J Clin Pathol. 2016 Aug;69(8):677-85.
INTRODUCTION
위축성 위염(Gastric Atrophy, GA)은 위에서 적절한 샘(gland)의 밀도가 감소하거나 손실되며, 이들이 샘 간(間) 세포외기질(extracellular matrix)로 대체되거나 위샘의 화생성 변화(metaplastic changes)를 보이는 상태로 정의됩니다.
GA의 원인은 헬리코박터 파일로리(Helicobacter pylori, H. pylori) 감염과 자가면역 위염(Autoimmune Gastritis, AIG) 두 가지 위험 요소로 제한됩니다. 시드니 시스템(Sydney system) 분류에 따르면, GA는 없음, 경도(mild), 중등도(moderate), 중증(severe)로 점수화할 수 있습니다. GA는 유문샘(위 유문부, pyloric glands), 벽세포샘(위 체부, oxyntic glands) 또는 둘 다(광범위 위축, extensive atrophy)에 영향을 미칠 수 있습니다.
산분비세포(벽세포) 위축(Oxyntic Gastric Atrophy, OGA)의 원인
현재의 연구에 따르면, OGA는 다음과 같은 세 가지 원인에 의해 발생합니다.
- H. pylori 감염 (환경적 요인)
- AIG (일차적 자가면역 원인)
- H. pylori 감염과 자가면역 요인의 혼합된 원인
OGA는 원인과 관계없이 저산증(hypochlorhydria) 또는 무산증(achlorhydria)과 관련이 있으며, 낮은 혈청 펩시노겐 I(serum pepsinogen I, PGI) 농도가 특징입니다.
특히 자가면역 OGA 환자에서는
- 이차성 고가스트린혈증(hypergastrinaemia)
- 유문부 G세포 과형성(G cell hyperplasia)
- 위 체부의 장크롬친화성 유사(ECL) 세포 과형성
이 자주 관찰됩니다.
OGA 환자는 철결핍성 빈혈(iron-deficiency anaemia), 악성 빈혈(pernicious anaemia), 위 체부의 1형 신경내분비 종양(type 1 neuroendocrine tumour, NET), 위암(gastric cancer, GC)의 위험이 증가합니다.
OGA의 생체지표(Biomarkers)
OGA의 진단을 위한 혈청 검사로 **가스트린-17(Gastrin-17, G17), 펩시노겐 I(PGI), 펩시노겐 I/II 비율(PGI/II ratio)**이 사용됩니다.
- PGI는 벽세포샘의 주세포(chief cells)에서 생산됩니다.
- PGII는 위 및 십이지장의 전체 점막에서 생성됩니다.
- 진행된 OGA(중등도~중증)에서는 혈청 PGI 농도가 감소하며, PGII는 정상 또는 증가할 수 있습니다.
- 따라서 낮은 PGI 수치 또는 낮은 PGI/PGII 비율은 진행된 OGA의 대체 마커(surrogate marker)로 사용됩니다.
- 또한, 위산 감소로 인해 pH 조절 기능이 손실되면서 유문부 G세포에서 가스트린(G17) 분비가 증가합니다.
- 따라서 높은 혈청 G17 농도는 저산증 또는 무산증의 마커가 될 수 있습니다.
연구 목적
G17, PGI, PGI/II 비율의 임상적 유용성은 아직 논란이 있습니다.
본 연구에서는 H. pylori 감염에 의한 진행된 OGA와 AIG에 의한 진행된 OGA의 특성을 비교하고, 이 두 그룹에서 G17, PGI 및 PGI/II 비율의 진단 성능을 평가하고자 합니다.
MATERIALS AND METHODS
Study population
이 전향적 단일 기관 연구는 2011년 7월부터 2014년 10월까지 Otto-von-Guericke 대학병원에서 식도-위-십이지장 내시경(Oesophagogastroduodenoscopy, OGD) 검사를 위해 내원한 총 452명의 환자(여성 63%, 평균 연령 55.7±15.7세, 범위 18~94세, H. pylori 양성 48%)를 대상으로 진행되었습니다.
포함 기준(Inclusion Criteria)
- 18세 이상의 성인 환자
- OGD 검사 2주 전까지 항생제 및 프로톤 펌프 억제제(PPI)를 복용하지 않은 환자
- 장기적인 PPI 치료를 받은 환자의 경우, OGD 검사 2주 전에 PPI 복용을 중단한 경우 포함
제외 기준(Exclusion Criteria)
- 간질환, 신장질환, 폐질환, 대사질환, 혈액질환, 악성 종양 등의 질환이 있는 환자
- 임신 또는 수유 중인 환자
※ 그러나 위의 1형 신경내분비 종양(G1 NET) 환자는 포함되었습니다.
- 이 종양은 예후가 매우 좋으며, OGA 환자에서 흔히 발견되는 질환이기 때문입니다.
혈청 검사
모든 환자는 OGD 검사 전에 혈청 샘플을 채취하였으며, 다음의 생체지표를 측정하였습니다.
- 펩시노겐 I(PG I), 펩시노겐 II(PG II), 가스트린-17(G17)
- 헬리코박터 파일로리(H. pylori) 항체
- 세포독소 관련 유전자 A 단백질(Cytotoxin-associated gene A protein, CagA)
- H+/K+-ATPase 항원(벽세포 항체, Antiparietal cell antibodies, APCA)
- 내인성 인자 항체(Intrinsic factor antibody, AIFA)
윤리적 승인
본 연구는 1975년 헬싱키 선언(Helsinki Declaration) 및 1983년 개정판을 준수하였으며, 모든 환자로부터 서면 동의(written informed consent)를 받았습니다.
OGD 및 생검(Biopsy) 프로토콜
OGD(식도-위-십이지장 내시경) 중에 다음 부위에서 조직 생검(biopsy)을 시행하였습니다.
- 위 유문부(Antrum): 2개
- 각절부(Incisura angularis): 1개
- 위 체부(Corpus): 2개
추가적으로, 빠른 요소분해효소 검사(Rapid Urease Test, RUT)를 위해
- 유문부에서 1개, 위 체부에서 1개 추가 생검을 시행하였습니다.
헬리코박터 파일로리(H. pylori) 검사
환자는 아래 검사 중 **하나 이상 양성일 경우 H. pylori 양성(H. pylori-positive)**으로 분류되었습니다.
- 혈청 검사(serology): H. pylori-IgG 또는 CagA IgG
- 빠른 요소분해효소 검사(RUT) 양성
- 조직검사(histology)에서 H. pylori 검출
- 과거 H. pylori 제균 치료력(reporting eradication therapy in the past)
반대로, **모든 검사에서 음성이며, 과거 H. pylori 제균 치료력이 없는 경우 H. pylori 음성(H. pylori-negative)**으로 분류되었습니다.
