Kotera T, Kushima R, Haruma K.
Intern Med 2025 Aug 7. doi: 10.2169/internalmedicine.5888-25.
Introduction
만성 위축성 위염은 헬리코박터 파일로리(Helicobacter pylori) 감염과 관련된 위염과 자가면역성 위염(AIG)의 두 가지 뚜렷한 유형으로 구분된다. 일부 AIG 환자에서는 현재 또는 과거 H. pylori 감염이 동시에 존재하는 등 중첩된 특징을 보이기도 한다[1,2]. 최근 들어 AIG가 H. pylori 위염으로 처음 진단된 환자에서 H. pylori 제균치료 후 또는 H. pylori 감염이 자연적으로 소실된 이후에 발현하거나 진행되는 경우가 보고되고 있다[3-9]. 한 증례 보고에서는 제균치료 후 H. pylori 위염과 공존하는 진행 중인 AIG가 위축이 없는 위점막에서 발적을 동반한 부종성 위 부위로 나타났는데[8], 이는 AIG의 초기 단계에서 특징적으로 관찰되는 소견이다[10-12]. 그러나 일본의 한 다기관 연구에서는 고령층에서 H. pylori 감염의 유병률이 높음에도 불구하고 AIG 환자 중 H. pylori 항체 양성자는 소수에 불과하다고 보고하였다[13]. 이는 동반된 H. pylori 감염이 내시경적으로 AIG를 진단하는 것을 어렵게 만들 수 있음을 시사한다. 본 저자들은 활동성 H. pylori 위염이 존재하는 상태에서 부종성 위 부위로 나타난 진행 중인 AIG의 두 증례를 보고한다.
Case Reports
Case1
40대 여성 환자가 2018년 건강검진을 위해 본원을 방문하였다. 환자는 IgA 신증으로 인해 안지오텐신 전환효소 억제제를 복용 중이었으나, 프로톤펌프 억제제 복용이나 헬리코박터 파일로리(H. pylori) 감염에 대한 제균치료를 받은 적은 없었다. 건강검진의 일환으로 시행한 식도위십이지장내시경(EGD)에서 전정부(antrum)에는 경도의 위축이, 체부(corpus) 소만(l. curvature)에는 혈관이 뚜렷하게 보이는 심한 위축이 관찰되었으며, Kimura-Takemoto 분류(14,15)상 C-3에 해당하였다(Fig. 1). 또한 체부 대만(greater curvature)의 비위축성 점막에서 경미한 미만성 발적이 관찰되어 활동성 H. pylori 위염이 의심되었다. 혈청 검사에서 항-H. pylori 항체가 양성이었고(역가 24.4 U/mL, 기준치 <10 U/mL; E-plate Eiken H. pylori Antibody II kit, Eiken Chemical Co., Ltd, Tokyo, Japan), 다른 병원에서 시행한 제균치료 후 요소호기검사(UBT)에서 음성으로 확인되었다.
2019년 EGD에서는 심한 위축이 여전히 소만에 국한되어 있었으며 대만의 위주름 소실은 없었다(C-3) (Fig. 1). 그러나 제균 2년 후인 2020년 추적 EGD에서 위축이 체부 대만으로 확장되어, 대만의 위주름이 소실되고 체부 전반에 혈관이 두드러지게 보이는 소견이 나타났으며 O-3 단계로 진행되었다(Fig. 1). 반면 2023년 EGD에서는 전정부 원위부 점막의 색조가 정상으로 회복되었다. 이러한 내시경 소견에 근거하여 진행기 AIG가 의심되었고, 혈청 항벽세포항체(PCA) 양성(역가 1:160), 혈청 가스트린 농도 상승(463.7 pmol/L; 기준치 11.9–46.9 pmol/L; Gastrin RIA kit DP, DENIS PHARMA K.K., Tokyo, Japan)이 확인되었다.
Figure 1. Temporal changes in endoscopic findings of Case 1 before and after H. pylori eradication. Extension of severe gastric atrophy to the greater curvature of the corpus was observed in 2020, two years after H. pylori eradication. First row: Antrum. Second row: Lesser curvature of the corpus. Third row: Greater curvature of the corpus.

2023년 체부 소만에서 시행한 점막 생검의 병리조직검사에서는 고유판(lamina propria)에 조밀한 림프구 침윤과 잔존 벽세포의 변성을 보였으며(Fig. 2a), chromogranin A 면역염색에서 장크롬친화 유사세포(ECL cell) 증식이 관찰되었다(Fig. 2b). 2024년에는 체부 대만에서 유문선/유문유사선 화생, 표면상피과형성(foveolar hyperplasia), ECL 세포 증식 등 더 진행된 위축성 변화가 관찰되었다(Fig. 2c, d). 이 시점에서 항-H. pylori 항체는 음성이었으며(역가 <3.0 U/mL), 이러한 혈청학적 및 조직학적 결과는 제균치료 후 환자가 진행기 AIG로 발전했음을 시사하였다.
Figure 2. Histopathological findings of Case 1 in 2023 and 2024. a, b: Dense lymphocytic infiltra tion of the lamina propria, degeneration of residual parietal cells [a, Hematoxylin and Eosin (H&E) staining; original magnification, ×100], and ECL cell hyperplasia (b, chromogranin A staining; origi nal magnification, ×100) in the lesser curvature of the corpus in 2023. c, d: Atrophic changes with pyloric/pseudopyloric metaplasia, foveolar hyperplasia (c, H&E staining; original magnification, ×100), and ECL cell hyperplasia (d, chromogranin A staining; original magnification, ×100) in the greater curvature of the corpus in 2024.

