BMC Gastroenterol. 2022 Apr 11;22(1):179.
Background
자가면역성 위염(AIG)에 대한 연구 개요
Strickland와 Mackey는 1973년 자가면역성 위염(AIG, Autoimmune Gastritis)을 다음과 같은 특징을 가진 질환으로 정리하였다.
- 위저선(fundic gland)의 위축
- 위산 분비 감소
- 양성 위벽세포(PC) 항체 또는 내인성인자(IF) 항체
- 혈청 가스트린 수치 상승
- 흔히 악성 빈혈(pernicious anemia) 동반
이전까지 아시아 국가에서는 AIG가 드문 질환으로 간주되었으나, 최근 연구에 따르면 그 실제 유병률이 예상보다 높을 가능성이 제기되었다 [1].
특히, 일본에서는 일부 연구를 통해 AIG의 실제 유병률이 기존에 알려진 것보다 더 높을 수 있음을 보고하였다.
- Notsu et al.의 연구에 따르면, 상부 위장관 내시경 검진을 받은 6,739명 중 최소 0.49%에서 AIG가 발견됨 [4].
반면, 서구 국가에서는 AIG를 진단받지 못한 사례가 훨씬 더 많을 가능성이 제기되었다 [5, 6].
- 독일의 연구에서는 건강 검진을 받은 9,684명의 대상자 중 19.5%에서 위벽세포 항체(anti-PC antibody)가 검출됨 [6].
- 따라서 AIG의 정확한 유병률을 파악하기 위해서는 대규모 인구를 대상으로 한 선별 검사가 필요하다.
AIG 진단 방법 및 새로운 선별 기준의 필요성
현재 AIG의 최종 진단은 위내시경 조직 검사를 통한 조직학적(histopathological) 소견에 기반한다. 그러나 조직 검사는 침습적 절차이므로, 조직 검사를 시행하기 전에 비침습적인 선별 기준이 필요하다.
- 혈청 가스트린(serum gastrin)은 AIG 선별에 유용할 수 있으나, 단독으로 충분한지에 대한 연구가 부족하다.
- AIG 선별에는 위저선 위축(fundic gland atrophy) 평가가 필수적이다.
- Kimura와 Takemoto는 1968년 위축의 내시경적 평가법을 정립하였으며, 최근 이를 업데이트한 연구가 진행됨 [7, 8].
- 혈청 펩시노겐(pepsinogen, PG) 검사는 위축성 위염 및 위암 위험의 바이오마커로 사용됨 [9].
- 따라서 위내시경 평가 및 PG 검사는 AIG를 선별하는 데 유용할 가능성이 있음.
- 혈청 비타민 B12 수치는 AIG에서 내인성인자 결핍(IF deficiency)을 평가하는 좋은 도구가 될 수 있음.
최근 우리는 이러한 검사를 포함하는 AIG 선별 기준을 제안하였으며,
이를 통해 보다 많은 AIG 환자를 선별할 수 있을 것으로 기대됨 [10].
따라서, 이 새로운 선별 기준이 조직학적으로 확진된 AIG에서 적절한지를 검증할 필요가 있음.
AIG의 조직학적 단계 및 임상적 평가
조직학적으로 AIG는 초기(early), 활성기(florid), 말기(end-stage) 단계로 분류되어 왔음 [11–13].
그러나 이 단계 간의 임상적 차이는 아직 명확히 규명되지 않음.
이번 연구에서는:
- AIG의 조직학적 관점에서 선별 기준의 유효성을 평가하고,
- 임상적 측면에서 조직학적 분류를 재검토하고자 한다.
Methods
1. Subjects
우리는 2012년 5월부터 2020년 1월까지 일본 지역 의료 기구(Japan Community Healthcare Organization, JCHO) 시가 병원(Shiga Hospital)에서 AIG(자가면역성 위염)가 임상적으로 의심되는 환자들의 의학적 정보를 수집하였다.
연구 대상 선별 기준
연구 대상 선별 기준은 다음과 같았다:
- 현저한 내시경적 위체부 위축 (Updated Kimura–Takemoto 분류에서 O-p 단계) [7]
- 강한 양성(3+) 반응을 보이는 펩시노겐(PG) 검사
- 낮은 혈청 비타민 B12 수치 또는 상승된 혈청 가스트린 수치
- 위벽세포(PC) 항체 또는 내인성인자(IF) 항체 양성 반응 동반 [10]
이들 중 위 조직 검사를 시행한 환자들을 대상으로 조직학적 평가를 수행하였다.
또한, 신장 기능이 저하된 환자들은 혈청 가스트린과 펩시노겐 수치가 상승할 수 있으므로 연구에서 제외하였다 [14, 15].
2. Tests and the procedures
위벽세포(PC) 항체와 내인성인자(IF) 항체는 각각 Fujirebio(도쿄, 일본)의 anti-mitochondrial antibody/anti-smooth muscle antibody FA와 Beckman Coulter(브레아, 미국)의 ACCESS intrinsic factor Ab를 사용하여 측정하였다.
그러나 이 검사는 일본에서 건강보험 적용을 받지 않으므로 모든 의심 환자를 검사할 수는 없었다. 환자가 비용을 부담하는 것에 동의할 경우, 먼저 위벽세포(PC) 항체 검사를 시행하였으며, 결과가 음성이면서 환자가 추가 비용을 지불할 의사가 있는 경우 내인성인자(IF) 항체 검사를 추가로 시행하였다.
검사를 원하지 않은 환자는 연구 대상에서 제외되었다.
내시경적 위축 평가
내시경적 위축은 업데이트된 Kimura–Takemoto 분류법을 사용하여 평가하였다 [7, 8].
이 방법에 따라 위축의 경계를 8단계로 분류하였다:
- C-0: 위축 없음
- C-1: 닫힌 위축 경계가 위전정부(antrum)에 위치
- C-2: 닫힌 위축 경계가 위체부 원위부(distal corpus)에 위치
- C-3: 닫힌 위축 경계가 위체부 근위부(proximal corpus)에 위치
- O-1: 열린 위축 경계가 소만(lesser curvature)에 위치
- O-2: 열린 위축 경계가 소만과 대만(greater curvature) 사이에 위치
- O-3: 열린 위축 경계가 대만(greater curvature)에 위치
- O-p: 위체부 전체에 걸친 위축(atrophic border 없이 전반적 위축)
혈청 펩시노겐(PG) 검사
혈청 펩시노겐(PG) 검사는 Abbott Japan(도쿄, 일본)의 ARCHITECT Pepsinogen I 및 II를 사용하여 측정하였다.
