Chen F, Gonzalez RS.
Am J Clin Pathol. 2025 Apr 19;163(4):601-609. doi: 10.1093/ajcp/aqae159.
INTRODUCTION
위축성 위염(AG)은 만성 염증세포 침윤, 국소적 또는 광범위한 선(gland) 손실, 그리고 종종 장상피화생을 특징으로 하는 위병증의 한 유형 (a category of gastropathy) 이다. 일반적으로 위축성 위염은 두 가지 주요 유형으로 나뉘는데, 자가면역성 장상피화생성 위축성 위염(AMAG)과 환경성 장상피화생성 위축성 위염(EMAG)이 그것이다.
자가면역성 장상피화생성 위축성 위염은 위 체부 및 기저부(fundus)의 벽세포(oxyntic mucosa)가 T세포 및 자가항체에 의해 파괴되며, 십이지장 전정부(antrum)는 특징적으로 보존되는 양상을 보인다. 반면, Helicobacter pylori 관련 위염은 대부분의 환경성 위축성 위염(EMAG)의 원인이며, 주로 전정부에서 시작하여 이후 체부로 확산된다.
AMAG와 EMAG는 조직학적으로 중첩되는 경우가 있다는 점도 주목할 만하다. 더 나아가, Helicobacter 감염 이후 벽세포에 대한 자가항체가 생성될 수 있다는 점에서, 헬리코박터균이 AMAG 병태생리에 관여할 수 있다는 점을 시사하는 증거들이 증가하고 있다. 원인과 관계없이, 자가면역 반응이든 외부 손상이든 모두 장크롬친화세포(enterochromaffin-like cell, ECL) 증식을 유발할 수 있다. 벽세포의 파괴나 기능장애로 인한 위산저하증(hypochlorhydria) 또는 무위산증(achlorhydria)은 전정부에서 가스트린 분비를 유도하고, 지속적인 고가스트린혈증(hypergastrinemia)은 결과적으로 ECL 세포를 자극하여 증식을 일으킨다.
위축성 위염은 미국 인구의 약 15%에서 발생하는 것으로 추정된다. 증상으로는 소화불량, 복통, 복부팽만, 오심, 피로 등이 있으며, 고전적인 소견인 내인자(intrinsic factor) 결핍으로 인한 악성 빈혈은 비교적 드물다. 따라서 위축성 위염은 임상 증상이 비특이적이거나 무증상인 경우가 많아 진단이 지연되거나 놓치기 쉽다. 또한, 질병 초기 단계에서는 조직학적 변화가 미세하게 나타나기 때문에 병리학자에게 진단이 어려울 수 있다. 시간이 지남에 따라 일부 환자들은 선암(adenocarcinoma) 또는 고분화 신경내분비종양(well-differentiated neuroendocrine tumor, WD-NET)과 같은 신생물을 발전시킬 수 있으며, 적절한 개입이 없을 경우 치명적인 결과를 초래할 수 있다.
면역조직화학염색(IHC)은 위축성 위염을 진단하는 데 있어 일상적인 병리 진단 과정에서 널리 사용된다. 실제 임상 경험상, 병리학자들은 위축성 위염이 의심되는 위 조직검사에서 여러 IHC 염색을 의뢰하는 경우가 많다. 예를 들어, 가스트린 IHC는 전정부의 G 세포를 강조하여 진짜 전정부 점막과 위축된 벽세포 점막을 구분하는 데 도움을 준다. 또한, 헬리코박터 IHC는 EMAG 환자에서 원인균을 확인하는 데 사용된다. 마지막으로, chromogranin A, synaptophysin과 같은 신경내분비 마커는 위축성 위염의 조직학적 변화 스펙트럼 중 하나인 ECL 세포 증식을 검출하는 데 사용된다. 비록 H&E 염색만으로도 ECL 증식을 직접 관찰할 수 있지만, 신경내분비 마커에 대한 IHC는 ECL 증식 인식률을 크게 향상시킨다.
ECL 증식은 선형(linear) 및 미세결절형(micronodular)과 같은 형태로 시작되는 과형성(hyperplasia) 단계에서 이형성(dysplasia), 나아가 WD-NET으로 진행되는 연속체로 이해된다. 그러나 ECL 증식은 체부 및 기저부 생검에서 위축성 위염을 진단하는 데 필수적인 벽세포 위축(oxyntic gland atrophy)에 덧붙여진 보조 소견이며, 따라서 H&E 염색과 가스트린 IHC만으로도 위축성 위염 진단이 가능하다. 이러한 점에서 신경내분비 IHC가 실제로 위축성 위염 진단이나 환자 위험도 분류에 가치를 더하는지, 혹은 ECL 증식에 대한 정성적 및 정량적 기준을 엄격하게 적용하는 것이 실제 진료에 유용한지는 여전히 불분명하다.
이 연구의 목적은 헬리코박터 음성 위축성 위염 환자 중 다양한 수준의 ECL 증식을 보이는 경우의 임상병리학적 특징을 비교하여, 신경내분비 IHC 마커가 위축성 위염의 진단 또는 환자 평가에 실제로 유용한지를 평가하는 데 있다.
METHODS
적절한 기관윤리심의위원회(IRB)의 승인을 받은 후, 2004년부터 2019년까지 본 병리과 아카이브에서 "atrophic", "autoimmune", "gastritis", "biopsy"라는 키워드를 사용하여 위축성 위염(AG)이 의심되는 위 생검 샘플을 가진 환자들을 확인하기 위한 후향적 검색을 수행하였다. 이 검색을 통해 확인된 사례 중 보관된 H&E 슬라이드가 존재하는 경우를 포함하여 초기 코호트는 총 249건이었다. 동일 환자의 다수 사례가 존재할 경우, 가장 먼저 채취된 생검만 포함하였고, 이에 따라 23건이 주 코호트에서 제외되었으나, 추적관찰 자료 수집을 위해 동일한 방식으로 검토되었다. 이 시점에 포함된 각 사례에 대해 전자의무기록을 검토하여 다음과 같은 관련 병력을 수집하였다:
연령, 성별, 인종, 평균 적혈구 용적(MCV), 헤모글로빈 수치, 혈청 비타민 B12 수치, 비타민 B12 투여 여부, 가스트린 수치, 페리틴 수치, 헬리코박터 감염력, 프로톤펌프억제제(PPI) 사용, 위 고분화 신경내분비종양(WD-NET) 또는 위 선암 병력, 기타 자가면역 질환 병력, 자가면역성 위염 관련 혈청검사 등.
검사 수치는 대부분 진단 이전에는 시행되지 않았기 때문에, 생검 이후의 가장 최근 외래 방문 시 결과를 기준으로 하였다.
자가면역성 위염 혈청양성은 벽세포 항체 또는 내인자 항체 중 하나라도 양성이 확인된 경우로 정의하였다. 두 항체가 모두 시행되었고 음성이면 음성으로 간주하였으며, 하나만 검사되었고 음성 또는 경계성인 경우, 혹은 둘 다 검사되었으나 하나 이상 경계성일 경우는 불확실로 분류하였다.
또한 모든 환자에 대해 임상적 추적관찰 기간을 산정하였고, 가능한 경우 후속 위 생검 결과도 검토하였다.
이 시점에서 포함된 226건의 슬라이드를 검토한 결과, 모두 적어도 경도의 만성 위염(고유판 내 산재한 형질세포 이상)과 일정 수준 이상의 벽세포선 손실(고유판에서 벽세포선이 부분적으로 결여되고 주로 표면선/점액선만 존재하는 점막 부위) 소견을 보였다. 이번 검색에서 염증이나 벽세포선 손실 없이 단독으로 ECL 세포 증식(ECL-H)이 보고된 사례는 발견되지 않았으며, 다시 말해 조직 보관 기록에서 ECL-H만으로 AG를 진단한 경우는 없었다.
각 사례에서 가스트린 IHC 염색을 검토하여 평가된 조직이 체부/기저부(origin)임을 확인하였다. 그 결과, 모든 조직에서 가스트린 염색이 확산 양성(diffuse positivity)을 보여 전정부(antrum) 조직만 포함된 것으로 간주된 5건은 제외되었다.