AIG 진단 이전의 내시경 및 조직학적 소견을 후향적으로 검토한 결과, 2018년 내시경 근접촬영과 인디고카민 염색내시경에서 체부 상부 대만의 비위축성 점막에 규칙적인 발적 패턴을 동반한 경도의 부종성 위영역이 관찰되었으며(Fig. 3a-c), 이는 제균 1년 후인 2019년에도 여전히 존재하였다(Fig. 3d). 내시경 소견상 이러한 점막은 연어알(salmon roe) 모양을 보여, H. pylori 음성 초기 AIG[10-12] 또는 제균 후 진행 중인 AIG[8]에서 특징적으로 관찰되는 소견이었다.
Figure 3. Swollen gastric areas with a regular erythema pattern in Case 1. a, b, c: Swollen gastric areas with a regular erythema pattern of non-atrophic mucosa in the greater curvature of the upper corpus in 2018 (a), highlighted with a close-up view (dotted ellipse in b) and chromoendoscopy with indigo carmine (c). d: Close-up view of the non-atrophic mucosa in the greater curvature of the upper corpus in 2019.

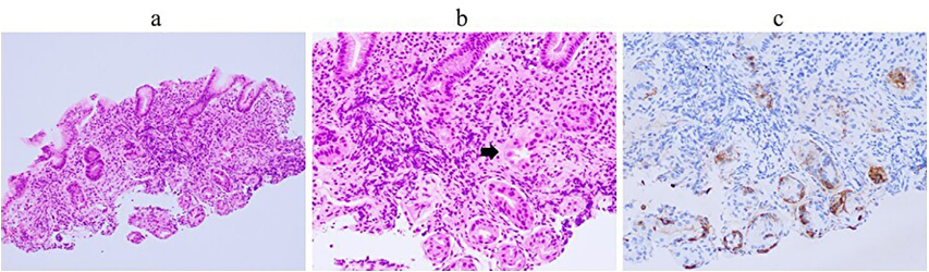
2018년 체부 상부 대만에서 채취한 생검 조직의 병리검사에서는 점막하부에서 기저선(gland)까지 광범위한 림프구 침윤과 함께 기저선 파괴, 잔존 벽세포의 변성과 위축성 비대(pseudohypertrophy)가 확인되었으며(Fig. 4a, b), chromogranin A 면역염색에서 경도의 ECL 세포 증식이 관찰되어 활동성 H. pylori 감염이 동반된 AIG로 진단할 수 있었다[16].
Figure 4. Histopathological findings of Case 1 in 2018. a, b: Lymphocytic infiltration extending from the subepithelium deep within the fundic glands, destruction of the fundic glands, and degen eration/pseudohypertrophy of residual parietal cells (black arrow in b) in the greater curvature of the upper corpus (Hematoxylin and Eosin staining; original magnification, a: ×100, b: ×200). c: ECL cell hyperplasia (chromogranin A staining; original magnification, ×200).

따라서, 본 증례의 내시경 및 병리 소견은 활동성 H. pylori 위염이 존재하는 상태에서 발적과 부종을 동반한 위 점막 병변(연어알 모양)을 보이며, 제균 후 진행기 AIG로 악화되고 전정부 점막 색조가 정상화되는 경과를 보였음을 시사한다.
Case 2
50대 남성 환자가 2011년 2월, 건강검진 목적으로 본원에서 상부위장관내시경(EGD)을 시행하였다. 환자는 프로톤펌프 억제제 복용이나 헬리코박터 파일로리(H. pylori) 제균치료를 받은 적이 없었다. 내시경에서 전정부 점막의 부종이 관찰되었고(Fig. 5), 체부 소만에는 심한 위축이 있었으나 대만의 위주름은 보존되어 있었으며(C-3), 미만성 발적과 끈적한 점액이 관찰되어 활동성 H. pylori 위염이 의심되었다(Fig. 5, 6a). 이는 신속요소분해효소검사(RUT) 양성으로 확인되었다. H. pylori 제균치료는 시행되지 않았다.
2018년 8월 추적 EGD에서는 심한 위축이 체부 대만으로 확장되어 대만의 위주름이 소실되고, 체부 전반에 혈관이 두드러지게 보이는 소견이 나타났으며 O-3 단계로 진행되었다(Fig. 5). 전정부 점막은 여전히 경도의 위축을 보였으나 점막 부종은 소실되었다.
Figure 5. Temporal changes in endoscopic findings of Case 2. Active H. pylori gastritis was indicated by a positive RUT result in 2011. The extension of severe gastric atrophy to the greater curvature of the corpus was observed in 2018 without H. pylori eradication. First row: Antrum. Second row: Lesser curvature of the corpus. Third row: Greater curvature of the corpus.

미만성 발적과 끈적한 점액은 더 이상 보이지 않았으며, 대신 전저(fornix) 부위에 끈적하게 달라붙은 치밀한 점액과 유사한 크림색 점액이 관찰되었다(Fig. 6b). 혈청 항-H. pylori 항체는 5.2 U/mL로 음성이었고, 이후 2020년 9월 내시경에서는 전형적인 끈적하게 부착된 치밀 점액이 전저에서 관찰되었다(Fig. 6c). 요소호기검사(UBT)에서 약한 양성(3.2‰; 기준치 <2.5‰)을 보여, H. pylori 이외의 요소분해효소 양성 세균의 과증식 가능성이 제기되었다[13]. 이러한 내시경 및 검사 결과는 H. pylori 감염이 소실되면서 진행기 AIG가 발생했음을 시사하였다.