Miki와 Urita의 기준[9]에 따라 4가지 그룹으로 분류하였다:
- 강한 양성(3+): 혈청 PG I ≤ 30 ng/mL 및 PG I/II 비율 ≤ 2.0
- 중간 양성(2+): 혈청 PG I ≤ 50 ng/mL 및 PG I/II 비율 ≤ 3.0
- 약한 양성(+): 혈청 PG I ≤ 70 ng/mL 및 PG I/II 비율 ≤ 3.0
- 음성(-): 위 기준을 충족하지 않는 경우
그러나 PG 검사는 일본에서 건강보험 적용을 받지 않아 모든 연구 대상자에게 시행되지 않았다.
혈청 가스트린 및 비타민 B12 검사
- 혈청 가스트린: Fujirebio의 Gastrin RIA Kit II로 측정
- 혈청 비타민 B12: Beckman Coulter의 ACCESS B12로 측정
제조업체의 기준에 따라,
- 가스트린 수치가 172 pg/mL 이상이면 높은(high) 수치로 정의
- 비타민 B12 수치가 180 pg/mL 미만이면 낮은(low) 수치로 정의하였다.
3. Histopathological diagnosis
조직병리학적 평가 방법
조직병리학적 평가를 위해, 내시경적으로 위체부 중간부의 대만(greater curvature of the middle corpus)과 위전정부(antrum)에서 생검 검체를 채취하였다. 생검 검체는 즉시 10% 중성 완충 포르말린(10% neutral buffered formalin)에 24시간 동안 고정한 후, 파라핀에 포매(embedding)하였다. 샘플을 3μm 두께의 절편으로 제작하여 헤마톡실린-에오신(H&E) 염색을 시행하였다.
AIG(자가면역성 위염) 조직병리학적 진단
AIG의 진단은 위체부 중간 점막의 염증 세포 침윤 및 고유층(lamina propria) 위축 상태를 관찰하여 이루어졌으며, 위전정부 점막 소견과 비교하였다.
AIG는 조직학적 소견에 따라 3단계로 분류하였다 [11–13]:
초기(early) 단계
- 부분적으로 위저선(fundic gland)이 감소
- 기저층(basal)에 집중된 림프형질세포(lymphoplasmacytic) 침윤이 확산성(diffuse) 또는 다병소성(multifocal)으로 존재
활성(fluid) 단계
- 위저선이 현저하게 감소
- 림프형질세포 침윤이 뚜렷하게 관찰됨
말기(end) 단계
- 위벽세포(parietal cell)가 완전히 소실
- 염증 세포 침윤이 최소(minimal)
위저선 위축(atrophy of fundic glands)은
- 위저선이 현저하게 감소 또는 소실되며
- 유문샘(pyloric metaplasia) 또는 장형화생(intestinal metaplasia)의 동반 여부에 따라 분류하였다.
추가적 진단 보조 소견
- 위체부(corpus)에서 ECL(Enterochromaffin cell-like) 세포 과형성(hyperplasia)
- 위전정부(antrum)에서 가스트린(Gastrin) 세포 과형성
위 두 가지 소견은 AIG 진단을 보조하는 소견으로 간주하였다.
조직병리학적 진단 과정
조직병리학적 진단은 두 명의 병리학자가 독립적으로 평가한 후, 진단이 다를 경우 합의를 통해 최종 결정하였다.
4. Helicobacter pylori (H. pylori) infection
H. pylori 감염 상태 확인 방법
H. pylori 감염 상태를 확인하기 위해 환자의 과거 H. pylori 검사 및 치료 이력을 의료 기록에서 수집하였다.
H. pylori 검사는 다음과 같은 방법을 포함하였다:
혈청 H. pylori 항체 검사 (HpAb)
- E-plate Eiken H. pylori antibody II (Eiken Kagaku, Tochigi, Japan)
- 제조사의 지침에 따라, ELISA 값이 10.0 U/mL 미만일 경우 음성으로 간주
H. pylori 대변 항원 검사 (HpSA)
- Meridian HpSA ELISA II (Fujirebio)
- 0.120 이상일 경우 양성, 0.100 미만일 경우 음성으로 간주
요소호기검사 (UBT, Urea Breath Test)
- Ubit Tablets 100 mg (Otsuka Pharmaceutical, Tokyo, Japan)
- POCone (Otsuka Electronics, Osaka, Japan)
- Δ13CO2(UBT 값)
조직병리학적 검사
- 헤마톡실린-에오신(H&E) 염색 및 Giemsa 염색
H. pylori 배양 검사
H. pylori 감염 상태 진단 기준
현재 감염 (Currently Infected)
- 조직병리학적 검사 또는 배양 검사에서 H. pylori 감염이 명확하게 확인된 경우
비감염 (Not Infected)
- 수행된 모든 검사에서 H. pylori 감염의 증거가 없는 경우
과거 감염 (Past Infected)
- 과거에 H. pylori 제균 치료(eradication therapy)를 받은 이력이 있는 경우
기타
- 여러 검사 결과 및 시간에 따른 변화를 종합적으로 고려하여 위 세 가지 감염 상태 중 하나로 최종 분류하였다.
4. Statistical analysis
AIG 단계별 혈청 가스트린, 펩시노겐(PGs), 비타민 B12를 평가하기 위해 t-검정(t-test)을 사용하였다. 내시경적 위체부 위축(corpus atrophy)을 평가하기 위해 카이제곱 검정(chi-square test)을 사용하였다. 모든 분석은 SPSS(Stats Guild Inc., Chiba, Japan)을 사용하여 수행하였으며, P값이 0.05 미만(P<0.05)일 경우 통계적으로 유의한 차이로 간주하였다.
Results
우리는 연구 기간 동안 선별 기준을 충족하고 생검 검체를 채취한 29명의 후보자를 발견하였다. 이 중 한 명은 위체부 조직이 너무 작아 기저샘 위축을 평가할 수 없었기 때문에 연구에서 제외되었다. 나머지 28명 중 22명(78.6%, 95% 신뢰 구간 59.0–91.7%)이 조직병리학적으로 AIG로 확진되었으며, 이후 분석에서 연구 대상으로 포함되었다.