최종적으로 체부/기저부를 침범하는 AG로 진단된 221건이 남았고, 이는 원래 병리 진단 보고서와 일치하였다.
이후 남은 221건에 대해 다음과 같은 추가 조직학적 소견을 평가하였다:
또한 헬리코박터 IHC 염색을 사용하여 감염 여부를 확인하였다.
H&E 또는 IHC에서 헬리코박터균이 확인된 11건과, 의무기록 재검토 시 과거 헬리코박터 감염 병력이 있는 26건은 제외되었다.
이 과정을 통해 총 184건의 코호트가 최종 포함되었다.
해당 사례에서 병행된 전정부 생검이 존재할 경우, 다음 사항을 평가하였다:
전정부 생검이 없고 헬리코박터 병력도 없는 경우라도, 체부/기저부에 만성 위염이 존재하고 H&E 및 IHC에서 균이 관찰되지 않은 경우, 헬리코박터 음성으로 간주하였다.
각 사례에 대해 크로모그라닌 A와 시냅토피신에 대한 IHC 염색을 시행하여 ECL 세포 증식을 평가하였다.
Solcia의 1988년 기준에 따라,
선형형 과형성(linear hyperplasia)은 5개 이상의 IHC 양성 ECL 세포가 연속하여 샘의 기저막 내에 위치한 경우로 정성적 정의되며, 한 검체에서 5개 이상의 연속 사슬이거나 점막 1mm당 평균 2개 이상의 사슬이 있는 경우로 정량적 정의되었다.
미세결절형 과형성(micronodular hyperplasia)은 샘 내부 또는 고유판 내에 5개 이상의 양성 세포 군집이 있는 경우로 정성적 정의되며, 점막 1mm당 평균 1개 이상의 결절이 있는 경우로 정량적 정의되었다.
모든 사례는 다음 3개 군으로 분류되었다:
군 1: 완전 ECL-H (정성적 및 정량적 기준 모두 만족, 선형형 또는 미세결절형)
군 2: 부분 ECL-H (정성적 기준은 만족하나 정량적 기준은 불충족)
군 3: ECL-H 없음 (정성적 및 정량적 기준 모두 불충족)
IHC 평가는 한 명의 저자(F.C.)가 주도하였고, 애매하거나 어려운 경우에는 다른 저자(R.S.G.)가 재검토하여 확진하였다. Solcia가 기술한 "ECL 이형성증(ECL dysplasia)" 사례는 이번 연구에서 발견되지 않았다.
대부분의 사례는 앞서 언급한 시냅토피신, 크로모그라닌 A, 가스트린, 헬리코박터에 대한 IHC 염색이 이미 시행되었으나, 일부 누락된 경우에는 포르말린 고정 파라핀 포매 조직 블록을 재사용하여 4μm 비염색 절편을 제작한 후 누락된 IHC 염색을 수행하였다.
염색 조건은 다음과 같다:
크로모그라닌 A: 1:800 희석, 클론 DAK-A3 (DAKO/Agilent)
가스트린: 다클론 항체 (DAKO/Agilent)
헬리코박터: 1:40 희석, 다클론 항체 (DAKO/Agilent)
임상 및 조직학적 소견은 3개 군 간에 비교되었으며, 범주형 변수는 Fisher의 정확 검정(Fisher exact test), 연속형 변수는 t-검정을 사용하여 비교하였다.
모든 통계분석은 GraphPad 소프트웨어(GraphPad Software Inc)를 사용하였으며, 통계적 유의성 기준은 P < 0.05로 설정하였다.
RESULTS
최종 코호트는 총 184명의 환자로부터 얻은 184건의 사례(환자당 1건의 생검)로 구성되었다. 이 중
군 1(정성적 및 정량적 ECL 세포 과형성이 모두 있는 AG)은 152건,
군 2(정성적 ECL 세포 과형성은 있으나 정량적 기준은 만족하지 않는 AG)은 22건,
군 3(ECL 세포 과형성이 없는 AG)은 10건이었다.
세 군의 임상 및 병리학적 자료는 표 1에 제시되어 있으며 비교되었다.

Clinical Features
환자 평균 연령은 62세였으며(범위: 25세~90세 이상), 세 그룹 간 연령 분포는 유사하였다. 전체 환자 중 대부분은 여성(184명 중 130명, 71%)이었으나, 3군에서는 남성 우세를 보였다(10명 중 7명, 70%; 1군 대비 P = .008, 2군 대비 P = .049).
항벽세포 항체 또는 항내인자 항체에 대한 혈청검사는 전체 환자의 32%인 59명에서 시행되었다. 혈청 양성 결과는 ECL 상태와 유의미한 연관을 보였으며, 1군의 48명 중 35명(73%)이 양성이었던 반면, 2군에서는 9명 중 1명(11%; P = .0008), 3군에서는 2명 중 0명(0%; P = .086)이었다.
1군에서 양성 혈청 결과를 보인 환자 중, 25명은 항벽세포 항체 양성(평균 역가 1:295, 중앙값 1:160, 양성 기준 <1:20), 17명은 항내인자 항체 양성이었다(정성적 검사 기준). 혈청검사가 있었으나 음성이 아니었던 환자들 중 13명은 불확실한(inconclusive) 결과였고, 10명은 음성이었다. 나머지 125명은 혈청검사 결과가 없었다.
혈청 가스트린 수치는 1군에서 28명에게서 확인되었으며, 전원 상승되어 있었다(해당 기관의 정상 기준: ≤101 pg/mL). 반면, 2군과 3군의 검사된 환자(각 2명씩)는 모두 정상 수치를 보였다. 1군 환자의 평균 가스트린 수치는 700 pg/mL로, 2군(69 pg/mL; P = .026), 3군(20 pg/mL; P = .017)보다 현저히 높았다.
PPI 복용이 확인된 환자는 1군에서 34명(22%), 2군에서 14명(64%), 3군에서 2명(20%)이었다. PPI 복용 여부에 따른 1군 내 평균 가스트린 수치는 유사하였다(658 pg/mL vs 714 pg/mL; P = .73). 2군과 3군은 비교가 어려울 정도로 데이터가 부족했다.
비타민 B12 보충을 받고 있는 환자를 제외하고, 혈청 비타민 B12 수치는 1군 52명, 2군 9명, 3군 7명에게서 확인되었다. 평균 수치는 각각 376 pg/mL(1군), 577 pg/mL(2군), 548 pg/mL(3군)로 대체로 유사하였다. 비타민 B12 결핍(<240 pg/mL)은 1군의 18명(35%), 2군의 3명(33%), 3군에서는 0명(0%)에게서 확인되었다. 평균 적혈구 용적(MCV)은 1군 104명에서 평균 87 fL, 2군 20명에서 91 fL, 3군 9명에서 82 fL이었다. 2군의 평균 MCV는 1군(P = .039), 3군(P = .01)보다 유의미하게 높았다. 해당 기관의 정상 기준(82~98 fL)으로 보았을 때, 대적아구증(macrocytic anemia)은 1군 3명(3%), 2군 2명(10%), 3군 0명(0%)에서 확인되었으며, 소적아구증(microcytic anemia)은 1군 25명(24%), 2군 1명(5%), 3군 4명(44%)에서 확인되었다(P = .022, 3군 vs 2군). 소적아구증 환자 30명 중 13명(43%)에서는 페리틴 수치 감소(<13 ng/mL)가 동반되었다.
1군과 2+3군을 합친 36명 환자군을 비교했을 때, 연령, 성별, 비타민 B12 수치, MCV에서는 통계적으로 유의한 차이는 없었으나,
1군 환자들은 항체 양성 비율이 더 높았고(75% vs 8%; P < .0001), 평균 가스트린 수치도 더 높았다(740 vs 59; P = .003).
자가면역 질환을 동반한 환자는 총 20명(여성 13명, 남성 7명)으로,
제1형 당뇨병 5명
전신홍반루푸스(SLE) 4명
그레이브스병 4명
셀리악병 3명
류마티스관절염 2명
하시모토 갑상선염 2명
쇼그렌 증후군 1명
건선관절염 1명
자가면역성 안질환 1명
이 중 5명은 AMAG 혈청검사 양성, 6명은 음성이었다.