구조화된 설문조사(Structured Questionnaire)
OGD 시행 전, 모든 환자는 구조화된 설문조사를 통해
- 인구통계학적 정보(Demographics)
- 의학적 병력(Medical history)
- 현재 복용 중인 약물(Current daily medication)
등에 대한 정보를 제공하였습니다.
또한, 조직검사 결과에서 중등도~중증(advanced) OGA로 진단된 환자(즉, Sydney Score 2~3)는 추후 전화 인터뷰를 통해
- 장기 PPI 복용 여부(OGD 2주 전 중단 여부 포함)
- 비타민 B12 보충 요법 여부
- 과거 H. pylori 감염 및 제균 치료 여부
를 추가로 확인하였습니다.
펩시노겐 I(PG I), 펩시노겐 II(PG II), 가스트린-17(G17) 및 H. pylori 항체 측정
- 모든 참가자는 OGD 전날 금식(overnight fast) 후 혈청 샘플을 채취
- 채취된 혈청을 2000g에서 15분간 원심분리 후 -80°C에서 보관
- BIOHIT(Helsinki) 상업용 키트를 이용한 화학발광 효소면역분석법(Chemiluminescent Enzyme Immunoassay)으로 검사 진행
- G17, PG I, PG II의 측정값은 중복 측정 후 평균값을 분석에 사용
G17 수치 측정 시:
- 40 pmol/L 이상일 경우 추가 희석 없이 40 pmol/L로 고정하여 분석
(이는 40 pmol/L 이상의 G17 수치는 임상적으로 추가적인 의미를 갖지 않기 때문)
CagA(세포독소 관련 유전자 A) 측정
- Genesis Diagnostics(GD33, London, UK) CagA IgG 키트 사용
- 제조사의 지침에 따라 수행
- CagA IgG ≥6.25 U/mL인 경우 H. pylori 양성으로 분류
- 모든 혈청 검사는 동일한 실험실에서 블라인드 방식으로 진행
APCA(벽세포 항체) 및 AIFA(내인성 인자 항체) 측정
APCA(벽세포 항체)
- H+/K+-ATPase 항원에 대한 항체 검출
- 면역형광법(Immunofluorescence test) 사용
- 쥐 간, 신장 및 위 조직을 기질로 활용
- 항인간 IgG 형광표지(fluorescein isothiocyanate, FITC) 사용, 1:20 희석 배율에서 스크리닝
- 위벽세포의 세포질 염색이 관찰되면 양성(Positive), 없으면 음성(Negative)
AIFA(내인성 인자 항체)
- ELISA(Alegria System, ORGENTEC Diagnostika, Mainz, Germany) 방식으로 측정
- 6 U/mL 이상을 양성(Positive)으로 판정
- 제조사 지침에 따라 검사 진행
- 모든 혈청 검사는 동일한 실험실에서 블라인드 방식으로 수행
조직검사(Histology) 프로토콜
각 생검 샘플을 파라핀 포매 후 3~5μm 두께로 절편 제작
H&E(Hematoxylin & Eosin), PAS(Periodic Acid–Schiff), Chromogranin A, 변형 Giemsa 염색 실시
광학현미경(light microscopy)으로 검사
위염의 분류
- 비위축성(non-atrophic) 위염: 적절한 위샘(gland)의 손실 없음
- 위축성(atrophic) 위염: 적절한 위샘의 손실 확인
위 점막 위축(Atrophy) 평가는 시드니 시스템(Sydney system) 기준 사용
- 0 = 없음(absent)
- 1 = 경도(mild)
- 2 = 중등도(moderate)
- 3 = 중증(severe)
위염 진행도는 OLGA(Operative Link on Gastritis Assessment) 단계별로 평가
장크롬친화성 유사(ECL) 세포 과형성: Chromogranin A 염색에서 최대 5개의 인접한 ECL 세포가 염색될 경우 정의
진행된 OGA(Advanced OGA)의 정의:
- 위 체부 조직검사에서 Sydney Score 23(중등도중증 OGA)인 경우
두 명의 소화기병리학 전문의(KF, DJ)가 모든 조직 검체를 공동 평가하고 합의(consensus) 도출
자가면역 위염(AIG) 정의
AIG(자가면역 위염)는 다음 기준을 만족해야 함.
Chromogranin A 염색에서 ECL 세포 과형성 확인
- 장기 PPI 치료 병력이 없는 환자에서 반드시 존재(conditio sine qua non)
- APCA 및/또는 AIFA 양성 여부와 관계없이 AIG로 간주 가능
ECL 세포 과형성은 AIG 환자에서 초기에 나타나는 일관된 병리학적 특징
- 단, 장기 PPI 사용으로 인한 위산 억제도 ECL 세포 과형성을 유발 가능
- 따라서, PPI 복용력이 있는 경우 병력 확인을 통해 감별진단
APCA 및 AIFA 음성 가능성
- AIG 진행 후반부에서 혈청 APCA 및 AIFA가 음성으로 변할 가능성(seroconversion) 있음
- 따라서, 일부 AIG 환자는 APCA 및 AIFA 음성을 보일 수도 있음
통계 분석(Statistical Analysis)
모든 데이터는 SPSS Statistics V.22(IBM Corporation, New York, USA)를 이용하여 분석되었습니다.
- 임상적 특성(Clinical Characteristics)
- 연속형 변수(continuous variables): 평균 ± 표준편차(mean ± SD)로 표현
- 범주형 변수(categorical variables): 빈도 및 백분율(n, %)로 표현
집단 간 비교(Comparison Between Groups)
- 고도 진행성 위축성 위염(Advanced OGA) 유무에 따른 비교
- 연속형 변수: Student’s t-test(Welch test, Satterthwaite’s 근사법 사용)
- 범주형 변수: Fisher’s exact test 사용
- 교차비(OR) 및 95% 신뢰구간(CI) 계산
- 교차비(OR) 계산 시 일부 값이 ‘0’인 경우: 귀무가설(null hypothesis) 기반 Peto OR 사용
H. pylori 음성 AIG 환자 vs H. pylori 양성 고도 진행성 OGA 환자 비교
- 하위 분석(sub-analysis) 대상:
- H. pylori 음성 자가면역 위염(AIG) 환자(N=18)
- H. pylori 양성 고도 진행성 OGA 환자(N=10)
- 제외된 환자:
- H. pylori 음성이지만 AIG 특징이 없는 환자 2명
- H. pylori 양성이면서 AIG 특징이 겹치는 환자 4명
수용자 조작 특성(ROC) 곡선 분석
통계적 유의성(Statistical Significance)
- 모든 분석은 양측 검정(two-tailed)으로 수행
- 유의수준(α): 5%(p<0.05)
- 다중 검정 조정(alpha-adjustment) 없이 분석 수행
- p-값을 본문 내에 추가하여 해석 지원
RESULTS
Study population characteristics
그림 1(Figure 1): 연구에 포함된 환자 수
총 452명의 환자가 위내시경(OGD)을 시행받았으며, 이 중 69명은 선정 기준(selection criteria)에 부합하지 않았고, 17명은 혈청(sera) 데이터가 누락되어 연구에서 제외되었습니다.