AIG 확진 환자의 특성
22명의 AIG 환자 중 7명(남성), 15명(여성)이었으며, 연령은 43–81세(평균±표준편차=65.2±10.8세)였다. 2명의 환자는 비타민 B12 보충제를 복용하고 있었으며, 프로톤 펌프 억제제(PPI)를 복용 중인 환자는 없었다. 현재 H. pylori 감염이 확인된 환자는 없었으나, 12명(54.5%)은 과거 감염(past infected), 10명(45.5%)은 비감염(not infected)으로 진단되었다. 그러나 과거 제균 치료를 받은 12명 중 5명의 경우, 치료에 대한 구체적인 기록이 남아 있지 않았다. 기존 기록이 있는 환자의 경우, AIG 진단까지 걸린 기간은 1년(3명), 2년(1명), 3년(2명), 4년(1명)이었다(표 1).
Table 1 Duration between H. pylori eradication therapy and the diagnosis of AIG

조직병리학적 AIG 분류
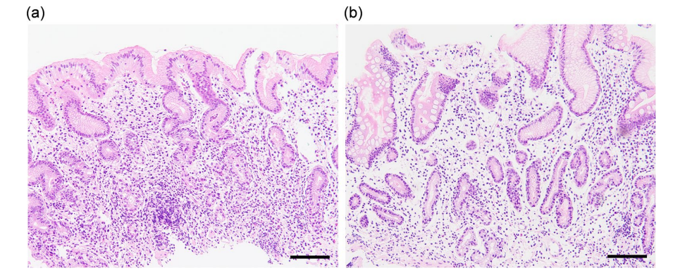
22명의 AIG 환자 중 4명(18.2%)이 활성(florid) 단계, 18명(81.8%)이 말기(end) 단계로 분류되었다(표 2, 그림 1). 조기(early) 단계로 분류된 환자는 없었다.
Table 2. List of 28 AIG candidates


Fig. 1 Light microscopic pictures of forid and end stages (H&E stain). The florid stage consisted of marked decrease of fundic glands with lymphoplasmacytic infltration predominantly in the deeper part of the mucosa (a). The end stage consisted of complete loss of fundic glands with minimal infammatory cell infltration (b). Scale bar: 200 µm

항체 검사 결과
22명의 AIG 환자 중 항-벽세포(anti-PC) 항체는 10×부터 160× 이상까지 분포하였다.
- 10×(2명), 20×(6명), 40×(5명), 80×(5명), 160× 이상(4명)
- 항-내인성인자(anti-IF) 항체는 1명의 환자에서 양성이었다.
혈청 가스트린 수치
22명 모두에서 혈청 가스트린이 측정되었으며,
- 690–5300 pg/mL(평균±표준편차=2218.2±1509.6 pg/mL)로 모든 환자가 정상 기준(172 pg/mL)을 초과하였다.
- AIG 병리 단계별 비교:
- 활성(florid) 단계: 1657.5±362.5 pg/mL
- 말기(end) 단계: 2342.8±1634.3 pg/mL
- 두 단계 간 유의미한 차이는 없었음(P=0.14, t-검정).
- 가스트린 3000 pg/mL 이상을 보인 환자는 모두 말기(end) 단계에 속했음(그림 2).
Fig. 2 Distribution of serum gastrin of all AIG patients (N=22). COV; cut-of value (172 pg/mL). The numbers in the horizontal axis were not patient’s numbers in Table 2. Patients are ordered by the values of serum gastrin. All 22 patients showed high serum gastrin. Four patients were included in forid stage (○), and 18 patients were included in end stage (●)

펩시노겐(PG) 검사 및 ROC 분석
수신자 작용 특성(ROC) 곡선을 분석한 결과,
- PG I(AUC=0.81), PG II(AUC=0.29), PG I/II 비율(AUC=0.98)로 PG I과 PG I/II 비율이 유용한 기준이었음(그림 3).
- 최적 절단값(cut-off value):
- PG I ≤ 14.5 ng/mL (민감도 0.83, 특이도 0.85)
- PG I/II 비율 ≤ 2.1 (민감도 1.00, 특이도 0.95)
Table 3 Comparison of sensitivity and specifcity between criteria for PG test

Fig. 3 Receiver operating characteristic (ROC) curves of PG I (a), PG II (b) and PG I/II ratio (c). PG; pepsinogen, AUC; area under the curve. AUC of PG I, PG II and PG I/II ratio were 0.81, 0.29 and 0.98, respectively. According to ROC curve analyses, the optimal cut-of values of PG I and PG I/II ratio were 14.5 ng/mL (sensitivity=0.83, specifcity=0.85) and 2.1 (sensitivity=1.00, specifcity=0.95), respectively

AIG 확진 환자의 PG 수치는
- PG I: 2.5–71.9 ng/mL(평균 13.3±19.5 ng/mL)
- PG II: 3.7–39.2 ng/mL(평균 10.9±8.3 ng/mL)
- PG I/II 비율: 0.3–3.5(평균 1.0±0.7)
AIG 병리 단계 간 통계적 차이는 없었다(표 4).
Table 4 Comparison of serum PGs between stages of AIG

PG 검사 등급: PG 검사 결과는 AIG 병리 단계와 관련성이 없었음(그림 4).
- 3+ (17명, 85%)
- 2+ (1명, 5%)
- 1+ (0명, 0%)
- 음성(2명, 10%)
Fig. 4 Distribution of PG test of 20 AIG patients (N=20). PG; pepsinogen. PG test classifcation revealed 3+in 17 (85%), 2+in 1 (5%), 1+in 0 (0%) and negative in 2 patients (10%). Four patients were included in forid stage (○), and 16 patients were included in end stage (●)

혈청 비타민 B12 수치
22명 모두에서 측정되었으나 2명은 비타민 B12 보충제를 복용 중이었고 400 pg/mL 이상을 나타냈음.
보충제를 복용하지 않은 20명의 환자에서
- 50–320 pg/mL(평균±표준편차=137.5±79.2 pg/mL) 분포(그림 5)
- 절단값(180 pg/mL) 이하인 경우는 13명(65%)
AIG 병리 단계별 비교: 두 단계 간 유의미한 차이는 없었음(P=0.83, t-검정).
- 활성(florid) 단계: 147.3±37.8 pg/mL
- 말기(end) 단계: 135.7±84.3 pg/mL
Fig. 5 Distribution of serum vitamin B12 (N=20). COV; cut-of value (180 pg/mL). Vitamin-B12 users were not included in the fgure. The numbers in the horizontal axis are not the patient’s numbers in Table 2. Patients are ordered by the values of serum vitamin B12. Thirteen patients (65%) showed low serum vitamin B12. Three patients were included in forid stage (○), and 17 patients were included in end stage (●)

혈청 가스트린 수치와의 관계
- 비타민 B12가 정상인 7명, 낮은 13명
- 비타민 B12가 낮은 환자는 모두 혈청 가스트린이 높았음(그림 6).