추적 위내시경(EGD)은 총 94명에서 시행되었으며, 평균 추적 기간은 58개월(1~201개월)이었다. 이 중 81명은 지속적 또는 난치성 AG를 보였으며, 이들은 1군 69명, 2군 8명, 3군 4명에 해당했다.
나머지 13명(1군 7명, 2군 3명, 3군 3명)은 위내시경 및 조직학적으로 정상 소견을 보였다.
Histologic Features
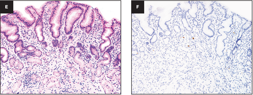
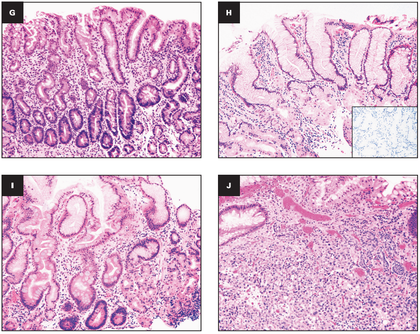
위 기준에 따라 184개의 생검 샘플은 3개 그룹으로 나뉘었으며, 1군은 152건(그림 1A, B), 2군은 22건(그림 1C, D), 3군은 10건(그림 1E, F)이었다.
모든 사례는 정의상 위산 분비선(oxyntic gland)의 손실이 일부라도 있었으며, 평균 손실률은 96%였다. 166건(90%)에서는 조직 샘플 내에서 완전 손실이 관찰되었고(그림 1G), 10건(5%)에서는 손실률이 50% 이하였다(그림 1H).
세 그룹 간 평균 손실률에는 유의미한 차이가 없었다.
장상피화생(intestinal metaplasia)은 위축된 위산 분비선 점막에서 140건(76%)에서 관찰되었으며(그림 1I),
1군(완전 ECL-H)에서 가장 흔하게 나타났으며, 152건 중 121건(80%)에서 확인되었다.
3군(ECL-H 없음)에서는 10건 중 5건(50%)으로 가장 적었으며, 이는 통계적으로 유의하였다(P = .044).
2군에서는 22건 중 14건(64%)에서 관찰되었으며, 이는 1군이나 3군과의 비교에서 통계적으로 유의하지 않았다.
그러나 2군과 3군을 합쳐 1군과 비교했을 때, 장상피화생 발생률은 59% vs 80%로 유의미한 차이를 보였다(P = .022).
남성 환자는 여성보다 장상피화생이 조금 더 흔했으나(83% vs 73%), 이는 통계적으로 유의하지 않았다(P = .18).
다른 형태의 화생도 2군 및 3군의 체부/기저부 생검에서 관찰되었으며,
유문선유사화생(pseudopyloric metaplasia)은 2군에서 14건(64%), 3군에서 9건(90%)
췌장화생(pancreatic metaplasia)은 3군에서만 1건(10%) 확인되었다 (2군은 0건).
1군과 2군은 정의상 신경내분비 면역조직화학(IHC) 검사상 정성적 ECL-H 소견이 있는 환자들이다.
미세결절성 과형성(micronodular hyperplasia)(선형 과형성 포함 또는 제외)은 1군에서 132건(87%)에서 나타났고, 2군에서는 7건(32%)에 불과했다(P < .0001).
1군 환자 중 12명은 생검 당시 분화도 양호한 위신경내분비종양(WD-NET)이 동반되었으며(그림 1J), 추적 관찰 중 추가로 4명이 새롭게 WD-NET 발생을 보였다. 2군과 3군에서는 추적 기간 동안 WD-NET이 발생한 환자가 없었다.
위선암(gastric adenocarcinoma)은 1군에서 3명, 2군과 3군에서 각각 1명씩 발생했으며, 이는 생검 당시 또는 추적 관찰 중 확인되었다.
동시에 시행된 유문부(antrum) 생검은 133건에서 이용 가능했으며,
유문부 장상피화생은 2군(36%)과 3군(33%)에서 더 흔하게 나타났으며, 1군에서는 13%로 낮았다(P = .046 vs 2군, P = .20 vs 3군).
비활성 만성 위염(inactive chronic gastritis)은 2군(43%)과 3군(67%)에서 매우 흔하였고, 1군에서는 7%에 불과하였다(P = .001 vs 2군, P = .0008 vs 3군).
활성 만성 위염(active chronic gastritis) 및 반응성 위병변(reactive gastropathy)의 빈도는 세 그룹 간 유의한 차이가 없었다.
유문부 활성 위염이 있던 5명 중, 2군과 3군의 각 1명은 체부/기저부에도 활성 위염이 동반되었으나, 1군의 3명은 그렇지 않았다.
마지막으로, oxyntic gland 손실이 50% 이하인 10명의 환자를 별도로 분석하였는데, 이들은
이들 모두에서 만성 림프형질세포성 염증이 있었으며,
유문부 장상피화생은 1군 4명 중 1명(25%), 2군 1명(33%), 3군 0명(0%)에서 각각 관찰되었다.
유문부 활성 위염은 2군 1명에서만 확인되었다.
1군 환자 대부분(6명 중 5명, 83%)은 선형 및 미세결절성 ECL-H를 모두 보였고, 2군의 3명은 모두 선형 ECL-H만 있었다.
추적 생검이 있었던 1군 환자 3명은 모두 질병 지속(refractory disease)을 보였으며, 이 중 2명은 추적 생검에서 위산 분비선 손실이 70% 이상으로 나타나 질병 진행을 시사하였다. 또한 2군 환자 1명은 추적 생검에서 정성적·정량적 ECL-H가 모두 관찰되어 1군 기준을 충족하는 소견을 보였다.
FIGURE 1 Features of atrophic gastritis (AG) with various degree of enterochromaffin-like cell hyperplasia (ECL-H). A and B, Atrophic gastritis with qualitative and quantitative ECL-H (group 1). Linear and nodular ECL-H on H&E stain (A) and on chromogranin A immunohistochemical stain (B) (both images 200× magnification). C and D, Atrophic gastritis with qualitative but not quantitative ECL-H (group 2). Focal linear and nodular ECL-H on H&E stain (C) and on chromogranin A immunohistochemical stain (D) (both images 100× magnification). E and F, Atrophic gastritis without quantitative ECL-H (group 3). Absence of linear or nodular ECL-H on H&E stain (E) and on chromogranin A immunohistochemical stain (F) (both images 100× magnification).


FIGURE 1 (cont) G, Many cases of AG showed complete loss of oxyntic glands (100× magnification). H, Some cases showed only partial loss of oxyntic glands. Inset demonstrates lack of gastrin staining by immunohistochemistry (100× magnification). I, Intestinal metaplasia was a common finding in AG, especially in cases with both quantitative and qualitative ECL-H (100× magnification). J, A few patients with atrophic gastritis showing quantitative and qualitative ECL-H developed gastric well-differentiated neuroendocrine tumors; patients in other groups did not (100× magnification).

DISCUSSION
이 연구에서는 면역조직화학(IHC)을 통한 ECL-H 상태 평가가 헬리코박터-음성 위축성 위염(AG) 환자들을 임상적 및 병리학적 특성이 구별되는 범주로 분류할 수 있음을 발견했습니다. 다만, 가스트린 수치와 같은 일부 비교는 소수의 환자 집단을 기반으로 했다는 점은 인정해야 합니다. 정성적 및 정량적 ECL-H를 모두 보인 환자들(가장 널리 사용되는 기준에 따라)은 다른 그룹보다 평균 가스트린 수치와 자가항체 양성률이 현저히 높았으며, 이들의 위 생검에서는 ECL 세포의 선형 증식보다는 미세결절 증식(micronodular hyperplasia)이 더 흔히 관찰되었습니다. 또한 이 그룹의 환자들만이 위 유암종(WD-NET)을 추후에 발병했습니다. 이들은 위축성 점막에서 장상피화생(intestinal metaplasia)을 더 흔히 보였으나, 반대로 유문(antrum) 점막에서는 장상피화생 및 만성 위염 발생률이 가장 낮았습니다.
