최신연구결과(해외)

Review articleClinical heterogeneity of early-onset autoimmune gastritis: from the evidence to a pediatric tailored algorithm

관리자
2025-10-04
조회수 112

Taietti I, Votto M, Castagnoli R, Bertozzi M, De Filippo M, Di Sabatino A, Luinetti O, Raffaele A, Vanoli A, 

Lenti MV, Marseglia GL, Licari A.

Diseases. 2025 Apr 25;13(5):133.


"현재 자가면역성 위염(AIG)의 발생 기전은 아직 명확히 밝혀지지 않았습니다. Helicobacter pylori 감염과 관련된 분자 모방(molecular mimicry) 가설이 제시되기도 하지만, 이는 아직 확립된 내용은 아니며 감염된 일부 환자나 질환의 초기 단계에서만 적용될 수 있는 하나의 가능성으로 여겨집니다.

특히 소아에서 발생하는 AIG는 성인과는 다른 양상을 보이며, 질환의 유발 인자나 초기 진행 과정을 이해하는 데 중요한 단서를 제공할 수 있습니다. 이러한 이유로 소아 AIG에 주목할 필요가 있다고 생각합니다.
Lenti 등을 비롯한 AIG 연구의 선도 그룹이 발표한 이번 논문은 소아 AIG의 임상적 특징과 더불어 질환의 기원에 대해 다시금 생각하게 하는 흥미로운 내용을 담고 있습니다. 한번 자세히 읽어보겠습니다."



1. Introduction

자가면역성 위염(autoimmune gastritis, AIG)소아에서 드물고 종종 간과되는 질환이다[1]. AIG는 주로 위체부(corpus)에 국한된 만성 염증성 질환으로, 산분비선(oxyntic glands)의 파괴와 그 자리에 위축성 및 화생성 점막이 대체되는 것이 특징이다. 이 과정은 흔히 고유판(lamina propria)에 림프형질세포 침윤을 동반하며, 벽세포(parietal cell)가 점진적으로 파괴된다[2]. 병태생리학적 결과로 저산분비(hypochlorhydria) 또는 무산분비(achlorhydria)가 발생하고, 이는 장내 철 흡수에 장애를 주며, 내인자(intrinsic factor, IF)의 소실로 인해 비타민 B12 흡수 또한 저해된다[3]. 정확한 발병 기전은 완전히 규명되지 않았으나[4], 위벽세포H+/K+ ATPase(프로톤 펌프)에 대한 항체(APCA)와 내인자 항체가 혈청에서 불규칙적으로 발견된다[5–8]. 병인 기전에는 벽세포를 공격하는 Th1 CD4+/CD25− T세포의 활성화가 관여한다[9,10].

육안적으로는 위 점막 주름의 얇아짐 또는 평탄화가 관찰되며, 조직학적으로는 산분비 점막 내 위선 구조가 소실되고, 그 자리염증세포 화생성 상피 또는 섬유조직이 대체한다[9,10]. 이로 인해 무산분비고가스트린혈증(hypergastrinemia)이 발생하며, 그 결과 장크롬친화세포(enterochromaffin-like, ECL)의 증식이 일어난다[9–11].

AIG는 성인 환자에서 악성빈혈(pernicious anemia, PA; 거대적아구성 빈혈 및 비타민 B12 결핍) 잘 알려진 원인이다. 소아 환자는 일반적으로 복통, 구역, 구토, 식욕부진 등 비특이적이고 다양한 증상을 보이며, 이러한 증상은 치료에 잘 반응하지 않는다[2–5]. 그러나 소아에서 가장 흔한 임상 양상은 철결핍성 빈혈(iron deficiency anemia, IDA)로, 이는 철분 저장고가 비타민 B12보다 더 빠르게 소모되기 때문이다[2,9,12].

진단은 병력, 신체검진, 빈혈 및 영양소 결핍 여부를 확인하는 혈액검사, 위내시경생검을 통한 위 점막 검사 등을 조합하여 이뤄진다. 치료는 주로 영양소 결핍을 교정하는 것이며, 특히 소아에서는 철분 보충이 핵심이다. 필요할 경우 비타민 B12 보충이 추가된다. AIG는 성장과 발달에 영향을 줄 수 있으므로 지속적인 관리와 추적이 필요하다[13].

AIG의 종양학적 합병증으로는 장형 위암(intestinal-type gastric cancer)제1형 위신경내분비종양(type I gastric neuroendocrine tumor)이 있다[14]. 소아의 긴 기대수명과 암 발생 위험을 고려할 때, 5년마다 내시경 추적검사를 시행하는 것이 제안되어 왔다[14].