Fig. 6 Diagram of AIG patients according to serum gastrin (a) and serum vitamin B12 (b). All the 22 AIG patients showed high serum gastrin. Among them, 20 patients did not use vitamin B12-containing agents and 13 patients (65%) of them showed low serum vitamin B12 (a). In the 20 patients who did not use vitamin B12-contaning agents, 13 patients showed low serum vitamin B12. All of them showed high serum gastrin (b)

내시경적 위체부 위축 평가
22명 모두에서 평가되었으며,
- O-p (20명, 90.9%)
- O-3 (1명, 4.5%)
- O-1 (1명, 4.5%)
22명 모두 O-1 이상의 내시경적 위축이 있었음.
AIG 병리 단계별 비교: O-p 비율은 두 단계 간 유의미한 차이가 없었음(75% vs. 94.4%, P=0.22, 카이제곱 검정, 표 5).
- 활성(florid) 단계: O-p(3명), O-3(1명)
- 말기(end) 단계: O-p(17명), O-1(1명)
Table 5 Comparison of endoscopic corpus atrophy between stages of AIG

AIG 진단 기준 평가
다음 4가지 검사에서 양성 개수를 확인함:
- 혈청 가스트린 상승(>172 pg/mL)
- 내시경 O-p 위축
- PG 검사 3+
- 비타민 B12 저하(<180 pg/mL)
- 4개 모두 양성: 11명(50%)
- 3개 양성: 7명(32%)
- 2개 양성: 3명(14%)
- 1개 양성: 1명(4%)
양성 개수가 3개인 7명 중,
- 6명은 정상 비타민 B12, 1명은 PG 검사 2+
<공통적인 AIG 진단 요소>
22명의 확진 환자에서 공통적으로 나타난 소견은
- 항-벽세포 항체(10× 이상)
- 혈청 가스트린 상승(>172 pg/mL)
- 내시경적 위축(O-1 이상)
그러나 비타민 B12 저하와 PG 검사 3+는 모든 환자에서 나타나지는 않았음.
Discussion
본 연구에서, 선별 기준을 충족한 28명의 후보 환자 중 22명(78.6%)이 조직병리학적으로 자가면역 위축성 위염(AIG)으로 확인되었다. 우리의 선별 기준은 78.6%의 양성 예측도를 보이며 효과적으로 작동했다. 현재 헬리코박터 파일로리(H. pylori) 감염 환자는 22명의 AIG 환자 중 한 명도 발견되지 않았다. 조직병리학적으로 초기 단계에 속하는 AIG 환자는 발견되지 않았으며, 4명은 활성(Florid) 단계, 18명은 말기(End) 단계에 해당되었다. 연구한 항목들 중 급성과 말기 단계 간에 유의미한 차이는 발견되지 않았다.
AIG로 확인된 환자들의 공통적인 임상 소견은 다음과 같다:
- 10배 이상의 항벽세포 항체(anti-PC antibody) 수치
- 172 pg/mL 이상의 혈청 가스트린 수치 상승
- 내시경적 위축(O-1 이상) 존재
수신자 조작 특성(ROC) 분석을 통해 펩시노겐(PG) I과 PG I/II 비율이 AIG 선별에 유용할 가능성이 확인되었다. 최적 절단값(cut-off value)은 PG I 14.5 ng/mL, PG I/II 비율 2.1로 제시되었다.
1. 혈청 가스트린 분석
조직병리학적으로 AIG로 진단된 22명의 환자에서 혈청 가스트린 수치는 급성과 말기 단계 모두에서 현저히 증가했다. 급성과 말기 단계 간에는 통계적으로 유의한 차이는 없었지만, 3000 pg/mL 이상의 높은 가스트린 수치를 보인 환자는 모두 말기 단계에 속했다. 이는 AIG가 진행될수록 가스트린 수치가 증가함을 시사한다. 또한, 172 pg/mL를 기준으로 AIG를 선별하는 것이 적절할 수 있다.
2. 펩시노겐(PG) 검사
이번 연구는 PG 검사의 AIG 선별 능력을 평가한 최초의 연구이다. 미키(Miki) 기준에 따라 PG 3+ 검사 결과는 높은 민감도와 특이도를 보였다. ROC 곡선 분석에서도 PG I과 PG I/II 비율이 AIG 선별에 유용함이 확인되었다. 다만, 보다 정확한 절단값을 결정하기 위해서는 더 많은 환자군을 대상으로 한 연구가 필요하다. 또한, PG 검사 결과는 급성과 말기 단계 간에 차이가 없었으며, 미키 기준의 PG 검사 결과 또한 조직병리학적 단계와 연관성을 보이지 않았다.
3. 혈청 비타민 B12 수치
AIG 선별 기준 중 하나로 혈청 비타민 B12 수치를 포함하였다. 22명의 환자 중 비타민 B12 보충제를 복용하지 않은 20명을 분석한 결과, 13명(65%)이 혈청 비타민 B12 감소를 보였다. 그러나 혈청 가스트린이 높은 모든 환자가 비타민 B12 결핍을 보이지는 않았으며, 이는 AIG 진행 과정에서 가스트린 수치가 먼저 증가한 후 비타민 B12가 감소할 가능성을 시사한다. 즉, 비타민 B12 감소는 AIG가 심각한 위축성 단계를 거친 후 나타나는 지표일 가능성이 있다. 하지만, 비타민 B12와 조직병리학적 단계 간의 명확한 연관성은 본 연구에서 확인되지 않았다.
4. 내시경적 위축 평가
모든 22명의 AIG 환자에서 내시경적 위축을 평가하였으며, 95.5%(21명)가 O-p 또는 O-3에 해당하고, 1명(4.5%)만 O-1로 분류되었다. 이는 AIG 환자에서 O-p 또는 O-3 위축 소견이 강하게 의심되는 내시경적 특징임을 시사한다. 하지만, 조직병리학적 분석과의 비교에서는 급성과 말기 단계 간에 내시경적 위축 차이가 유의하지 않았다.