정성적이지만 정량적 기준을 만족하지 않는 ECL-H를 보인 환자들은 양성자 펌프 억제제(PPI) 사용률이 높았으며 평균 적혈구 용적(MCV)도 다른 그룹보다 높았습니다. 반면, 정성적 또는 정량적 ECL-H가 없는 위축성 체부/기저부 점막을 가진 환자들은 남성이 많았고 소구성 빈혈(microcytic anemia)을 가장 흔히 보였습니다.
결론적으로, 완전한 ECL-H를 가진 1군 환자들의 소견은 고전적인 자가면역성 위축성 위염(AMAG)의 특징과 일치하며, 이들은 본 연구에서 가장 큰 비중을 차지했습니다. 2군(부분 ECL-H) 및 3군(ECL-H 결여)의 임상병리학적 의미는 아직 불확실하며, 이 세 그룹이 서로 어떤 관계를 갖는지는 명확하지 않습니다.
하나는 이 세 그룹이 질환의 진행 스펙트럼상 다른 단계를 나타낸다는 가능성입니다. 그러나 이론적으로 초기 AMAG는 선천적인 위선 손실이 적어야 하나, 본 연구에서는 세 그룹 간 평균 위선 손실 정도에 통계적 차이가 없었습니다. 또한, 위선 손실이 50% 이하인 10명의 환자 중 6명이 완전한 ECL-H를 보였기 때문에, 부분적인 위선 손실이 반드시 초기 AMAG를 의미하지는 않습니다. 선행 연구들 또한 초기 AMAG에서 ECL-H 여부에 대해 상반된 결과를 보고했습니다.
또 다른 가능성은 세 그룹이 같은 질환의 생검 샘플링 차이를 나타낸다는 것입니다. 일부 환자들이 추적 생검에서 그룹이 바뀐 점은 이 가능성을 지지하지만, 각 그룹의 뚜렷한 임상병리학적 차이를 완전히 설명하지는 못합니다.
세 번째 가능성은 이들이 서로 관련된 별개의 질환일 수 있다는 것입니다. 고전적인 AMAG 환자로 추정되는 1군은 유문 부위 만성 위염 비율이 낮았지만, 2군과 3군은 더 높은 비율을 보였으며, 이는 범위염(pan-gastritis)을 암시할 수 있습니다. 특히 2군 환자들은 PPI 사용률이 높았는데, PPI는 위산 억제에 따른 보상성 고가스트린혈증으로 인해 ECL-H를 유발할 수 있습니다. 이 그룹에서는 대부분 선형 증식만 있었으나 7명은 미세결절 증식을 보였고, 그중 2명은 자가항체 음성이었고 2명은 선형 증식을 보이지 않았습니다. 또한, 이들은 위선 위축을 보였는데 이는 PPI 복용 시 보이는 전형적인 위선 비대와는 상반됩니다. 따라서, PPI 사용이 단독으로 이들의 병리 소견을 설명하긴 어렵지만, 약물 사용을 유도한 별개의 질병 과정을 암시할 수 있습니다.
3군 환자들은 대부분 남성이었고, 소구성 빈혈을 보였습니다. 이들은 AMAG 관련 혈청학 검사에서 모두 음성이었고, 비타민 B12 결핍도 보이지 않았습니다. 일반적으로 헬리코박터 유도 환경성 위축성 위염(EMAG)에서는 ECL-H가 결여되어 있는 경우가 많습니다. 본 연구에서는 헬리코박터 양성 환자들을 제외했지만, 고염 식이, 알코올 남용, 전신 자가면역질환 등 헬리코박터 이외의 요인들도 EMAG와 관련이 있습니다. 따라서, 3군은 헬리코박터-음성 EMAG일 가능성이 있으며, 다만 과거 헬리코박터 감염이 있었지만 병원 기록에서 확인되지 않은 경우도 배제할 수 없습니다.
이번 연구의 목표 중 하나는 AG 진단에 ECL-H 확인을 위한 IHC가 필수적인지를 규명하는 것이었습니다. H&E 및 가스트린 IHC 소견 검토 결과, AG 진단에는 신경내분비 IHC가 반드시 필요하지는 않음을 알 수 있었습니다. 그러나 AG 맥락에서 신경내분비 마커를 사용하여 ECL-H를 평가하는 것은 일부 환자에서 잠재적으로 유의미한 정보를 제공할 수 있습니다. 대부분의 병리학자들은 미세결절(5개 이상의 ECL 세포가 결절 형성) 또는 선형(5개 이상이 일렬) 같은 정성적 기준은 알고 있지만, 정량적 기준은 적용이 드물며, 관찰자 간 차이도 있을 수 있습니다. 또한, H&E에서 AG 소견이 있으면 ECL-H로 해석되는 경향이 존재할 수 있습니다.
이 연구는 여러 제한점을 가지고 있습니다. 첫째, 전자의무기록에 의존한 임상 데이터는 제한적이었고, 혈청검사와 가스트린 수치 등 AG 진단을 보조할 수 있는 자료는 절반 이하의 환자에서만 이용 가능했습니다. 둘째, 생검 표본을 이용했기 때문에 위 전체를 대표하지 못할 수 있으며, 일부 환자들이 추적관찰 중 그룹이 바뀐 것은 질병 진행이나 샘플링 오류를 시사할 수 있습니다. 또한, 일부는 정상 위 점막을 보였으며 헬리코박터 감염이 놓쳤을 가능성도 있습니다. 마지막으로, 본 연구에서는 위축은 있으나 ECL-H는 없는 경우는 발견되지 않았으며, 이는 ECL-H 단독으로 AG 진단이 어렵다는 점을 시사합니다.
결론적으로, 위선 위축을 동반한 위축성 위염은 H&E 및 가스트린 IHC를 통해 대부분 진단이 가능하며, 신경내분비 IHC는 필수가 아닙니다. 그러나 헬리코박터-음성 AG 환자에서는 정성적·정량적 ECL-H 여부에 따라 세 하위군으로 나뉘며, 이들 사이에는 임상적 차이가 관찰됩니다. 이 차이들의 정확한 의미나 예후적 영향은 아직 명확하지 않으며, 현재로선 임상적 유용성은 제한적입니다. 그럼에도 불구하고, 향후 연구를 통해 ECL-H 평가의 추가적인 역할이 밝혀질 수 있습니다.
<Abstract>
Objectives: Atrophic gastritis (AG) is characterized by atrophy of gastric glands-in particular, oxyntic glands-in the setting of chronic inflammation; it is often autoimmune. The diagnosis is confirmed by immunohistochemistry (IHC) for gastrin (to confirm biopsy site), and pathologists often use IHC for neuroendocrine markers to evaluate for enterochromaffin-like cell hyperplasia (ECL-H). The utility of neuroendocrine staining is unclear, and we undertook this study to determine whether ECL pattern provided any additional information in cases of Helicobacter-negative AG.
Methods: We reviewed clinicopathologic findings in 184 cases from 184 patients with histologic AG and no evidence of Helicobacter infection. Using neuroendocrine IHC markers, cases were divided into 3 groups: Group 1 showed complete ECL-H (both qualitative and quantitative criteria met), group 2 showed focal ECL-H (qualitative but not quantitative criteria met), and group 3 showed no ECL-H (neither criteria met).
Results: Group 1 patients were more likely to have positive autoantibody serologies (73%, P = .0007 vs group 2) and higher mean gastrin levels (700 pg/mL, P = .017 vs group 3), and only these patients developed gastric neuroendocrine tumors. Group 2 patients were more likely to take proton pump inhibitors (64%, P = .0002 vs group 1). Group 3 patients were more likely to be male (70%, P = .008 vs group 1) and to have microcytic anemia (44%, P = .022 vs group 2) and less likely to have intestinal metaplasia (50%, P = .044 vs group 1).
Conclusions: Stratification based on degree of ECL-H is not necessary for diagnosis of AG but does lead to statistically significant clinical and pathologic differences among groups.
Keywords: ECL; atrophic gastritis; autoimmune; hyperplasia; stomach.
Chen F, Gonzalez RS.