최종 분석 대상 환자 수
- 384명이 연구에 포함됨 (평균 연령: 54.7±15.6세, 연령 범위: 18~94세)
- 고도 진행성 위축성 위염(Advanced OGA) 진단 환자: 34명 (8.9%)
고도 진행성 OGA 환자의 세부 그룹 분류
분류 환자 수 비율 (%)
|
| 자가면역 위염(AIG) 환자 | 22명 | 65% |
| → H. pylori 음성 | 18명 |
|
| → H. pylori 양성 | 4명 |
|
| AIG 특징 없는 H. pylori 양성 환자 | 10명 | 29% |
| AIG 및 H. pylori 감염 모두 없는 환자 | 2명 | 6% |
임상적/혈청학적/조직학적 특징
- H. pylori 음성 AIG 환자의 39%에서 위 전정부(Antrum) 위축(atrophy)이 관찰됨
- 그러나 H. pylori 양성 AIG 환자(4명)에서는 위 전정부 위축이 관찰되지 않음
통계 분석 제외 대상
- H. pylori 양성 AIG 환자 (N=4)
- H. pylori 음성이면서 고도 진행성 OGA 특징을 보인 환자 (N=2)
→ 소수의 환자로 인해 통계 분석에서 제외됨
Figure 1. Flow diagram of the enrolment of study patients.
OGA, oxyntic gastric atrophy; AIG, autoimmune gastritis; pos, positive; neg, negative.

Table 1. Clinical, serological and histological characteristics of study patients according to Helicobacter pylori status and the presence of autoimmune gastritis (AIG)

Comparison of H. pylori-negative AIG to H. pylori-positive advanced OGA
표 2(Table 2): H. pylori-음성 AIG 환자(N=18)와 H. pylori-양성 고도 진행성 OGA 환자(N=10)의 임상적 및 조직학적 차이
- 나이 및 성별 분포: 두 그룹 간에 유의한 차이 없음
- 자가면역 위염(AIG) 그룹 특징:
- APCA(항벽세포 항체) 및 ECL 세포 과형성(enterochromaffin-like cell hyperplasia) 유병률 증가
- 한 명의 AIG 환자는 APCA 및 AIFA(내인성 인자 항체) 모두 양성
- 한 명의 환자는 ECL 세포 과형성과 위 신경내분비 종양(NET)을 보였으나
- APCA, AIFA, 현재 또는 과거 H. pylori 감염, 장기 PPI 복용력 없음
- AIG로 분류됨
자가면역 질환과의 연관성
- H. pylori-음성 AIG 환자에서 다른 자가면역 질환 보유 가능성 증가
- 자가면역 질환 전반 (OR 6.3; 95% CI 1.3–29.8)
- 자가면역 갑상선 질환 (OR 7.4; 95% CI 1.3–42.7)
조직학적 특징
Table 2. Differences in clinical and histological characteristics of H. pylori-negative AIG and H. pylori-positive advanced OGA

내시경 및 조직학적 차이
- 그림 2 및 그림 3(Figures 2 & 3):
- H. pylori 감염성 위염과 AIG 간의 내시경 및 조직학적 차이를 강조
Figure 2. Endoscopic appearance of advanced oxyntic gastric atrophy (OGA) in Helicobacter pylori infection and autoimmune gastritis (AIG). High definition conventional white-light (A+C) and FICE (B+D) endoscopic appearance of corpus mucosa with advanced OGA (image magnified with zoom endoscope) in patients with H. pylori infection (Zoom 1:200) and AIG (Zoom 1:60), respectively, are shown. Endoscopic signs of OGA comprising smooth mucosa, whitish discolouration and visible vessels are evident in AIG (C+D), whereas in H. pylori gastritis (A+B), despite the presence of OGA, signs of inflammation with subepithelial haemorrhage and oedema of the mucosa are predominant. Biopsies revealed OGA grades 2 and 3 according to the updated Sydney System classification in H. pylori gastritis and AIG, respectively. FICE, flexible spectral imaging colour enhancement.

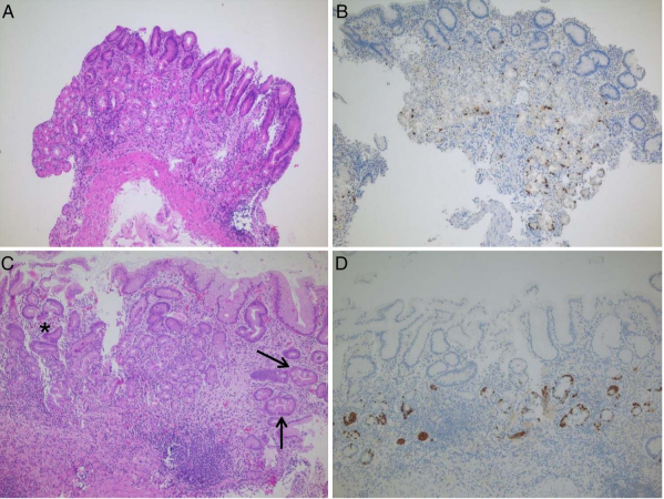
Figure 3. Histopathological features of oxyntic gastric atrophy (OGA) in Helicobacter pylori infection and autoimmune gastritis (AIG). In (A) a biopsy specimen of a patient with H. pylori infection and OGA is shown. In the lamina propria an infiltrate of lymphocytes, plasma cells and neutrophils (H&E) and a focal moderate shrinkage of oxyntic gastric glands can be seen. H. pylori infection was identified by Warthin-Starry staining (data not shown). Staining with antichromogranin antibodies (brown) shows a normal distribution of enterochromaffin-like (ECL) cells (B). In (C) a biopsy specimen of a patient with AIG is shown (H&E). An infiltrate of lymphocytes and plasma cells can be observed. Neutrophils are absent. There is a severe OGA with absence of parietal cells, focal intestinal metaplasia (arrows) and pseudopyloric metaplasia (*). Staining with antichromogranin antibodies (brown) shows linear and micronodular ECL cell hyperplasia (D).