현재까지는 넷타제파이드(netazepide), 소마토스타틴(somatostatin), 위전정부 절제술(antrectomy) 등 다양한 치료 접근법이 제안되었지만, 소아 AIG 환자를 대상으로 한 치료 권고안은 존재하지 않는다. 이는 화생 변화의 유무와 관계없이 동일하다[15].

이러한 배경에서 우리는 소아 발병 AIG의 두 증례를 제시하고, 그 특징과 진단·치료적 접근을 논의하며, 현재 문헌과 비교하고자 한다. 특히 소아 및 청소년에서 나타나는 비특이적이고 다양한 임상 및 조직병리학적 특징을 더 잘 이해하는 것이 필요하다. 조기이면서 정확한 진단두 가지 이유에서 중요하다. 첫째, 적절한 영양 상태정상적인 성장과 발달에 필수적이다. 둘째, 가장 중요한 합병증은 위 신생물 발생 위험이기 때문이다. 따라서 정기적인 내시경 추적검사는 이러한 환자의 예후에 영향을 줄 수 있다.


2. Methods

우리는 이탈리아 파비아(Pavia) 소아과 클리닉에서 추적 관찰 중인 AIG 진단 소아 2명을 후향적으로 등록하였다. AIG의 진단은 현재 이탈리아 진료지침에 따라 임상적, 혈청학적, 조직학적 특징근거로 하여 이루어졌다[15]. 진단 및 추적 관찰 시 임상, 내시경, 조직학적 자료가 수집되었으며, 시행된 경우 영상의학적 검사 결과도 보고되었다. 환자들은 자가면역성 갑상선염(autoimmune thyroiditis, AITD), 셀리악병(celiac disease, CeD), 제1형 당뇨병(type 1 diabetes mellitus, T1DM), 염증성 장질환(inflammatory bowel diseases, IBDs) 등 여러 자가면역질환에 대해 선별검사를 받았다. 또한 면역결핍질환은 배제하였다. 모든 환자는 부모의 서면 동의서에 서명한 경우에만 포함되었다. 본 연구는 이탈리아 파비아의 Fondazione IRCCS San Matteo 윤리위원회 승인을 받았다(프로토콜 번호: 0003241/22).

문헌 고찰PubMed 온라인 데이터베이스를 사용하여 수행되었으며, MeSH 용어 “autoimmune gastritis” OR “atrophic gastritis” AND “children”으로 검색하였다. 검색은 2024년 11월에 이루어졌다. 후향적 연구, 단면 연구, 코호트 연구, 증례군(case series), 증례보고(case report)를 포함하였으며, 참여 대상은 조직학적으로 확진된 AIG를 가진 소아 및 청소년(0–18세)이었다. 출판연도 제한은 두지 않았다. 두 명의 연구자가 잠재적으로 적합한 출판물을 수동으로 검토하고, 관련성이 없는 문헌(예: 서술적/체계적 문헌고찰, 영어 이외 언어, 성인 대상 연구, 기타 병리학적 상태)은 제외하였다.


3. Clinical Case Description 

3.1. Case 1

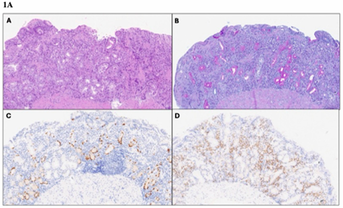
9세 여아설명되지 않는 무력감(asthenia)과 지난 1년간의 체중 감소로 우리 소아과 클리닉에 의뢰되었다. 가족력에서 만성질환이나 감염성 질환은 없었다. 외조부는 명확히 규명되지 않은 위 종양으로 사망한 병력이 있었다. 첫 임상 관찰신체검진에서는 특이 소견이 없었다. 초기 진단 평가에서 중증 철결핍성 빈혈(hemoglobin 7 g/dL)이 확인되어 경구 철분 치료를 시작하였다. 또한 IgG 결핍과 함께 IgG1, IgG2 아형의 경도의 결핍이 있었다(Table 1). 

Table 1. Main clinical and laboratory findings of the cases presented.

림프구 아형 검사에서는 B-림프구의 경한 감소가 확인되었다. 백신에 대한 면역 반응(간염 B, 홍역, 파상풍, 디프테리아)은 보존되어 있었다. 시험관 내 증식 검사(유사분열 자극제 반응 및 IgG 생산)는 정상 범위였다. 포괄적인 자가면역 선별검사는 음성이었으며, Helicobacter pylori (H. pylori) 분변항원 검사 역시 음성이었다. 대변잠혈검사는 강양성이었고, 분변 칼프로텍틴은 약양성이었다.