Am J Clin Pathol. 2025 Apr 19;163(4):601-609. doi: 10.1093/ajcp/aqae159.
INTRODUCTION
위축성 위염(AG)은 만성 염증세포 침윤, 국소적 또는 광범위한 선(gland) 손실, 그리고 종종 장상피화생을 특징으로 하는 위병증의 한 유형 (a category of gastropathy) 이다. 일반적으로 위축성 위염은 두 가지 주요 유형으로 나뉘는데, 자가면역성 장상피화생성 위축성 위염(AMAG)과 환경성 장상피화생성 위축성 위염(EMAG)이 그것이다.
자가면역성 장상피화생성 위축성 위염은 위 체부 및 기저부(fundus)의 벽세포(oxyntic mucosa)가 T세포 및 자가항체에 의해 파괴되며, 십이지장 전정부(antrum)는 특징적으로 보존되는 양상을 보인다. 반면, Helicobacter pylori 관련 위염은 대부분의 환경성 위축성 위염(EMAG)의 원인이며, 주로 전정부에서 시작하여 이후 체부로 확산된다.
AMAG와 EMAG는 조직학적으로 중첩되는 경우가 있다는 점도 주목할 만하다. 더 나아가, Helicobacter 감염 이후 벽세포에 대한 자가항체가 생성될 수 있다는 점에서, 헬리코박터균이 AMAG 병태생리에 관여할 수 있다는 점을 시사하는 증거들이 증가하고 있다. 원인과 관계없이, 자가면역 반응이든 외부 손상이든 모두 장크롬친화세포(enterochromaffin-like cell, ECL) 증식을 유발할 수 있다. 벽세포의 파괴나 기능장애로 인한 위산저하증(hypochlorhydria) 또는 무위산증(achlorhydria)은 전정부에서 가스트린 분비를 유도하고, 지속적인 고가스트린혈증(hypergastrinemia)은 결과적으로 ECL 세포를 자극하여 증식을 일으킨다.
위축성 위염은 미국 인구의 약 15%에서 발생하는 것으로 추정된다. 증상으로는 소화불량, 복통, 복부팽만, 오심, 피로 등이 있으며, 고전적인 소견인 내인자(intrinsic factor) 결핍으로 인한 악성 빈혈은 비교적 드물다. 따라서 위축성 위염은 임상 증상이 비특이적이거나 무증상인 경우가 많아 진단이 지연되거나 놓치기 쉽다. 또한, 질병 초기 단계에서는 조직학적 변화가 미세하게 나타나기 때문에 병리학자에게 진단이 어려울 수 있다. 시간이 지남에 따라 일부 환자들은 선암(adenocarcinoma) 또는 고분화 신경내분비종양(well-differentiated neuroendocrine tumor, WD-NET)과 같은 신생물을 발전시킬 수 있으며, 적절한 개입이 없을 경우 치명적인 결과를 초래할 수 있다.
면역조직화학염색(IHC)은 위축성 위염을 진단하는 데 있어 일상적인 병리 진단 과정에서 널리 사용된다. 실제 임상 경험상, 병리학자들은 위축성 위염이 의심되는 위 조직검사에서 여러 IHC 염색을 의뢰하는 경우가 많다. 예를 들어, 가스트린 IHC는 전정부의 G 세포를 강조하여 진짜 전정부 점막과 위축된 벽세포 점막을 구분하는 데 도움을 준다. 또한, 헬리코박터 IHC는 EMAG 환자에서 원인균을 확인하는 데 사용된다. 마지막으로, chromogranin A, synaptophysin과 같은 신경내분비 마커는 위축성 위염의 조직학적 변화 스펙트럼 중 하나인 ECL 세포 증식을 검출하는 데 사용된다. 비록 H&E 염색만으로도 ECL 증식을 직접 관찰할 수 있지만, 신경내분비 마커에 대한 IHC는 ECL 증식 인식률을 크게 향상시킨다.
ECL 증식은 선형(linear) 및 미세결절형(micronodular)과 같은 형태로 시작되는 과형성(hyperplasia) 단계에서 이형성(dysplasia), 나아가 WD-NET으로 진행되는 연속체로 이해된다. 그러나 ECL 증식은 체부 및 기저부 생검에서 위축성 위염을 진단하는 데 필수적인 벽세포 위축(oxyntic gland atrophy)에 덧붙여진 보조 소견이며, 따라서 H&E 염색과 가스트린 IHC만으로도 위축성 위염 진단이 가능하다. 이러한 점에서 신경내분비 IHC가 실제로 위축성 위염 진단이나 환자 위험도 분류에 가치를 더하는지, 혹은 ECL 증식에 대한 정성적 및 정량적 기준을 엄격하게 적용하는 것이 실제 진료에 유용한지는 여전히 불분명하다.
이 연구의 목적은 헬리코박터 음성 위축성 위염 환자 중 다양한 수준의 ECL 증식을 보이는 경우의 임상병리학적 특징을 비교하여, 신경내분비 IHC 마커가 위축성 위염의 진단 또는 환자 평가에 실제로 유용한지를 평가하는 데 있다.
METHODS
적절한 기관윤리심의위원회(IRB)의 승인을 받은 후, 2004년부터 2019년까지 본 병리과 아카이브에서 "atrophic", "autoimmune", "gastritis", "biopsy"라는 키워드를 사용하여 위축성 위염(AG)이 의심되는 위 생검 샘플을 가진 환자들을 확인하기 위한 후향적 검색을 수행하였다. 이 검색을 통해 확인된 사례 중 보관된 H&E 슬라이드가 존재하는 경우를 포함하여 초기 코호트는 총 249건이었다. 동일 환자의 다수 사례가 존재할 경우, 가장 먼저 채취된 생검만 포함하였고, 이에 따라 23건이 주 코호트에서 제외되었으나, 추적관찰 자료 수집을 위해 동일한 방식으로 검토되었다. 이 시점에 포함된 각 사례에 대해 전자의무기록을 검토하여 다음과 같은 관련 병력을 수집하였다:
연령, 성별, 인종, 평균 적혈구 용적(MCV), 헤모글로빈 수치, 혈청 비타민 B12 수치, 비타민 B12 투여 여부, 가스트린 수치, 페리틴 수치, 헬리코박터 감염력, 프로톤펌프억제제(PPI) 사용, 위 고분화 신경내분비종양(WD-NET) 또는 위 선암 병력, 기타 자가면역 질환 병력, 자가면역성 위염 관련 혈청검사 등.
검사 수치는 대부분 진단 이전에는 시행되지 않았기 때문에, 생검 이후의 가장 최근 외래 방문 시 결과를 기준으로 하였다.
자가면역성 위염 혈청양성은 벽세포 항체 또는 내인자 항체 중 하나라도 양성이 확인된 경우로 정의하였다. 두 항체가 모두 시행되었고 음성이면 음성으로 간주하였으며, 하나만 검사되었고 음성 또는 경계성인 경우, 혹은 둘 다 검사되었으나 하나 이상 경계성일 경우는 불확실로 분류하였다.
또한 모든 환자에 대해 임상적 추적관찰 기간을 산정하였고, 가능한 경우 후속 위 생검 결과도 검토하였다.
이 시점에서 포함된 226건의 슬라이드를 검토한 결과, 모두 적어도 경도의 만성 위염(고유판 내 산재한 형질세포 이상)과 일정 수준 이상의 벽세포선 손실(고유판에서 벽세포선이 부분적으로 결여되고 주로 표면선/점액선만 존재하는 점막 부위) 소견을 보였다. 이번 검색에서 염증이나 벽세포선 손실 없이 단독으로 ECL 세포 증식(ECL-H)이 보고된 사례는 발견되지 않았으며, 다시 말해 조직 보관 기록에서 ECL-H만으로 AG를 진단한 경우는 없었다.
각 사례에서 가스트린 IHC 염색을 검토하여 평가된 조직이 체부/기저부(origin)임을 확인하였다. 그 결과, 모든 조직에서 가스트린 염색이 확산 양성(diffuse positivity)을 보여 전정부(antrum) 조직만 포함된 것으로 간주된 5건은 제외되었다.