Diagnostic performance of G17, PG I and PG I/II for the diagnosis of advanced OGA
그림 4(Figure 4): 고도 진행성 OGA 환자의 ROC 곡선 분석
- G17의 AUC = 0.76
- PG I의 AUC = 0.86
- PG I/II 비율의 AUC = 0.86
고도 진행성 OGA 진단을 위한 최적 절단값(cut-off) 및 진단 성능
지표 절단값 민감도(Sensitivity) 특이도(Specificity)
|
| G17 | 17 pmol/L | 74% | 74% |
| PG I | 60 mg/L | 71% | 93% |
| PG I/II 비율 | 5 pmol/L | 74% | 95% |
G17, PG I, PG I/II 패널을 활용한 진단 성능 비교
제조업체 권장 기준
- 민감도: 41.7% (95% CI 22~63%)
- 특이도: 99.7% (95% CI 98~100%)
- 양성 예측도(PPV): 7.1% (95% CI 5~10%)
- 음성 예측도(NPV): 92.9% (95% CI 90~95%)
연구에서 생성된 ROC 곡선 기반 기준
- 민감도: 58.8% (95% CI 41~75%)
- 특이도: 98.4% (95% CI 96~100%)
- 양성 예측도(PPV): 5.4% (95% CI 3~8%)
- 음성 예측도(NPV): 94.6% (95% CI 92~97%)
결론
ROC 곡선에서 도출된 절단값을 적용하면 패널의 민감도가 증가하면서도 특이도의 감소는 미미하여, 진단 성능이 개선됨을 확인할 수 있음(세부 데이터는 미포함).
Figure 4. Area under the G17 (A), PGI (B), and PGI/II-ratio (C) ROC curves (AUC) for the diagnosis of advanced oxyntic gastric atrophy (OGA).
ROC, receiver operating characteristic; G17, gastrin 17; PG, pepsinogen.

그림 5 및 6(Figures 5 and 6): G17, PGI, PGI/II 곡선 분석 결과
H. pylori 음성 AIG 환자(N=18) 및 H. pylori 감염과 연관된 고도 진행성 OGA 환자(N=10)의 ROC 곡선 분석
- H. pylori-양성 AIG(N=4) 및 H. pylori-음성 고도 진행성 OGA(N=2) 환자는 표본 수가 적어 통계 분석에서 제외됨.
진단 성능(AUC) 비교
환자군 G17 AUC, PGI AUC, PGI/II AUC
|
| H. pylori 음성 AIG | 0.83 | 0.95 | 0.97 |
| H. pylori 양성 OGA | 0.62 | 0.75 | 0.67 |
➡ H. pylori 음성 AIG에서는 진단 성능이 우수(AUC 0.83, 0.97), H. pylori 양성 OGA에서는 상대적으로 낮음(AUC 0.62, 0.75).
고도 진행성 OGA 진단을 위한 최적 절단값(cut-off) 및 성능
H. pylori 음성 AIG 환자 (N=18)
검사 항목 절단값 민감도(Sensitivity) 특이도(Specificity)
|
| G17 | 19 pmol/L | 82% | 76% |
| PG I | 50 mg/L | 96% | 95% |
| PG I/II 비율 | 5 mg/L | 96% | 95% |
H. pylori 양성 OGA 환자 (N=10)
검사 항목 절단값 민감도(Sensitivity) 특이도(Specificity)
|
| G17 | 10 pmol/L | 70% | 60% |
| PG I | 80 mg/L | 60% | 80% |
| PG I/II 비율 | 5 mg/L | 40% | 95% |
➡ H. pylori 음성 AIG에서는 PG I과 PG I/II 비율이 매우 높은 진단 성능(민감도 96%, 특이도 95%)을 보였으며, H. pylori 양성 OGA에서는 상대적으로 낮은 성능을 보임.
제조업체 권장 기준 vs. 연구 최적화 기준
검사 항목 제조업체 기준 연구 최적화 기준
|
| G17 | >10 pmol/L | >19 pmol/L (AIG) / >10 pmol/L (H. pylori OGA) |
| PG I | <30 mg/L | <50 mg/L (AIG) / <80 mg/L (H. pylori OGA) |
| PG I/II 비율 | <3 | <5 mg/L (AIG & H. pylori OGA) |
➡ 연구에서 도출한 최적화 기준은 제조업체 기준보다 민감도가 높아 OGA 진단에 더욱 적합할 가능성이 있음.
결론
- H. pylori 음성 AIG 환자에서는 G17, PGI, PGI/II가 높은 진단 성능을 보였으며, 특히 PG I과 PG I/II 비율이 뛰어난 지표임.
- H. pylori 양성 OGA 환자에서는 진단 성능이 상대적으로 낮아, 혈청 지표만으로 진단하기 어려울 가능성이 있음.
- 연구에서 도출한 최적 절단값을 사용하면 제조업체 기준보다 진단 성능이 향상될 수 있음.
- G17, PGI, PG I/II 패널을 이용한 OGA 진단 전략이 필요하며, 특히 H. pylori 상태에 따라 해석이 달라질 수 있음.
Figure 5. Area under the G17 (A), PGI (B), and PGI/II-ratio (C) ROC curves (AUC) for the diagnosis of advanced oxyntic gastric atrophy (OGA) in patients with autoimmune gastritis (AIG).
ROC, receiver operating characteristic; G17, gastrin 17; PG, pepsinogen.

Figure 6. Area under the G17 (A), PGI (B), and PGI/II-ratio (C) ROC curves (AUC) for the diagnosis of advanced oxyntic gastric atrophy (OGA) in patients with Helicobacter pylori infection.
ROC, receiver operating characteristic; G17, gastrin 17; PG, pepsinogen.

Table 3. Serum pepsinogen (PG) I, PG I/II ratio and gastrin-17 (G17) in patients with or without advanced* oxyntic gastric atrophy (OGA) and depending on the aetiology of advanced OGA (Helicobacter pylori vs autoimmune gastritis)

DISCUSSION
H. pylori 음성 AIG와 H. pylori 위염에서의 진행된 OGA의 형태학적 및 혈청학적 차이
우리 연구에서 우리는 헬리코박터 파일로리(H. pylori) 음성 자가면역성 위염(AIG)이 H. pylori 위염에서의 진행된 위축성 위염(OGA)과 형태학적 및 혈청학적으로 뚜렷한 차이를 보인다는 것을 확인하였다. 엄격한 연구 사전 기준을 적용함으로써 두 질환을 감별할 수 있는 몇 가지 특징을 확인할 수 있었다.
H. pylori 음성 AIG의 첫 번째 특징: 자가면역 질환 동반 가능성
첫 번째 특징은 H. pylori 음성 AIG 환자가 다른 자가면역 질환을 동반할 가능성이 높다는 점이었다(OR 18.8; 95% CI 2.0~173.9). 이전 연구에서도 보고된 바와 같이, H. pylori 음성 AIG 환자에서 가장 흔한 자가면역 질환은 자가면역 갑상샘 질환(39%)이었다. 또한, 우리는 H. pylori 음성 AIG가 류마티스 관절염 및 원발성 담즙성 경화증과도 연관될 수 있음을 확인하였다. 이는 기존에 일부 증례 보고에서만 기술된 바 있다. 반면, H. pylori 양성 AIG 환자 4명 중에서는 다른 자가면역 질환을 동반한 경우가 없었다. 실제로 특발성 혈소판 감소성 자반증(ITP)을 제외하면, H. pylori 감염이 위장관 외 자가면역 질환 발생에 영향을 미칠 가능성은 낮다.