이는 내시경적 위축이 점막과 더 깊은 층을 포함한 거시적 평가인 반면, 조직병리학적 진단은 특정 부위에서 채취한 생검 샘플의 표면적 분석이기 때문에 발생한 차이일 수 있다. 또한, 일부 AIG 환자에서 잔여 기저선(fundic gland)이 존재할 수 있어, 특정 부위에서 채취한 조직 샘플만으로 위축을 확정하기 어려운 경우도 있다.
5. AIG 선별 검사 항목 평가
본 연구에서 AIG 선별을 위해 자가항체(anti-PC 항체) 검사 및 4가지 비침습적 검사(혈청 가스트린, 내시경 위축 O-p, PG 검사 3+, 비타민 B12 감소)를 시행하였다. 검사 항목이 4개 모두 양성이었던 경우는 전체 환자의 50%(11명)였다. 검사 항목이 3개 양성인 7명 중 6명은 정상 혈청 비타민 B12를 보였으며, 1명은 PG 2+ 검사였다. 공통적으로 모든 AIG 환자에서 혈청 가스트린 수치 상승이 나타났다, 이는 AIG 진단에서 혈청 가스트린이 필수적인 요소일 가능성을 시사한다. 다만, 신장 기능 이상 환자나 PPI를 복용하는 환자에서는 혈청 가스트린 상승이 나타날 수 있어, 이러한 환자에서는 가스트린을 선별 기준으로 사용하기 어렵다.
또한, PPI 사용 환자에서는 내시경적 위축 소견과 PG 검사 결과도 영향을 받을 가능성이 있어, 이 경우 혈청 비타민 B12가 유일한 신뢰할 수 있는 검사일 수 있다. 그러나, 혈청 비타민 B12는 본 연구에서 65%의 AIG 환자에서만 감소를 보여 단독 검사로는 부족할 수 있으며, 추가적인 검사로 활용하는 것이 추천된다.
6. AIG 초기 단계 선별의 어려움
이번 연구에서는 조직병리학적으로 초기 AIG 환자가 발견되지 않았으며, 모든 환자가 급성 또는 말기 단계에 속했다. 이는 현재 선별 기준이 초기 AIG보다는 진행된 단계의 AIG를 선별하는 데 적합함을 시사한다. AIG 초기 단계를 선별할 수 있는 새로운 기준을 추가적으로 연구해야 할 필요성이 있다.
7. 연구의 한계점
- 단일 기관에서 수행된 후향적 관찰 연구로, 더 많은 환자군을 대상으로 한 추가 연구가 필요하다.
- 모든 항-PC 항체 음성 환자에서 항내인성인자(anti-IF) 항체 검사를 시행하지 못했다. 항-PC 항체의 민감도는 81%, 특이도는 90%로 보고되므로, 일부 AIG 환자가 누락되었을 가능성이 있다. 향후 항-PC 항체와 항-IF 항체 병행 검사가 AIG 진단에 도움이 될 가능성이 있다.
- H. pylori 감염과 AIG의 연관성이 불명확하다. 연구에 포함된 12명의 과거 감염 환자 중 7명만 제균 치료를 받았으며, 나머지는 과거 감염으로 추정되었으나 확실한 증거가 없었다. AIG 환자는 비침습적 H. pylori 검사에서 위양성이 나타날 가능성이 있어, 정확한 감염 상태를 판단하기 어려운 한계가 있었다.
8. 결론
- AIG 환자 선별을 위해 혈청 가스트린(>172 pg/mL), 내시경 위축(O-1 이상), 항-PC 항체(≥10×) 검사가 유용하다.
- PG I(≤14.5 ng/mL) 및 PG I/II 비율(≤2.1)도 추가적인 선별 지표로 활용될 수 있다.
- 비타민 B12 감소는 진행된 AIG의 지표일 가능성이 있다.
- 현재 선별 기준은 진행된 AIG를 감별하는 데 적합하지만, 초기 AIG를 선별하는 데 한계가 있다.
Abstract
Background: The aims of the present study are to evaluate non-invasive screening tests for autoimmune gastritis (AIG) and re-evaluate histopathological classifcation. Methods: We screened candidates of AIG in JCHO Shiga Hospital between May 2012 and January 2020. The screening criteria were as follows: endoscopic O-p atrophy with Updated Kimura–Takemoto classifcation, 3+pepsinogen (PG) test, low serum vitamin B12 or elevated serum gastrin with positive anti-parietal cell (PC) or intrinsic factor antibodies. We evaluated the screening criteria in the patients who were histopathologically confrmed as AIG, and re-evaluated histopathological staging in clinical aspects. Results: Twenty-two of 28 (78.6%) patients who met the screening criteria were histopathologically confrmed as AIG. Common clinical fndings in the AIG patients were 10×or greater anti-PC antibody, elevated serum gastrin greater than 172 pg/mL and endoscopic atrophy O-1 or greater. The areas under the curve of PG I, PG II and PG I/II ratio were 0.81, 0.29 and 0.98, respectively. Among histopathologically confrmed AIG patients, 4 and 18 patients were histopathologically classifed into forid and end stages, respectively, while no patients into early stage. We could not fnd a signifcant diference between forid and end stages in the screening items studied. Conclusions: Florid and end stages in histopathological classifcation are both advanced-stage AIG in clinical aspects. Our screening criteria without biopsy are applicable to screen clinically-advanced AIG with 78.6% positive predictive value. PG I and PG I/II ratio may be useful to screen AIG. However, we may need other criteria to screen early stage of AIG. Keywords: Anti-parietal cell antibody, Gastrin, Corpus atrophy, Pepsinogen, Vitamin B12
BMC Gastroenterol. 2022 Apr 11;22(1):179.
Background
자가면역성 위염(AIG)에 대한 연구 개요
Strickland와 Mackey는 1973년 자가면역성 위염(AIG, Autoimmune Gastritis)을 다음과 같은 특징을 가진 질환으로 정리하였다.
이전까지 아시아 국가에서는 AIG가 드문 질환으로 간주되었으나, 최근 연구에 따르면 그 실제 유병률이 예상보다 높을 가능성이 제기되었다 [1].
특히, 일본에서는 일부 연구를 통해 AIG의 실제 유병률이 기존에 알려진 것보다 더 높을 수 있음을 보고하였다.
반면, 서구 국가에서는 AIG를 진단받지 못한 사례가 훨씬 더 많을 가능성이 제기되었다 [5, 6].
AIG 진단 방법 및 새로운 선별 기준의 필요성
현재 AIG의 최종 진단은 위내시경 조직 검사를 통한 조직학적(histopathological) 소견에 기반한다. 그러나 조직 검사는 침습적 절차이므로, 조직 검사를 시행하기 전에 비침습적인 선별 기준이 필요하다.