상·하부 위장관 내시경에서는 정상적인 주름이 소실된 전반적인 위 점막 위축이 관찰되었다. 조직학적 검사에서 위 전정부 점막경도의 만성 염증 소견을 보였으며, 산분비 점막(oxyntic mucosa)에서는 중증 점막 위축과 경화(sclerosis), 광범위한 가성유문선 화생(pseudo-pyloric metaplasia), 장크롬친화세포(ECL) 세포의 선상 증식(linear hyperplasia)이 확인되었다(Figure 1A). 미생물학적 검사에서 H. pylori는 음성이었다. 또한 조직학적으로 고유판(lamina propria)에 호산구 침윤을 동반한 만성 염증 소견이 관찰되었는데, 위 전정부에서 고배율 시야당 99개, 위 상부 체부에서 98개, 위 하부 체부에서 89개의 점막 내 호산구가 확인되었다. 수많은 형질세포(plasma cells, CD138+, MUM1+)도 관찰되었다(Figure 1A(D)). 염증성 장질환(IBD)을 시사하는 병리학적 특징은 없었으나, 회장 말단 부위에서는 결절성 림프종대(nodular lymphoid hypertrophy)가 확인되었다.

Figure 1. (1A) Histologic images of corpus biopsies of Case 1 (high-power field 40×). (A) The oxyntic mucosa shows moderate chronic inflammation, including eosinophils and severe atrophy, with a reduction in the number of appropriate glandular units, fibrosclerosis, and metaplastic changes in the epithelium (hematoxylin and eosin). (B) Diffuse pseudopyloric (neutral mucin-producing) metaplasia of the oxyntic glands (Periodic Acid Schiff–Alcian Blue staining). (C) Linear ECL cell hyperplasia (chromogranin A immunostaining). (D) Presence of numerous MUM1-positive plasma cells in the lamina propria (MUM1 immunostaining).

혈청 검사에서 벽세포 항체(APCA) 및 내인자 항체(anti-IF)는 모두 음성이었으며, 혈중 비타민 B12 수치는 정상 범위였다. 알레르기 검사도 음성이었다. 진단을 보완하기 위해 시행한 캡슐 내시경에서는 십이지장의 광범위한 상피 미란, 다발성 혈관 확장, 혈관 취약성, 회장 말단부의 결절성 림프종대가 관찰되었다. 복부 초음파장 MRI에서는 장벽 비후나 염증은 확인되지 않았다.

혈관 확장 및 혈관 취약성의 유전적 원인배제하기 위해 유전자 검사가 시행되었다. 핵형검사(karyotype analysis)는 정상 결과를 보였으나, 다유전자 차세대염기서열분석(next-generation sequencing)에서 아버지에게서 유전된 ABCC6 유전자 c.960delC (p.Ser321ValfsTer35) 프레임시프트 돌연변이가 이형접합(heterozygous) 상태로 확인되었으며, 이는 이형접합형 가성황색종(pseudoxanthoma elasticum)과 합치되는 소견이었다.


내시경 이후, 비정상적인 호산구성 염증치료하기 위해 국소 스테로이드 치료(부데소니드, budesonide 9 mg/일)를 시작하였고, 6개월에 걸쳐 점진적으로 감량하였다. 이후 대변잠혈검사는 항상 음성이었고, 분변 칼프로텍틴도 정상화되었으나, 이전에 보고된 위축성 변화는 지속되었다. 추적 관찰 중 반복 시행된 상·하부 위장관 내시경에서는 과거의 조직학적 소견은 유지되었으나 호산구성 염증은 소실된 것이 확인되었다.

철결핍성 빈혈(IDA)만성적인 경구 철분 보충으로 호전되었으나, 체내 철 저장은 완전히 회복되지 않았다. 따라서 정맥 철분 보충을 시행하여 최종적으로 철분 상태가 정상화되었다. 면역학적 소견에 대해서는 수년간의 추적에서 혈청 IgA와 IgG 수치가 정상화되었다.


현재까지 총 5년간 엄격한 임상 및 내시경 추적관찰이 이루어지고 있다. 진단 후 4년째에 시행된 마지막 상부 위장관 내시경에서는 다음과 같은 소견이 확인되었다.
(i) 전반적인 경도의 활동성 만성염증위축(특히 위체부에서 심함), 경화(sclerosis), 전정부 가스트린세포 과증식,
(ii) 위체부 림프구 침윤, 가성유문선 화생(pseudo-pyloric metaplasia), 선상 ECL 세포 과증식,
(iii) 위저부 단순 ECL 세포 과증식.

또한 현재 근육주사로 비타민 B12 보충 치료를 받고 있다.


3.2. Case 2

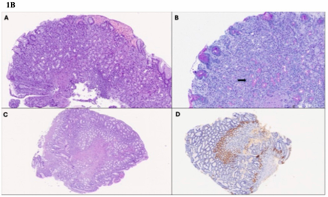
12세 남아호산구성 식도염(eosinophilic esophagitis, EoE)AIG 의심으로 우리 소아과 클리닉에 의뢰되었다(Table 1). 