H. pylori 음성 AIG의 두 번째 특징: 심한 위축성 변화
두 번째 특징은 H. pylori 음성 AIG 환자가 중증의 위체부 위축 및 위체부 장상피화생을 더 자주 동반한다는 점이었다. 우리의 이전 연구와 일치하게, AIG 환자의 39%에서 전정부 위축이 확인되었다. 주목할 점은, H. pylori 양성 AIG 환자에서는 전정부 위축이 발견되지 않았다는 것이다. 이러한 결과는 H. pylori 감염이 일부 경우 AIG를 유발하는 방아쇠(trigger) 역할을 할 가능성을 완전히 배제할 수 없음을 시사한다.
위축성 위염(OGA)과 위암(GC) 위험성
위축성 위염(OGA)은 위암(GC) 발생 위험을 4~5배 증가시키는 전암성 상태로 간주되며, 따라서 OGA의 선별 검사가 권장된다.
현재 H. pylori 혈청검사, 혈청 가스트린-17(G17) 증가, 낮은 혈청 펩시노겐 I(PG I) 및 PG I/II 비율이 진행된 OGA를 진단하는 가장 효과적인 비침습적 방법으로 알려져 있다.
제조업체의 기존 권장 기준은 다음과 같다.
- G17 > 10 pmol/L
- PG I < 30 mg/L
- PG I/II < 3
그러나 이러한 기준은 인구집단에 따라 조정이 필요할 수 있다.
우리 연구에서는 다음과 같은 기준이 OGA를 감별하는 데 더 적절한 cut-off 값으로 나타났다.
- G17 > 17 pmol/L
- PG I < 60 mg/L
- PG I/II < 5
혈청 바이오마커의 진단 성능 차이
최근 91명의 소화불량 환자를 대상으로 한 연구에서는 혈청 바이오마커가 OGA 감별에 충분한 성능을 보이지 못했다고 보고된 바 있다.
반면, 우리 연구에서는 초기 OGA(stage 1, Updated Sydney Classification 기준) 환자를 제외함으로써 높은 진단 정확도를 얻을 수 있었다.
이는 다른 질환에서도 혈청 바이오마커가 말기 상태에서야 비정상적으로 나타나는 현상과 유사하다. 예를 들어:
- 만성 신장병에서 크레아틴 수치 증가
- 간경변에서 알부민 또는 빌리루빈 수치 변화
따라서 OGA도 말기 단계에서야 혈청 바이오마커 수치가 뚜렷하게 변화할 가능성이 높다.
AIG와 H. pylori 감염에서의 차이점
AIG 환자군에서는 혈청 G17, PG I, PG I/II 비율이 심한 기능 저하를 반영하며, 특히 PG I 및 PG I/II 비율 감소는 AIG 환자의 진행된 OGA를 진단하는 데 매우 유용한 바이오마커로 나타났다. 반면, 현재 또는 과거에 H. pylori 감염력이 있는 환자에서는 혈청 바이오마커의 진단적 성능이 제한적이었다.
AIG에서는 위체부의 광범위한 위축 변화로 인해 G17 증가 및 PG I, PG I/II 비율 감소가 뚜렷하게 나타나는 반면,
H. pylori 감염에 의한 OGA는 병변이 국소적이고 병변 주변 점막이 상대적으로 덜 손상되어 기능 저하가 덜 나타날 수 있다.
따라서 OGA의 원인에 따라 혈청 G17, PG I, PG I/II 비율을 해석하는 것이 중요하다.
H. pylori 감염과 위암 위험
일본에서 채택된 ‘ABCD 방법’(위암 위험도 평가 기준)에 따르면:
- D군(H. pylori 혈청검사 음성이면서 PG 수치가 낮은 그룹)이 위암 발생 위험이 가장 높음(HR 120.4)
이 그룹에는 주로 AIG 또는 악성 빈혈(pernicious anemia) 환자가 포함된다.
따라서 혈청검사에서 OGA가 의심되는 경우, Updated Sydney 분류 및 OLGA(Oxford-Lauren Gastritis Assessment) 시스템에 따라 위내시경 및 조직검사를 진행해야 하며, 광범위한 위축성 위염(GA)이 확인된 경우 3년 간격으로 내시경 추적검사를 시행해야 한다.
결론
- H. pylori 음성 AIG는 H. pylori 위염에서의 진행된 OGA와 임상적, 형태학적, 혈청학적으로 뚜렷한 차이를 보인다.
- 혈청 G17 증가 및 PG I, PG I/II 비율 감소는 진행된 OGA 진단에서 높은 진단 성능을 보였다.
- 특히 AIG 환자에서는 혈청 바이오마커의 진단적 가치가 높았지만, H. pylori 감염이 있는 경우에는 성능이 낮았다.
- OGA의 진단 성능을 향상시키기 위해서는 혈청 바이오마커의 최적 cut-off 값 조정이 필요하다.
ABSTRACT
Aim To assess characteristics of oxyntic gastric atrophy (OGA) in autoimmune gastritis (AIG) compared with OGA as a consequence of Helicobacter pylori infection.
Methods Patients undergoing oesophagogastroduodenoscopy from July 2011 to October 2014 were prospectively included (N=452). Gastric biopsies were obtained for histology and H. pylori testing. Serum gastrin-17 (G17), pepsinogen (PG) I, PGII and antibodies against H. pylori and cytotoxin-associated gene A protein were determined in all patients. Antibodies against parietal cells and intrinsic factor were determined in patients with advanced (moderate to severe) OGA. Areas under the receiver operating characteristic curves (AUCs) were calculated for serum biomarkers and compared with histology.
Results Overall, 34 patients (8.9%) had advanced OGA by histology (22 women, age 61±15 years). Current or past H. pylori infection and AIG were present in 14/34 and 22/34 patients, respectively. H. pylorinegative AIG patients (N=18) were more likely to have another autoimmune disease (OR 6.3; 95% CI 1.3 to 29.8), severe corpus atrophy (OR 10.1; 95% CI 1.9 to 54.1) and corpus intestinal metaplasia (OR 26.9; 95% CI 5.3 to 136.5) compared with H. pylori-positive patients with advanced OGA. Antrum atrophy was present in 39% of H. pylori-negative AIG patients. The diagnostic performance of G17, PG I and PGI/II was excellent for AIG patients (AUC=0.83, 0.95 and 0.97, respectively), but limited for H. pylori-positive patients with advanced OGA (AUC=0.62, 0.75 and 0.67, respectively).
Conclusions H. pylori-negative AIG has a distinct clinical, morphological and serological phenotype compared with advanced OGA in H. pylori gastritis.
J Clin Pathol. 2016 Aug;69(8):677-85.