최종적으로 체부/기저부를 침범하는 AG로 진단된 221건이 남았고, 이는 원래 병리 진단 보고서와 일치하였다.
이후 남은 221건에 대해 다음과 같은 추가 조직학적 소견을 평가하였다:
벽세포선 손실 정도 (정상 체부/기저부 조직과 비교하여 육안적으로 추정)
장상피화생 여부 (정량적이 아닌 정성적으로 평가)
또한 헬리코박터 IHC 염색을 사용하여 감염 여부를 확인하였다.
H&E 또는 IHC에서 헬리코박터균이 확인된 11건과, 의무기록 재검토 시 과거 헬리코박터 감염 병력이 있는 26건은 제외되었다.
이 과정을 통해 총 184건의 코호트가 최종 포함되었다.
해당 사례에서 병행된 전정부 생검이 존재할 경우, 다음 사항을 평가하였다:
반응성 위병증 반응성 변화
장상피화생
만성 위염 (저배율에서 림프형질세포 염증 확인)
만성 위염 내 염증 활성도
전정부 생검이 없고 헬리코박터 병력도 없는 경우라도, 체부/기저부에 만성 위염이 존재하고 H&E 및 IHC에서 균이 관찰되지 않은 경우, 헬리코박터 음성으로 간주하였다.
각 사례에 대해 크로모그라닌 A와 시냅토피신에 대한 IHC 염색을 시행하여 ECL 세포 증식을 평가하였다.
Solcia의 1988년 기준에 따라,
선형형 과형성(linear hyperplasia)은 5개 이상의 IHC 양성 ECL 세포가 연속하여 샘의 기저막 내에 위치한 경우로 정성적 정의되며, 한 검체에서 5개 이상의 연속 사슬이거나 점막 1mm당 평균 2개 이상의 사슬이 있는 경우로 정량적 정의되었다.
미세결절형 과형성(micronodular hyperplasia)은 샘 내부 또는 고유판 내에 5개 이상의 양성 세포 군집이 있는 경우로 정성적 정의되며, 점막 1mm당 평균 1개 이상의 결절이 있는 경우로 정량적 정의되었다.
모든 사례는 다음 3개 군으로 분류되었다:
군 1: 완전 ECL-H (정성적 및 정량적 기준 모두 만족, 선형형 또는 미세결절형)
군 2: 부분 ECL-H (정성적 기준은 만족하나 정량적 기준은 불충족)
군 3: ECL-H 없음 (정성적 및 정량적 기준 모두 불충족)
IHC 평가는 한 명의 저자(F.C.)가 주도하였고, 애매하거나 어려운 경우에는 다른 저자(R.S.G.)가 재검토하여 확진하였다. Solcia가 기술한 "ECL 이형성증(ECL dysplasia)" 사례는 이번 연구에서 발견되지 않았다.
대부분의 사례는 앞서 언급한 시냅토피신, 크로모그라닌 A, 가스트린, 헬리코박터에 대한 IHC 염색이 이미 시행되었으나, 일부 누락된 경우에는 포르말린 고정 파라핀 포매 조직 블록을 재사용하여 4μm 비염색 절편을 제작한 후 누락된 IHC 염색을 수행하였다.
염색 조건은 다음과 같다:
크로모그라닌 A: 1:800 희석, 클론 DAK-A3 (DAKO/Agilent)
가스트린: 다클론 항체 (DAKO/Agilent)
헬리코박터: 1:40 희석, 다클론 항체 (DAKO/Agilent)
임상 및 조직학적 소견은 3개 군 간에 비교되었으며, 범주형 변수는 Fisher의 정확 검정(Fisher exact test), 연속형 변수는 t-검정을 사용하여 비교하였다.
모든 통계분석은 GraphPad 소프트웨어(GraphPad Software Inc)를 사용하였으며, 통계적 유의성 기준은 P < 0.05로 설정하였다.
RESULTS
최종 코호트는 총 184명의 환자로부터 얻은 184건의 사례(환자당 1건의 생검)로 구성되었다. 이 중
군 1(정성적 및 정량적 ECL 세포 과형성이 모두 있는 AG)은 152건,
군 2(정성적 ECL 세포 과형성은 있으나 정량적 기준은 만족하지 않는 AG)은 22건,
군 3(ECL 세포 과형성이 없는 AG)은 10건이었다.
세 군의 임상 및 병리학적 자료는 표 1에 제시되어 있으며 비교되었다.
Clinical Features
환자 평균 연령은 62세였으며(범위: 25세~90세 이상), 세 그룹 간 연령 분포는 유사하였다. 전체 환자 중 대부분은 여성(184명 중 130명, 71%)이었으나, 3군에서는 남성 우세를 보였다(10명 중 7명, 70%; 1군 대비 P = .008, 2군 대비 P = .049).
항벽세포 항체 또는 항내인자 항체에 대한 혈청검사는 전체 환자의 32%인 59명에서 시행되었다. 혈청 양성 결과는 ECL 상태와 유의미한 연관을 보였으며, 1군의 48명 중 35명(73%)이 양성이었던 반면, 2군에서는 9명 중 1명(11%; P = .0008), 3군에서는 2명 중 0명(0%; P = .086)이었다.
1군에서 양성 혈청 결과를 보인 환자 중, 25명은 항벽세포 항체 양성(평균 역가 1:295, 중앙값 1:160, 양성 기준 <1:20), 17명은 항내인자 항체 양성이었다(정성적 검사 기준). 혈청검사가 있었으나 음성이 아니었던 환자들 중 13명은 불확실한(inconclusive) 결과였고, 10명은 음성이었다. 나머지 125명은 혈청검사 결과가 없었다.
혈청 가스트린 수치는 1군에서 28명에게서 확인되었으며, 전원 상승되어 있었다(해당 기관의 정상 기준: ≤101 pg/mL). 반면, 2군과 3군의 검사된 환자(각 2명씩)는 모두 정상 수치를 보였다. 1군 환자의 평균 가스트린 수치는 700 pg/mL로, 2군(69 pg/mL; P = .026), 3군(20 pg/mL; P = .017)보다 현저히 높았다.
PPI 복용이 확인된 환자는 1군에서 34명(22%), 2군에서 14명(64%), 3군에서 2명(20%)이었다. PPI 복용 여부에 따른 1군 내 평균 가스트린 수치는 유사하였다(658 pg/mL vs 714 pg/mL; P = .73). 2군과 3군은 비교가 어려울 정도로 데이터가 부족했다.
비타민 B12 보충을 받고 있는 환자를 제외하고, 혈청 비타민 B12 수치는 1군 52명, 2군 9명, 3군 7명에게서 확인되었다. 평균 수치는 각각 376 pg/mL(1군), 577 pg/mL(2군), 548 pg/mL(3군)로 대체로 유사하였다. 비타민 B12 결핍(<240 pg/mL)은 1군의 18명(35%), 2군의 3명(33%), 3군에서는 0명(0%)에게서 확인되었다. 평균 적혈구 용적(MCV)은 1군 104명에서 평균 87 fL, 2군 20명에서 91 fL, 3군 9명에서 82 fL이었다. 2군의 평균 MCV는 1군(P = .039), 3군(P = .01)보다 유의미하게 높았다. 해당 기관의 정상 기준(82~98 fL)으로 보았을 때, 대적아구증(macrocytic anemia)은 1군 3명(3%), 2군 2명(10%), 3군 0명(0%)에서 확인되었으며, 소적아구증(microcytic anemia)은 1군 25명(24%), 2군 1명(5%), 3군 4명(44%)에서 확인되었다(P = .022, 3군 vs 2군). 소적아구증 환자 30명 중 13명(43%)에서는 페리틴 수치 감소(<13 ng/mL)가 동반되었다.
1군과 2+3군을 합친 36명 환자군을 비교했을 때, 연령, 성별, 비타민 B12 수치, MCV에서는 통계적으로 유의한 차이는 없었으나,
1군 환자들은 항체 양성 비율이 더 높았고(75% vs 8%; P < .0001), 평균 가스트린 수치도 더 높았다(740 vs 59; P = .003).