Table 1. Main clinical and laboratory findings of the cases presented.

환아는 이전에 다른 병원에서 메스꺼움, 소화불량, 가슴쓰림, 음식 걸림(food impaction) 증상이 양성자펌프억제제(PPI) 치료에 반응하지 않아 진료를 받은 바 있다. 과거력에서는 IgE 매개 헤이즐넛 알레르기가 있었고, 가족력에서는 위 종양(부, 조부)다발성 자가면역질환이 보고되었다. 부친은 Basedow–Graves병을 앓고 있었으며, 췌장 및 고환 조직에 대한 자가항체를 보였다.

타 병원에서 시행한 상부 위장관 내시경은 식도 점막은 정상 소견이었고, 위 전정부 점막충혈(hyperemia)이 관찰되었다. 조직학적으로 식도 생검에서는 고배율 시야당 100개 이상의 호산구가 확인되어 EoE가 확진되었다. 위 점막 검사에서는 전정부 점막의 경한 만성 염증, 경한 위축, 선상 ECL 세포 과증식이 관찰되었다. Giemsa 염색과 항-H. pylori 특이항체를 이용한 면역조직화학검사에서 H. pylori는 음성이었다. 환아는 PPI와 국소 스테로이드 치료(삼켜서 복용하는 플루티카손 875 µg/일)를 시작하였다. 4개월 후 재검한 상부 위장관 내시경에서는 EoE의 조직학적 관해가 확인되었다. 위 생검에서는 위축이 없는 전정부 점막에서 가스트린 세포 과증식, 만성 염증, 위저부 점막의 경한 위축, 국소적 가성유문선 화생(pseudopyloric metaplasia), 선상 ECL 세포 과증식이 관찰되었다(Figure 1B). 초기 진단 시 APCA(항벽세포항체) 양성(1:160)을 보였으나, 빈혈은 없었고 철분 상태와 혈청 비타민 B12 수치는 정상 범위였다.

Figure 1. (1B) Histologic images of gastric biopsies of Case 2 (high-power field 40×). (A) The fundic mucosa features moderate chronic inflammation and mild atrophy (hematoxylin and eosin). (B) Focal pseudopyloric metaplasia (arrow; Periodic Acid Schiff–Alcian Blue staining). The antral mucosa appears normotrophic (C) (hematoxylin and eosin), with gastrin cell hyperplasia (D) (gastrin immunohistochemistry).

우리 클리닉에 내원했을 때는 EoE가 관해 상태였으므로 PPI 치료를 중단하고 삼켜서 복용하는 스테로이드 용량을 500 µg/일로 줄였다. 또한 선천성 면역결함질환(inborn error of immunity, IEI)가능성을 배제하기 위해 면역학적 평가를 시행하였고, 면역글로불린 및 IgG 아형 수치는 모두 연령 기준 정상 범위에 있었다.

증상 발생 1년 후 우리 병원에서 시행한 식도·위·십이지장 내시경에서는 EoE의 조직학적 관해가 재차 확인되었고, 이에 따라 플루티카손 용량을 250 µg/일로 추가 감량하였다. 그러나 위 점막여전히 위체부와 전정부에서 중등도 위축경한 활동성 만성염증을 보였으며, 가성유문선 화생, 선상 ECL 세포 과증식, 위체부 림프구 침윤이 동반되었다.


4. Evidence from the Literature Review

총 39편의 논문을 확인하였으며, 이 중 13편을 리뷰에 포함하였다. 검색 과정에서 중요성이 높다고 판단된 6편을 추가하여, 최종적으로 19편을 분석하였다. 소아 AIG는 총 134명의 소아에서 진단되었으며, 진단 당시 연령은 최소 8.5세, 최대 15.7세였다.

검색된 문헌에서, 소아 발병 AIG는 주로 여아에서 나타났고, 대체로 후기 소아기청소년기발생하였다(Table 2) [2,12–14,16–29]. 

Table2. Summary of the pediatric autoimmune gastritis reports. 

등록된 환자의 약 60%동반 자가면역질환을 가지고 있었으며, 특히 자가면역성 갑상선질환(AITD)제1형 당뇨병(T1DM)전체의 20%를 차지하였고, 이어서 셀리악병(CeD)이 약 5%였다. 애디슨병, 자가면역 간염, 그리고 혈구감소증(cytopenia)약 2%의 소아에서 동반되었다[12–14,16,17,20,21,23,25–29]. 가족력에서는 유의미한 소견이 없는 경우가 많았으나, 일부에서는 자가면역질환 양성이 보고되었다[12,20,22]. 예를 들어, Greenwood 등[20]의 증례에서는 가족력 자가면역 다내분비증후군 2형(autoimmune polyendocrine syndrome type 2)으로 확인되었다.