INTRODUCTION
위축성 위염(Gastric Atrophy, GA)은 위에서 적절한 샘(gland)의 밀도가 감소하거나 손실되며, 이들이 샘 간(間) 세포외기질(extracellular matrix)로 대체되거나 위샘의 화생성 변화(metaplastic changes)를 보이는 상태로 정의됩니다.
GA의 원인은 헬리코박터 파일로리(Helicobacter pylori, H. pylori) 감염과 자가면역 위염(Autoimmune Gastritis, AIG) 두 가지 위험 요소로 제한됩니다. 시드니 시스템(Sydney system) 분류에 따르면, GA는 없음, 경도(mild), 중등도(moderate), 중증(severe)로 점수화할 수 있습니다. GA는 유문샘(위 유문부, pyloric glands), 벽세포샘(위 체부, oxyntic glands) 또는 둘 다(광범위 위축, extensive atrophy)에 영향을 미칠 수 있습니다.
산분비세포(벽세포) 위축(Oxyntic Gastric Atrophy, OGA)의 원인
현재의 연구에 따르면, OGA는 다음과 같은 세 가지 원인에 의해 발생합니다.
OGA는 원인과 관계없이 저산증(hypochlorhydria) 또는 무산증(achlorhydria)과 관련이 있으며, 낮은 혈청 펩시노겐 I(serum pepsinogen I, PGI) 농도가 특징입니다.
특히 자가면역 OGA 환자에서는
이 자주 관찰됩니다.
OGA 환자는 철결핍성 빈혈(iron-deficiency anaemia), 악성 빈혈(pernicious anaemia), 위 체부의 1형 신경내분비 종양(type 1 neuroendocrine tumour, NET), 위암(gastric cancer, GC)의 위험이 증가합니다.
OGA의 생체지표(Biomarkers)
OGA의 진단을 위한 혈청 검사로 **가스트린-17(Gastrin-17, G17), 펩시노겐 I(PGI), 펩시노겐 I/II 비율(PGI/II ratio)**이 사용됩니다.
연구 목적
G17, PGI, PGI/II 비율의 임상적 유용성은 아직 논란이 있습니다.
본 연구에서는 H. pylori 감염에 의한 진행된 OGA와 AIG에 의한 진행된 OGA의 특성을 비교하고, 이 두 그룹에서 G17, PGI 및 PGI/II 비율의 진단 성능을 평가하고자 합니다.
MATERIALS AND METHODS
Study population
이 전향적 단일 기관 연구는 2011년 7월부터 2014년 10월까지 Otto-von-Guericke 대학병원에서 식도-위-십이지장 내시경(Oesophagogastroduodenoscopy, OGD) 검사를 위해 내원한 총 452명의 환자(여성 63%, 평균 연령 55.7±15.7세, 범위 18~94세, H. pylori 양성 48%)를 대상으로 진행되었습니다.
포함 기준(Inclusion Criteria)
제외 기준(Exclusion Criteria)
※ 그러나 위의 1형 신경내분비 종양(G1 NET) 환자는 포함되었습니다.
혈청 검사
모든 환자는 OGD 검사 전에 혈청 샘플을 채취하였으며, 다음의 생체지표를 측정하였습니다.
윤리적 승인
본 연구는 1975년 헬싱키 선언(Helsinki Declaration) 및 1983년 개정판을 준수하였으며, 모든 환자로부터 서면 동의(written informed consent)를 받았습니다.
OGD 및 생검(Biopsy) 프로토콜
OGD(식도-위-십이지장 내시경) 중에 다음 부위에서 조직 생검(biopsy)을 시행하였습니다.
추가적으로, 빠른 요소분해효소 검사(Rapid Urease Test, RUT)를 위해
헬리코박터 파일로리(H. pylori) 검사
환자는 아래 검사 중 **하나 이상 양성일 경우 H. pylori 양성(H. pylori-positive)**으로 분류되었습니다.
반대로, **모든 검사에서 음성이며, 과거 H. pylori 제균 치료력이 없는 경우 H. pylori 음성(H. pylori-negative)**으로 분류되었습니다.
구조화된 설문조사(Structured Questionnaire)
OGD 시행 전, 모든 환자는 구조화된 설문조사를 통해
등에 대한 정보를 제공하였습니다.
또한, 조직검사 결과에서 중등도~중증(advanced) OGA로 진단된 환자(즉, Sydney Score 2~3)는 추후 전화 인터뷰를 통해
를 추가로 확인하였습니다.
펩시노겐 I(PG I), 펩시노겐 II(PG II), 가스트린-17(G17) 및 H. pylori 항체 측정
G17 수치 측정 시:
(이는 40 pmol/L 이상의 G17 수치는 임상적으로 추가적인 의미를 갖지 않기 때문)
CagA(세포독소 관련 유전자 A) 측정
APCA(벽세포 항체) 및 AIFA(내인성 인자 항체) 측정
APCA(벽세포 항체)
AIFA(내인성 인자 항체)
조직검사(Histology) 프로토콜
각 생검 샘플을 파라핀 포매 후 3~5μm 두께로 절편 제작
H&E(Hematoxylin & Eosin), PAS(Periodic Acid–Schiff), Chromogranin A, 변형 Giemsa 염색 실시
광학현미경(light microscopy)으로 검사
위염의 분류
위 점막 위축(Atrophy) 평가는 시드니 시스템(Sydney system) 기준 사용
위염 진행도는 OLGA(Operative Link on Gastritis Assessment) 단계별로 평가
장크롬친화성 유사(ECL) 세포 과형성: Chromogranin A 염색에서 최대 5개의 인접한 ECL 세포가 염색될 경우 정의
진행된 OGA(Advanced OGA)의 정의:
두 명의 소화기병리학 전문의(KF, DJ)가 모든 조직 검체를 공동 평가하고 합의(consensus) 도출
자가면역 위염(AIG) 정의
AIG(자가면역 위염)는 다음 기준을 만족해야 함.
Chromogranin A 염색에서 ECL 세포 과형성 확인
ECL 세포 과형성은 AIG 환자에서 초기에 나타나는 일관된 병리학적 특징
APCA 및 AIFA 음성 가능성
통계 분석(Statistical Analysis)
모든 데이터는 SPSS Statistics V.22(IBM Corporation, New York, USA)를 이용하여 분석되었습니다.
집단 간 비교(Comparison Between Groups)
H. pylori 음성 AIG 환자 vs H. pylori 양성 고도 진행성 OGA 환자 비교
수용자 조작 특성(ROC) 곡선 분석
진단 성능 평가 대상:
대조군(Control group):
ROC 곡선의 AUC(곡선 아래 면적, Area Under Curve) 기준 진단 성능 평가
Youden-Index를 이용해 최적의 절단점(cut-off point) 설정
통계적 유의성(Statistical Significance)
RESULTS
Study population characteristics
그림 1(Figure 1): 연구에 포함된 환자 수
총 452명의 환자가 위내시경(OGD)을 시행받았으며, 이 중 69명은 선정 기준(selection criteria)에 부합하지 않았고, 17명은 혈청(sera) 데이터가 누락되어 연구에서 제외되었습니다.