Figure 6. Temporal changes in endoscopic appearance of the mucus in the upper corpus. a: Sticky mucus and diffuse redness in 2011. b: Creamy white mucus in 2018. c: Sticky adherent dense mucus in 2020.

2022년 환자는 항벽세포항체(PCA) 양성(역가 1:10)이었으며, 2023년에는 1:40, 2024년에는 1:80으로 증가하였다. 혈청 가스트린 수치는 2023년 212.2 pmol/L에서 2024년 392.4 pmol/L로 상승하였다. 내시경에서는 전정부 점막의 색조가 정상으로 회복되었으나, 체부의 심한 위축은 지속되었다(Fig. 5). 2022년 체부 상부 소만에서 채취한 생검 조직의 병리검사에서는 고유판(lamina propria)에 림프구 침윤, 잔존 벽세포의 변성, 장상피화생이 관찰되었고(Fig. 7a), chromogranin A 면역염색에서 ECL 세포의 경도 증식이 확인되었다(Fig. 7b). 전정부 유문선(pyloric glands)에서는 위축이나 염증 소견이 관찰되지 않았다(Fig. 7c, d). H. pylori 면역염색 결과는 음성이었다.
Figure 7. Histopathological findings of Case 2 in 2022. a: Lymphocytic infiltration of the lamina propria, degeneration of residual parietal cells and intestinal metaplasia in the lesser curvature of the upper corpus [Hematoxylin and Eosin (H&E) staining; original magnification, ×100]. b: Mild ECL cell hyperplasia (yellow arrow head) and intestinal metaplasia (black arrow head) in the lesser curvature of the upper corpus (chromogranin A staining; original magnification, ×100). c, d: Absence of atrophic or inflammatory changes in the greater curvature of the antrum (c: H&E staining; original magnification, ×40, d: yellow box in c, H&E staining; original magnification, ×100).
2011년, AIG 발현 7년 전의 내시경 근접촬영을 후향적으로 검토한 결과, 체부 중·상부 대만(Fig. 8a, b)과 절흔(incisura angularis) 부위(Fig. 8c)의 비위축성 점막에서 발적을 동반한 경도의 부종성 위영역이 관찰되었다. 따라서, 이러한 내시경 소견은 활동성 H. pylori 위염이 동반된 진행 중인 AIG가 발적과 부종성 점막 병변 형태로 나타났다가, H. pylori의 자연 소실 후 전정부 점막이 정상화되고 진행기 AIG로 악화된 과정을 보여준다.
Figure 8. Swollen gastric areas with a regular erythema pattern in Case 2. a, b: Greater curvature of the upper corpus in 2011. Swollen gastric areas with a regular erythema pattern are highlighted with a close-up view (dotted ellipse in b). c: Close-up view of the incisura angularis. b is the same as a.

Discussion
저자들은 이번에 활동성 헬리코박터 파일로리(Helicobacter pylori, H. pylori) 위염으로 처음 진단되었으나, 실제로는 진행 중인 자가면역성 위염(AIG)이었음을 시사하는 2예를 보고하며, 활동성 H. pylori 위염과 동반된 상태에서 AIG가 진행될 수 있음을 강조한다. 활동성 H. pylori 위염에 가려진 진행 중인 AIG는 발적을 동반한 부종성 위점막 병변으로 나타날 수 있으며, H. pylori 제균치료나 자연 소실 이후 전정부 점막의 색조가 정상화되면서 명백한 AIG로 진행할 수 있다. 저자들이 아는 한, AIG 환자에서 H. pylori 제균치료 또는 자연 소실 이후 전정부 점막이 내시경적으로 정상화되는 소견을 보고한 것은 본 증례가 처음이다.
최근 일본의 다기관 연구에서는 다수의 AIG 증례에 대한 특징적인 내시경 소견을 보고했는데, 그중 소수만이 항-H. pylori 항체 양성이었다[13]. 일본에서 사용되는 AIG 진단 기준은 해당 연구의 기준을 바탕으로 하고 있으나, 활동성 H. pylori 위염이 동반된 경우에는 AIG 진단이 어려울 수 있다[17. Kamada T, Watanabe H, Furuta T, et al. Diagnostic criteria and endoscopic and histological findings of autoimmune gastritis in Ja pan. J Gastroenterol 58: 185-195, 2023.]. 이는 최근 보고된 자가면역성 위염과 H. pylori 위염의 병발 사례에서도 나타난 바와 같이[3-8], H. pylori 감염이 동반되면 내시경 소견의 정확한 해석이 어렵기 때문이다. 본 증례 1, 2의 초기 EGD 영상 후향 분석에서, 체부 상부 대만의 비위축성 점막에 규칙적인 발적 패턴을 보이는 경도의 부종성 위영역이 관찰되었는데, 이는 H. pylori 음성 초기 AIG에서 특징적인 ‘연어알 모양(salmon roe-like appearance)’ 소견이었다[10-12]. 이 소견은 문맥고혈압성 위병증(portal hypertensive gastropathy)의 특징인 ‘뱀껍질 모양(snakeskin appearance)’ 또는 모자이크 패턴과 유사하며[18,19], 일부 활동성 H. pylori 위염에서도 관찰될 수 있다[20,21]. 그러나 두 증례 모두 식도정맥류나 간경변증과 같은 문맥고혈압 소견은 없었다.