자가면역 질환을 동반한 환자는 총 20명(여성 13명, 남성 7명)으로,
제1형 당뇨병 5명
전신홍반루푸스(SLE) 4명
그레이브스병 4명
셀리악병 3명
류마티스관절염 2명
하시모토 갑상선염 2명
쇼그렌 증후군 1명
건선관절염 1명
자가면역성 안질환 1명
이 중 5명은 AMAG 혈청검사 양성, 6명은 음성이었다.
추적 위내시경(EGD)은 총 94명에서 시행되었으며, 평균 추적 기간은 58개월(1~201개월)이었다. 이 중 81명은 지속적 또는 난치성 AG를 보였으며, 이들은 1군 69명, 2군 8명, 3군 4명에 해당했다.
이 중 남성 1명은 이후 생검에서 정량적 기준은 미충족하나 정성적 ECL-H가 있는 소견(→ 2군 기준)
여성 1명은 이후 생검에서 ECL-H가 없는 AG 소견(→ 3군 기준)
으로 각각 변화하였다.
나머지 13명(1군 7명, 2군 3명, 3군 3명)은 위내시경 및 조직학적으로 정상 소견을 보였다.
Histologic Features
위 기준에 따라 184개의 생검 샘플은 3개 그룹으로 나뉘었으며, 1군은 152건(그림 1A, B), 2군은 22건(그림 1C, D), 3군은 10건(그림 1E, F)이었다.
모든 사례는 정의상 위산 분비선(oxyntic gland)의 손실이 일부라도 있었으며, 평균 손실률은 96%였다. 166건(90%)에서는 조직 샘플 내에서 완전 손실이 관찰되었고(그림 1G), 10건(5%)에서는 손실률이 50% 이하였다(그림 1H).
세 그룹 간 평균 손실률에는 유의미한 차이가 없었다.
장상피화생(intestinal metaplasia)은 위축된 위산 분비선 점막에서 140건(76%)에서 관찰되었으며(그림 1I),
1군(완전 ECL-H)에서 가장 흔하게 나타났으며, 152건 중 121건(80%)에서 확인되었다.
3군(ECL-H 없음)에서는 10건 중 5건(50%)으로 가장 적었으며, 이는 통계적으로 유의하였다(P = .044).
2군에서는 22건 중 14건(64%)에서 관찰되었으며, 이는 1군이나 3군과의 비교에서 통계적으로 유의하지 않았다.
그러나 2군과 3군을 합쳐 1군과 비교했을 때, 장상피화생 발생률은 59% vs 80%로 유의미한 차이를 보였다(P = .022).
남성 환자는 여성보다 장상피화생이 조금 더 흔했으나(83% vs 73%), 이는 통계적으로 유의하지 않았다(P = .18).
다른 형태의 화생도 2군 및 3군의 체부/기저부 생검에서 관찰되었으며,
유문선유사화생(pseudopyloric metaplasia)은 2군에서 14건(64%), 3군에서 9건(90%)
췌장화생(pancreatic metaplasia)은 3군에서만 1건(10%) 확인되었다 (2군은 0건).
1군과 2군은 정의상 신경내분비 면역조직화학(IHC) 검사상 정성적 ECL-H 소견이 있는 환자들이다.
미세결절성 과형성(micronodular hyperplasia)(선형 과형성 포함 또는 제외)은 1군에서 132건(87%)에서 나타났고, 2군에서는 7건(32%)에 불과했다(P < .0001).
1군 환자 중 12명은 생검 당시 분화도 양호한 위신경내분비종양(WD-NET)이 동반되었으며(그림 1J), 추적 관찰 중 추가로 4명이 새롭게 WD-NET 발생을 보였다. 2군과 3군에서는 추적 기간 동안 WD-NET이 발생한 환자가 없었다.
위선암(gastric adenocarcinoma)은 1군에서 3명, 2군과 3군에서 각각 1명씩 발생했으며, 이는 생검 당시 또는 추적 관찰 중 확인되었다.
동시에 시행된 유문부(antrum) 생검은 133건에서 이용 가능했으며,
유문부 장상피화생은 2군(36%)과 3군(33%)에서 더 흔하게 나타났으며, 1군에서는 13%로 낮았다(P = .046 vs 2군, P = .20 vs 3군).
비활성 만성 위염(inactive chronic gastritis)은 2군(43%)과 3군(67%)에서 매우 흔하였고, 1군에서는 7%에 불과하였다(P = .001 vs 2군, P = .0008 vs 3군).
활성 만성 위염(active chronic gastritis) 및 반응성 위병변(reactive gastropathy)의 빈도는 세 그룹 간 유의한 차이가 없었다.
유문부 활성 위염이 있던 5명 중, 2군과 3군의 각 1명은 체부/기저부에도 활성 위염이 동반되었으나, 1군의 3명은 그렇지 않았다.
마지막으로, oxyntic gland 손실이 50% 이하인 10명의 환자를 별도로 분석하였는데, 이들은
1군 6명,
2군 3명,
3군 1명에 해당하였다.
샘플 수가 적어 통계 분석은 시행되지 않았다.
이들 모두에서 만성 림프형질세포성 염증이 있었으며,
유문부 장상피화생은 1군 4명 중 1명(25%), 2군 1명(33%), 3군 0명(0%)에서 각각 관찰되었다.
유문부 활성 위염은 2군 1명에서만 확인되었다.
1군 환자 대부분(6명 중 5명, 83%)은 선형 및 미세결절성 ECL-H를 모두 보였고, 2군의 3명은 모두 선형 ECL-H만 있었다.
추적 생검이 있었던 1군 환자 3명은 모두 질병 지속(refractory disease)을 보였으며, 이 중 2명은 추적 생검에서 위산 분비선 손실이 70% 이상으로 나타나 질병 진행을 시사하였다. 또한 2군 환자 1명은 추적 생검에서 정성적·정량적 ECL-H가 모두 관찰되어 1군 기준을 충족하는 소견을 보였다.
FIGURE 1 Features of atrophic gastritis (AG) with various degree of enterochromaffin-like cell hyperplasia (ECL-H). A and B, Atrophic gastritis with qualitative and quantitative ECL-H (group 1). Linear and nodular ECL-H on H&E stain (A) and on chromogranin A immunohistochemical stain (B) (both images 200× magnification). C and D, Atrophic gastritis with qualitative but not quantitative ECL-H (group 2). Focal linear and nodular ECL-H on H&E stain (C) and on chromogranin A immunohistochemical stain (D) (both images 100× magnification). E and F, Atrophic gastritis without quantitative ECL-H (group 3). Absence of linear or nodular ECL-H on H&E stain (E) and on chromogranin A immunohistochemical stain (F) (both images 100× magnification).
FIGURE 1 (cont) G, Many cases of AG showed complete loss of oxyntic glands (100× magnification). H, Some cases showed only partial loss of oxyntic glands. Inset demonstrates lack of gastrin staining by immunohistochemistry (100× magnification). I, Intestinal metaplasia was a common finding in AG, especially in cases with both quantitative and qualitative ECL-H (100× magnification). J, A few patients with atrophic gastritis showing quantitative and qualitative ECL-H developed gastric well-differentiated neuroendocrine tumors; patients in other groups did not (100× magnification).
DISCUSSION
이 연구에서는 면역조직화학(IHC)을 통한 ECL-H 상태 평가가 헬리코박터-음성 위축성 위염(AG) 환자들을 임상적 및 병리학적 특성이 구별되는 범주로 분류할 수 있음을 발견했습니다. 다만, 가스트린 수치와 같은 일부 비교는 소수의 환자 집단을 기반으로 했다는 점은 인정해야 합니다. 정성적 및 정량적 ECL-H를 모두 보인 환자들(가장 널리 사용되는 기준에 따라)은 다른 그룹보다 평균 가스트린 수치와 자가항체 양성률이 현저히 높았으며, 이들의 위 생검에서는 ECL 세포의 선형 증식보다는 미세결절 증식(micronodular hyperplasia)이 더 흔히 관찰되었습니다. 또한 이 그룹의 환자들만이 위 유암종(WD-NET)을 추후에 발병했습니다. 이들은 위축성 점막에서 장상피화생(intestinal metaplasia)을 더 흔히 보였으나, 반대로 유문(antrum) 점막에서는 장상피화생 및 만성 위염 발생률이 가장 낮았습니다.