최종 분석 대상 환자 수
고도 진행성 OGA 환자의 세부 그룹 분류
분류 환자 수 비율 (%)
임상적/혈청학적/조직학적 특징
통계 분석 제외 대상
→ 소수의 환자로 인해 통계 분석에서 제외됨
Figure 1. Flow diagram of the enrolment of study patients.
OGA, oxyntic gastric atrophy; AIG, autoimmune gastritis; pos, positive; neg, negative.
Table 1. Clinical, serological and histological characteristics of study patients according to Helicobacter pylori status and the presence of autoimmune gastritis (AIG)
Comparison of H. pylori-negative AIG to H. pylori-positive advanced OGA
표 2(Table 2): H. pylori-음성 AIG 환자(N=18)와 H. pylori-양성 고도 진행성 OGA 환자(N=10)의 임상적 및 조직학적 차이
자가면역 질환과의 연관성
조직학적 특징
H. pylori-음성 AIG 환자에서 더 심한 위축 변화 관찰됨
**위 신경내분비 종양(NETs)**은 오직 AIG 환자에서만 관찰됨
Table 2. Differences in clinical and histological characteristics of H. pylori-negative AIG and H. pylori-positive advanced OGA
내시경 및 조직학적 차이
Figure 2. Endoscopic appearance of advanced oxyntic gastric atrophy (OGA) in Helicobacter pylori infection and autoimmune gastritis (AIG). High definition conventional white-light (A+C) and FICE (B+D) endoscopic appearance of corpus mucosa with advanced OGA (image magnified with zoom endoscope) in patients with H. pylori infection (Zoom 1:200) and AIG (Zoom 1:60), respectively, are shown. Endoscopic signs of OGA comprising smooth mucosa, whitish discolouration and visible vessels are evident in AIG (C+D), whereas in H. pylori gastritis (A+B), despite the presence of OGA, signs of inflammation with subepithelial haemorrhage and oedema of the mucosa are predominant. Biopsies revealed OGA grades 2 and 3 according to the updated Sydney System classification in H. pylori gastritis and AIG, respectively. FICE, flexible spectral imaging colour enhancement.
Figure 3. Histopathological features of oxyntic gastric atrophy (OGA) in Helicobacter pylori infection and autoimmune gastritis (AIG). In (A) a biopsy specimen of a patient with H. pylori infection and OGA is shown. In the lamina propria an infiltrate of lymphocytes, plasma cells and neutrophils (H&E) and a focal moderate shrinkage of oxyntic gastric glands can be seen. H. pylori infection was identified by Warthin-Starry staining (data not shown). Staining with antichromogranin antibodies (brown) shows a normal distribution of enterochromaffin-like (ECL) cells (B). In (C) a biopsy specimen of a patient with AIG is shown (H&E). An infiltrate of lymphocytes and plasma cells can be observed. Neutrophils are absent. There is a severe OGA with absence of parietal cells, focal intestinal metaplasia (arrows) and pseudopyloric metaplasia (*). Staining with antichromogranin antibodies (brown) shows linear and micronodular ECL cell hyperplasia (D).
Diagnostic performance of G17, PG I and PG I/II for the diagnosis of advanced OGA
그림 4(Figure 4): 고도 진행성 OGA 환자의 ROC 곡선 분석
고도 진행성 OGA 진단을 위한 최적 절단값(cut-off) 및 진단 성능
지표 절단값 민감도(Sensitivity) 특이도(Specificity)
G17, PG I, PG I/II 패널을 활용한 진단 성능 비교
제조업체 권장 기준
연구에서 생성된 ROC 곡선 기반 기준
결론
ROC 곡선에서 도출된 절단값을 적용하면 패널의 민감도가 증가하면서도 특이도의 감소는 미미하여, 진단 성능이 개선됨을 확인할 수 있음(세부 데이터는 미포함).
Figure 4. Area under the G17 (A), PGI (B), and PGI/II-ratio (C) ROC curves (AUC) for the diagnosis of advanced oxyntic gastric atrophy (OGA).
ROC, receiver operating characteristic; G17, gastrin 17; PG, pepsinogen.
그림 5 및 6(Figures 5 and 6): G17, PGI, PGI/II 곡선 분석 결과
H. pylori 음성 AIG 환자(N=18) 및 H. pylori 감염과 연관된 고도 진행성 OGA 환자(N=10)의 ROC 곡선 분석
진단 성능(AUC) 비교
환자군 G17 AUC, PGI AUC, PGI/II AUC
➡ H. pylori 음성 AIG에서는 진단 성능이 우수(AUC 0.83, 0.97), H. pylori 양성 OGA에서는 상대적으로 낮음(AUC 0.62, 0.75).
고도 진행성 OGA 진단을 위한 최적 절단값(cut-off) 및 성능
H. pylori 음성 AIG 환자 (N=18)
검사 항목 절단값 민감도(Sensitivity) 특이도(Specificity)
H. pylori 양성 OGA 환자 (N=10)
검사 항목 절단값 민감도(Sensitivity) 특이도(Specificity)
➡ H. pylori 음성 AIG에서는 PG I과 PG I/II 비율이 매우 높은 진단 성능(민감도 96%, 특이도 95%)을 보였으며, H. pylori 양성 OGA에서는 상대적으로 낮은 성능을 보임.
제조업체 권장 기준 vs. 연구 최적화 기준
검사 항목 제조업체 기준 연구 최적화 기준
➡ 연구에서 도출한 최적화 기준은 제조업체 기준보다 민감도가 높아 OGA 진단에 더욱 적합할 가능성이 있음.
결론
Figure 5. Area under the G17 (A), PGI (B), and PGI/II-ratio (C) ROC curves (AUC) for the diagnosis of advanced oxyntic gastric atrophy (OGA) in patients with autoimmune gastritis (AIG).
ROC, receiver operating characteristic; G17, gastrin 17; PG, pepsinogen.
Figure 6. Area under the G17 (A), PGI (B), and PGI/II-ratio (C) ROC curves (AUC) for the diagnosis of advanced oxyntic gastric atrophy (OGA) in patients with Helicobacter pylori infection.
ROC, receiver operating characteristic; G17, gastrin 17; PG, pepsinogen.
Table 3. Serum pepsinogen (PG) I, PG I/II ratio and gastrin-17 (G17) in patients with or without advanced* oxyntic gastric atrophy (OGA) and depending on the aetiology of advanced OGA (Helicobacter pylori vs autoimmune gastritis)
DISCUSSION
H. pylori 음성 AIG와 H. pylori 위염에서의 진행된 OGA의 형태학적 및 혈청학적 차이
우리 연구에서 우리는 헬리코박터 파일로리(H. pylori) 음성 자가면역성 위염(AIG)이 H. pylori 위염에서의 진행된 위축성 위염(OGA)과 형태학적 및 혈청학적으로 뚜렷한 차이를 보인다는 것을 확인하였다. 엄격한 연구 사전 기준을 적용함으로써 두 질환을 감별할 수 있는 몇 가지 특징을 확인할 수 있었다.