활동성 H. pylori 위염의 경우, 모자이크 패턴을 보이는 부종성 위영역은 AIG의 연어알 모양 소견에 비해 크기와 형태가 균일하지 않으나, 그 차이는 미묘하다. 따라서 활동성 H. pylori 위염 배경에서 발적을 동반한 부종성 위영역이 관찰될 경우, 표준 내시경만으로는 AIG의 연어알 모양과 H. pylori 위염의 모자이크 패턴을 구분하기 어렵다. 증례 1의 2018년 초기 EGD에서도 부종과 발적이 있었으나, 색소내시경에서 연어알 모양임이 확인되기 전까지 이를 AIG 소견으로 판단하지 못했다. 이 경우 병리조직학적 평가를 보다 면밀히 하고, chromogranin A 염색과 같은 추가 면역조직화학검사를 시행했다면, 활동성 H. pylori 감염이 동반된 AIG를 더 일찍 진단할 수 있었을 것이다. 최근 H. pylori 음성 AIG 환자에서 확대협대역영상(M-NBI) 내시경을 이용한 연구에서는, 연어알 모양 부위의 미세혈관·미세표면 구조가 정상이라는 보고가 있었다[11. Kishino M, Yao K, Hashimoto H, et al. A case of early autoimmune gastritis with characteristic endoscopic findings. Clin J Gas troenterol 14: 718-724, 2021.]. 그러나 이러한 M-NBI 소견은 표층 상피와 고유판 표층까지 염증이 미치는 활동성 H. pylori 위염 동반 AIG에는 그대로 적용하기 어려울 수 있다. 따라서 현재 H. pylori 감염이 있는 상태에서 발적을 동반한 부종성 위영역이 관찰되면, PCA 측정과 같은 혈청학적 검사 및 추적 내시경을 포함한 병리조직학적 평가를 시행해 AIG 가능성을 고려해야 한다.
일부 AIG 증례에서는 H. pylori 제균치료 없이도 활동성 H. pylori 위염이 진행하여 명백한 AIG로 이행된다고 알려져 있다[9,22,23]. 대부분의 경우, 심한 위축으로 인해 AIG 진단 시점에는 H. pylori가 자연 소실되며, 일부에서는 전정부 점막의 회복이 동반된다[22]. AIG 환자에서 H. pylori 감염 여부를 정확히 판별하는 것은 여전히 어렵다.
증례 2에서는 2011년 EGD에서 미만성 발적, 점막 부종, 끈적한 점액 등 교토분류(Kyoto classification)상 활동성 H. pylori 위염의 특징적 소견[24]과 RUT 양성을 근거로 현재 H. pylori 감염을 진단했다. 2018년에는 체부 전반에 걸친 광범위한 위축과 혈관 노출 소견이 있었고, 미만성 발적과 점액 소실은 H. pylori 위염이 가라앉았음을 시사했으나, 항-H. pylori 항체가 음성-고역가 범위(negative-high titer)인 점을 고려할 때 미량의 잔존 감염 가능성을 배제할 수 없다[25]. 2020년에는 심한 위축성 위염에서 보이는 특징적인 끈적한 점액이 관찰되었고, 요소호기검사 약양성 소견은 H. pylori 외의 요소분해효소 양성 세균 과증식[17,26] 혹은 저수준 H. pylori 감염 가능성[27]을 시사했다. 2022년에는 병리조직학적·혈청학적 검사로 AIG가 확진되었으며, 전정부 점막의 정상화와 H. pylori 면역염색 음성은 감염 소실을 뒷받침했다. 그러나 기존 검사로 극미량의 H. pylori를 발견하지 못했을 가능성은 여전히 존재한다. 2011년 초기 EGD 후향 분석에서, 증례 2는 체부 중·상부 대만 및 절흔 부위의 비위축성 점막에 미만성 발적 배경 위로 경도의 부종성 위영역이 관찰되었으며, 이는 증례 1보다 덜 뚜렷했다. 따라서, 활동성 H. pylori 위염에 가려진 AIG는 H. pylori의 자연 소실과 함께 전정부 점막 정상화를 동반하며 명백한 AIG로 진행할 수 있다. 증례 1에서도 제균 후 AIG 진단 시점에 전정부 점막 색조가 정상화되었다. 이는 H. pylori 감염력이 없는 AIG와 과거 감염이 있었던 AIG의 감별을 어렵게 만들며, 일본에서 노년층의 H. pylori 감염률이 높음에도 불구하고 H. pylori 양성 AIG 유병률이 예상보다 낮게 나타나는 이유일 수 있다[13. Terao S, Suzuki S, Yaita H, et al. Multicenter study of autoimmune gastritis in Japan: Clinical and endoscopic characteristics. Dig Endosc 32: 364-372, 2020.].
H. pylori 감염과 AIG 발생의 연관성은 아직 명확히 밝혀지지 않았다. 본 증례 2예 모두 H. pylori 소실 후 명백한 AIG로 진행했으나, H. pylori 감염이 AIG 발생에 자극 또는 억제 요인으로 작용했는지에 대해서는 근거가 부족하다. 또 다른 가능성은 H. pylori 감염과 AIG 발생이 서로 독립적으로 진행된다는 것이다.
결론적으로, 활동성 H. pylori 위염이 동반된 진행 중 AIG는 현재 감염 상태에서 발적을 동반한 부종성 위영역으로 나타날 수 있으며, H. pylori의 자연 소실 또는 제균치료 후 전정부 점막 정상화와 함께 명백한 AIG로 진행할 수 있다. 활동성 H. pylori 위염에서 이러한 소견이 관찰될 경우 AIG를 감별진단에 포함해야 하며, PCA 측정과 같은 혈청검사 및 병리검사 시행이 필요하다. 이를 뒷받침하기 위해서는 더 많은 환자 수와 장기 추적관찰을 통한 연구가 필요하다.