최근 우리는 이러한 검사를 포함하는 AIG 선별 기준을 제안하였으며,
이를 통해 보다 많은 AIG 환자를 선별할 수 있을 것으로 기대됨 [10].
따라서, 이 새로운 선별 기준이 조직학적으로 확진된 AIG에서 적절한지를 검증할 필요가 있음.
AIG의 조직학적 단계 및 임상적 평가
조직학적으로 AIG는 초기(early), 활성기(florid), 말기(end-stage) 단계로 분류되어 왔음 [11–13].
그러나 이 단계 간의 임상적 차이는 아직 명확히 규명되지 않음.
이번 연구에서는:
Methods
1. Subjects
우리는 2012년 5월부터 2020년 1월까지 일본 지역 의료 기구(Japan Community Healthcare Organization, JCHO) 시가 병원(Shiga Hospital)에서 AIG(자가면역성 위염)가 임상적으로 의심되는 환자들의 의학적 정보를 수집하였다.
연구 대상 선별 기준
연구 대상 선별 기준은 다음과 같았다:
이들 중 위 조직 검사를 시행한 환자들을 대상으로 조직학적 평가를 수행하였다.
또한, 신장 기능이 저하된 환자들은 혈청 가스트린과 펩시노겐 수치가 상승할 수 있으므로 연구에서 제외하였다 [14, 15].
2. Tests and the procedures
위벽세포(PC) 항체와 내인성인자(IF) 항체는 각각 Fujirebio(도쿄, 일본)의 anti-mitochondrial antibody/anti-smooth muscle antibody FA와 Beckman Coulter(브레아, 미국)의 ACCESS intrinsic factor Ab를 사용하여 측정하였다.
그러나 이 검사는 일본에서 건강보험 적용을 받지 않으므로 모든 의심 환자를 검사할 수는 없었다. 환자가 비용을 부담하는 것에 동의할 경우, 먼저 위벽세포(PC) 항체 검사를 시행하였으며, 결과가 음성이면서 환자가 추가 비용을 지불할 의사가 있는 경우 내인성인자(IF) 항체 검사를 추가로 시행하였다.
검사를 원하지 않은 환자는 연구 대상에서 제외되었다.
내시경적 위축 평가
내시경적 위축은 업데이트된 Kimura–Takemoto 분류법을 사용하여 평가하였다 [7, 8].
이 방법에 따라 위축의 경계를 8단계로 분류하였다:
혈청 펩시노겐(PG) 검사
혈청 펩시노겐(PG) 검사는 Abbott Japan(도쿄, 일본)의 ARCHITECT Pepsinogen I 및 II를 사용하여 측정하였다.
Miki와 Urita의 기준[9]에 따라 4가지 그룹으로 분류하였다:
그러나 PG 검사는 일본에서 건강보험 적용을 받지 않아 모든 연구 대상자에게 시행되지 않았다.
혈청 가스트린 및 비타민 B12 검사
제조업체의 기준에 따라,
3. Histopathological diagnosis
조직병리학적 평가 방법
조직병리학적 평가를 위해, 내시경적으로 위체부 중간부의 대만(greater curvature of the middle corpus)과 위전정부(antrum)에서 생검 검체를 채취하였다. 생검 검체는 즉시 10% 중성 완충 포르말린(10% neutral buffered formalin)에 24시간 동안 고정한 후, 파라핀에 포매(embedding)하였다. 샘플을 3μm 두께의 절편으로 제작하여 헤마톡실린-에오신(H&E) 염색을 시행하였다.
AIG(자가면역성 위염) 조직병리학적 진단
AIG의 진단은 위체부 중간 점막의 염증 세포 침윤 및 고유층(lamina propria) 위축 상태를 관찰하여 이루어졌으며, 위전정부 점막 소견과 비교하였다.
AIG는 조직학적 소견에 따라 3단계로 분류하였다 [11–13]:
초기(early) 단계
활성(fluid) 단계
말기(end) 단계
위저선 위축(atrophy of fundic glands)은
추가적 진단 보조 소견
위 두 가지 소견은 AIG 진단을 보조하는 소견으로 간주하였다.
조직병리학적 진단 과정
조직병리학적 진단은 두 명의 병리학자가 독립적으로 평가한 후, 진단이 다를 경우 합의를 통해 최종 결정하였다.
4. Helicobacter pylori (H. pylori) infection
H. pylori 감염 상태 확인 방법
H. pylori 감염 상태를 확인하기 위해 환자의 과거 H. pylori 검사 및 치료 이력을 의료 기록에서 수집하였다.
H. pylori 검사는 다음과 같은 방법을 포함하였다:
혈청 H. pylori 항체 검사 (HpAb)
H. pylori 대변 항원 검사 (HpSA)
요소호기검사 (UBT, Urea Breath Test)
조직병리학적 검사
H. pylori 배양 검사
H. pylori 감염 상태 진단 기준
현재 감염 (Currently Infected)
비감염 (Not Infected)
과거 감염 (Past Infected)
기타
4. Statistical analysis
AIG 단계별 혈청 가스트린, 펩시노겐(PGs), 비타민 B12를 평가하기 위해 t-검정(t-test)을 사용하였다. 내시경적 위체부 위축(corpus atrophy)을 평가하기 위해 카이제곱 검정(chi-square test)을 사용하였다. 모든 분석은 SPSS(Stats Guild Inc., Chiba, Japan)을 사용하여 수행하였으며, P값이 0.05 미만(P<0.05)일 경우 통계적으로 유의한 차이로 간주하였다.
Results
우리는 연구 기간 동안 선별 기준을 충족하고 생검 검체를 채취한 29명의 후보자를 발견하였다. 이 중 한 명은 위체부 조직이 너무 작아 기저샘 위축을 평가할 수 없었기 때문에 연구에서 제외되었다. 나머지 28명 중 22명(78.6%, 95% 신뢰 구간 59.0–91.7%)이 조직병리학적으로 AIG로 확진되었으며, 이후 분석에서 연구 대상으로 포함되었다.
