 혼재될 경우 가려질 수 있다. 이러한 차이를 고려할 때, 일본의 진단 기준이 본 증례에 더 적합하다고 판단하였다. 두 환자 모두 림프구 침윤, 벽세포 변성, 장내크롬친화세포(enterochromaffin-like cells)의 선상 과형성(linear hyperplasia) 등 AIG의 초기 병리학적 특징을 보였고, PCA 양성이었다. 두 환자 모두 과거 제균치료력이 없음을 고려하여, 우리는 과거 H. pylori 감염성 위축성 위염에 대한 일본 진단 기준을 적용하였다[16]. 두 증례 모두 (1) H. pylori 제균치료 병력 없음, (2) Kimura–Takemoto 분류 C2를 초과하는 내시경적 위축, (3) 단독 AIG와 일치하지 않는 전정부 위축, (4) UBT 음성 결과의 조건을 충족하였다. 이에 따라 두 증례 모두 과거 H. pylori 감염이 동반된 AIG로 진단되었다.
다른 질환을 배제하기 위해 감별진단을 시행하였다.
첫째, 양성자펌프억제제 장기 복용은 내시경적으로 열구(fissure)-유사 변화를 유발할 수 있다. 그러나 두 환자 모두 양성자펌프억제제 복용력이 없었고, 병리학적 소견은 자가면역 기전에 합당하였다.
둘째, 교원성 위염(collagenous gastritis)은 미만성 결절성 병변으로 나타날 수 있으나, 그 병리학적 특징인 상피하 교원띠(subepithelial collagen bands)는 본 증례에서는 관찰되지 않았다. 따라서 두 증례 모두 과거 H. pylori 감염을 동반한 AIG로 진단하였다.
과거 H. pylori 감염을 확인하는 것은 이러한 유형의 AIG를 인식하는 데 필수적이다. 과거 감염이 간과되면, 전정부 위축에 의해 AIG의 전형적 역위(reverse) 위축 소견이 가려져 정확한 진단이 어려울 수 있다. 과거 감염 여부를 평가하기 위해서는 환자의 병력이 중요하며, 제균치료 여부, 시기, 치료 결과에 대한 상세한 확인이 필요하다. 그러나 성인 H. pylori 감염의 약 10%는 제균치료를 받지 않는다. 이는 치료 없이 의도치 않게 박멸되거나, 보고되지 않은 성공적 제균, 혹은 자연 소실(spontaneous clearance)에 기인할 수 있다[16]. 따라서 과거 H. pylori 감염에 대한 평가는 환자 병력, 내시경 소견, UBT 결과, 혈청학적 검사 결과를 종합하여 이루어져야 한다. 본 증례에서는 제균치료 병력은 없었으나, UBT 음성과 전정부 내시경 소견이 과거 H. pylori 감염을 뒷받침하였다.
역위 위축 소견이 없을 경우, 체부 점막 위축의 세밀한 평가가 중요하다. 체부 위축은 과거 H. pylori 감염 또는 AIG에 의해 발생할 수 있으며, 이 둘은 감별이 어렵다. 일반적으로 H. pylori 관련 위축은 소만부에서 위저부와 대만부로 진행하며, Kimura–Takemoto 분류 체계를 따르며 위축 경계(atrophic border)를 형성한다[17]. 반면, AIG에 의한 위축은 자가면역 반응이 체부 전반의 벽세포를 광범위하게 공격하기 때문에 뚜렷한 분포 양상이 결여되어 있다. 따라서 위축 경계 외부에서의 점막 위축은 AIG를 시사한다. 본 증례에서는 위축 경계 외부의 체부 점막에서 현저한 깊은 열구가 관찰되었다. Miyamoto 등[18]은 양성자펌프억제제 장기 복용 환자에서 위저선의 경미한 확장에 의한 것으로 추정되는 위 점막 열구를 보고하였으나, 이는 본 증례에서 관찰된 깊은 열구와는 달랐으며, 후자는 위 점막 위축에 의해 형성된 고랑에 가까웠다. 우리는 위축 점막 부위가 확대됨에 따라 산재성 위축 부위가 점차 나타나는 것으로 추정한다.