Abstract: We herein report two cases of evolving autoimmune gastritis (AIG) that were initially diagnosed as active Helicobacter pylori gastritis. Both presented with swollen gastric areas and erythema in the context of a cur rent H. pylori infection. One patient progressed to overt AIG after H. pylori eradication therapy, while the other progressed after the spontaneous disappearance of H. pylori infection. At the time of the AIG diagnosis, the antral mucosa showed atrophic regression, while the corpus mucosa showed severe atrophy. Therefore, when swollen gastric areas with erythema are observed during active H. pylori gastritis, AIG should be considered.
Key words: autoimmune gastritis, Helicobacter pylori, eradication
Kotera T, Kushima R, Haruma K.
Intern Med 2025 Aug 7. doi: 10.2169/internalmedicine.5888-25.
Introduction
만성 위축성 위염은 헬리코박터 파일로리(Helicobacter pylori) 감염과 관련된 위염과 자가면역성 위염(AIG)의 두 가지 뚜렷한 유형으로 구분된다. 일부 AIG 환자에서는 현재 또는 과거 H. pylori 감염이 동시에 존재하는 등 중첩된 특징을 보이기도 한다[1,2]. 최근 들어 AIG가 H. pylori 위염으로 처음 진단된 환자에서 H. pylori 제균치료 후 또는 H. pylori 감염이 자연적으로 소실된 이후에 발현하거나 진행되는 경우가 보고되고 있다[3-9]. 한 증례 보고에서는 제균치료 후 H. pylori 위염과 공존하는 진행 중인 AIG가 위축이 없는 위점막에서 발적을 동반한 부종성 위 부위로 나타났는데[8], 이는 AIG의 초기 단계에서 특징적으로 관찰되는 소견이다[10-12]. 그러나 일본의 한 다기관 연구에서는 고령층에서 H. pylori 감염의 유병률이 높음에도 불구하고 AIG 환자 중 H. pylori 항체 양성자는 소수에 불과하다고 보고하였다[13]. 이는 동반된 H. pylori 감염이 내시경적으로 AIG를 진단하는 것을 어렵게 만들 수 있음을 시사한다. 본 저자들은 활동성 H. pylori 위염이 존재하는 상태에서 부종성 위 부위로 나타난 진행 중인 AIG의 두 증례를 보고한다.
Case Reports
Case1
40대 여성 환자가 2018년 건강검진을 위해 본원을 방문하였다. 환자는 IgA 신증으로 인해 안지오텐신 전환효소 억제제를 복용 중이었으나, 프로톤펌프 억제제 복용이나 헬리코박터 파일로리(H. pylori) 감염에 대한 제균치료를 받은 적은 없었다. 건강검진의 일환으로 시행한 식도위십이지장내시경(EGD)에서 전정부(antrum)에는 경도의 위축이, 체부(corpus) 소만(l. curvature)에는 혈관이 뚜렷하게 보이는 심한 위축이 관찰되었으며, Kimura-Takemoto 분류(14,15)상 C-3에 해당하였다(Fig. 1). 또한 체부 대만(greater curvature)의 비위축성 점막에서 경미한 미만성 발적이 관찰되어 활동성 H. pylori 위염이 의심되었다. 혈청 검사에서 항-H. pylori 항체가 양성이었고(역가 24.4 U/mL, 기준치 <10 U/mL; E-plate Eiken H. pylori Antibody II kit, Eiken Chemical Co., Ltd, Tokyo, Japan), 다른 병원에서 시행한 제균치료 후 요소호기검사(UBT)에서 음성으로 확인되었다.
2019년 EGD에서는 심한 위축이 여전히 소만에 국한되어 있었으며 대만의 위주름 소실은 없었다(C-3) (Fig. 1). 그러나 제균 2년 후인 2020년 추적 EGD에서 위축이 체부 대만으로 확장되어, 대만의 위주름이 소실되고 체부 전반에 혈관이 두드러지게 보이는 소견이 나타났으며 O-3 단계로 진행되었다(Fig. 1). 반면 2023년 EGD에서는 전정부 원위부 점막의 색조가 정상으로 회복되었다. 이러한 내시경 소견에 근거하여 진행기 AIG가 의심되었고, 혈청 항벽세포항체(PCA) 양성(역가 1:160), 혈청 가스트린 농도 상승(463.7 pmol/L; 기준치 11.9–46.9 pmol/L; Gastrin RIA kit DP, DENIS PHARMA K.K., Tokyo, Japan)이 확인되었다.
Figure 1. Temporal changes in endoscopic findings of Case 1 before and after H. pylori eradication. Extension of severe gastric atrophy to the greater curvature of the corpus was observed in 2020, two years after H. pylori eradication. First row: Antrum. Second row: Lesser curvature of the corpus. Third row: Greater curvature of the corpus.
2023년 체부 소만에서 시행한 점막 생검의 병리조직검사에서는 고유판(lamina propria)에 조밀한 림프구 침윤과 잔존 벽세포의 변성을 보였으며(Fig. 2a), chromogranin A 면역염색에서 장크롬친화 유사세포(ECL cell) 증식이 관찰되었다(Fig. 2b). 2024년에는 체부 대만에서 유문선/유문유사선 화생, 표면상피과형성(foveolar hyperplasia), ECL 세포 증식 등 더 진행된 위축성 변화가 관찰되었다(Fig. 2c, d). 이 시점에서 항-H. pylori 항체는 음성이었으며(역가 <3.0 U/mL), 이러한 혈청학적 및 조직학적 결과는 제균치료 후 환자가 진행기 AIG로 발전했음을 시사하였다.