AIG 확진 환자의 특성
22명의 AIG 환자 중 7명(남성), 15명(여성)이었으며, 연령은 43–81세(평균±표준편차=65.2±10.8세)였다. 2명의 환자는 비타민 B12 보충제를 복용하고 있었으며, 프로톤 펌프 억제제(PPI)를 복용 중인 환자는 없었다. 현재 H. pylori 감염이 확인된 환자는 없었으나, 12명(54.5%)은 과거 감염(past infected), 10명(45.5%)은 비감염(not infected)으로 진단되었다. 그러나 과거 제균 치료를 받은 12명 중 5명의 경우, 치료에 대한 구체적인 기록이 남아 있지 않았다. 기존 기록이 있는 환자의 경우, AIG 진단까지 걸린 기간은 1년(3명), 2년(1명), 3년(2명), 4년(1명)이었다(표 1).
Table 1 Duration between H. pylori eradication therapy and the diagnosis of AIG
조직병리학적 AIG 분류
22명의 AIG 환자 중 4명(18.2%)이 활성(florid) 단계, 18명(81.8%)이 말기(end) 단계로 분류되었다(표 2, 그림 1). 조기(early) 단계로 분류된 환자는 없었다.
Table 2. List of 28 AIG candidates
Fig. 1 Light microscopic pictures of forid and end stages (H&E stain). The florid stage consisted of marked decrease of fundic glands with lymphoplasmacytic infltration predominantly in the deeper part of the mucosa (a). The end stage consisted of complete loss of fundic glands with minimal infammatory cell infltration (b). Scale bar: 200 µm
항체 검사 결과
22명의 AIG 환자 중 항-벽세포(anti-PC) 항체는 10×부터 160× 이상까지 분포하였다.
혈청 가스트린 수치
22명 모두에서 혈청 가스트린이 측정되었으며,
Fig. 2 Distribution of serum gastrin of all AIG patients (N=22). COV; cut-of value (172 pg/mL). The numbers in the horizontal axis were not patient’s numbers in Table 2. Patients are ordered by the values of serum gastrin. All 22 patients showed high serum gastrin. Four patients were included in forid stage (○), and 18 patients were included in end stage (●)
펩시노겐(PG) 검사 및 ROC 분석
수신자 작용 특성(ROC) 곡선을 분석한 결과,
Table 3 Comparison of sensitivity and specifcity between criteria for PG test
Fig. 3 Receiver operating characteristic (ROC) curves of PG I (a), PG II (b) and PG I/II ratio (c). PG; pepsinogen, AUC; area under the curve. AUC of PG I, PG II and PG I/II ratio were 0.81, 0.29 and 0.98, respectively. According to ROC curve analyses, the optimal cut-of values of PG I and PG I/II ratio were 14.5 ng/mL (sensitivity=0.83, specifcity=0.85) and 2.1 (sensitivity=1.00, specifcity=0.95), respectively
AIG 확진 환자의 PG 수치는
AIG 병리 단계 간 통계적 차이는 없었다(표 4).
Table 4 Comparison of serum PGs between stages of AIG
PG 검사 등급: PG 검사 결과는 AIG 병리 단계와 관련성이 없었음(그림 4).
Fig. 4 Distribution of PG test of 20 AIG patients (N=20). PG; pepsinogen. PG test classifcation revealed 3+in 17 (85%), 2+in 1 (5%), 1+in 0 (0%) and negative in 2 patients (10%). Four patients were included in forid stage (○), and 16 patients were included in end stage (●)
혈청 비타민 B12 수치
22명 모두에서 측정되었으나 2명은 비타민 B12 보충제를 복용 중이었고 400 pg/mL 이상을 나타냈음.
보충제를 복용하지 않은 20명의 환자에서
AIG 병리 단계별 비교: 두 단계 간 유의미한 차이는 없었음(P=0.83, t-검정).
Fig. 5 Distribution of serum vitamin B12 (N=20). COV; cut-of value (180 pg/mL). Vitamin-B12 users were not included in the fgure. The numbers in the horizontal axis are not the patient’s numbers in Table 2. Patients are ordered by the values of serum vitamin B12. Thirteen patients (65%) showed low serum vitamin B12. Three patients were included in forid stage (○), and 17 patients were included in end stage (●)
혈청 가스트린 수치와의 관계
Fig. 6 Diagram of AIG patients according to serum gastrin (a) and serum vitamin B12 (b). All the 22 AIG patients showed high serum gastrin. Among them, 20 patients did not use vitamin B12-containing agents and 13 patients (65%) of them showed low serum vitamin B12 (a). In the 20 patients who did not use vitamin B12-contaning agents, 13 patients showed low serum vitamin B12. All of them showed high serum gastrin (b)
내시경적 위체부 위축 평가
22명 모두에서 평가되었으며,
22명 모두 O-1 이상의 내시경적 위축이 있었음.
AIG 병리 단계별 비교: O-p 비율은 두 단계 간 유의미한 차이가 없었음(75% vs. 94.4%, P=0.22, 카이제곱 검정, 표 5).
Table 5 Comparison of endoscopic corpus atrophy between stages of AIG
AIG 진단 기준 평가
다음 4가지 검사에서 양성 개수를 확인함:
양성 개수가 3개인 7명 중,
<공통적인 AIG 진단 요소>
22명의 확진 환자에서 공통적으로 나타난 소견은
그러나 비타민 B12 저하와 PG 검사 3+는 모든 환자에서 나타나지는 않았음.
Discussion
본 연구에서, 선별 기준을 충족한 28명의 후보 환자 중 22명(78.6%)이 조직병리학적으로 자가면역 위축성 위염(AIG)으로 확인되었다. 우리의 선별 기준은 78.6%의 양성 예측도를 보이며 효과적으로 작동했다. 현재 헬리코박터 파일로리(H. pylori) 감염 환자는 22명의 AIG 환자 중 한 명도 발견되지 않았다. 조직병리학적으로 초기 단계에 속하는 AIG 환자는 발견되지 않았으며, 4명은 활성(Florid) 단계, 18명은 말기(End) 단계에 해당되었다. 연구한 항목들 중 급성과 말기 단계 간에 유의미한 차이는 발견되지 않았다.
AIG로 확인된 환자들의 공통적인 임상 소견은 다음과 같다:
수신자 조작 특성(ROC) 분석을 통해 펩시노겐(PG) I과 PG I/II 비율이 AIG 선별에 유용할 가능성이 확인되었다. 최적 절단값(cut-off value)은 PG I 14.5 ng/mL, PG I/II 비율 2.1로 제시되었다.