비위축성 점막(non-atrophic mucosa)의 평가 또한 비정형 AIG의 인식에 중요하다. 초기 AIG에서는 내시경 검사에서 비위축성 점막에 다양한 특징적 변화가 관찰되는데, 이는 부종성 위와(swollen gastric pits), 모자이크 양상, 가성용종 유사 발적 결절, 연어알 모양 결절(salmon-roe-like nodules) 등이 있다[19]. 진행된 AIG에서는 위축이 덜한 비위축성 점막(잔존 위저점막, remnant oxyntic mucosa)이 위축 부위 인접 영역에 남아 있다[20]. 과거 H. pylori 감염으로 인한 재생성 위저선은 잔존 위저점막과 유사해 보일 수 있으나, 그 경계가 불분명한 경우가 많다. 일본 다기관 연구에서는 잔존 위저점막의 형태를 국소성 평탄형(flat localized), 가성용종형(pseudopolypoid), 섬 모양(island), 광범위형(widespread), 과립형(granular) 등 다섯 가지로 분류하였다[21]. 그러나 이는 확립된 위축을 동반한 AIG를 대상으로 제안된 것이며, 초기 AIG 단계에 대한 기술은 제한적이다. 본 증례에서는 위축 경계 외부에서 열구 유사 위축만이 관찰되었으며, 비위축성 점막에서는 경도의 부종이 확인되었다.
내시경적 위축 점막과 비위축 점막의 소견을 통합하여, 우리는 체부 점막에서 ‘이랑 모양(gyrus-like)’ 변화라는 AIG의 새로운 형태학적 특징을 확인하였다. 이는 초기에서 진행 단계로의 이행을 나타내는 중간 형태(transitional morphology)일 수 있다. 이 양상은 대뇌의 이랑과 고랑을 닮은 깊은 열구 사이의 약간 융기된 점막으로 특징지어진다. 인디고카민 염색에서는 색소가 열구에 축적되면서 이러한 특징이 더욱 뚜렷하게 관찰된다. 이랑 모양 부위 점막 표면에는 일부 집합 정맥(collecting venules)이 남아 있어 위저선의 기본 구조 보존을 시사한다. 조직학적으로도 이 부위에서 림프구 침윤, 벽세포의 가성비대(pseudohypertrophy) 등 AIG의 초기 병리학적 변화가 확인되어, 해당 부위가 잔존 위저점막일 가능성을 뒷받침하였다.
현재까지 H. pylori 감염이 AIG 발생기전에 미치는 영향에 대해서는 합의가 이루어지지 않았다.
일부 연구에서는 H. pylori가 분자적 모방(molecular mimicry) 또는 교차 반응(cross-reactivity)을 통해 자가면역 반응을 유발할 수 있다고 제시한다[22,23]. H. pylori β-소단위는 벽세포의 H⁺/K⁺-ATPase와 높은 상동성을 지녀 CD4⁺ T 세포가 위 자가항원을 공격하도록 유도하여 AIG 발생에 기여할 수 있다[24]. H. pylori 자연 소실 이후 AIG가 발병한 증례도 보고되어, H. pylori가 자가면역 과정 개시에 기여할 가능성이 제시되었다[25].
그러나 다른 연구에서는 H. pylori 양성군과 음성군 간 PCA 양성률 차이가 없다고 보고하였다[26]. 또한, H. pylori 음성 소아에서도 AIG가 빈번히 보고되어, H. pylori가 AIG 발생의 필수 조건은 아님이 확인된다[27]. 제균치료가 AIG의 임상 경과에 미치는 영향도 논란이 있다. 한 후향적 연구에서는 활성 전위축기(pre-atrophic) AIG 환자에서 제균치료 후 임상적 호전을 보고하였으나[28], 다른 연구에서는 제균 이후 AIG 진행이 가속화되었다고 보고하였다[29]. 동물 연구에서는 H. pylori 감염이 Th2 반응을 촉진하고 TGF-β 발현을 상향 조절하여 Th1 매개 자가면역을 억제함으로써 AIG 진행에 보호적 역할을 할 수 있음이 시사되었다[30]. 즉, H. pylori는 AIG의 다른 단계에서 유발 요인(trigger)이자 조절자(modulator)로 작용할 수 있다.
이상의 근거를 종합하여, 본 증례에서 관찰된 이랑 모양 변화의 기전을 다음과 같이 제안한다. 위체부에 H. pylori 감염이 발생하면 항원 교차 반응을 통해 AIG가 유발될 수 있다. 이 시기에는 H. pylori에 의한 염증이 우세하여 AIG 관련 자가면역을 억제하며, 그 결과 뚜렷한 위축 경계가 형성된다. 이후 H. pylori 자연 소실 후에는 AIG 관련 자가면역이 우세해진다. 과거 H. pylori에 의한 국소 상피 손상은 항원 노출을 증가시켜 국소적 면역 공격을 촉진하고, 이는 심부 열구와 같은 초기 선(gland) 파괴로 나타난다. 동시에 다른 영역에서는 벽세포 가성비대, 장내크롬친화세포 과형성 등 AIG의 초기 소견이 나타나면서 선 구조가 상대적으로 보존되고, 이는 약간 융기된 이랑 모양 변화로 나타난다. 종합하면, 이랑 모양 변화는 H. pylori 관련 염증에서 자가면역 반응으로의 전환을 반영하며, 이는 H. pylori 소실 여부, 항원 노출 정도, 질환 단계 등의 요인에 의해 영향을 받는다.