Figure 2. Histopathological findings of Case 1 in 2023 and 2024. a, b: Dense lymphocytic infiltra tion of the lamina propria, degeneration of residual parietal cells [a, Hematoxylin and Eosin (H&E) staining; original magnification, ×100], and ECL cell hyperplasia (b, chromogranin A staining; origi nal magnification, ×100) in the lesser curvature of the corpus in 2023. c, d: Atrophic changes with pyloric/pseudopyloric metaplasia, foveolar hyperplasia (c, H&E staining; original magnification, ×100), and ECL cell hyperplasia (d, chromogranin A staining; original magnification, ×100) in the greater curvature of the corpus in 2024.
AIG 진단 이전의 내시경 및 조직학적 소견을 후향적으로 검토한 결과, 2018년 내시경 근접촬영과 인디고카민 염색내시경에서 체부 상부 대만의 비위축성 점막에 규칙적인 발적 패턴을 동반한 경도의 부종성 위영역이 관찰되었으며(Fig. 3a-c), 이는 제균 1년 후인 2019년에도 여전히 존재하였다(Fig. 3d). 내시경 소견상 이러한 점막은 연어알(salmon roe) 모양을 보여, H. pylori 음성 초기 AIG[10-12] 또는 제균 후 진행 중인 AIG[8]에서 특징적으로 관찰되는 소견이었다.
Figure 3. Swollen gastric areas with a regular erythema pattern in Case 1. a, b, c: Swollen gastric areas with a regular erythema pattern of non-atrophic mucosa in the greater curvature of the upper corpus in 2018 (a), highlighted with a close-up view (dotted ellipse in b) and chromoendoscopy with indigo carmine (c). d: Close-up view of the non-atrophic mucosa in the greater curvature of the upper corpus in 2019.
2018년 체부 상부 대만에서 채취한 생검 조직의 병리검사에서는 점막하부에서 기저선(gland)까지 광범위한 림프구 침윤과 함께 기저선 파괴, 잔존 벽세포의 변성과 위축성 비대(pseudohypertrophy)가 확인되었으며(Fig. 4a, b), chromogranin A 면역염색에서 경도의 ECL 세포 증식이 관찰되어 활동성 H. pylori 감염이 동반된 AIG로 진단할 수 있었다[16].
Figure 4. Histopathological findings of Case 1 in 2018. a, b: Lymphocytic infiltration extending from the subepithelium deep within the fundic glands, destruction of the fundic glands, and degen eration/pseudohypertrophy of residual parietal cells (black arrow in b) in the greater curvature of the upper corpus (Hematoxylin and Eosin staining; original magnification, a: ×100, b: ×200). c: ECL cell hyperplasia (chromogranin A staining; original magnification, ×200).
따라서, 본 증례의 내시경 및 병리 소견은 활동성 H. pylori 위염이 존재하는 상태에서 발적과 부종을 동반한 위 점막 병변(연어알 모양)을 보이며, 제균 후 진행기 AIG로 악화되고 전정부 점막 색조가 정상화되는 경과를 보였음을 시사한다.
Case 2
50대 남성 환자가 2011년 2월, 건강검진 목적으로 본원에서 상부위장관내시경(EGD)을 시행하였다. 환자는 프로톤펌프 억제제 복용이나 헬리코박터 파일로리(H. pylori) 제균치료를 받은 적이 없었다. 내시경에서 전정부 점막의 부종이 관찰되었고(Fig. 5), 체부 소만에는 심한 위축이 있었으나 대만의 위주름은 보존되어 있었으며(C-3), 미만성 발적과 끈적한 점액이 관찰되어 활동성 H. pylori 위염이 의심되었다(Fig. 5, 6a). 이는 신속요소분해효소검사(RUT) 양성으로 확인되었다. H. pylori 제균치료는 시행되지 않았다.
2018년 8월 추적 EGD에서는 심한 위축이 체부 대만으로 확장되어 대만의 위주름이 소실되고, 체부 전반에 혈관이 두드러지게 보이는 소견이 나타났으며 O-3 단계로 진행되었다(Fig. 5). 전정부 점막은 여전히 경도의 위축을 보였으나 점막 부종은 소실되었다.
Figure 5. Temporal changes in endoscopic findings of Case 2. Active H. pylori gastritis was indicated by a positive RUT result in 2011. The extension of severe gastric atrophy to the greater curvature of the corpus was observed in 2018 without H. pylori eradication. First row: Antrum. Second row: Lesser curvature of the corpus. Third row: Greater curvature of the corpus.
미만성 발적과 끈적한 점액은 더 이상 보이지 않았으며, 대신 전저(fornix) 부위에 끈적하게 달라붙은 치밀한 점액과 유사한 크림색 점액이 관찰되었다(Fig. 6b). 혈청 항-H. pylori 항체는 5.2 U/mL로 음성이었고, 이후 2020년 9월 내시경에서는 전형적인 끈적하게 부착된 치밀 점액이 전저에서 관찰되었다(Fig. 6c). 요소호기검사(UBT)에서 약한 양성(3.2‰; 기준치 <2.5‰)을 보여, H. pylori 이외의 요소분해효소 양성 세균의 과증식 가능성이 제기되었다[13]. 이러한 내시경 및 검사 결과는 H. pylori 감염이 소실되면서 진행기 AIG가 발생했음을 시사하였다.