1. 혈청 가스트린 분석
조직병리학적으로 AIG로 진단된 22명의 환자에서 혈청 가스트린 수치는 급성과 말기 단계 모두에서 현저히 증가했다. 급성과 말기 단계 간에는 통계적으로 유의한 차이는 없었지만, 3000 pg/mL 이상의 높은 가스트린 수치를 보인 환자는 모두 말기 단계에 속했다. 이는 AIG가 진행될수록 가스트린 수치가 증가함을 시사한다. 또한, 172 pg/mL를 기준으로 AIG를 선별하는 것이 적절할 수 있다.
2. 펩시노겐(PG) 검사
이번 연구는 PG 검사의 AIG 선별 능력을 평가한 최초의 연구이다. 미키(Miki) 기준에 따라 PG 3+ 검사 결과는 높은 민감도와 특이도를 보였다. ROC 곡선 분석에서도 PG I과 PG I/II 비율이 AIG 선별에 유용함이 확인되었다. 다만, 보다 정확한 절단값을 결정하기 위해서는 더 많은 환자군을 대상으로 한 연구가 필요하다. 또한, PG 검사 결과는 급성과 말기 단계 간에 차이가 없었으며, 미키 기준의 PG 검사 결과 또한 조직병리학적 단계와 연관성을 보이지 않았다.
3. 혈청 비타민 B12 수치
AIG 선별 기준 중 하나로 혈청 비타민 B12 수치를 포함하였다. 22명의 환자 중 비타민 B12 보충제를 복용하지 않은 20명을 분석한 결과, 13명(65%)이 혈청 비타민 B12 감소를 보였다. 그러나 혈청 가스트린이 높은 모든 환자가 비타민 B12 결핍을 보이지는 않았으며, 이는 AIG 진행 과정에서 가스트린 수치가 먼저 증가한 후 비타민 B12가 감소할 가능성을 시사한다. 즉, 비타민 B12 감소는 AIG가 심각한 위축성 단계를 거친 후 나타나는 지표일 가능성이 있다. 하지만, 비타민 B12와 조직병리학적 단계 간의 명확한 연관성은 본 연구에서 확인되지 않았다.
4. 내시경적 위축 평가
모든 22명의 AIG 환자에서 내시경적 위축을 평가하였으며, 95.5%(21명)가 O-p 또는 O-3에 해당하고, 1명(4.5%)만 O-1로 분류되었다. 이는 AIG 환자에서 O-p 또는 O-3 위축 소견이 강하게 의심되는 내시경적 특징임을 시사한다. 하지만, 조직병리학적 분석과의 비교에서는 급성과 말기 단계 간에 내시경적 위축 차이가 유의하지 않았다.
이는 내시경적 위축이 점막과 더 깊은 층을 포함한 거시적 평가인 반면, 조직병리학적 진단은 특정 부위에서 채취한 생검 샘플의 표면적 분석이기 때문에 발생한 차이일 수 있다. 또한, 일부 AIG 환자에서 잔여 기저선(fundic gland)이 존재할 수 있어, 특정 부위에서 채취한 조직 샘플만으로 위축을 확정하기 어려운 경우도 있다.
5. AIG 선별 검사 항목 평가
본 연구에서 AIG 선별을 위해 자가항체(anti-PC 항체) 검사 및 4가지 비침습적 검사(혈청 가스트린, 내시경 위축 O-p, PG 검사 3+, 비타민 B12 감소)를 시행하였다. 검사 항목이 4개 모두 양성이었던 경우는 전체 환자의 50%(11명)였다. 검사 항목이 3개 양성인 7명 중 6명은 정상 혈청 비타민 B12를 보였으며, 1명은 PG 2+ 검사였다. 공통적으로 모든 AIG 환자에서 혈청 가스트린 수치 상승이 나타났다, 이는 AIG 진단에서 혈청 가스트린이 필수적인 요소일 가능성을 시사한다. 다만, 신장 기능 이상 환자나 PPI를 복용하는 환자에서는 혈청 가스트린 상승이 나타날 수 있어, 이러한 환자에서는 가스트린을 선별 기준으로 사용하기 어렵다.
또한, PPI 사용 환자에서는 내시경적 위축 소견과 PG 검사 결과도 영향을 받을 가능성이 있어, 이 경우 혈청 비타민 B12가 유일한 신뢰할 수 있는 검사일 수 있다. 그러나, 혈청 비타민 B12는 본 연구에서 65%의 AIG 환자에서만 감소를 보여 단독 검사로는 부족할 수 있으며, 추가적인 검사로 활용하는 것이 추천된다.
6. AIG 초기 단계 선별의 어려움
이번 연구에서는 조직병리학적으로 초기 AIG 환자가 발견되지 않았으며, 모든 환자가 급성 또는 말기 단계에 속했다. 이는 현재 선별 기준이 초기 AIG보다는 진행된 단계의 AIG를 선별하는 데 적합함을 시사한다. AIG 초기 단계를 선별할 수 있는 새로운 기준을 추가적으로 연구해야 할 필요성이 있다.
7. 연구의 한계점
8. 결론
Abstract
Background: The aims of the present study are to evaluate non-invasive screening tests for autoimmune gastritis (AIG) and re-evaluate histopathological classifcation. Methods: We screened candidates of AIG in JCHO Shiga Hospital between May 2012 and January 2020. The screening criteria were as follows: endoscopic O-p atrophy with Updated Kimura–Takemoto classifcation, 3+pepsinogen (PG) test, low serum vitamin B12 or elevated serum gastrin with positive anti-parietal cell (PC) or intrinsic factor antibodies. We evaluated the screening criteria in the patients who were histopathologically confrmed as AIG, and re-evaluated histopathological staging in clinical aspects. Results: Twenty-two of 28 (78.6%) patients who met the screening criteria were histopathologically confrmed as AIG. Common clinical fndings in the AIG patients were 10×or greater anti-PC antibody, elevated serum gastrin greater than 172 pg/mL and endoscopic atrophy O-1 or greater. The areas under the curve of PG I, PG II and PG I/II ratio were 0.81, 0.29 and 0.98, respectively. Among histopathologically confrmed AIG patients, 4 and 18 patients were histopathologically classifed into forid and end stages, respectively, while no patients into early stage. We could not fnd a signifcant diference between forid and end stages in the screening items studied. Conclusions: Florid and end stages in histopathological classifcation are both advanced-stage AIG in clinical aspects. Our screening criteria without biopsy are applicable to screen clinically-advanced AIG with 78.6% positive predictive value. PG I and PG I/II ratio may be useful to screen AIG. However, we may need other criteria to screen early stage of AIG. Keywords: Anti-parietal cell antibody, Gastrin, Corpus atrophy, Pepsinogen, Vitamin B12