최신 일본 AIG 진단 기준은 위체부 상부 대만부와 유문부 대만부에서 생검을 채취하도록 권고한다[14]. 우리는 두 증례 모두에서 해당 기준을 따랐으며, 추가로 증례 1에서는 위축 부위와 뚜렷이 구분되는 이랑 모양 융기를 대상으로 생검을 시행하였다. 이는 과거 H. pylori 감염 환자에서 위축 부위만 채취할 경우, H. pylori와 AIG 모두의 영향을 받은 조직으로 인해 실제 병인을 파악하기 어려울 수 있다는 우려 때문이었다. 반대로, 비위축성 부위는 과거 H. pylori 손상의 영향을 상대적으로 적게 받았을 가능성이 높아, AIG의 초기 국소적 특징을 반영할 가능성이 크다. 이랑 모양 부위의 표적 생검을 통해 본 증례에서 AIG의 초기 병리학적 근거가 확인되었으며, 이러한 접근의 임상적 가치를 지지하였다. 우리는 과거 H. pylori 감염을 동반한 AIG 환자에서 비위축성 부위의 표적 생검이 진단적 명확성을 높일 수 있으며, 기존 가이드라인의 보완적 방법으로 활용될 수 있다고 본다.
본 연구는 증례 보고로 표본 수가 제한적이고, 순수 AIG 증례와의 비교가 없었으며, 추적관찰 기간이 불충분하였다. 따라서 이랑 모양 변화의 일반화 가능성과 특이성에 대해 확정적 결론을 내릴 수는 없다. 그럼에도 불구하고, 이러한 한계에도 불구하고 본 증례에서 확인된 변화는 과거 H. pylori 감염으로 인해 전형적 소견이 가려진 경우 AIG를 인식하는 잠재적 단서가 될 수 있다고 판단한다. 향후 더 큰 규모의 코호트, 순수 AIG 환자군 포함, 장기 추적 데이터를 기반으로 한 연구가 필요하며, 이를 통해 본 소견의 진단적 의의와 임상적 활용 가능성을 검증해야 할 것이다.
CONCLUSION
과거 H. pylori 감염을 동반한 두 증례를 바탕으로, 본 연구는 역위(reverse atrophy)가 진단에 신뢰할 수 없을 때 적용 가능한 내시경 평가 및 생검 전략을 제안한다. 과거 H. pylori 감염 여부를 확인한 후, 특히 위축 경계(atrophic border) 바깥 영역을 포함한 위체부 점막(corporal mucosa)의 면밀한 평가는 필수적이다. 우리는 과거 H. pylori 감염이 동반된 AIG의 잠재적 내시경 소견으로서 ‘이랑 모양(gyrus-like)’ 변화를 소개한다. 이러한 변화는 표적 생검(targeted biopsy) 분석을 통해 조직학적으로 확인할 수 있다. 두 증례에서 얻은 결과는 예비적 통찰을 제공하며, 향후 더 큰 규모의 연구를 통해 검증이 필요하다.
<Abstract>
Background: Autoimmune gastritis (AIG) is recognized endoscopically by the presence of antrum-sparing corpus-dominant atrophy, known as reverse atrophy. However, a past Helicobacter pylori (H. pylori) infection can obscure this classic pattern. We present two cases of AIG with past H. pylori infection and highlight a novel endoscopic sign that may aid AIG recognition when typical features are absent.
Case summary: One patient reported postprandial fullness, while the other was asymptomatic. Neither had a history of H. pylori eradication therapy. Both tested negative on a urea breath test and positive for anti-parietal cell antibodies. In both patients, endoscopy revealed mucosal atrophy involving both the corpus and antrum, which was counter to the characteristic reverse atrophy pattern typically seen in AIG. Beyond the atrophic border, we observed a distinct pattern of gyrus-like changes, manifesting as elevated mucosa between deep fissures. Histologically, targeted biopsies from these gyrus-like areas revealed parietal cell degeneration, lymphocytic infiltration, and hyperplasia of enterochromaffin-like cells, consistent with early histopathologic changes seen in AIG. These results supported diagnoses of AIG with past H. pylori infection.
Conclusion: Gyrus-like changes may serve as a novel endoscopic clue of AIG with past H. pylori infection.
Keywords: Atrophic gastritis; Autoimmune gastritis; Case report; Endoscopic identification; Gastric autoimmunity; Gyrus-like changes; Past Helicobacter pylori infection; Reverse atrophy.