Figure 6. Temporal changes in endoscopic appearance of the mucus in the upper corpus. a: Sticky mucus and diffuse redness in 2011. b: Creamy white mucus in 2018. c: Sticky adherent dense mucus in 2020.
2022년 환자는 항벽세포항체(PCA) 양성(역가 1:10)이었으며, 2023년에는 1:40, 2024년에는 1:80으로 증가하였다. 혈청 가스트린 수치는 2023년 212.2 pmol/L에서 2024년 392.4 pmol/L로 상승하였다. 내시경에서는 전정부 점막의 색조가 정상으로 회복되었으나, 체부의 심한 위축은 지속되었다(Fig. 5). 2022년 체부 상부 소만에서 채취한 생검 조직의 병리검사에서는 고유판(lamina propria)에 림프구 침윤, 잔존 벽세포의 변성, 장상피화생이 관찰되었고(Fig. 7a), chromogranin A 면역염색에서 ECL 세포의 경도 증식이 확인되었다(Fig. 7b). 전정부 유문선(pyloric glands)에서는 위축이나 염증 소견이 관찰되지 않았다(Fig. 7c, d). H. pylori 면역염색 결과는 음성이었다.
Figure 7. Histopathological findings of Case 2 in 2022. a: Lymphocytic infiltration of the lamina propria, degeneration of residual parietal cells and intestinal metaplasia in the lesser curvature of the upper corpus [Hematoxylin and Eosin (H&E) staining; original magnification, ×100]. b: Mild ECL cell hyperplasia (yellow arrow head) and intestinal metaplasia (black arrow head) in the lesser curvature of the upper corpus (chromogranin A staining; original magnification, ×100). c, d: Absence of atrophic or inflammatory changes in the greater curvature of the antrum (c: H&E staining; original magnification, ×40, d: yellow box in c, H&E staining; original magnification, ×100).
Figure 8. Swollen gastric areas with a regular erythema pattern in Case 2. a, b: Greater curvature of the upper corpus in 2011. Swollen gastric areas with a regular erythema pattern are highlighted with a close-up view (dotted ellipse in b). c: Close-up view of the incisura angularis. b is the same as a.
Discussion
저자들은 이번에 활동성 헬리코박터 파일로리(Helicobacter pylori, H. pylori) 위염으로 처음 진단되었으나, 실제로는 진행 중인 자가면역성 위염(AIG)이었음을 시사하는 2예를 보고하며, 활동성 H. pylori 위염과 동반된 상태에서 AIG가 진행될 수 있음을 강조한다. 활동성 H. pylori 위염에 가려진 진행 중인 AIG는 발적을 동반한 부종성 위점막 병변으로 나타날 수 있으며, H. pylori 제균치료나 자연 소실 이후 전정부 점막의 색조가 정상화되면서 명백한 AIG로 진행할 수 있다. 저자들이 아는 한, AIG 환자에서 H. pylori 제균치료 또는 자연 소실 이후 전정부 점막이 내시경적으로 정상화되는 소견을 보고한 것은 본 증례가 처음이다.
최근 일본의 다기관 연구에서는 다수의 AIG 증례에 대한 특징적인 내시경 소견을 보고했는데, 그중 소수만이 항-H. pylori 항체 양성이었다[13]. 일본에서 사용되는 AIG 진단 기준은 해당 연구의 기준을 바탕으로 하고 있으나, 활동성 H. pylori 위염이 동반된 경우에는 AIG 진단이 어려울 수 있다[17. Kamada T, Watanabe H, Furuta T, et al. Diagnostic criteria and endoscopic and histological findings of autoimmune gastritis in Ja pan. J Gastroenterol 58: 185-195, 2023.]. 이는 최근 보고된 자가면역성 위염과 H. pylori 위염의 병발 사례에서도 나타난 바와 같이[3-8], H. pylori 감염이 동반되면 내시경 소견의 정확한 해석이 어렵기 때문이다. 본 증례 1, 2의 초기 EGD 영상 후향 분석에서, 체부 상부 대만의 비위축성 점막에 규칙적인 발적 패턴을 보이는 경도의 부종성 위영역이 관찰되었는데, 이는 H. pylori 음성 초기 AIG에서 특징적인 ‘연어알 모양(salmon roe-like appearance)’ 소견이었다[10-12]. 이 소견은 문맥고혈압성 위병증(portal hypertensive gastropathy)의 특징인 ‘뱀껍질 모양(snakeskin appearance)’ 또는 모자이크 패턴과 유사하며[18,19], 일부 활동성 H. pylori 위염에서도 관찰될 수 있다[20,21]. 그러나 두 증례 모두 식도정맥류나 간경변증과 같은 문맥고혈압 소견은 없었다.
활동성 H. pylori 위염의 경우, 모자이크 패턴을 보이는 부종성 위영역은 AIG의 연어알 모양 소견에 비해 크기와 형태가 균일하지 않으나, 그 차이는 미묘하다. 따라서 활동성 H. pylori 위염 배경에서 발적을 동반한 부종성 위영역이 관찰될 경우, 표준 내시경만으로는 AIG의 연어알 모양과 H. pylori 위염의 모자이크 패턴을 구분하기 어렵다. 증례 1의 2018년 초기 EGD에서도 부종과 발적이 있었으나, 색소내시경에서 연어알 모양임이 확인되기 전까지 이를 AIG 소견으로 판단하지 못했다. 이 경우 병리조직학적 평가를 보다 면밀히 하고, chromogranin A 염색과 같은 추가 면역조직화학검사를 시행했다면, 활동성 H. pylori 감염이 동반된 AIG를 더 일찍 진단할 수 있었을 것이다. 최근 H. pylori 음성 AIG 환자에서 확대협대역영상(M-NBI) 내시경을 이용한 연구에서는, 연어알 모양 부위의 미세혈관·미세표면 구조가 정상이라는 보고가 있었다[11. Kishino M, Yao K, Hashimoto H, et al. A case of early autoimmune gastritis with characteristic endoscopic findings. Clin J Gas troenterol 14: 718-724, 2021.]. 그러나 이러한 M-NBI 소견은 표층 상피와 고유판 표층까지 염증이 미치는 활동성 H. pylori 위염 동반 AIG에는 그대로 적용하기 어려울 수 있다. 따라서 현재 H. pylori 감염이 있는 상태에서 발적을 동반한 부종성 위영역이 관찰되면, PCA 측정과 같은 혈청학적 검사 및 추적 내시경을 포함한 병리조직학적 평가를 시행해 AIG 가능성을 고려해야 한다.