H. pylori 음성 AIG의 첫 번째 특징: 자가면역 질환 동반 가능성
첫 번째 특징은 H. pylori 음성 AIG 환자가 다른 자가면역 질환을 동반할 가능성이 높다는 점이었다(OR 18.8; 95% CI 2.0~173.9). 이전 연구에서도 보고된 바와 같이, H. pylori 음성 AIG 환자에서 가장 흔한 자가면역 질환은 자가면역 갑상샘 질환(39%)이었다. 또한, 우리는 H. pylori 음성 AIG가 류마티스 관절염 및 원발성 담즙성 경화증과도 연관될 수 있음을 확인하였다. 이는 기존에 일부 증례 보고에서만 기술된 바 있다. 반면, H. pylori 양성 AIG 환자 4명 중에서는 다른 자가면역 질환을 동반한 경우가 없었다. 실제로 특발성 혈소판 감소성 자반증(ITP)을 제외하면, H. pylori 감염이 위장관 외 자가면역 질환 발생에 영향을 미칠 가능성은 낮다.
H. pylori 음성 AIG의 두 번째 특징: 심한 위축성 변화
두 번째 특징은 H. pylori 음성 AIG 환자가 중증의 위체부 위축 및 위체부 장상피화생을 더 자주 동반한다는 점이었다. 우리의 이전 연구와 일치하게, AIG 환자의 39%에서 전정부 위축이 확인되었다. 주목할 점은, H. pylori 양성 AIG 환자에서는 전정부 위축이 발견되지 않았다는 것이다. 이러한 결과는 H. pylori 감염이 일부 경우 AIG를 유발하는 방아쇠(trigger) 역할을 할 가능성을 완전히 배제할 수 없음을 시사한다.
위축성 위염(OGA)과 위암(GC) 위험성
위축성 위염(OGA)은 위암(GC) 발생 위험을 4~5배 증가시키는 전암성 상태로 간주되며, 따라서 OGA의 선별 검사가 권장된다.
현재 H. pylori 혈청검사, 혈청 가스트린-17(G17) 증가, 낮은 혈청 펩시노겐 I(PG I) 및 PG I/II 비율이 진행된 OGA를 진단하는 가장 효과적인 비침습적 방법으로 알려져 있다.
제조업체의 기존 권장 기준은 다음과 같다.
그러나 이러한 기준은 인구집단에 따라 조정이 필요할 수 있다.
우리 연구에서는 다음과 같은 기준이 OGA를 감별하는 데 더 적절한 cut-off 값으로 나타났다.
혈청 바이오마커의 진단 성능 차이
최근 91명의 소화불량 환자를 대상으로 한 연구에서는 혈청 바이오마커가 OGA 감별에 충분한 성능을 보이지 못했다고 보고된 바 있다.
반면, 우리 연구에서는 초기 OGA(stage 1, Updated Sydney Classification 기준) 환자를 제외함으로써 높은 진단 정확도를 얻을 수 있었다.
이는 다른 질환에서도 혈청 바이오마커가 말기 상태에서야 비정상적으로 나타나는 현상과 유사하다. 예를 들어:
따라서 OGA도 말기 단계에서야 혈청 바이오마커 수치가 뚜렷하게 변화할 가능성이 높다.
AIG와 H. pylori 감염에서의 차이점
AIG 환자군에서는 혈청 G17, PG I, PG I/II 비율이 심한 기능 저하를 반영하며, 특히 PG I 및 PG I/II 비율 감소는 AIG 환자의 진행된 OGA를 진단하는 데 매우 유용한 바이오마커로 나타났다. 반면, 현재 또는 과거에 H. pylori 감염력이 있는 환자에서는 혈청 바이오마커의 진단적 성능이 제한적이었다.
AIG에서는 위체부의 광범위한 위축 변화로 인해 G17 증가 및 PG I, PG I/II 비율 감소가 뚜렷하게 나타나는 반면,
H. pylori 감염에 의한 OGA는 병변이 국소적이고 병변 주변 점막이 상대적으로 덜 손상되어 기능 저하가 덜 나타날 수 있다.
따라서 OGA의 원인에 따라 혈청 G17, PG I, PG I/II 비율을 해석하는 것이 중요하다.
H. pylori 감염과 위암 위험
일본에서 채택된 ‘ABCD 방법’(위암 위험도 평가 기준)에 따르면:
이 그룹에는 주로 AIG 또는 악성 빈혈(pernicious anemia) 환자가 포함된다.
따라서 혈청검사에서 OGA가 의심되는 경우, Updated Sydney 분류 및 OLGA(Oxford-Lauren Gastritis Assessment) 시스템에 따라 위내시경 및 조직검사를 진행해야 하며, 광범위한 위축성 위염(GA)이 확인된 경우 3년 간격으로 내시경 추적검사를 시행해야 한다.
결론
ABSTRACT
Aim To assess characteristics of oxyntic gastric atrophy (OGA) in autoimmune gastritis (AIG) compared with OGA as a consequence of Helicobacter pylori infection.
Methods Patients undergoing oesophagogastroduodenoscopy from July 2011 to October 2014 were prospectively included (N=452). Gastric biopsies were obtained for histology and H. pylori testing. Serum gastrin-17 (G17), pepsinogen (PG) I, PGII and antibodies against H. pylori and cytotoxin-associated gene A protein were determined in all patients. Antibodies against parietal cells and intrinsic factor were determined in patients with advanced (moderate to severe) OGA. Areas under the receiver operating characteristic curves (AUCs) were calculated for serum biomarkers and compared with histology.
Results Overall, 34 patients (8.9%) had advanced OGA by histology (22 women, age 61±15 years). Current or past H. pylori infection and AIG were present in 14/34 and 22/34 patients, respectively. H. pylorinegative AIG patients (N=18) were more likely to have another autoimmune disease (OR 6.3; 95% CI 1.3 to 29.8), severe corpus atrophy (OR 10.1; 95% CI 1.9 to 54.1) and corpus intestinal metaplasia (OR 26.9; 95% CI 5.3 to 136.5) compared with H. pylori-positive patients with advanced OGA. Antrum atrophy was present in 39% of H. pylori-negative AIG patients. The diagnostic performance of G17, PG I and PGI/II was excellent for AIG patients (AUC=0.83, 0.95 and 0.97, respectively), but limited for H. pylori-positive patients with advanced OGA (AUC=0.62, 0.75 and 0.67, respectively).
Conclusions H. pylori-negative AIG has a distinct clinical, morphological and serological phenotype compared with advanced OGA in H. pylori gastritis.