정성적이지만 정량적 기준을 만족하지 않는 ECL-H를 보인 환자들은 양성자 펌프 억제제(PPI) 사용률이 높았으며 평균 적혈구 용적(MCV)도 다른 그룹보다 높았습니다. 반면, 정성적 또는 정량적 ECL-H가 없는 위축성 체부/기저부 점막을 가진 환자들은 남성이 많았고 소구성 빈혈(microcytic anemia)을 가장 흔히 보였습니다.
결론적으로, 완전한 ECL-H를 가진 1군 환자들의 소견은 고전적인 자가면역성 위축성 위염(AMAG)의 특징과 일치하며, 이들은 본 연구에서 가장 큰 비중을 차지했습니다. 2군(부분 ECL-H) 및 3군(ECL-H 결여)의 임상병리학적 의미는 아직 불확실하며, 이 세 그룹이 서로 어떤 관계를 갖는지는 명확하지 않습니다.
하나는 이 세 그룹이 질환의 진행 스펙트럼상 다른 단계를 나타낸다는 가능성입니다. 그러나 이론적으로 초기 AMAG는 선천적인 위선 손실이 적어야 하나, 본 연구에서는 세 그룹 간 평균 위선 손실 정도에 통계적 차이가 없었습니다. 또한, 위선 손실이 50% 이하인 10명의 환자 중 6명이 완전한 ECL-H를 보였기 때문에, 부분적인 위선 손실이 반드시 초기 AMAG를 의미하지는 않습니다. 선행 연구들 또한 초기 AMAG에서 ECL-H 여부에 대해 상반된 결과를 보고했습니다.
또 다른 가능성은 세 그룹이 같은 질환의 생검 샘플링 차이를 나타낸다는 것입니다. 일부 환자들이 추적 생검에서 그룹이 바뀐 점은 이 가능성을 지지하지만, 각 그룹의 뚜렷한 임상병리학적 차이를 완전히 설명하지는 못합니다.
세 번째 가능성은 이들이 서로 관련된 별개의 질환일 수 있다는 것입니다. 고전적인 AMAG 환자로 추정되는 1군은 유문 부위 만성 위염 비율이 낮았지만, 2군과 3군은 더 높은 비율을 보였으며, 이는 범위염(pan-gastritis)을 암시할 수 있습니다. 특히 2군 환자들은 PPI 사용률이 높았는데, PPI는 위산 억제에 따른 보상성 고가스트린혈증으로 인해 ECL-H를 유발할 수 있습니다. 이 그룹에서는 대부분 선형 증식만 있었으나 7명은 미세결절 증식을 보였고, 그중 2명은 자가항체 음성이었고 2명은 선형 증식을 보이지 않았습니다. 또한, 이들은 위선 위축을 보였는데 이는 PPI 복용 시 보이는 전형적인 위선 비대와는 상반됩니다. 따라서, PPI 사용이 단독으로 이들의 병리 소견을 설명하긴 어렵지만, 약물 사용을 유도한 별개의 질병 과정을 암시할 수 있습니다.
3군 환자들은 대부분 남성이었고, 소구성 빈혈을 보였습니다. 이들은 AMAG 관련 혈청학 검사에서 모두 음성이었고, 비타민 B12 결핍도 보이지 않았습니다. 일반적으로 헬리코박터 유도 환경성 위축성 위염(EMAG)에서는 ECL-H가 결여되어 있는 경우가 많습니다. 본 연구에서는 헬리코박터 양성 환자들을 제외했지만, 고염 식이, 알코올 남용, 전신 자가면역질환 등 헬리코박터 이외의 요인들도 EMAG와 관련이 있습니다. 따라서, 3군은 헬리코박터-음성 EMAG일 가능성이 있으며, 다만 과거 헬리코박터 감염이 있었지만 병원 기록에서 확인되지 않은 경우도 배제할 수 없습니다.
이번 연구의 목표 중 하나는 AG 진단에 ECL-H 확인을 위한 IHC가 필수적인지를 규명하는 것이었습니다. H&E 및 가스트린 IHC 소견 검토 결과, AG 진단에는 신경내분비 IHC가 반드시 필요하지는 않음을 알 수 있었습니다. 그러나 AG 맥락에서 신경내분비 마커를 사용하여 ECL-H를 평가하는 것은 일부 환자에서 잠재적으로 유의미한 정보를 제공할 수 있습니다. 대부분의 병리학자들은 미세결절(5개 이상의 ECL 세포가 결절 형성) 또는 선형(5개 이상이 일렬) 같은 정성적 기준은 알고 있지만, 정량적 기준은 적용이 드물며, 관찰자 간 차이도 있을 수 있습니다. 또한, H&E에서 AG 소견이 있으면 ECL-H로 해석되는 경향이 존재할 수 있습니다.
이 연구는 여러 제한점을 가지고 있습니다. 첫째, 전자의무기록에 의존한 임상 데이터는 제한적이었고, 혈청검사와 가스트린 수치 등 AG 진단을 보조할 수 있는 자료는 절반 이하의 환자에서만 이용 가능했습니다. 둘째, 생검 표본을 이용했기 때문에 위 전체를 대표하지 못할 수 있으며, 일부 환자들이 추적관찰 중 그룹이 바뀐 것은 질병 진행이나 샘플링 오류를 시사할 수 있습니다. 또한, 일부는 정상 위 점막을 보였으며 헬리코박터 감염이 놓쳤을 가능성도 있습니다. 마지막으로, 본 연구에서는 위축은 있으나 ECL-H는 없는 경우는 발견되지 않았으며, 이는 ECL-H 단독으로 AG 진단이 어렵다는 점을 시사합니다.
결론적으로, 위선 위축을 동반한 위축성 위염은 H&E 및 가스트린 IHC를 통해 대부분 진단이 가능하며, 신경내분비 IHC는 필수가 아닙니다. 그러나 헬리코박터-음성 AG 환자에서는 정성적·정량적 ECL-H 여부에 따라 세 하위군으로 나뉘며, 이들 사이에는 임상적 차이가 관찰됩니다. 이 차이들의 정확한 의미나 예후적 영향은 아직 명확하지 않으며, 현재로선 임상적 유용성은 제한적입니다. 그럼에도 불구하고, 향후 연구를 통해 ECL-H 평가의 추가적인 역할이 밝혀질 수 있습니다.
<Abstract>
Objectives: Atrophic gastritis (AG) is characterized by atrophy of gastric glands-in particular, oxyntic glands-in the setting of chronic inflammation; it is often autoimmune. The diagnosis is confirmed by immunohistochemistry (IHC) for gastrin (to confirm biopsy site), and pathologists often use IHC for neuroendocrine markers to evaluate for enterochromaffin-like cell hyperplasia (ECL-H). The utility of neuroendocrine staining is unclear, and we undertook this study to determine whether ECL pattern provided any additional information in cases of Helicobacter-negative AG.
Methods: We reviewed clinicopathologic findings in 184 cases from 184 patients with histologic AG and no evidence of Helicobacter infection. Using neuroendocrine IHC markers, cases were divided into 3 groups: Group 1 showed complete ECL-H (both qualitative and quantitative criteria met), group 2 showed focal ECL-H (qualitative but not quantitative criteria met), and group 3 showed no ECL-H (neither criteria met).
Results: Group 1 patients were more likely to have positive autoantibody serologies (73%, P = .0007 vs group 2) and higher mean gastrin levels (700 pg/mL, P = .017 vs group 3), and only these patients developed gastric neuroendocrine tumors. Group 2 patients were more likely to take proton pump inhibitors (64%, P = .0002 vs group 1). Group 3 patients were more likely to be male (70%, P = .008 vs group 1) and to have microcytic anemia (44%, P = .022 vs group 2) and less likely to have intestinal metaplasia (50%, P = .044 vs group 1).
Conclusions: Stratification based on degree of ECL-H is not necessary for diagnosis of AG but does lead to statistically significant clinical and pathologic differences among groups.
Keywords: ECL; atrophic gastritis; autoimmune; hyperplasia; stomach.