일부 AIG 증례에서는 H. pylori 제균치료 없이도 활동성 H. pylori 위염이 진행하여 명백한 AIG로 이행된다고 알려져 있다[9,22,23]. 대부분의 경우, 심한 위축으로 인해 AIG 진단 시점에는 H. pylori가 자연 소실되며, 일부에서는 전정부 점막의 회복이 동반된다[22]. AIG 환자에서 H. pylori 감염 여부를 정확히 판별하는 것은 여전히 어렵다.
증례 2에서는 2011년 EGD에서 미만성 발적, 점막 부종, 끈적한 점액 등 교토분류(Kyoto classification)상 활동성 H. pylori 위염의 특징적 소견[24]과 RUT 양성을 근거로 현재 H. pylori 감염을 진단했다. 2018년에는 체부 전반에 걸친 광범위한 위축과 혈관 노출 소견이 있었고, 미만성 발적과 점액 소실은 H. pylori 위염이 가라앉았음을 시사했으나, 항-H. pylori 항체가 음성-고역가 범위(negative-high titer)인 점을 고려할 때 미량의 잔존 감염 가능성을 배제할 수 없다[25]. 2020년에는 심한 위축성 위염에서 보이는 특징적인 끈적한 점액이 관찰되었고, 요소호기검사 약양성 소견은 H. pylori 외의 요소분해효소 양성 세균 과증식[17,26] 혹은 저수준 H. pylori 감염 가능성[27]을 시사했다. 2022년에는 병리조직학적·혈청학적 검사로 AIG가 확진되었으며, 전정부 점막의 정상화와 H. pylori 면역염색 음성은 감염 소실을 뒷받침했다. 그러나 기존 검사로 극미량의 H. pylori를 발견하지 못했을 가능성은 여전히 존재한다. 2011년 초기 EGD 후향 분석에서, 증례 2는 체부 중·상부 대만 및 절흔 부위의 비위축성 점막에 미만성 발적 배경 위로 경도의 부종성 위영역이 관찰되었으며, 이는 증례 1보다 덜 뚜렷했다. 따라서, 활동성 H. pylori 위염에 가려진 AIG는 H. pylori의 자연 소실과 함께 전정부 점막 정상화를 동반하며 명백한 AIG로 진행할 수 있다. 증례 1에서도 제균 후 AIG 진단 시점에 전정부 점막 색조가 정상화되었다. 이는 H. pylori 감염력이 없는 AIG와 과거 감염이 있었던 AIG의 감별을 어렵게 만들며, 일본에서 노년층의 H. pylori 감염률이 높음에도 불구하고 H. pylori 양성 AIG 유병률이 예상보다 낮게 나타나는 이유일 수 있다[13. Terao S, Suzuki S, Yaita H, et al. Multicenter study of autoimmune gastritis in Japan: Clinical and endoscopic characteristics. Dig Endosc 32: 364-372, 2020.].
H. pylori 감염과 AIG 발생의 연관성은 아직 명확히 밝혀지지 않았다. 본 증례 2예 모두 H. pylori 소실 후 명백한 AIG로 진행했으나, H. pylori 감염이 AIG 발생에 자극 또는 억제 요인으로 작용했는지에 대해서는 근거가 부족하다. 또 다른 가능성은 H. pylori 감염과 AIG 발생이 서로 독립적으로 진행된다는 것이다.
결론적으로, 활동성 H. pylori 위염이 동반된 진행 중 AIG는 현재 감염 상태에서 발적을 동반한 부종성 위영역으로 나타날 수 있으며, H. pylori의 자연 소실 또는 제균치료 후 전정부 점막 정상화와 함께 명백한 AIG로 진행할 수 있다. 활동성 H. pylori 위염에서 이러한 소견이 관찰될 경우 AIG를 감별진단에 포함해야 하며, PCA 측정과 같은 혈청검사 및 병리검사 시행이 필요하다. 이를 뒷받침하기 위해서는 더 많은 환자 수와 장기 추적관찰을 통한 연구가 필요하다.
Abstract: We herein report two cases of evolving autoimmune gastritis (AIG) that were initially diagnosed as active Helicobacter pylori gastritis. Both presented with swollen gastric areas and erythema in the context of a cur rent H. pylori infection. One patient progressed to overt AIG after H. pylori eradication therapy, while the other progressed after the spontaneous disappearance of H. pylori infection. At the time of the AIG diagnosis, the antral mucosa showed atrophic regression, while the corpus mucosa showed severe atrophy. Therefore, when swollen gastric areas with erythema are observed during active H. pylori gastritis, AIG should be considered.
Key words: autoimmune gastritis, Helicobacter pylori, eradication