소아 AIG 환자의 절반 이상에서 철결핍성 빈혈(IDA)이 관찰되었으며, 이는 가장 흔한 임상적 합병증으로 여겨졌다. 반면, 거대적아구성 빈혈(megaloblastic anemia)은 드물게(10% 미만) 나타났다[2,12–14,16–25].

항벽세포항체(APCA)환자의 3분의 2 이상에서 양성이었으나[2,12–14,16–18,20,21,23–29], 항내인자 항체(anti-IF)는 모든 환자에서 검사된 것은 아니었으며 10% 미만에서만 확인되었다[2,12,13,20,21,23,25,27,28].

APCA 음성인 혈청음성 AIG(seronegative AIG)소아에서 매우 드문 임상 형태로, 지금까지 11명이 보고되었다. 이 중 3명선천성 면역결함질환(inborn error of immunity, IEI)을 가지고 있었는데, 한 명은 공통가변면역결핍증(CVID), 또 다른 한 명은 CVID와 IPEX 증후군(immune dysregulation polyendocrinopathy enteropathy X-linked syndrome), 마지막 한 명은 T세포 원발성 면역결핍이었다[22,23,27]. 또한 다기관 코호트 연구에서 23명의 환자 중 4명에서 IEI가 확인되었다[28]. 이들 중 2명은 TNFAIP3, CTLA4 유전자 돌연변이를 가지고 있었으며, 나머지 2명은 특정 돌연변이는 없었지만 임상적·검사실적 특징이 IEI와 합치되었다. 흥미롭게도, 이들 모두는 자가면역 장병증, 자가면역 간염, 갑상선염, Evans 증후군, 애디슨병, 셀리악병, 경화태선(lichen sclerosis) 등과 같은 자가면역 동반질환을 가지고 있었다[16].

내시경 소견비특이적이었으며(예: 점막 발적, 점막 연화, 용종/결절) 정상으로 보이는 경우도 많았다. 조직학적으로는 주로 위체부 우세 만성 위축성 위염이 확인되었으며(환자의 약 60%), 일부에서는 보다 광범위한 위염/범위염(pangastritis)보고되었다[2,12,13,16–24]. 성유문선 화생과/또는 장상피 화생은 환자의 절반 정도에서 보고되었다[2,12,13,16–24,27]. 추적 관찰 동안 고가스트린혈증과 무산분비가 자주 보고되었으나, AIG 소아 환자의 약 40%에서만 ECL 세포 과증식이 관찰되었다[13,14,16–21,23,24]. 또한 25%의 환자에서 H. pylori 감염이 동반되었다[2,12,16,20–24]. 위선암제1형 신경내분비종양드물게 보고되었다[2,12,13,18,19,21,22,24,27,29].

등록된 소아 환자들 가운데 특정 치료를 받은 경우는 없었으나, 대부분 철분  비타민 B12 보충요법으로 관리되었다[13,16,18–20].


5. Discussion 

우리는 서로 다른 임상적, 혈청학적, 조직학적 양상을 보인 소아 발병 AIG 두 증례를 보고하였다.

첫 번째 증례소아 연령에서 AIG의 가장 흔한 임상 양상으로 알려진 중증·불응성 철결핍성 빈혈(IDA)을 보였다[2,12]. 문헌고찰에서도 확인되었듯, IDA는 여아에서 훨씬 더 흔히 발생하며, 이는 월경으로 인한 출혈추가적인 위험 요인이 될 수 있고, 저산분비로 인해 음식 철분 흡수를 보상적으로 증가시키지 못하는 점이 악화 요인으로 작용할 수 있음을 시사한다[2]. 본 환아는 APCA 음성이었다. 소아 AIG 환자에서 APCA 음성(혈청 음성) AIG는 드물지만, 고령 환자에서는 더 흔하게 나타난다[15,30]. 일부 환자는 혈청 음성일 수 있는데, 특히 공통가변면역결핍증(CVID)이나 기타 선천성 면역결함질환(IEIs)이 동반된 경우 그렇다[15,22,23,27,29]. 또한 AIG는 드물게 선택적 IgA 결핍증과 연관될 수 있다[13,14,18]. PA염색체 18q 결실증후군, X-연관 저감마글로불린혈증, Good 증후군, CVID 다른 면역결핍증후군에서도 보고된 바 있다[3]. Daniels 등은 CVID가 위장관을 침범하여 림프구성 위염모방할 수 있는 광범위한 조직학적 패턴을 보일 수 있음을 보고하였다[31]. 또한 AIG는 TNFAIP3 또는 CTLA4 결핍과 같은 IEI 상황에서, 특히 다른 자가면역질환동반된 경우 나타날 수 있다[28]. 때로는 AIG가 제1형 당뇨병(T1DM), 자가면역성 갑상선질환(AITD)다른 자가면역질환 아동의 선별검사 과정에서 우연히 발견되기도 한다[12,14,20,21,32]. 특히 T1DM 환자에서는 장기적으로 AIG 발생 위험이 유의하게 높다[32].

AIG에 대한 가장 민감한 혈청 검사APCA 검출이지만, 음성이라고 해서 AIG를 배제할 수는 없다[30]. 항-IF 항체, 낮은 펩시노겐 수치, 고가스트린혈증은 진단에 도움이 되지만 민감도와 특이도가 낮아 반드시 내시경조직학적 소견과 함께 종합적으로 평가해야 한다[33].

두 번째 증례에서는 AIG 진단이 EoE 진단과 동시에 우연히 이루어졌다. 이 환자는 빈혈이나 비타민 B12 결핍의 징후와 증상을 보이지 않았다. 환자의 가족력은 추적관찰 계획을 세우는 데, 특히 신생물 합병증의 위험을 평가하는 데 중요하다.

따라서 소아 발병 AIG불응성 철결핍성 빈혈, 혹은 기존 치료에 반응하지 않는 비특이적 위장관 증상이 있는 경우 반드시 고려되어야 한다. 종합적 평가와 적절한 관리를 보장하기 위해서는 구조화된 접근이 필수적이다(Figure 2).

Figure 2. Suggested diagnostic flowchart for pediatric autoimmune gastritis. ANA, anti-nuclear antibodies. ANCA, anti-neutrophil cytoplasmic antibodies. Anti-21OH, anti-21-hydroxylase an tibodies. Anti-CaSR, anti-Calcium Sensing Receptor antibodies. Anti-GAD65, anti-glutamic acid decarboxylase 65-kilodalton isoform antibodies. Anti-IA2, anti-tyrosine phosphatase-related islet antigen two antibodies. Anti-IF, anti-intrinsic factor antibodies. Anti-TG, anti-thyroglobulin antibodies. Anti-TPO, anti-thyreoperoxidase antibodies. anti-TSHR, anti-thyroid-stimulating hormone receptor. APCA, anti-parietal cell antibodies. APS, autoimmune polyglandular syndrome. bodies. Anti-TPO, anti-thyreoperoxidase antibodies. anti-TSHR, anti-thyroid-stimulating hormone receptor. APCA, anti-parietal cell antibodies. APS, autoimmune polyglandular syndrome. ASCA, anti-Saccharomyces cerevisiae antibodies. ATTA, Anti-Tissue Transglutaminase Antibodies. ENA, anti extractable nuclear antigen antibodies. H. pylori, Helycobacter pylori. HbA1c, hemoglobin A1c. IDA, iron-deficiency anemia. IEI, inborn error of immunity. Ig, immunoglobulin. Ly, lymphocyte. PC, plasma cells. PMN, neutrophils. PPI, proton pump inhibitor. TSH, thyroid-stimulating hormone.

자가면역성 위축성 위염(AIG)H. pylori 관련 위축성 위염을 구별하기 위해서는 정확한 혈청학적내시경적 검사가 필요하다. 또한 AIG와 연관된 질환 및 IEI(선천성 면역결함), APS(자가면역다내분비증후군)특정 경고 신호를 평가하기 위한 포괄적 검사실 검사가 요구된다[2,12–14,16–28]. 최적의 환자 관리를 위해 다학제적 접근이 권장된다.


우리의 두 환자 모두 병리학적으로 장관 호산구성 염증을 보였으며, 이는 비특이적 증상으로 나타나는 호산구성 위장관 질환과의 중복을 시사한다. Ayaki 등은 AIG와 EoE가 함께 발현된 자가면역다내분비증후군 2형(APS-2)을 가진 67세 환자를 보고한 바 있다[34. Ayaki M., Manabe N., Fujita M., Nakamura J., Sunago A., Kamada T., Haruma K. A case of eosinophilic esophagitis with autoimmune polyendocrine syndrome type 2, including autoimmune gastritis. Clin. J. Gastroenterol. 2021;14:460–465.]. 그러나 소아에서 호산구성 위장관 질환AIG가 동반된 사례아직 보고되지 않았다. 따라서 AIG원발성 호산구성 위장관 질환의 연관성성인 및 소아 집단 모두에서 추가 연구가 필요하다.


우리 환자들에서는 H. pylori 감염이 없었으며, 위축성 위염이 확인될 경우 반드시 배제해야 한다. 그러나 소아 AIG소구성 빈혈 환자에서는 H. pylori의 비교적 높은 유병률이 보고된다. 성인 환자 모델에서는 분자적 모방(molecular mimicry) 기전을 통한 H. pylori의 병인적 역할아직 입증되지 않았으므로, 현재까지 AIGH. pylori 간의 명확한 상관관계는 확인되지 않았[2,17]. 다만, H. pylori 음성 환자에서 위축성 범위염(pangastritis)이 나타나고, 이는 다른 자가면역질환과 자주 동반되는 것으로 보고되었다. 이러한 경우 APCA  항-IF 항체가 확인될 수 있으며, 이는 자가면역성 장병증 또는 전신적인 위장관 자가면역질환, 혹은 기타 면역결핍질환(선천성·후천성)을 시사한다[35].


유전학적 측면에서, 염색체 4번 말단에 위치한 두 영역(Gasa1, Gasa2)AIG 감수성을 부여하며, 염색체 6번에서도 두 개의 부수적 감수성 좌위(Gasa3, Gasa4)가 확인되었다.  -->  참고문헌이 없습니다. 발표 논문이 어떤 것일까요? .. Chat GPT 답변입니다. (AIG의 trigger를 알 수 있는 tip이 되지 않을까 생각됩니다)

  • Silveira et al., 1999, J Immunol — “A major linkage region on distal chromosome 4…”: Chr4의 주요 QTL 보고(이후 Gasa1/2로 정착). PubMed

  • Silveira et al., 2001, Immunogenetics — “Identification of the Gasa3 and Gasa4…”: Gasa3(Chr6) 규명 및 H2-연관 Gasa4 확인. SpringerLink

  • Ang et al., 2007, Int Immunol — “Two genetic loci independently confer susceptibility…”: congenic 접근으로 Gasa1/2(Chr4) 독립 기여 입증.

“염색체 6번에서 두 개의 부수적 좌위(Gasa3, Gasa4)” 부분은 정확히는 Gasa3=Chr6, Gasa4=H2(MHC; 마우스 Chr17)로 고쳐 쓰는 것이 맞음

하지만, 이 논문과 내용이 AIG와 연관성을 부여한다는 사실은 좀더 공부를 해야 할 것 같습니다. (관리자의 생각) 


AIRE 결핍APECED 환자(APS-1)에 대한 임상 연구와 동물 모델에서 AIG와 연관된다. 특히 AIRE 결핍 마우스 모델에서는 표적 자가항원이 H+/K+ ATPase가 아니라 mucin 6 (위 점액세포(neck cell, antral gland cell)에서 분비되는 점액 단백질)이라는 점에서 다른 모델과 차이를 보인다[10. Hogan T.V., Ang D.K.Y., Gleeson P.A., van Driel I.R. Extrathymic mechanisms of T cell tolerance: Lessons from autoimmune gastritis. J Autoimmun. 2008;31:268–273.]. 

* AIRE (AutoImmune REgulator)

  • AIRE는 우리 몸의 ‘자가면역을 막는 안전장치’ 같은 유전자

  • 위치는 흉선(Thymus, 가슴샘) 안에 있고, 흉선에서 T세포를 훈련시키는 과정 [중앙 관용(central tolerance)]에 중요

  • 흉선 = T세포 군대 훈련소
  • AIRE = 훈련 교관이 보여주는 “우리 편 얼굴 사진첩”
  • 사진첩(AIRE)이 없으면, 군인(T세포)이 아군과 적군을 구분 못 하고 자기 편을 공격하는 아군 사멸(자가면역)이 발생

  • AIRE에 의해 발현되는 항원 스펙트럼에서 mucin 6이 더 중요한 자가항원으로 T세포 교육에 관여했을 가능성

  • AIRE 결핍 환경에서는 “새로운 epitope spreading” 혹은 대체적 표적 항원 주도적인 역할 하게 되는 것 

--> “자가면역 반응단순히 parietal cell tolerance 실패만이 아니라, 흉선 항원 발현 스펙트럼말초 면역조절의 복합적 실패로 인해 다른 위 점액 단백질도 표적될 수 있다”는 점을 보여 주는 현상일 것 같습니다. (관리자의 생각)

 

또한 CTLA4, PTPN22(APS-2 관련), ATP4A, IL1B, IFNGR1, LRBA(LRBA 결핍 IEI 관련), RIPK1(RIPK1 유발 자가염증증후군), 그리고 여러 HLA 유전자(B-8, B-18, Bw-15, DR-2, DR-4, DR-5, DRB103, DRB104)AIG 발생 위험을 높인다[10].


소아 AIG에서 위암 발생 위험일반적으로 낮다[36]. 제안된 위험 인자로는 진단 지연 및 질병 지속 기간, 위축 및 화생의 중증도, 화생의 형태(완전형/불완전형, 장상피형/가성유문선형), 상피 이형성의 존재, 동반 혹은 과거의 H. pylori 감염, 전정부 위축(위축성 범위염), 위장관 미생물총 변화, 과거 위 수술 등이 있다[15]. Segni 등은 AITD, APCA 양성, 고가스트린혈증 환자에서 다부위 위생검을 시행하고, 성인 권고와 같이 AIG 환자를 5년마다 내시경으로 추적 관찰할 것을 제안하였다. 또한 위 자가면역은 어느 연령에서든 발생할 수 있으므로, APCA 음성 AITD 환자에서는 2년마다 APCA 검사를 시행할 것을 제안하였다[14. Segni M., Borrelli O., Pucarelli I., Delle Fave G., Pasquino A.M., Annibale B. Early manifestations of gastric autoimmunity in patients with juvenile autoimmune thyroid diseases. J Clin Endocrinol Metab 2004;89:4944–4948.].

그러나 최근 연구에 따르면, H. pylori 감염이 없는 경우 위선암 발생 위험은 일반 인구와 차이가 없는 것으로 보인다. 과거 혹은 현재의 H. pylori 감염범위염성 위축을 유발하며, 암 발생의 촉진 인자로 작용한다[37]. 전문가들은 NET의 조기 발견을 목적으로 한 3~5년 간격의 내시경 추적관찰이 권장되며, 위암의 2차 예방보다는 NET 조기 진단에 더 초점이 맞추어져 있다고 동의한다. 그러나 현재까지 자료는 제한적이다[32].

끝으로, AIG에 대한 지식은 점차 늘어나고 있으나, 아직까지 특정 치료법은 없다. 따라서 영양 및 대사 합병증을 예방하기 위해 철분 및 비타민 B12 보충이 유일한 치료 전략으로 활용되고 있다[15].

 

6. Conclusions 

소아 발병 AIG는 드문 질환으로, 임상 양상은 우연히 발견된 내시경 소견부터 중증 철결핍성 빈혈(IDA)에 이르기까지 매우 다양하다. 진단어렵고 종종 지연된다. 소아 AIG에는 자가면역질환, 선천성 면역결함(IEI), 드물게는 호산구성 위장관질환 등이 동반될 수 있다. 소아 AIG의 진단적 접근다단계 평가가 필요하며, 소아소화기 전문의, 내시경 의사, 병리과 의사, 영양사, 면역학자, 그리고 주치 소아과 의사가 포함된 다학제적 팀이 함께해야 한다. 주기적인 추적관찰잠재적 합병증(위암, 자가면역질환, 면역결핍)의 조기 발견이러한 환아들을 정확하게 관리하는 데 핵심적이다.


<Abstract>

Autoimmune gastritis (AIG) is an uncommon and often underestimated condition in children, characterized by chronic stomach inflammation leading to the destruction of oxyntic glands with subsequent atrophic and metaplastic changes. This condition is associated with hypo-/achlorhydria, impairing iron and vitamin B12 absorption. The pathogenesis involves the activation of helper type 1 CD4+/CD25-T-cells against parietal cells. Clinical manifestations in children are not specific and include abdominal pain, bloating, nausea, vomiting, and iron deficiency anemia (IDA). The disease is also linked to an increased risk of pernicious anemia, intestinal-type gastric cancer, and type I neuroendocrine tumors. AIG is often diagnosed through the presence of autoantibodies in the serum, such as parietal cell (APCA) and intrinsic factor (IF) antibodies. However, therapeutic recommendations for pediatric AIG are currently lacking. We aim to present two clinical cases of pediatric-onset AIG, highlighting the heterogeneous clinical manifestations and the challenges in diagnosis with the support of an updated literature review. A 9-year-old girl presented with refractory IDA, initial hypogammaglobulinemia, and a 12-year-old boy was initially diagnosed with eosinophilic esophagitis. Both cases underline the importance of considering AIG in children with chronic gastrointestinal symptoms and gastric atrophy. Diagnostic workup, including endoscopy and serological tests, is crucial for accurate identification. A better understanding of this condition is imperative for timely intervention and regular monitoring, given the potential long-term complications, including the risk of malignancy. These cases contribute to expanding the clinical spectrum of pediatric AIG and highlight the necessity for comprehensive evaluation and management in affected children.

Keywords: anti-parietal cell antibodies (APCA); autoimmune gastritis (AIG); children.

 

0 0


대한자가면역성위염연구회

주소 : 경기도 용인시 기흥구 중부대로 579, 508-23호

대표전화 : 070-8080-0453

이메일 : autogastritis@gmail.com 


Copyright (c)대한자가면역성위염연구회. All Rights Reserved.

Design Hosting By 위멘토.


대한자가면역성위염연구회

주소 : 경기도 용인시 기흥구 중부대로 579, 508-23호 (구갈동, 강남대프라자)

대표전화 : 070-8080-0453  이메일 : autogastritis@gmail.com 


Copyright (c)대한자가면역성위염연구회. All Rights Reserved. Design Hosting By 위멘토.